西南医院关节外科救治地震伤员实录
2013-04-21 文章作者:xiaozhao 我要说
骨科在线版权所有,如需转载请注明来自本网站
     2013年4月20日 8:02分四川雅安芦山县发生7.0级地震后,重庆市有震感,24岁的莫老师在赶往上班的途中突遇此事,导致右踝关节畸形,不能站立和行走。
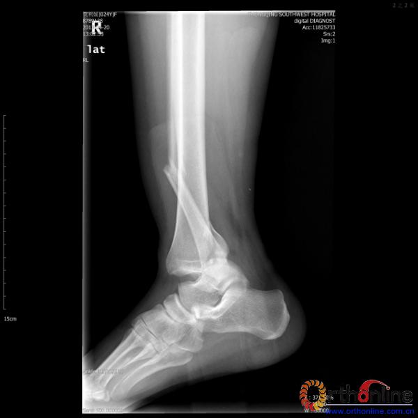
    伤员和家属迅速赶到西南医院,10点关节外科段小军副教授查看伤员后急诊收入院,拍摄X片和急诊行三维CT重建检查,提示踝关节创伤严重,出现三踝骨折伴胫距关节脱位,需要急诊手术治疗。随后段教授与正在四川成都参加“汶川地震5周年灾害医学救治研讨会”的杨柳主任联系,进一步完善救治方案。地震当晚,段教授为该伤员进行急诊手术,手术顺利对复杂骨折进行了解剖复位,有效的钢板螺钉固定。术后伤员的疼痛明显缓解,复查X片,踝关节结构恢复满意。
     西南医院领导也高度重视,除了紧急派出医疗队到震中地区外,为了在院地震伤员的术后康复,组建了抗震救灾专用病房。术后第1天,杨柳主任和段小军副教授再次到床旁查看伤员,完善术后康复训练计划。伤员及家属对西南医院的积极救治表示非常感谢。

杨柳主任、段小军副教授和邓姝护士长共同查房

抗震救灾专用病房

患者术前X片(一)

患者术前X片(二)

患者术前CT(一)

患者术前CT(二)

患者术后X片(一)

患者术后X片(二)
 



 
 
 
   京公网安备11010502051256号
 京公网安备11010502051256号