加入和未加骨形态发生蛋白2的打压植骨术治疗股骨头坏死
2013-01-28 文章来源:中日友好医院 李子荣 我要说
骨科在线版权所有,如需转载请注明来自本网站
加入和未加骨形态发生蛋白2的打压植骨术治疗股骨头坏死
李子荣 孙伟 史振才 王佰亮 张启栋 郭万首
(中日友好医院 骨科、骨坏死与关节保留重建中心,北京,100029)
摘要:
目的 回顾性对照分析加入和未加入骨形态发生蛋白2(bone morphogenetic protein2, BMP2)的打压植骨术治疗股骨头坏死(osteonecrosis of the femoral head, ONFH)的疗效。
方法 42例72髋非创伤性ONFH手术患者获得随访。手术方法为经髋关节前路,股骨头颈交界处开窗,坏死灶清除,人工骨打压植骨。第一组每例加入rhBMP2 4mg,第二组未加。男19例,女23例。手术时年龄22~54岁,平均30.9岁。患髋按国际骨循环学会(Association Research Circulation Osseous, ARCO)分期,按中日友好医院(China-Japan Friendship Hospital,CJFH)分型。临床疗效按Harris髋关节功能评分(Harris hip score,HHS)评定,影像学按股骨头有否塌陷及病灶修复情况评定。
结果 随访5~7.8年(平均6.1年)。优36髋,良12髋,尚可7髋。股骨头保存率76.4%。其中第一组为81.8%,第二组为71.8%(p=0.459)。ARCOⅡ期为90.3%,Ⅲa期为34.6%(p=0.0285);CJFH-B型及C1型为95.3%,C3型为29.6%(p=0.050)。
结论 经股骨头颈开窗病灶清除,打压植骨术在选择合适的非创伤ONFH患者(ARCO Ⅱb,c期及CJFH B型和C1型)可获得优良的中期疗效。加入rhBMP2可提高手术疗效和骨修复质量。
关键词:股骨头坏死; 打压植骨术; 重组人骨形态发生蛋白2
Treatment of osteonecrosis of the femoral head with debridement and impacted bone graft mixed with and without bone morphogenetic protein
Li Zirong, Sun Wei, Shi Zhencai, Wang Bailiang, Zhang Qidong, Guo Wanshou
(Centre for Osteonecrosis and Joint-preserving & Reconstruction, China-Japan Friendship Hospital, Beijing 100029, China)
Abstract:
Objective To compare and analysis the effectiveness of treatment of osteonecrosis of the femoral head (ONFH) with debridement and impacted bone graft mixed with or without bone morphogenetic protein2 (BMP2).
Methods Totally 42 patients (72 hips) with nontraumatic ONFH were followed-up. There were male 19, female 23. The age at the time of operation was from 22 to 54 years old (an average 30.9). The operations were performed through the anterior approach. The window was opened at the junction of the femoral head and neck. Thorough debridement was carried out in the necrotic foci. The artificial bone substitutes (DBM or Novobone) were impacted. The rhBMP2 4mg were mixed with bone substitutes in addition in the patients of the first group. The necrotic stage was divided into Ⅰto Ⅳ stage according to Association Research Circulation Osseous (ARCO) classification system. The necrotic type was divided into A to C type according to China-Japan Friendship Hospital (CJFH) classification system. The clinical effectiveness was evaluated by Harris hip score (HHS). The imagination was evaluated by pre-and postoperative X-ray films and CT scans.
Results All patients were followed-up from 5 to 7.8 years (an average 6.1 years). The excellent function was obtained in 36 hips, good function in 12 hips and fair function in 7 hips. The survival rate of the femoral head was 76.4 percent. Among them the survival rate was 81.8 percent in the first group and 71.8 percent in the second group(p=0.459). The survival rate was 90.3 percent in ARCO stage Ⅱb,c and only 34.6 percent in ARCO stage Ⅲa(p=0.0285). The survival rate was 95.3 percent in CJFH type B and C1, and only 29.6 percent in CJFH type C3 (p=0.050).
Conclusion The excellent and good function in mid-term can be achieved in the selected patients (ARCO stageⅡb,c and CJFH type B, C1 ) with impacted bone graft operation. It could promote the operative effectiveness and quality of bone repairing with mixed rhBMP2 in addition.
Key words: Osteonecrosis of the femoral head; Impacted bone graft; Recombinant human bone morphogenetic protein2
非创伤性股骨头坏死(osteonecrosis of the femoral head, ONFH)多发生在中青年。未经有效治疗,多数患者将在1~5年内进展到股骨头塌陷,其中的大部分将继发为骨关节炎,最终不得不行人工关节置换术(1)。由于这些患者多年青,人工关节的长期疗效仍难预料。因此,寻求有效的技术,选择合适的适应证,尽可能多且时间长的保留或挽救患者一个功能优良的自身关节,延缓甚至避免人工关节置换术是重要研究课题(2)。本文总结我科早期开展的坏死病灶清除,打压植骨术治疗股骨头坏死的中期疗效,比较加入和未加骨形态发生蛋白2(bone morphogenetic proten 2, BMP2)的临床疗效。探讨此技术的最佳适应证。
1. 资料与方法
1.1 临床资料 2004.1~2006.5,46例79髋非创伤性ONFH患者(多数为应用皮质类固醇治疗的SARS患者)在我院接受病灶清除,打压植骨术治疗。手术均由第一作者完成或监视下完成。分为二组,第一组为打压植骨加BMP2组,共20例36髋,男9例,女11例。双髋15例,左髋1例,右髋5例。手术时年龄23~49岁(平均31.1岁);第二组为打压植骨未加BMP2组,共26例43髋,男11例,女15例。双髋17例,左髋3例,右髋6例。手术时年龄22~54岁(平均30.7岁)。分组未按双盲法,仅按患者要求及获得BMP2的便利性确定是否加BMP2。
1.2 分期与分型 所有患者术前均行双髋MRI扫描(GE Sigma profile 1.5T T1WI和T2WI,部分患者尚加用T2WI压脂及STIR序列),双髋正位和蛙式位X线片,大多数患者也行双髋CT扫描,冠状位、轴位及矢状位二维重建。
1.3 按国际骨循环学会(Association Research Circulation Osseous, ARCO)0-Ⅳ期分期法(3)及三柱结构为基础的中日友好医院(China-Japan Friendship Hospital, CJFH)A-C型分型法(4)逐例行分期和分型。无Ⅰ期及A型坏死,详细资料见表1,2
表1 术前分期(ARCO, 0-Ⅳ期)
| 
 | 第一组(患髋数) | 第二组(患髋数) | 
| Ⅱ期 | 25(Ⅱb 4,Ⅱc 20) | 24(Ⅱb 6,Ⅱc 18) | 
| Ⅲa期 | 11 | 19 | 
| 合计 | 36 | 43 | 
表2 术前分型(CJFH, A-C型)
| 
 | 第一组(患髋数) | 第二组(患髋数) | 
| B型 | 4 | 6 | 
| C型 | 32(C1 15,C2 1,C3 16) | 37(C1 20,C2 3,C3 14) | 
| 合计 | 36 | 43 | 
1.4 疗效评定 临床疗效按Harris髋关节评分(HHS),≥90为优,≥80为良,≥70为尚可,≤69为差。影像学评定按正侧位X线片分为股骨头保持球形,轻度塌陷但髋臼股骨头对合好,中重度塌陷。有CT扫描的患者分为完全修复,部分修复,软骨下骨板断裂。
1.5 手术技术 仰卧位,患髋垫高呈45°~60°,髋关节前方改良Watson-Jone切口约5~7cm,自阔筋膜张肌与臀中小肌间隙进入,显露前外侧关节囊。切开、清除炎性滑膜。在股骨头颈交界处开窗(2.0~2.5cm长,1.5~2.0cm宽),在C型臂X线透视监测下,用高速磨钻及刮匙等交替清除位于股骨头前外上侧的坏死骨,保留5mm厚软骨下骨板,硬化骨用3.0mm钻头多处钻孔,直至创面有活跃新鲜血渗出。取自体髂骨外板松质骨,连同人工骨(本组应用DBM或NOVOBone)混合,逐层压紧。股骨头颈开窗处用原切下的骨板回植覆盖,一枚可吸收螺钉固定。第一组患者加入rhBMP2 4mg(杭州九源基因公司赠送),第二组患者未加BMP2。
1.6 术后处理 主动活动手术髋。2周后持拐,负重30%体重(双侧同期手术者延缓至4周),逐渐增加负重,至6周改为负重50%体重,12周弃拐活动。口服双磷酸盐制剂6~12月。术后3、6、12月,以后每年行临床随访并拍摄双髋正侧位X线片。
1.7 统计学方法 采用SPSS17.0统计学软件对数据进行分析,计数资料用X2检验或Fisher精确概率法。以p<0.05为差异有统计学意义。
2.结果
2.1 临床结果 第一组2例3髋失去随访,第二组2例4髋失去随访,其余手术患者均获得5年至7年8月(平均6.1年)的随访。
依HHS,按分期和分型分别统计,见表3。优36髋,良12髋,优良率66.7%(48/72),尚可7髋,股骨头保存率为76.4%(55/72)。差17髋为23.6%(17/72),其中7髋已行全髋关节置换术。
第一组(加BMP2组),优17髋,良6髋,优良率为69.7%;尚可4髋,股骨头保存率为81.8%;差6髋(18.2%)。
第二组(未加BMP2组),优19髋,良6髋,优良率64.1%,尚可3髋,股骨头保存率71.8%;差11髋(28.2%)。
表3 两组手术疗效比较
| 
 | 第一组 (加BMP2组) | 第二组 (未加BMP2组) | 统计值 | P值 | 总计 | 
| 随访病例(髋) | 33 | 39 | ― | 0.923 | 72 | 
| 手术时年龄(岁) | 31.1 | 30.7 | ― | 0.923 | 30.9 | 
| 临床疗效 | 
 | 
 | 
 | 
 | 
 | 
| 优 | 17 | 19 | 
 | 
 | 36 | 
| 良 | 6 | 6 | 
 | 
 | 12 | 
| 优良率(%) | 69.7(23/33) | 64.1(25/39) | 0.252 | 0.616 | 66.7(48/72) | 
| 尚可 | 4 | 3 | 
 | 
 | 7 | 
| 股骨头保存率(%) | 81.8(26/33) | 71.8(28/39) | 0.466 | 0.459 | 76.4(55/72) | 
| 分期疗效(优良) | 
 | 
 | 
 | 
 | 
 | 
| Ⅱb | 4/4(100%) | 6/6(100%) | 
 | 
 | 10/10(100%) | 
| Ⅱc | 16/19(84.2%) | 13/17(76.5%) | ― | 0.684 | 29/36(80.6%) | 
| Ⅲa | 3/10(30.0%) | 6/16(37.5%) | ― | 1.000 | 9/26(34.6%) | 
| 分型疗效(优良) | 
 | 
 | 
 | 
 | 
 | 
| B | 4/4(100%) | 6/6(100%) | ― | ― | 10/10(100%) | 
| C1 | 17/20(85.0%) | 9/12(75.0%) | ― | 0.274 | 29/32(90.6%) | 
| C2 | 0/1(0.0%) | 1/2(50.0%) | ― | ― | 1/3(33.3%) | 
| C3 | 3/8(25.0%) | 9/19(47.3%) | ― | 1.000 | 8/27(29.6%) | 
注:统计值为X2值(Fisher精确概率法无统计值)。Ⅱb,Ⅱc;Ⅱc与Ⅲa间p<0.05;Ⅱc与Ⅲa间有统计学差异(p=0.0287);C1型与C3型间有统计学差异(p=0.050)
2.2 影像学结果 影像学结果与临床结果基本同步。临床结果优的36髋,34髋维持圆形且修复较完全(图1)。1例双髋Ⅲa激素性(SARS患者)ONFH,术后随访7年8月,X线片显示股骨头虽不圆,但临床HHS评分90分为优(图2)。功能为良的12髋,7髋股骨头不圆,但股骨头与髋臼匹配好,其余5髋股骨头维持圆形。临床评定为差的17髋,股骨头均有超过4mm塌陷,股骨头与髋臼匹配不好,股骨头内无折断,MRI未显示骨髓水肿,关节间隙呈不对称改变,CT扫描示软骨下骨折,MRI显示骨髓水肿。
病灶修复情况比较,加用BMP2组病灶修复的完全性及硬化骨数量普遍优于未加BMP2组。(图3)
3. 讨论
3.1 经股骨头颈开窗,病灶清除并打压植骨术在选择性股骨头坏死患者可获优良疗效。Rosenwasser等(5)最早报导应用此法治疗ONFH。15髋非创伤性ONFH,平均随访12年,股骨头保存率为81%。Mont(6)改良此技术,植入物中加入脱矿骨基质(DBM),19例21髋平均4.5年随访,优良率为86%。本组病例均获5年以上随访,股骨头保存率为81.8%、优良率为66.7%,虽稍低于两位作者结果。但都证明此技术的有效性。上述两篇报告均未提及不同分型与分期坏死的结果比较,因而对指导选择最宜手术患者的价值有限。本组研究结果显示,ARCO Ⅱ期ONFH疗效好于ARCOⅢ期,CJFH分型中B型,C1型疗效明显优于C2、C3型。因此,我们建议,在选择保头手术前,对每位坏死患者准确分期和分型是取得手术成功的先决条件。ARCOⅡ期,B型和C1型患者是此法最佳适应范围。对Ⅲa期及C3型患者,选择此法宜慎重,除非很年青的患者(≤35岁)。
3.2 BMP2的价值及应用改进设想 动物实验与临床应用都证明BMP系列中的BMP2及BMP7(op-1)均可通过诱导体内间充质干细胞定向分化为成骨细胞而增强成骨活性,从而促进骨愈合和修复(6-10)。Lieberman最先将人骨提纯的BMP(hBMP)与去抗原冻干异体骨混合打压植入经股骨头颈开窗,坏死骨清除的ONFH患者股骨头内。16例17髋,平均随访53月,14髋成功保存股骨头(86%)。此14髋均为Ficat分期的ⅡA期(相当于ARCO分期Ⅱ期),而3髋Ficat分期的ⅡB(相当于ARCO分期Ⅲ期)患者均失败而行关节置换术。可见此手术成功与否与病变分期密切相关。本组对是否加入rhBMP2的患者比较,发现加入BMP2组保存关节的成功率和优良率均高于未加BMP2组(81.8%对71.8%,69.7对64.1%),虽经统计学处理差别不显著,但成功的比例还是提高不少。仔细分析发现,疗效提高的仅限于ARCOⅡ期或CJFH的B型和C1型患者组,ARCOⅢ期及CJFH的C3型患者组并未提高。结合影像结果,可以显示,BMP2对病灶内骨修复的速度和质量有促进作用,但对已有软骨下骨坏死断裂(Ⅲ期)或坏死带穿透软骨下骨(C3型)的坏死灶修复作用有限。尽管我们对手术患者进行了分期和分型对照研究,但由于患者数量仍少,某些分型病例数很少,因此,未能反映统计学上意义,此未本文的局限之一。局限之二是应用的人工骨为两种中一种,但未分开统计,两种人工骨的成骨率不一定相同,此也会影响结果。
BMP2的应用方法有进一步改进的必要和空间。包括本组在内的既往报告都显示BMP2均是混合在人工骨或异体骨中均匀植入。动物实验显示(7,11,12)股骨头内缺损的修复主要位于有血运的缺损边缘,中间部分仍是未修复的纤维组织。因此,将混合有较高浓度BMP2的人工骨或异体骨植于软骨下骨板及缺损周缘,使该处更快且更多的成骨,增厚软骨下骨板,增强坏死股骨头的抗压强度,而其余部分的植骨不加BMP2,好钢用在刀刃上。
Vandermeer等(13)用小猪制成Legg-perthes病的模型显示同时植入双磷酸盐和BMP2的动物坏死股骨头修复最佳,认为抑制破骨,增加成骨同步进行有利于坏死骨更好地修复。因此,可将此法用于治疗ONFH,即在缺损区同时植入双磷酸盐制剂和BMP2,有可能使坏死股骨头得到更满意修复(14)。
参考文献
1. Mont MA, Zywiel MG, Marker D R. et al. The Natural History of Untreated Asymptomatic Osteonecrosis of the Femoral Head: A S ystematic Literature Review. J Bone Joint Surg Am. 2010, 92(12): 2165-2170.
2. Lieberman J R, Engstrom S M, Meneghini R M, et al. Which Factors Influence Preservation of the Osteonecrotic Femoral Head? Clin Orthop Relat Res. 2012, 470(2): 525-534.
3. Gardeniers JWM. A new international classification of osteonecrosis of the ARCO committee on terminology and classification. ARCO News Lette.r. 1992, 4: 41-46.
4. 李子荣,刘朝晖,孙伟,等. 基于三柱结构的股骨头坏死分型—中日友好医院分型. 中华骨科杂志. 2012, 32(6):515~520.
5. Rosenwasser MP, Garino JP, Kiernan HA. Long term followup of thorough debridement and cancellous bone grafting of the femoral head for avascular necrosis. Clin Orthop Relat Res. 1994, 306: 17-27.
6. Mont MA, Etienne G, Ragland PS. Outcome of nonvascularized bone grafting for osteonecrosis of the femoral head. Clin Orthop Relat Res. 2003, 417: 84-92.
7. 孙伟,李子荣,史振才,等. 纳米晶胶原基骨和骨髓间充质干细胞复合修复兔股骨头坏死缺损的研究. 中国修复重建外科杂志. 2005,19(9):703~705.
8. Mont MA, Jones LC, Elias JJ. Strut-autografting with and without osteogenic protein-1 : a preliminary study of a canine femoral head defect model. J Bone Joint Surg Am 2001, 83(7): 1013-1022.
9. Lieberman JR, Conduah A, Urist MR. Treatment of osteonecrosis of the femoral head with core decompression and human bone morphogenetic protein. Clin Orthop Relat Res. 2004, 429: 139-145.
10. Mont MA, Ragland PS, Biggins B, et al. Use of bone morphogenetic proteins for musculoskeletal applications. An overview. J Bone Joint Surg Am, 2004, 86(suppl 2): 41-55.
11. 陈瀛,李子荣,程立明,等. 骨髓基质细胞的体内成骨示踪研究. 中华医学杂志. 2010, 90(37):2652~2656.
12. 杨强,彭江,卢世璧,等. 组织工程骨-软骨复合体修复犬股骨头负重区大面积骨软骨缺损的实验研究. 中华骨科杂志. 2011,31(5):549~555.
13. Vandermeer JS, Kamiya N, Aya-Ay J, et al. Local administration of ibandronate and bone morphogenetic protein-2 after ischemic osteonecrosis of the immature femoral head: a combined therapy that stimulates bone formation and decreases femoral head deformity. J Bone Joint Surg Am 2011, 93(10): 905-913.
14. Kim HKW. Pathophysiology and new strategies for the treatment of legg-calvé-perthes disease. J Bone Joint Surg Am. 2012, 94(7): 659-669.



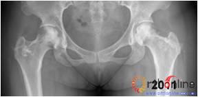
图1 女,22岁,(1)双侧股骨头坏死右侧B型,左侧C1型;(2)打压植骨术(加入BMP2)后5年,CT显示植骨生长良好,关节功能正常(Harris评分96分);(3)术后7年关节功能维持正常,股骨头维持正常外形




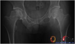
图2 男,22岁,激素性骨坏死,(1)双侧股骨头骨髓水肿,ARCO分期Ⅲa期,C3型;(2)X线片示股骨头塌陷,术前关节功能差(Harris评分50分);(3)打压植骨术(未加BMP2)后7年,关节功能好(Harris评分90分),股骨头有轻度塌陷,但头臼匹配好;(4)蛙式位显示股骨头臼匹配好


图3-1 女,31岁,SARS患者骨坏死,(1)MRI示双侧股骨头坏死,右Ⅱb(B型),左Ⅱc(C1型);(2)打压植骨术(未加BMP2)后坏死修复不完全,仍遗留股骨头软骨下病灶未完全修复, 5年随访关节功能优(Harris评分96分)


图3-2 女,30岁,SARS患者骨坏死,(1)术前MRI示双侧骨坏死;右Ⅱc期C3型,左Ⅱb期B型,打压植骨术(加BMP2),(2)5年后CT显示病灶修复好,关节功能优



 
 
 
   京公网安备11010502051256号
 京公网安备11010502051256号