儿童股骨干骨折治疗攻略:解锁“年龄密码”,精准选择

2024-05-20   文章来源:骨科在线   作者:骨科在线 我要说

儿童股骨干骨折是儿童骨折中较为常见的一种骨折,指股骨小转子下至股骨髁上之间的骨折,约占儿童全身骨折的1.4%~1.7%,通常以坠落伤、运动意外受伤和交通事故引起为主。儿童股骨干骨折主要发生于2个年龄段,第一个年龄段为1~3岁,主要为低能量损伤;第二个年龄阶段为青春期早期,主要为高能量损伤。

小于3岁的儿童股骨干骨折以保守治疗为主,大于3岁的儿童股骨干骨折随着弹性髓内钉的临床应用,治疗方式也越来越趋向手术治疗。对于儿童股骨干骨折的治疗原则,主要是恢复股骨轴线与旋转畸形,而不是非要强调解剖复位。根据美国骨科医师协会的临床实践指南,最佳治疗方法是要根据患儿年龄和骨折类型来选择。

目前,尚无通用的儿童股骨干骨折分类、分型系统。根据骨折位置分为:近段骨折、中段骨折、远段骨折;按照骨折断端情况分为:横型骨折、螺旋型骨折、斜型骨折、粉碎型骨折;按照软组织损伤后骨折断端是否与外界相通分为:闭合性、开放性骨折。

一、0~6月龄儿童股骨干骨折的治疗方式

0~6月龄儿童骨膜较厚,股骨干骨折愈合较快,自我塑形、自我矫形能力较强,大部分移位与成角均可自行矫正。但是,此阶段儿童股骨干骨折治疗前一定要评估是否存在因骨代谢异常而发生的病理性骨折的情况,临床上排除骨代谢异常后可采用保守治疗。目前,0~6月龄儿童股骨干骨折的治疗主要为Pavlik吊带固定Pavlik吊带最早应用于小于6月龄儿童发育性髋关节脱位的患儿。该固定方法简单也逐渐应用于新生儿或婴儿的股骨干骨折。此方法是将髋关节维持在屈曲及外展位、膝关节维持在屈曲位置,其具有限制活动的作用,并可以允许膝关节适当屈伸活动,使骨折断端的肌肉力量在制动位置能够达到相对的平衡。该方式利用患儿股骨干骨折再塑性的潜能,允许断端在小于2cm的重叠和小于20°~30°的成角,年龄越小,允许成角的度数越大。

二、6月龄~3岁儿童股骨干骨折的治疗方式

1.夹板外固定:小龄儿童如果骨折后断端短缩与成角均不明显时,可采用小夹板固定或小夹板配合牵引治疗,可达到骨性愈合,疗效满意,并发症少的效果。

2.髋人字石膏固定:既往采用髋人字石膏固定的位置多为90°-90°位或称为坐式(即屈髋、屈膝各90°),其主要是利用膝部和髋部的2个弯曲,通过石膏固定起持续支撑牵引进而进行断端复位,但其有发生小腿筋膜间隔区综合征、膝关节后方皮肤坏死等风险。为避免以上风险,可采用轻度屈髋屈膝的髋人字石膏固定。有研究对低龄儿童的股骨干骨折采用手法复位后蛙式位石膏外固定治疗,疗效显著,并发症较少。最常见的并发症为固定后出现肢体短缩与成角畸形,大多数可自行塑形,少数患者若出现畸形愈合则需手术治疗。

3.牵引后石膏、支具外固定:髋人字石膏固定适用于6月龄~3岁闭合性股骨干骨折患儿,但不适用于断端缩短大于2cm、复合伤或开放性骨折患儿。对于短缩大于2cm的低龄儿童股骨干骨折,不能即刻采用石膏外固定,此时多采用皮牵引或骨牵引后石膏或支具外固定。在牵引方式选择上,临床多首选皮牵引,便于骨折初始疼痛管理。但需注意,由于皮肤牵引及石膏固定治疗一般时间长,护理不当,容易出现皮肤过敏、压疮、皮疹,严重者出现足下垂、皮肤脱落等并发症。为避免此类并发症的发生,患者出院时应向家属交代出院后护理重点即防止出现皮肤并发症,密切观察双下肢皮肤情况,若出现过敏、起水泡等要及时处理,定时变换体位检查皮肤情况,防止压疮形成。

皮牵引治疗儿童股骨干骨折

二、3岁以上儿童股骨干骨折的治疗方式

1.弹性髓内钉内固定:目前对于儿童股骨干骨折的治疗,弹性髓内钉是最常见的的内固定方式。弹性髓内钉是利用3点支撑的原理,通过手术的方式将进钉点、髓内钉弧弓顶点、髓内钉钉头与股骨髓腔内内壁形成一个稳定的支撑结构。具体操作为在股骨远端骺板上方内外侧各插入1枚相同直径弹性髓内钉,直径约为髓腔最窄处直径约1/3,钉尾露在皮质外0.5~1.0cm,于髓内成“X”形的6点固定。其优点在于弹性髓内钉操作过程中不需要扩髓,骨折断端不需要切开,不需要剥离骨膜,对骨折端血供影响小,固定后骨折断端的纵向微动,不产生应力遮挡,符合生物力学特性。目前,对于3岁以上儿童股骨干骨折,选用弹性髓内钉内固定进行治疗,均获得了满意疗效。弹性髓内钉内固定治疗也存在局限性,其抗旋转能力较差,对于长斜形或长螺旋形等不稳定性股骨干骨折,常会出现骨折断端再次移位、弹性钉退钉、股骨长度丢失等并发症。但是也有学者对儿童不稳定性股骨干骨折应用弹性髓内钉并配合螺钉内固定、尾帽技术、加用第3根弹性钉方法,以增加稳定性,获得满意疗效。弹性髓内钉出现的并发症主要为针尾激惹、抗旋转能力差、畸形愈合、股骨长短丢失等。临床上随着使用的增多,其缺点及并发症逐渐出现,建议对一些年龄较大或体重大于50Kg患儿限制弹性髓内钉使用。

弹性髓内钉治疗儿童股骨干骨折

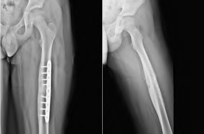
2.钢板内固定:既往对于大体重的儿童、累及股骨近端或远端的儿童复杂骨折,弹性髓内钉固定较困难,失败率和畸形率高,所以多选择钢板螺钉固定,但是钢板内固定有其明确的适应证。另外,由于术中切口较大,局部创伤大,对骨折端的骨膜剥离大进而对局部血运产生影响,出现骨折不愈合或延迟愈合等情况。此外,钢板内固定为偏心性固定,骨折线处的高扭转应力并不利于稳定固定,易发生钢板疲劳、断裂、取出困难等情况。由于存在应力遮挡存在取出后出现再骨折的现象,采用钢板螺钉内固定治疗儿童股骨干骨折呈现减少的趋势。

钢板内固定治疗儿童股骨干骨折

临床上为了避免并发症及内固定物对骨膜的压迫,且减少应力遮挡,对于学龄期儿童股骨干骨折采用肌肉下桥接钢板(钢板预留间隙技术)进行内固定治疗。肌肉下桥接钢板属于微创技术,其具有微创、对骨折局部血供及骨膜破坏小、应力分布均匀、固定可靠等优点,可早期进行关节功能锻炼,能够避免普通的钢板螺钉固定的缺点及并发症,适用于体重大、不稳定性、粉碎性骨折或累及干骺端的骨折。采用肌肉下桥接钢板治疗儿童股骨干骨折,疗效满意,固定可靠,损伤小,并发症少。但是,其相比于弹性髓内钉,该方式肌肉下隐形剥离较大,并且为偏心固定,生物力学稳定性不及中心固定,若护理不当或过早下地活动,会出现断钉、断板等并发症,所以必要时需要外固定。

3.外固定架固定:外固定架既往多作为临时固定,主要适用于儿童股骨干开放性骨折、粉碎性骨折以及伴有软组织损伤严重的骨折。有生命危险和截肢风险的创伤,快速地使用外固定架可以提供坚强的临时固定,为更紧急的损伤救治创造条件,二期再更换为钢板或带锁髓内钉固定,也可以作为一种固定方式至骨折愈合。建议分级为4级的5~9岁单侧高能量粉碎和长度不稳定型骨折的患儿使用外固定架。外固定架固定的优势主要在于不需要显露骨折断端,患儿的骨膜及机体均不会再次受到损伤,对骨折断端的血供没有影响,利于骨折的愈合。外固定架固定在早期可以牢固稳定骨折断端,可以早期随时调整骨折对线对位,在愈合后期可以轻微的放松锁钮,可以消除外固定架固定所产生的应力遮挡,有利于骨痂的生成及骨折断端的愈合。外固定架的主要并发症有外固定架使用后钉道感染、神经血管损伤、膝关节僵硬、拆除后再骨折。临床上减少发生再次骨折的方法为拆除外固定架之前松动锁钮,负重行走1个月再去外固定架,去除外固定架后支具保护会更加有效。

4.带锁髓内钉内固定:儿童股骨干骨折治疗的指南认为年龄大于10岁、体重大于49Kg的患儿建议使用带锁髓内钉。临床上对于大龄、大体重儿童股骨干骨折采用青少年股骨外侧髓内钉或带锁髓内钉内固定治疗,可取得良好的疗效,且安全性高。髓内钉内固定治疗也是一种微创手术方式,骨折断端一般不需要切口或做一小切口,就可达到解剖复位,带锁后可控制旋转,可以早期进行功能锻炼,对髋膝关节的活动影响较小。该方法也存在不足,有些病例会伴有股骨头坏死、髋外翻畸形和股骨颈狭窄等并发症。由于常常需要扩髓,导致髓内结构的遭到破坏,带锁引起骨折端应力遮挡,继而出现延迟愈合与不愈合,而最严重的并发症为股骨头缺血性坏死,虽然其发生率低,但这是影响其在临床广泛使用的原因,也是临床最严重的并发症。所以对于骨骼未成熟青少年,不推荐使用交锁髓内钉。但是也有学者治疗青少年股骨干骨折选用青少年型带锁髓内钉时,经大转子外侧进针,在短期内对股骨头血运、股骨近端骨骺发育和髋关节功能不会造成影响。

带锁髓内钉治疗儿童股骨干骨折

临床上治疗方法的选择应考虑患儿的年龄、患儿自身情况及骨折类型等因素,并根据临床医师的专业技术水平与临床操作经验,以选择最合适的治疗方式。采用更加微创的方式进行治疗儿童股骨干骨折,能够保证骨折断端稳定性、减少创伤,加快骨折愈合,尽可能降低并发症。

本文来源:

蒋国鹏,陈志龙,李卫平,等.儿童股骨干骨折治疗方式的研究进展[J].骨科临床与研究杂志,20249(2)102-105.

宋凯,张池,丁凡.儿童股骨干骨折治疗方式的选择[J].中国骨与关节损伤杂志,2021,36(12)1250-1253.

分享到: