基于三柱结构的股骨头坏死分型:中日友好医院分型
2013-01-28 文章来源:中日友好医院 李子荣 我要说
骨科在线版权所有,如需转载请注明来自本网站
基于三柱结构的股骨头坏死分型:中日友好医院分型
李子荣 刘朝晖 孙伟 史振才 王佰亮 赵风朝 岳德波 杨雨润 程立明 王卫国 张启栋 郭万首
【摘要】
目的 探讨非创伤性股骨头坏死的进展规律,建立准确性高、临床应用方便的新的分型。
方法 将股骨头冠状面分成三柱(内、中、外),选择MRIT1WI的冠状位正中层面图像,按坏死灶占据三柱结构的位置分型。应用此分型及日本分型(JIC)分别对153髋SARS股骨头坏死患者的自然转归及100髋保存自身关节手术的疗效进行回顾性研究,以比较两种分型的准确度。
结果 中日友好医院对股骨头坏死共分5型,及内侧型(M型):坏死灶占据内侧柱;中央型(C型):坏死灶占据中央柱;外侧型(L型):坏死灶占据内、中、外三柱。依据坏死灶占据外侧柱的不同情况,又将外侧型分为次外侧型(L1型):部分外侧柱被坏死灶占据,部分外侧柱存留(至少应保存外侧皮质);极外侧型(L2型):坏死灶占据外侧柱和部分中央柱,部分中央柱和内侧柱存留;全股骨头型(L3型):坏死带贯穿股骨头三柱,包括外侧皮质。回顾性研究显示中日友好医院分型无论在股骨头塌陷判断还是疗效判断均优于日本分型。
结论 基于三柱结构的中日友好医院对股骨头坏死的分型准确度高,临床应用方便。
【关键词】坏死 股骨头 三柱结构 分型 塌陷
The classification of osteonecrosis of the femoral head based on the three pillars structure: China-Japan Friendship Hospital (CJFH) Classification
LI Zirong LIU Zaohui SUN Wei , et al. Centre for ON and joint-preserving & Reconstruction, Dept of orthopaedics, China-Japan Friendship Hospital, Beijing 100029, China.
【Abstract】
Objective To explore the progressive regular pattern of nontraumatic osteonecrosis of the femoral head (ONFH) in order to establish the reliable and convenient new classification for clinic.
Methods The coronal section of the femoral head was divided into three pillars (medial, central and lateral). The midcoronal section on MRI or CT was selected. The classification was determined according to site where the three pillars was occupied by necrotic focus. The retrospective studies were carried out in natural history of 153 SARS patients with ONFH and treatment results of 100 hips with joint-preserving operation using both CJFH and JIC Classification.
Results CJFH classification for ONFH consists of five types. Type M (medial): medial pillar involved; Type C (central): medial and central pillars involved; Type L (lateral): all three pillars involved, the type L is subdevided into three types: L1 (sublateral): partial lateral pillar preserved; L2 (extralateral): lateral pillar involved only; L3 (whole head): all three pillars involved. Retrospective studies showed the more accuracy and convenience using CJFH classification compare JIC classification.
Conclusion The CJFH classification for ONFH can be used to predict accurately weather to progress collapse or not. The classification is reliable and convenient for clinic.
【Key words】Avascular necrosis; Femoral head; Three pillars; Collapse; Predict;
股骨头坏死(osteonecrosis of the femoral head,ONFH)是骨科较常见且难治性疾病。非创伤性ONFH的的特点是患者年龄轻,未经有效治疗,约60%~80%的坏死股骨头将在1~5年内进展到股骨头塌陷〔1,2〕。塌陷后多数髋关节在2~3年内将进展到需行人工关节置换的程度〔2〕。由于多数坏死患者年轻,人工关节长期疗效仍难预料,因此,推迟或更理想的是避免人工关节置换,使尽可能多的患者在尽可能长的时间内保留功能良好的自身关节是值得研究的重要课题。
影响保留关节疗效的最重要因素为股骨头塌陷。塌陷预测一直是国内外研究的热点和难点。
塌陷预测的方法很多〔3~7〕。这些方法均有不同的临床价值,但也各有局限,有进一步改进的空间。
本研究是基于200余髋SARS患者ONFH自然进展的连续8年随访,以及对在我科行保存自身关节治疗的600余髋ONFH患者的回顾性研究,发现股骨头外侧柱存留与否与塌陷密切相关。基于股骨头三柱结构,结合影像学的研究,提出对股骨头坏死的中日友好医院分型(China-Japan Friendship Hospital Classification for ONFH, CJFH Classification for ONFH)。本分型不涉及ONFH的分期,分期仍按Steinberg或ARCO分期法〔3~4〕。
资料与方法
一、 分型的相关基础研究
(一) 解剖学研究。引用Herring对Legg-Perthes病的三柱概念,将股骨头分为外、中、内三柱,划定外侧柱占股骨头宽度的30%、中央柱占40%、内侧柱占30%。(图1)

图1 股骨头冠状面三柱结构:外侧柱占30%,中央柱占40%,内侧柱占30%
Fig. 1 The three pillars of coronal section of the femoral head: lateral 30%, central 40%, medial 30%
(二) MRI和CT图像的研究。观察176例累及全身多处骨坏死MRI及CT图像,发现骨坏死有两种不同的病理改变。
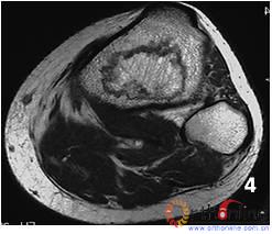
1. 单纯骨髓坏死。发生在长骨骨干及干骺端的坏死只累及骨髓组织,骨皮质很少受累,称为骨梗死(bone infarction)。坏死仅累及骨髓,不会累及皮质。(图2)




图2 男,40岁,激素相关骨梗死,MRI显示坏死仅累及骨髓,皮质存留:(1)股骨干和胫骨干冠状位图像;(2)股骨干和胫骨干矢状位图像;(3)股骨干横断面;(4)胫腓骨横断面
Fig 2 Male, 40 year-old, steroid-associated the bone infarction, MRI showed necrosis involved only in bone marrow, the cortical bone was preserved: (1) the coronal image of diaphysis of femur and tibia;(2) the saggital image of femur and tibia; (3) Transverse section of femur; (4) Transverse section of tibia
2. 发生在骨端(股骨头、肱骨头等)的坏死称为骨坏死(osteonecrosis,ON)。ON有两种类型:单纯骨髓坏死,软骨下骨(皮质骨)部分保留;骨髓坏死连同皮质坏死。



图 3 男,53岁,激素相关股骨头坏死,MRI(2003年)示右侧L1型坏死(皮质存留,骨髓坏死),左侧L3型坏死(皮质及骨髓均坏死),三年后(2006年)及6年后(2009年),CT扫描示右侧股骨头维持圆形,骨皮质完整,但中央坏死灶未修复;左侧股骨头塌陷
Fig 3 Male, 53 year-old, steroid-associated ONFH, MRI(2003) showed type L1 necrosis(cortical bone was preserved, necrosis in bone marrow) in right side; type L3 necrosis(both cortical bone marrow) in left side. CT scan showed the right femoral head keep round, and collapse occurred in left femoral head three (2006) and six year (2009) later.
3. 两种类型的ON有不同的结局,前者预后较好,而后者预后差。(图3)
(三) 国内外的研究显示,在对股骨头坏死塌陷预测的方法中,以日本骨坏死研究会(Japanese investigation committee,JIC)依坏死部位对ONFH分型的准确性较高(图4)。本分型对JIC分型法进行改良,并对比。

图 4 日本骨坏死研究会依坏死部位分型
Fig 4 Japanese investigation committee (JIC) classification for ONFH
二、 分型的方法
(一) 对ARCO分期的Ⅰ~Ⅲ期的ONFH患者,采用MRI的T1WI(TR/TE:550/18)冠状位图像,选用股骨头正中层面,依据坏死灶占据三柱的位置,分为5型。对ARCO分期Ⅱ~Ⅲ期ONFH患者也可依赖CT扫描冠状位重建的正中层面图像进行分型。
(二) 共分5型,各型的特点为:(图5)

图 5 中日友好医院依三柱结构对股骨头坏死的分型
Fig 5 China-Japan Friendship Hospital (CJFH) Classification for ONFH based on three pillars
1. M型(内侧型):坏死灶占据内侧柱,中央和外侧柱存留。
2. C型(中央型):坏死灶占据中央柱和内侧柱,外侧柱存留。此型中可见部分患者的坏死灶仅占据内侧柱的一部分,而另一部分内侧柱可存留。
3. L型(外侧型):坏死占据内、中、外三柱,但有不同情况,可分为三个亚型。
(1) L1型(次外侧型):坏死占据三柱,但外侧柱部分存留,至少应有皮质存留。
(2) L2型(极外侧型):坏死灶仅占据外侧柱或另加一部分中央柱,中央柱另一部分和内侧柱全部存留。
(3) L3型(全头型):坏死带穿透整个股骨头的外、中、内三柱的皮质及骨髓。
三、 回顾性研究
因该分型系在观察大量临床病例后总结所得,尚未进行前瞻性研究,用此分型对SARS患者ONFH的自然进展(natural history)及保存患者自身关节手术治疗的疗效作回顾性研究,并与用JIC分型的结果作对比,以比较此两种分型对塌陷预测及疗效判断的准确性。
(一) SARS患者ONFH自然进展
1. 2003年普查出ONFH患者125例230髋,其中获得3~8年连续随访且资料完整者117例203髋。在这些患者中,又有50髋在进展到ARCO分期的Ⅱ期(Ⅱb 5,Ⅱc 45)时行保存关节的手术治疗,这些患者中的多数在自诊断出ONFH至手术时间隔未满3年,故排除在外,归入研究的共153髋。
2. 按CJFH分型和JIC分型,分别统计坏死灶的转归。转归分为自行消散、全部或大部修复、部分修复及股骨头塌陷四类。
(二) 保存患者自身关节手术治疗的疗效
1. 选用资料完整,同一方法治疗,随访在2年以上的非创伤性ONFH患者100髋。
2. 治疗方法:所有患者均采用经关节前方股骨头颈开窗,病灶清除,硬化骨钻孔,自体骨加人工骨打压植骨,辅以药物治疗。
3. 随访时间2~9年(平均5.4年)。
4. 临床疗效根据Harris髋关节功能评分评定。分为优≥90分,良≥80分,中或差<80分。
(三) 统计学处理
采用SPSS17.0(SPSS公司,美国)统计软件包进行统计分析。两种分型方法对自然进展及手术疗效的比较采用卡方检验(chi-square test),检验水准α=0.05。
结果
一、 SARS患者ONFH的自然进展
(一) 按CJFH分型,结果见表1
表1 153髋SARS患者ONFH的自然转归
Tab 1 The natural history of SARS patients with ONFH according to CJFH classification
| 分型(按CJFH) | 坏死病灶转归(髋数) | |||
| 自行消散(%) | 大部修复(%) | 部分修复(%) | 塌陷(%) | |
| M (n=26) | 9(34.6) | 15(57.6) | 1(3.9) | 1(3.9) | 
| C (n=37) | 3(8.1) | 12(32.4) | 18(48.7) | 4(10.8) | 
| L1 (n=47) | 2(4.3) | 10(21.3) | 15(31.9) | 20(42.6) | 
| L2 (n=7) | 
 | 
 | 
 | 7(100.0) | 
| L3 (n=36) | 
 | 
 | 2(5.6) | 34(94.5) | 
| 合计(n=153) | 14(9.2) | 37(24.2) | 36(23.5) | 66(43.1) | 
表1显示,L2及L3型预后不佳,塌陷率较高,而L1型的塌陷率并不高,仅为42.6%。M、C两型坏死预后较好。
(二) 按JIC分型,结果见表2
表2 153髋SARS患者ONFH的自然转归
Tab 2 The natural history of SARS patients with ONFH according to JIC classification
| 分型(按JIC) | 坏死病灶转归(髋数) | |||
| 自行消散(%) | 大部修复(%) | 部分修复(%) | 塌陷(%) | |
| M (n=26) | 9(34.6) | 15(57.6) | 1(3.9) | 1(3.9) | 
| C (n=37) | 3(8.1) | 12(32.4) | 18(48.7) | 4(10.8) | 
| L1 (n=25) | 2(8.0) | 7(28.0) | 9(36.0) | 7(28.0) | 
| L2 (n=65) | 
 | 3(4.6) | 19(29.2) | 45(69.2) | 
| 合计(n=153) | 14(9.2) | 37(24.2) | 36(11.1) | 66(43.2) | 
表2显示L2的塌陷率虽较高,但低于CJFH分型中对应的L3型,其原因将在讨论中叙述。
按统计学处理CJFH的L3型塌陷率明显高于JIC中的C2型,(X2=8.65, P=0.0033),统计学有显著差异,表明按CJFH分型,L3型坏死坏死塌陷率高,因而预测会更可靠。
二 保存自身关节手术治疗的疗效
1. 按CJFH分型,各型的临床疗效见表3
表3 保存自身关节手术治疗的疗效
Tab 3 The results of joint-preserving operation for patients with ONFH
| 分型(按CJFH) | 临床疗效(按Harris髋关节评分) | ||
| 优(%) | 良(%) | 中或差(%) | |
| C (n=13) | 12(92.3) | 1(7.7) | (0.0) | 
| L1 (n=41) | 30(73.2) | 7(17.1) | 4(9.7) | 
| L2 (n=6) | 2(33.3) | 2(33.3) | 2(33.3) | 
| L3 (n=40) | 7(17.5) | 12(30.0) | 21(52.5) | 
| 合计(n=100) | 51(51.0) | 22(22.0) | 27(27.0) | 
手术病例中无M型,表3显示C型及L1型治疗效果较好,而L2特别是L3型治疗效果不佳,临床疗效为中或差者占1/3到1/2。
2. 按JIC分型,各型的临床疗效见表4
表4 保存自身关节手术治疗的疗效
Tab 4 The results of joint-preserving operation for patients with ONFH
| 分型(按JIC) | 临床疗效(按Harris髋关节评分) | ||
| 优(%) | 良(%) | 中或差(%) | |
| B (n=13) | 12(92.3) | 1(7.7) | (0.0) | 
| C1 (n=19) | 10(52.6) | 6(31.6) | 3(15.8) | 
| C2 (n=68) | 29(42.6) | 15(22.1) | 24(35.3) | 
| 合计(n=100) | 51(51.0) | 22(22.0) | 27(27.0) | 
表4显示B型及C1型临床疗效较好,而C2型较差。
3. 按统计学处理:显示CJFH分型的L3较JIC分型中的C2型在保存关节手术疗效的数值虽有差别,但统计学处理未见显著差异(X2=3.0676, P=0.0799,>0.05)。
讨论
一、 该分型来源于临床实践
Herring等〔8〕对Legg-Perthes病长期随访,发现股骨头骨骺的外侧柱存留的高度与日后修复的股骨头的圆度成正比,在随访大量病例的基础上提出Herring分型,对Legg-Perthes病的研究起到里程碑的作用。我们在观察及治疗大量非创伤性ONFH患者时,也发现部分ONFH的股骨头外侧柱或外侧皮质骨存留,这些患者无论是自然进展还是治疗结局均较好,从而确定股骨头外侧柱存留与坏死股骨头的预后密切相关。受Herring对Legg-perthes病的三柱分型启发,提出基于三柱结构的股骨头坏死分型—中日友好医院分型,此分型源于临床实践,可以预料,也将会较好地应用于临床。
二、 该分型的优点
一种临床可用的分型应该是准确性高,临床应用方便,有可重复性。本分型基本符合上述要求。
目前在临床应用较多的预测股骨头塌陷有两种方法,日本骨坏死调查委员会(JIC)法和韩国Koo坏死指数法。两种方法均有相当的准确度,但也各有局限性。JIC法是以股骨头坏死部位对应髋臼负重区而划分成A、B、C1、C2四型〔5~6〕。因采用相对位置分型,必定会受两者之一的变异和移动位置的影响,如存在髋臼发育不良,髋内外翻畸形的患者及作影像检查时股骨头处于内收或外展位等均会使股骨头坏死区对应的髋臼部位改变,因而影响分型的准确度。
Koo的方法〔7〕是根据MRI的T1WI图像,选用冠状位正中层面和矢状位正中层面,以股骨头中心为圆心,沿坏死区边缘向股骨头表面划线,形成坏死角度,并测量其大小。将冠状位坏死角除以180乘以矢状位坏死角除以180,再乘以100,得出坏死指数。认为坏死指数大于66为塌陷高危,33~66为中危,而<33则不会塌陷。此法的缺陷是明显的。一是部分坏死灶较深,已超过股骨头中心,因而难以划出坏死角度;二是未考虑坏死部位,位于负重区(外侧柱)的坏死,坏死指数小的也会早期发生塌陷,而外侧柱存留的坏死,虽坏死体积大,但仍长期不发生塌陷,本中心的大量病例长期随访已证明此点。
本分型吸取上述两种分型的优点,JIC法的优点是以坏死部位为依据进行分型,充分考虑坏死部位与塌陷的关系。Koo的方法重视坏死体积与塌陷的关系。本分型的优点是坏死灶可按占据的三柱结构直接划定,因而可避免JIC法的相对应位置测定带来的误差。由于三柱各占股骨头的比例已划定,故也有定量概念,同时强调外侧柱存留对维持股骨头不塌陷的重要性。
不管是JIC分型,还是CJFH分型,M型和C型坏死的预后均较好,而L型坏死的预后预测需研究。
本分型的最大贡献是对L型(外侧型)的再分型。JIC分型的C型再分为C1、C2两个亚型,是根据股骨头坏死带是否超出髋臼缘而定。因为系相对位置划定,如前所述的理由,可能会有较大的误差。本分型对L型再分型系根据坏死的病理学特点〔8~10〕。L1型系外侧柱部分存留,无论自然进展还是保存关节的手术治疗,预后都会较好,塌陷率低且塌陷晚。L2型系外侧柱被坏死灶占据,坏死体积虽不大,但塌陷早,如能早期手术,约50%的股骨头可以挽救,而L3型的坏死,坏死体积大,且占据三柱,这些坏死无论是自然进展还是保存关节手术,预后均是不乐观的。本分型对L型的亚分型分界明确,且又直接在股骨头上划定,故准确性高。与JIC分型相比,组内和组间一致的的程度会较大。
三、 该分型的局限性
分型缺乏前瞻性研究。与JIC等分型一样,因仅采用冠状位正中单层面测定,片面性和误差是不言而喻的。
大多数患者的坏死灶位于股骨头前外侧,因此MRI显示的最大坏死灶并不在正中层面,而是在正中之前的几个层面。正中层面坏死灶的大小与是否会进展到塌陷的关系最密切。股骨头前方几个层面虽然坏死面积较正中层面大,但对股骨头的力学性能影响小。而且若选用最大坏死层面作分型的标准,也将会造成患者之间的误差。为弥补仅选用一个层面对分型结果的偏移,在对每位患者行个体化估计时,可参照冠状位坏死灶累及的层面数(代表坏死灶的前后径),也可参照轴线位的影像(代表坏死灶的深度),全面估计。若采用多个因素(如冠状位加轴位,或更多)进行分型,将会使分型数目大量增加,从而使分型复杂化而难以运用于临床。
局限之二是尚难精确定量。外侧柱存留多宽则可保持股骨头不塌陷,目前仍不能回答,需待进一步研究。局限之三是此分型只能用于早、中期坏死,晚期坏死会影响结果。
四、 进一步改进的设想
此分型的主要缺陷是难以定量。应用生物力学作有限元分析以测定外侧柱存留的宽度与塌陷的关系,我们将作此研究。最近日本学者Ito〔12〕等提出外侧股骨头指数(lateral head index,LHI)的概念,对股骨头坏死患者作内翻截骨术后的塌陷预测,发现LHI大于25%则塌陷率低,临床疗效好。
本研究拟对已有的ONFH病例逐一测定,以确定坏死的股骨头是否会进展到塌陷的LHI临界值。
尚无法定论此分型是否有可重复性,期望其他骨坏死研究者应用此分型对本身治疗的ONFH病例进行分型,并对比最终结果,以检验此分型是否有可重复性。
参考文献
1 Mont MA, Jones IC, Herngerfood DS, Nontraumatic osteonecrosis of the femoral head: ten years later. J Bone Joint Surg (Am) 2006; 88: 1117~1132.
2 Lieberman JR, Berry DJ, Mont MA, et al. Osteonecrosis of the hip: management in the twenty-first century. J Bone Joint Surg (Am) 2002; 84: 834~853.
3 Steinberg ME, Steinberg DR. Classification systems for osteonecrosis: an overview. Orthop Clin N Amer 2004; 35(3): 273~283.
4 Gardeniers JWM. A new international classification of osteonecrosis of the ARCO committee on terminology and classification. ARCO News Letter 1992; 4: 41-46.
5 Ono K. [Diagnostic criteria, staging system and roengenographic classification of avascular necrosis of the femoral head]. In: Ono K, editor. Annual report of Japanese investigation committee for intractable disease, Avascular neerosis of the femoral head. Vol 331, Tokyo: Ministry of health and welfare; 1987: p331~336. Japanese.
6 Sugano N, Takaoka K, Ohzono K, et al. Prognostication of nontraumatic avascular necrosis of the femoral head. Significance of location and size of the necrotic lesion. Clin. Orthop. Relat. Res. 1994; 303: 155-64.
7 Koo KH, Kim R. Quantifying the extent of osteonecrosis of the femoral head: a new method using MRI. J Bone Joint Surg (Br) 1995; 77: 875~880.
8 Herring JA, Neustadt JB, Williams JJ, et al. The lateral pillar classification of Legg-Calvé-Perthes disease. J Pediatr Orthop 1992; 12(2): 143-50.
9 李子荣,张鹤山。 股骨头坏死诊断和治疗的专家建议。 中华骨科杂志2007;27:146~148。
10 李子荣。股骨头坏死治疗方法选择的病理学基础。中华医学杂志 2007, 87(29): 2021~2022.
11 李子荣,张念非,史振才,等。股骨头坏死塌陷的预测与治疗选择。 中华骨科杂志 2003; 23(4): 193~196.
12 Ito H, Tanino H, Yamanaka Y, et al. Long-term results of conventional varus half-wedge proximal femoral osteotomy for the treatment of osteonecrosis of the femoral head. J Bone Joint Surg Br 2012; 94(3): 308-14.



 
 
 
   京公网安备11010502051256号
 京公网安备11010502051256号