TKA中骨缺损处理方法(附胫骨骨缺损的植骨手术技术)

2024-04-17   文章来源:骨科在线   作者:骨科在线 我要说

全膝关节置换术中所遇到的骨缺损可由许多原因引起,包括关节炎性成角畸形、髁发育不全、缺血性坏死、创伤和胫骨高位截骨术史及全膝关节置换术等。处理骨缺损的方法取决于缺损的部位与大小。包容性或腔隙性缺损在其周边有完整的骨皮质,而非包容性或节段性缺损则更靠周边,且无完整骨皮质边界(图1)。

1 A.包容性缺损有完整的骨皮质边缘环绕缺损区;B.非包容性缺损则靠近周边,缺少骨皮质边缘

Rand将缺损分为以下3种类型:

I型:干骺端局部骨质缺损,皮质边框完整。

Ⅱ型:干骺端广泛骨质缺损,皮质边框完整。

Ⅲ型:干骺端和骨皮质均有缺损。

小缺损(<5mm)通常用骨水泥填塞。包容性缺损可用骨松质打压植骨填塞。较大的非包容性缺损可通过多种方法治疗,包括结构性植骨、金属楔形垫片或螺钉加强的骨水泥填塞等。Anderson骨科研究所(AORI)进一步描述了股骨(F1F2F3)或胫骨(T1T2T3)的骨丢失。Ⅱ型缺损进一步分类为A型(单侧髁骨缺损)和B型(双侧髁骨缺损)。

胫骨周围型骨缺损的植骨手术技术:

用骨锯切下尽量少的骨质,将凹陷的、不规则的缺损转变为平整的缺损(图2)。

将自股骨远端或胫骨近端切下的骨块附于平整的缺损处,并用Steinmann针或螺钉固定(图3)。

在胫骨上表面仔细地再次截骨,做出一个平整的表面。

在用骨水泥粘接时,可预先用少量骨水泥封闭移植骨与胫骨的连接部,以防最终用骨水泥固定假体时骨水泥被挤入该间隙内。

若需要从胫骨或股骨上切除过多的骨量才能保证骨面平整对合,则不能采用这种重建方法矫正缺损。在这种情况下,应锉平不规则的骨面,以保证骨移植部位最大限度地对合。

修整移植骨的形状以适应缺损区。

2 Windsor等处理胫骨边缘缺损的植骨方法

3 胫骨内侧节段性骨缺损用股骨远端切下的自体骨填充,用松质骨螺钉固定

恢复中立位对线非常重要,这对于移植骨的存活及假体松动均有影响。股骨和胫骨都使用带髓腔柄的假体以保护周边移植骨不受应力影响。

Brand等首先报道了使用与胫骨金属托相配合的金属楔形垫解决胫骨缺损的方法(图4)。经过平均3年的随访,22例膝关节无1例出现胫骨假体松动。大多数流行的膝假体采用组合式的楔形垫和块状垫片,它们可与股骨和胫骨假体相组合,用于治疗各种骨缺损。利用这些配件,手术医师可在术中根据1处或多处具体缺损为患者制订个性化假体。

4 用于加强股骨和胫骨的组配式楔形模块

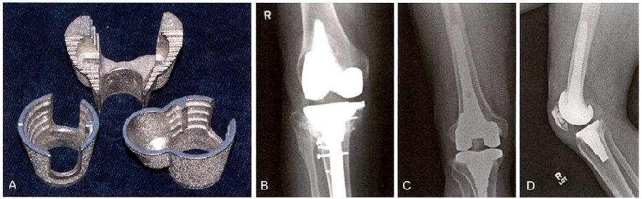
尽管目前在初次置换中常常作为非必要部分多孔金属加强块和锥形袖套的报道应用的效果较好(图5A)。把锥形袖套压配到股骨远端或胫骨近端的包容性骨缺损中,并用骨水泥把假体粘贴于这些加强块上使其成为一体。还可以把锥形袖套和假体组合形成一体式的假体结构。包容性骨缺损中,锥形袖套也可以粘在假体上组合形成单一假体结构。诸如图5BC。这些方法大部分应用于伴有明显骨缺损的翻修手术中。这些锥形袖套的骨整合能力非常好,甚至假体失败后也很难取出。

5 A.将多孔金属锥体放置在干骺端缺损处,以加强固定。B.X线片示用双叶胫骨假体扩大由于胫骨平台骨折不愈合造成的缺损。C.如图所示,类风湿关节炎骨不良患者翻修TKA的正侧位片中,与植入物茎端相连的袖套型假体可以增强骺端包容或非包容性的缺损

来源:坎贝尔骨科手术学:第14.1卷,总则·关节外科·截肢/(美)弗雷德里克·M.阿扎(Frederick M.Azar),(美)詹姆斯·H.贝蒂(James H. Beaty)原著;唐佩福,王岩,卢世主译.-北京:北京大学医学出版社,2023.1

分享到: