跗骨联合与平足
2013-02-27 文章来源:首都医科大学附属北京同仁医院足踝外科矫形中心 王显军 我要说
骨科在线版权所有,如需转载请注明来自本网站
定义:跗骨联合,又称跗骨骨桥,是指发生于中后足的2个或2个以上跗骨间的骨性,软骨性或纤维性连接 。
病因:分为先天性与获得性。先天性跗骨联合是由胎儿间叶细胞分化障碍或断裂失败,常染色体遗传,基因非特异性表达等引起,患者可能没有明显家族史,另外,也可由一些先天性疾病引起。 获得性跗骨联合可以继发于足部创伤,感染,中足部骨性关节炎及肿瘤等。
分类:按联合发生的部位可以分为跟距联合,跟舟联合,距舟联合,跟骰联合。跟距联合的发生率约为48.1%,距舟联合的发生率约为43.6%,两者占跗骨联合的90%以上。按联合的性质可以分为骨性联合,软骨性联合,纤维性联合。按联合的程度: 完全性联合,部分性联合。
流行病学:调查显示跗骨联合的发生率约为1-2%,随着CT,MRI等影像学检查技术的进步,文献报告的跗骨联合的发生率有所增高,约为8%左右。50-60%的跗骨联合都是双侧发病,无明显性别差异。
临床特征:儿童或青少年跟舟联合的患者可能在:8-12岁,跟距联合的患者可能在12-16岁出现症状。症状出现的原因可能因为随着年龄增长,骨化程度的程度增加,距下关节僵硬加重,后足灵活性减低,运动时容易扭伤后足,导致疼痛。成年人跗骨联合患者,往往无任何症状,一般是在外伤后或因足踝部其它疾病进行检查时才被发现。跗骨联合的患者往往自述足踝部反复扭伤。跟舟联合的患者疼痛位于跗骨窦,呈弥漫性。跟距联合的患者疼痛位于距下关节,内踝下方。通常在不平路面行走困难 ,足部灵活性差。
临床检查: 应在非负重位于负重位进行查体。外观上呈现腓肠肌萎缩,后足外翻,前足外展 距下关节活动受限,提踵试验及木块试验(+),跟距联合挤压胫后神经时可出现 Tinel sign (+)
放射学检查:拍摄足负重正侧位 ,45°内斜位,跟骨轴位X线片。

8岁以前联合尚未骨化,软骨性或纤维性联合需通过其它特征诊断。
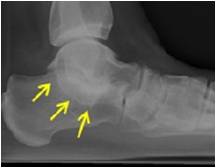
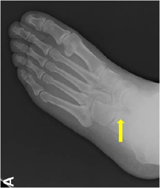
放射学特征:跟距联合在侧位X线片上呈现C sign,跟舟联合在侧位X线片上呈现食蚁兽鼻征 拍摄45°内斜位X片观察跟舟联合。跟骨轴位(Harris and beath): 跟骨轴位X线片观察跟距联合。




另外,对软骨性或纤维性联合需借助CT或MRI检查进行判断。
跗骨联合与平足:一些学者认为跗骨联合与平足的发生关系密切,但跗骨联合患者中平足的发生率并不明确。
有学者认为跗骨联合常常伴有腓骨肌痉挛,并由此导致跟骨外翻,出现僵硬性平足。但另有学者认为腓骨肌痉挛并不存在,是由于跟骨长期外翻才导致腓骨肌挛缩,并非痉挛。
治疗:分为非手术治疗与手术治疗
非手术治疗包括减少活动 ,使用足纵弓垫, 对疼痛较重者服用非甾体类抗炎药,也可行局部封闭以减轻症状。必要时用踝足支具或石膏固定,直到症状缓解。
手术治疗包括联合切除或关节融合。
跟舟联合:对于儿童或青少年跟舟联合一般行联合切除,形成大于1cm的间隙,用间置物填塞,术中注意避免损伤距舟关节囊。 文献报告间置物可以用趾短伸肌腱,骨蜡,明胶海绵及脂肪片。综合文献报告,用脂肪片作间置物术后效果最好。一般在14岁前切除 ,术后优良率超过80%,青少年患者优于成年人患者。
跟距联合:对于跟距联合是切除联合? 还是融合距下关节?
选择手术方式时应考虑的因素:患者年龄,联合大小 ,跟骨外翻程度,距骨突起,距下关节或周围关节退变等情况。对距下关节无退变者,可行联合切除,如合并后足轻度外翻,距下关节活动受限,需加行跟骨内移截骨或外侧柱延长。如跟骨外翻超过21°或联合大于关节面的50%,或距下关节已退变则需行距下关节融合术。如联合周围关节也出现退变,则需行三关节融合术。
 



 
 
 
   京公网安备11010502051256号
 京公网安备11010502051256号