临床必备|腰骶移行椎的影像学分型

2024-05-06   作者:张万乾、王想福 我要说

临床必备|腰骶移行椎的影像学分型

腰椎骶化及骶椎腰化均是椎骨发育的异常,腰椎骶化是指第五腰椎外型类似骶椎形态,并构成骶骨块的一部分,一侧或两侧横突肥大呈翼状,与骶骨发生融合或形成假关节。骶椎腰化是指第一骶椎演变成腰椎样形态,即第一骶骨从筋骨块中游离出来形成第6个腰椎。

腰椎骶化

骶椎腰化

如何在临床阅片准确判断是一个很重要的问题,这里介绍一个最准确的判断方法

这是一个最关键和准确的鉴定方法,国内著名骨放射学家杨世埙教授指导过,只要大家留意关注腰椎横突"三长/四翘/五宽",L3横突是最长的,L4横突是上翘的,L5横突最宽,特别用在胸椎腰化合并L5骶化的时候比较实用。

1984年,Castellvi提出LSTV分类系统将移行椎分为Ⅰ-Ⅳ型。

Ia型(单侧)和Ib型(双侧):横突肥大宽度超过19mm

IIa型(单侧)和IIb型(双侧):横突与骶骨相接触形成假关节


IIIa型(单侧)和IIIb型(双侧),横突与骶骨发生骨性融合

IV型:一侧横突与骶骨形成假关节另一侧形成骨性融合

目前,腰骶移行椎以Castellvi的分类方法最为常用。其主要根据横突形态及其与骶骨、髂骨是否融合或形成假关节而分为4型,Ⅰ、Ⅱ、Ⅲ型又根据单、双侧分为A、B两个亚型。

正常

I型:主要为腰5横突发育不良,横突宽度大于19mm,并将其分为两个亚型Ia(单侧横突发育不良)或Ib(双侧横突发育不良)

L5右侧横突肥大,为Ⅰa型

L5双侧横突肥大,为Ⅰb型

II型:表现为不完全的腰椎骶化,具有增宽的横突,并且和骶骨形成假关节,并将其分为两个亚型IIa(单侧关节形成)或IIb(双侧关节形成)

L5左侧横突肥大,假关节形成,为Ⅱa型

L5双侧横突肥大,假关节形成,为Ⅱb型

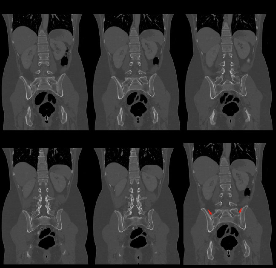
III型:单侧(IIIa)或双侧(IIIb)腰椎完全骶化,腰5横突与骶骨完全骨性融合

L5右侧横突肥大与骶骨发生骨性融合,为Ⅲa型


L5双侧横突与骶骨骨性融合,为Ⅲb型

IV型:一侧为II型即腰5横突与骶骨形成假关节,对侧为III型即腰5横突与骶骨形成骨性融合

IV型即混合型:L5双侧横突肥大,一侧与骶骨相接触为Ⅱ型表现,另一侧与骶骨形成骨性融合为Ⅲ型

移行椎一般不引起症状,但是这种畸形可影响脊柱的稳定并逐渐产生症状,移行椎较正常椎体潜在着更多不稳。由于负重及运动不平衡,而引起腰痛。

它与腰骶部疼痛存在密切的相关性是不可忽视的并干扰诊断与之症状相近的其它疾病如椎间盘突出、致密性骨炎、强直性脊柱炎等等当然这其中有些疾病可以并存X线、CT检查在腰骶部移行椎的诊断中有重要意义不仅能对本病做出诊断并且有助于鉴别诊断。

作者简介

张万乾

甘肃省中医院医师,主攻脊柱退行性疾病的发病机理和防治研究。“脊柱e学”公众号创建者,专注于脊柱相关疾病的文献研究与健康科普。

王想福

主任医师,硕士研究生导师,甘肃省中医院脊柱疾病诊疗中心副主任,脊柱微创骨科主任。

甘肃省优秀医师,甘肃省名中医,甘肃高层次专业技术人才,金城首席科普专家,“西部之光”访问学者,丹麦Glostrup医院访问学者,甘肃省脊柱微创椎间孔镜技术联盟负责人,甘肃省医学会医学鉴定专家《中华创伤杂志》特约审稿专家,《中医正骨》审稿专家。

擅长微创脊柱外科,包括经皮脊柱内镜治疗腰椎间盘突出症、腰椎管狭窄症;经皮脊柱内镜治疗神经根型颈椎病和颈椎管狭窄症;内镜辅助下神经根鞘瘤切除术;内镜辅助下颈腰椎骨折复位内固定术;内镜辅助下脊柱结核病灶清除术;内镜辅助下的腰椎椎间融合术(ENDO-LIF);单侧双通道内镜UBE及UBE-LIF手术;单孔双通道内镜VBE及VBE-LIF手术;微创通道下脊柱融合术(MIS-TLIF、OLIF);机器人辅助下的微创融合术,颈椎低温等离子射频消融术(PCN)等。累计完成脊柱微创手术4000余例。

中华医学会骨科分会微创外科学组青年委员中国中西医结合学会骨科微创专业委员会微创融合学组副主任委员中国中西医结合学会骨科微创专业委员会内镜学组常务委员中华中医药学会脊柱微创专家委员会常务委员中国医促会骨科分会脊柱内镜学组委员中国医师协会骨科医师定期考核委员会脊柱外科专家组委员中国康复医学会骨伤康复专业委员会第一届委员会委员中国康复医学会骨质疏松与康复专业委员会委员中国康复医学会骨伤康复专业委员会委员中国康复技术转化及发展促进会脊柱微创加速康复学组委员中国中医药研究促进会软组织疼痛分会全国人工智能技术专家委员会常务委员中国民族医药协会健康科普分会首席科普专家白求恩精神研究会康复医学分会副会长白求恩公益基金会微创脊柱专业委员会委员甘肃省中西医结合学会脊柱微创专业委员会主任委员甘肃省康复医学会脊柱内镜加速康复专业委员会主任委员甘肃省医师协会脊柱外科专业委员会副主任委员甘肃省医师协会脊柱微创专业委员会副主任委员甘肃省医学会骨科分会常务委员

先后主持或参与科研课题及人才计划项目20余项,以第一或通讯作者发表CSCD及国家级核心期刊论文60余篇,SCI收录9篇,EI收录3篇,国内会议论文30余篇,出版专著4部,授权发明专利3项,先后获得中华中医药学会科学技术三等奖1项,皇甫谧中医药科技二等奖1项、三等奖3项等。

分享到: