经验分享|3D打印截骨导板在活动平台单髁中的应用

2024-02-29   文章来源:首都医科大学宣武医院骨科   作者:曹光磊 李征 我要说

经验分享|3D打印截骨导板在活动平台单髁中的应用

作者:曹光磊,李征

来源:首都医科大学宣武医院骨科


活动平台单髁(OUKA)优秀的设计,辅以友好的工具MP,目前已经取得了非常好的一些临床疗效。

尽管MP工具已经比较优秀,但是在临床实际操作过程中,MP工具还是存在一些偏差。比如股骨低头不够,胫骨平台后倾偏小或偏大,胫骨覆盖不足,股骨胫骨假体之间的相对垂直距离过大,胫骨过度外旋,胫骨过度内旋,后交叉韧带部分损伤等问题。


一项关于胫骨旋转的研究,通过术后CT的调研,发现胫骨平台的旋转,在使用传统MP工具的情况下,最大平衡度可以到20°左右。

MP工具假体的准确度在文献中也有一些报道。有文献表明,如果以±2°做偏差来进行一个精准度的考量,无论是股骨假体还是胫骨假体的空间位置上,精准度最高到40%左右,平均在20%左右。

OUKA假体精准度的解决方案

未来如何实现单髁更精准、更微创,可能需要不同维度的解决方案。首先就是机器人,目前机器人比较火,因为其精准度比较高,但是它需要购置专用设备,价格昂贵,而且不利于在基层开展,特别是在目前的经济环境下;同时机器人设备需要占据空间,术中需要专门的工程师配合,术中需要注册,手术时间相对延长等特点。

对于单髁来说,考虑的另外一个解决方案就是3D打印导板结合AI。其具有精准度较高,不需要购置专用设备,价格亲民,利于在基层开展,不需要额外的设备空间,不需要术中专门的工程师配合等特点。但是,同时术中需要清除软骨和贴附导板可能会导致手术操作时间相对延长。

3D打印截骨导板在OUKA中的操作要点

3D打印截骨导板术前规划,要跟工程师细致认真的沟通,三维假体的位置,以及导板相应的贴附区。

术前规划

1、具体操作-术前要求

①基本信息:患者名字首字母缩写、患侧、术式、假体耗材;

②影像采集要求:下肢全长CT或分段CT(包括完整的髋、膝、踝关节,膝上、下15cm,髋下、踝上15cm),全长正位片;

③间距/层厚≤1毫米;

④数据格式:原始DICOM(.dcm);

⑤数据传输需要和销售人员对接;

⑥术者和工程师沟通术前规划。

需要额外准备的工具包括:6枚2.5毫米克氏针,软骨刮匙和克丝钳。

术前确认方案,包括大小型号,冠状矢状以及轴面上不同位置,如何选择每个人比较合适的假体相关位置。

术前确认方案

2、具体操作-体位入路

活动平台主要是胫骨截骨和股骨钻孔,随后就是传统工具的使用。重点集中在前面的部分,体位选择标准的悬吊体位,悬吊或放于手术台上。入路选择髌旁内侧入路,髌骨内上角-胫骨结节内侧。需注意的是,要充分剥离胫骨前内侧软组织,保留胫骨结节内侧0.5-1cm的软组织,并向胫骨结节处剥离。一定不要清除骨赘,但是骨赘表面软骨要去除掉。

3、常规探查-确认手术适应证

4、股骨准备

此时要把股骨髁间窝外侧壁进行整个的骨赘去除,但是对于股骨内侧髁外侧壁的骨赘一定不要去除。随后常规插入髓腔杆,它主要目的是髌骨拉钩的作用,能够提高整个手术的效果。然后要剥离股骨内侧髁内上方贴附区的软组织,刮除股骨远端贴附区软骨。注意不要去除周围的骨赘,但是骨赘表面的软骨一定要去除。

5、胫骨准备

胫骨准备也是也是一样的要求,参照导板在模型上表面紧密贴附的位置去除残余的软骨。注意不要先清除胫骨前方的骨赘,可以将前又韧带止点前方的砧状骨赘去除。同时要清除髁间窝内侧壁的骨赘。

6、贴附胫骨导板

将胫骨导板置于剥离显露好的骨面,术者通过按压点向后、下、外施压,令导板与胫骨前、上和胫骨结节内侧充分贴附。按照顺序打导针,此时要注意术者按压,助手打导针,确保导针与固定孔的方向保持一致,并且导针突破二次阻力就停,不要导针过深导致后边血管神经损伤。

7、胫骨截骨

检查数据之后,进行分区截骨。垂直截骨注意避免后手抬高导致后方皮质过度切割。水平截骨在Z字拉钩保护下进行,最后截断内侧截骨槽的连接点。注意为避免锯的过程中出现震动导致的导板移位,需要在锯的过程中通过上面的按压点维持导板稳定。

在做了导板之后有一个突出的体会,就是会在取胫骨平台骨块时遇到很多困难,因为过去用传统工具时,可能后倾稍微大一点,由于后方切的比较深,后方关节囊会和骨块贴的比较紧,这时就要费很大力,将骨块从一个狭小空间内取出。但是做3D打印导板设计之后,且实施规划的比较好,基本就会很少遇到这样的困难了。

8、贴附股骨导板

将股骨导板置于对应的贴附区,沿按压点向后、向外下按压,确认位置贴附满意。术者通过按压点确保导板贴附,助手按照导针顺序顺着导针孔的方向固定导针。注意在导针有二次阻力突破即停止。同时要从各个角度确认导板贴附准确。

9、股骨钻孔

分别钻4毫米和6毫米桩孔。注意助手通过按压点维持导板稳定,并顺着导孔方向钻孔。

10、核查切骨与规划之间的吻合度

取下导板,取出骨块进行比对。注意对比厚度时要加上软骨的厚度如果吻合度有明显偏差,可以考虑徒手加截。

11、截股骨后髁、切除内侧半月板之后步骤省略

通过传统工具截股骨后髁,注意槽内截骨后手压低。用尖刀切除内侧半月板,保留1毫米残余。

12、术后拍片

目前,笔者团队已经做了70多例,在早期探索过程中可能会出现一些问题,但是之后基本上都是比较好的,术后片子比较赏心悦目。

典型病例

13、符合度验证

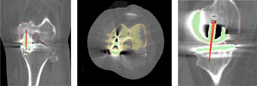
同时,笔者团队也在和导板公司进行合作,把用术后CT和术前CT进行匹配,来验证术前规划的偏离度有多少,包括胫骨后倾、冠状面内倾、轴面胫骨假体旋转、股骨在冠状面的角度、股骨在轴面上的旋转角度以及在矢状面上屈伸角度。

符合度验证

简单总结一下近期的数据,共20例患者的20例膝关节,男5人(25%),女15人(75%),左膝11例(55%),右膝9例(45%)。平均年龄69.8+5.6岁。以±3°作为整个导板设计规划与实际实施的幅度标准。术前规划与术后实际型号没有任何区别,是100%的符合度。

胫骨后倾角有95%的符合度,胫骨内翻角是100%的符合度;胫骨旋转仍然存在一个相对大的差距,但是比传统工具要更好,有70%的病人胫骨内旋角是在范围之内。

股骨在冠状面的角度上也是比较好的表现,股骨内翻角存在95%的符合度,股骨内外旋转角稍差一点,但也达到70%。目前唯一还存在不太满意的地方就是矢状面上股骨假体低头,这个角度偏差度和术前规划差距较大,有50%的准确。

上文回顾之前的一篇文献提到,实际上传统工具和机器人如果按照±2°的话,它只有最高41%的准确度,所以导板能达到目前这样的准确度已经很不错了。但是,后续还有很多需要不断改进探索的地方。

总结

1、尽管MP工具已经很优秀,但在OUKA假体位置上仍存在一些精准度的问题。

2、3D打印截骨导板在OUKA假体精准度方面可以提供一种性价比最优,便于基层推广的解决方案。

3、未来导板的方向不只是个性化的设计和实施,而是数字化量产的个性化制作。

作者简介

曹光磊,首都医科大学宣武医院骨科行政副主任、关节组组长,主任医师,教授,博士研究生导师

学术任职:中国老年保健协会骨关节保护与健康分会秘书长,中国老年学和老年医学学会老年骨科分会保膝学组副组长,中国医药教育协会骨病老年骨创伤分会常务委员,中国医药教育协会骨并发症专业委员会常务委员,吴阶平医学基金会骨科青年医师联盟常务委员,中国研究型医院学会关节外科专业委员会膝关节保护与矫形学组委员,中国研究型医院学会关节外科专业委员膝关节部分置换研究学组委员,北京围术期医学研究会保膝分会副主任委员,北京医学会骨科学分会关节外科学组委员,北京医学会骨科学分会感染学组委员,ASIA(亚洲人工关节学会)中国分部委员,中国骨科菁英会创始会员等。《Orthopaedic Surgery》 《BMC musculoskeletal disorders》《中华外科杂志》《实用骨科杂志》等期刊特约审稿人。

近五年在本专业方向以第一或通讯作者身份先后发表核心期刊24篇,SCI文章15篇,参与出版书籍3本。国家专利4项,主持国家级课题1项,省部级课题1项,局级课题1项,校局级科研项目2项,参与973支撑课题、国家自然科学基金课题、北京市科委计划课题等多项相关课题,曾获得教育部科学技术进步一等奖。

李征,首都医科大学宣武医院骨科主治医师

擅长关节外科疾病的诊治,膝关节骨关节炎的阶梯化治疗。

学术任职:中国医药教育学会骨并发症专业委员会委员,中国医药教育学会骨病老年骨创伤分会委员等。

分享到: