肩关节脱位诊治新方法:轨迹评估与治疗选择

2024-03-26   文章来源:天津市天津医院   作者:陈德生 我要说

肩关节脱位诊治新方法:轨迹评估与治疗选择

来源:天津市天津医院

作者:陈德生


大约1%到2%的普通人群在其一生中会经历盂肱关节脱位,年轻、活跃及运动人口特别容易发生肩部不稳定事件,超过95%的肩关节不稳定事件发生在前方。

图1

不同年龄肩关节脱位具有不同的特点,10-30岁年轻人发病率在35%左右,男性多于女性,且复发率高达90%,外伤原因通常为高能量损伤,主要病变为前关节囊盂唇复合体损伤(高达97%)。60岁以上的老年人发病率在32%左右,女性多于男性,复发率低于10%,外伤原因多为低能量损伤,主要病变为肩袖损伤(35-86%)。

一、肩关节脱位病理解剖

1、Bankart损伤

与创伤性肩关节脱位相关的主要解剖异常是Bankart损伤(前盂唇和下盂肱韧带插入点的肩关节囊的一种撕脱损伤)。文献报道,127例急性和慢性创伤性前向不稳定肩关节的患者数据肩关节反复前脱位患者伴有Bankart损伤概率高达97%。

图6

视频1

2、骨性Bankart损伤

术语“骨性Bankart”(相对于“纤维性Bankart”),常用于指相邻的前下骨折,这种损伤也常发生于肩关节前脱位。

图7

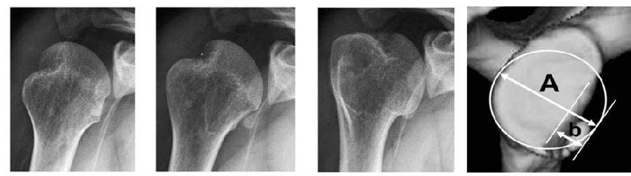
3、肱骨头骨缺损

文献报道,伴有Hill-Sachs损伤概率达93%。肱骨头骨缺损(Hill-sachs损伤)的发生率占肩关节前向不稳病例的65%-93%。目前,肱骨头显著性骨缺损的评定标准尚无统一定论。Di Giacomo等将Hill-sachs损伤分为“On-track”和“Off-track”。

图8

视频2

4、显著性骨缺损

运动员肩关节前方不稳定一般伴随不同程度的关节盂骨缺损。Burkhart和De Beer首先定义了“显著性”骨缺损,肩盂骨缺损最常见于关节盂前缘。目前观点认为:骨缺损超过关节盂总宽度的25%或者关节盂长度的19%-21%认为是“显著性骨缺损”。 明显肩胛盂骨缺损病变的运动员,其复发率达80%。Itoi等提出了“肩胛盂轨迹”(Glenoid track)的观点,来评估双相骨缺损。

图9

二、运动轨迹概念的提出

2007年日本仙台东北大学Eiji Itoi教授和Nobuyuki Yamamoto提出肩关节盂肱运动轨迹的概念。

图10

当手臂上举时,肩胛盂与肱骨头的接触区域会从肱骨头的中下部向外上部分转移,这个相互的接触区域就被称为肩胛盂轨迹。接触区域的内侧缘到肩袖止点的内侧缘的距离约为84%肩胛盂的宽度。

图12

当没有肩胛盂骨缺损时,肩胛盂轨迹的宽度占了肩胛盂宽度的84%。当有肩胛盂前缘骨缺损时,应该从这84%的长度中减去骨缺损的宽度,这样才能够获得一个真正的肩胛盂轨迹的宽度。

图13

2014年Giovanni Di Giacomo提出轨迹内/轨迹外损伤,并以此提出分类及治疗策略。

图14

上图显示接触区域的内侧缘到肩袖止点的内侧缘的距离约为83%肩胛盂的宽度。A1-B1是肩胛盂的长轴,C-D是肩胛盂的宽度,E-D是肩胛盂轨迹,为83%肩胛盂的宽度。B图为盂肱关节在外展外旋位的对合关系,肱骨头和肩胛盂接触区域内侧边缘(M)到肩袖足印区的内侧边缘(F)的距离,是肩胛盂宽度的83%±14%。(肩胛盂轨迹=F-M=83%肩胛盂的宽度)。

图16

盂肱关节处于外展外旋位时,由于肱骨头的Hill-Sachs损伤和肩胛盂的骨缺失(双极骨缺失),Hill-Sachs损伤延伸到了肩胛盂轨迹内侧缘的内侧,肱骨头失去了肩胛盂前缘的骨性支持,此时我们称为轨迹外Hill-Sachs损伤。 盂肱关节处于外展外旋位时,如果Hill-Sachs损伤在肱骨头上的肩胛盂轨迹的内侧缘之内,我们称为轨迹内Hill-Sachs损伤。

图17 轨迹内Hill-Sachs损伤

上图显示无关节盂骨缺损板伴中型 Hill-Sachs 病例,确定了 83% 的宽度。虚线 G 表示盂轨道内侧缘的位置,虚线 R 代表肩袖附着点的内侧缘。Hill-Sachs 病变位于轨道上,为轨迹内Hill-Sachs损伤。

图18 轨迹外Hill-Sachs损伤

上图显示关节盂骨缺损板伴巨大Hill-Sachs损伤,肩胛盂轨迹的宽度应为:83%的正常肩胛盂(对侧)宽度-丢失的宽度(d)。虚线G1为实际肩胛盂轨迹的内侧缘与肱骨头所对应的界线。虚线G2表示如果肩胛盂没有骨缺损,肩胛盂轨迹的内侧缘本应该与肱骨头相对应的界线。虚线R代表肩袖附着点的内侧缘。Hill-Sachs损伤的范围向内延伸超过了肩胛盂轨迹的内侧缘,轨迹外Hill-Sachs损伤。

三、肩关节脱位轨迹评估:影像学评估法

Case1:影像学评估病例,19岁,打篮球摔伤脱位。

图23 首次脱位

图24 打球再次受伤,复发脱位

图 25-27 MRI

双侧CT三维扫描显示:健侧肩胛盂宽度D=25.9,患侧D=23.9,患侧肩胛盂骨性缺损d=6.2,骨性盂唇缺损面积d/D为23.9%(<25%)。肩胛盂轨迹GT(83%D-d)为15.3mm。

图28双侧CT三维扫描

图29 Hill-Sachs间隙为13.8mm(<15.3mm)

图30 评估结果

评估报告提示:右肩胛骨关节盂前下缘撕脱骨折,符合骨性bankart损伤。右肱骨头后上缘凹陷骨折,符合Hill-Sachs损伤。Hill-Sachs间隙为13.8mm(<15.3mm),为轨迹内肩关节前脱位。

四、肩关节脱位轨迹评估:关节镜下测量评估法

关节镜下肩胛盂轨迹(Glenoid Track,GT)评估是金标准,可以监测一侧骨缺损、Hill-sachs损伤间距评估。

视频3 肩胛盂骨缺损

视频4 肱骨头骨缺损

视频5 外展外旋

术中通过评估肩胛盂轨迹,可以计算出骨缺损的范围和比例,另外评测肱骨头凹陷区域距离。

图31 D:15X2=30mm,d:15-10=5mm,83%D=24.9mm,d/D=16.7%

根据公式,可以计算出存在骨缺损的肩胛盂轨迹(0.83D-d),此例中的肩胛盂轨迹为0.83×30-5=19.9mm。

图32 Hill-Sachs损伤测量方式

上图为Hill-Sachs损伤的测量方式,采用前端为4mm的探钩,可以看到Hill-Sachs损伤的区域为3个探钩前端的跨度,因此HS为12mm。

评估报告提示:肩胛盂轨迹(Glenoid Track,GT)19.9mm,Hill-Sachs间距(Hill-Sachs Interval,HSI)24mm。

图34  BB=12

骨桥宽度的测量方式,采用前端为4mm宽的探钩测量,发现骨桥宽度正好为3个探钩前端的跨度,应为12mm。

计算Hill-Sachs间距(Hill-Sachs Interval,HIS)。这个间距应为Hill-Sachs损伤的宽度(HS)加上骨桥(Hill-Sachs损伤的外侧缘到肩袖止点)的宽度(BB),HSI:HS+BB=24mm。

五、手术方案的选择

第一步判断是轨迹内Hill-Sachs损伤还是轨迹外Hill-Sachs损伤(on-track or off-track?)。

第二步评估肩胛盂骨缺损的是否超过下肩胛盂的25%。

第三步根据下表推荐的手术方式来选择手术。

图36

典型病例,王XX,男性,15岁。主诉右肩外伤疼痛、活动受限1月。既往半年前有肩关节脱位病史。

图37 既往肩关节脱位时,急诊所拍的X线片

图38 复位后的肩关节CT


视频6-7(拼在一个画面里,左右并排) 术前查体,ISIS评分6分

图39 此次复发脱位MR评估

图40 影像学评估

双侧CT三维扫描显示:D=34mm,d=3mm,d/D=肩胛盂骨缺损9%;GT=25.2mm,HIS=30mm。

该患者为轨迹外Hill-Sachs损伤,需要做bankart修补,同时轨迹外做remplissage手术。


视频8-10(拼接)

前上盂唇与肩盂骨接触紧密,盂唇完整;前下盂唇从3点半到6点。与盂分离,无骨性bankart损伤;后盂唇正常。


视频11-12(拼接)

视频13-15(拼接)

视频16

肱骨头后上可见Hi11-sach损伤,HIS=3cm,软骨磨损消失,裸露硬化骨质。 于Hi11-sach损伤部位植入4.5mm corkscrew 1枚(备最后收紧)——Remplissage。

典型病例,苏X,男,36岁。主诉左肩关节反复脱位2年。诊断左肩复发性脱位、左肩胛盂骨折(骨性Bankart损伤)、左肱骨头Hill-Sachs损伤。

手术方案:左肩关节镜下探查清理、Latarjet术。

图42-43、视频17 术前查体,ASES评分57分,ISIS评分4分,Beighton评分2/9分

图44 术前MRI


视频18

图45 CT D=26mm d=8mm(上患侧,下健侧)

图46 CT d/D=30.7% GT=0.83D-d=13.6mm Hill-Sachs损伤I级,骨缺损 >25%


视频19-20(拼接)术中

视频21-23(拼接)术中

视频24-26(拼接) 术中

视频27 术后

六、小结

1. 肩关节脱位轨迹评估对肩关节脱位的治疗方案的选择有重要的指导意义。

2. 肩胛盂骨缺损小于下肩胛盂直径的25%,Hill-Sachs损伤的面积较小或不存在。Bankart修复手术。

3. 肩胛盂骨缺损大于或者等于肩胛盂直径的25%,那么无论Hill-Sachs损伤的范围多大,都应该进行植骨手术。

4. 肩胛盂植骨后,将肩关节外展外旋,Hill-Sachs损伤仍然会脱出,则应该考虑对Hill-Sachs损伤植骨处理,或进行remplissage手术。

5. 在植骨手术中,多建议采用Latarjet手术,增加肩胛盂轨迹,联合腱的悬吊效应来增加稳定。有了这两种联合作用,基本可以不用进行肱骨侧手术(Hill-Sachs损伤植骨或者remplissage手术)。

6. 巨大Hill-Sachs损伤,但肩胛盂骨缺损较小或无骨缺损,则建议术前在CT上测量HSI。如果HSI大于83%下肩胛盂直径,则应在进行Bankart修复手术后进行关节镜下的remplissage手术。

7. 对于进行过顶活动的运动员,外科医生应避免进行remplissage手术,因为术后会存在活动度的丢失,特别是肩关节外展外旋的角度。

8. 对于身体接触或冲撞型运动的运动员,即便患者的骨缺损不大,也建议采用Latarjet手术,以尽量减少复发不稳的几率。

作者简介

陈德生,教授,主任医师,硕士生导师。天津市天津医院运动损伤与关节镜科学科带头人/一病区行政主任。

学术任职:中华医学会运动医疗分会委员、上肢运动创伤学组委员,中国医师协会运动医学医师分会常委、内镜医师分会关节镜专委会常委、骨科医师分会保膝学组委员,中国中西医结合学会骨伤科分会保膝专家工作委员会副主委,中国医药教育协会肩肘运动医学分会常委、肩肘运动医学规范化培训环渤海中心主委,中国老年保健协会骨关节保护与健康分会常委及微创保膝专家组组长,中国老年学和老年医学学会老年骨科分会保膝学组副组长,天津市医学会运动医疗分会主任委员,天津市医学会骨科学分会关节镜学组组长,《中国骨与关节杂志》编委等。

参考文献:

Gottschalk LJ, Walia P, Patel RM, Kuklis M, Jones MH, Fening SD, Miniaci A. Stability of the Glenohumeral Joint With Combined Humeral Head and Glenoid Defects: A Cadaveric Study. Am J Sports Med. 2016 Apr;44(4):933-40.

Cofield RH, Kavanagh BF, Frassica FJ. Anterior shoulder instability. Instr Course Lect. 1985;34:210-27.

Walton J, Paxinos A, Tzannes A, Callanan M, Hayes K, Murrell GA. The unstable shoulder in the adolescent athlete. Am J Sports Med. 2002 Sep-Oct;30(5):758-67.

Sager M , Herten M , Ruchay S , et al. The anatomy of the glenoid labrum: a comparison between human and dog.[J]. Comp Med, 2009, 59(5):465-475.

Mamatha T;Shakuntala R. Pai;Murlimanju BV;Sneha G. Kalthur.Morphometry of Glenoid Cavity[J].Online Journal of Health and Allied Sciences.2011,Vol.10(No.3)

分享到: