2023盘点|髋关节镜手术新进展

2024-01-22   文章来源:上海交通大学医学院附属第一人民医院运动医学科   作者:陈疾忤,张善星 我要说

2023盘点|髋关节镜手术新进展

作者:陈疾忤,张善星

来源:上海交通大学医学院附属第一人民医院运动医学科


在2023年,髋关节镜手术依然是国内外运动医学发展的重要热点之一,髋关节镜手术围手术期的评估、中长期随访结果、BDDH患者疗效评估及风险、盂唇重建术等方面均有多篇高质量文献发表,现总结如下,供广大同道参考。

1、髋关节镜手术的影像及临床效果评估专家共识发表

髋关节镜下处理髋臼侧Pincer和股骨侧Cam,解除骨性撞击是髋关节镜手术处理股骨髋臼撞击综合征(Femoroacetabular impingement syndrome,FAI)的关键,如何评估骨性撞击解除是否适当长久以来都较为主观,缺乏统一认识。由75位国际知名髋关节镜手术专家参与的关于髋关节镜手术后的影像及临床效果评估专家共识在《Arthroscopy》杂志发表[1]。

该共识总结认为:髋关节镜术中多角度透视、术中髋关节动态观察、术后骨盆前后位片和45°Dunn位片是评估股骨头颈交界区凸轮成形情况,术中髋关节动态观察、术后前后位片交叉征消失、LCE角减小情况评估Pincer去除是否充分。对于髋关节镜术后髋痛症状无缓解甚至加重的患者,该“共识”指出,可在手术后6-12个月期间进一步进行检查(三维CT、MR等),在初次髋镜手术至少12个月后评估是否需要再次行髋关节镜翻修手术。

当前,髋关节成形操作尚无统一的评价,大多数患者对于FAI患者股骨侧Cam的评估及成形后评估均依赖于X片和三维CT进行主观评价。髋关节成形不足导致髋关节镜术后骨性撞击残留是患者髋镜手术效果不佳甚至需行髋关节镜翻修手术的最常见原因之一。陈疾忤教授[2]曾经报道基于三维CT下球形模拟法标记股骨Cam的大小和范围,使得术者在髋镜术前对患者的Cam的评估更加精准,提高髋镜术中Cam成形的精度。在对于髋镜翻修手术时,初次髋镜手术所进行的磨骨成形增加了翻修手术时镜下识别、定位Cam部位更的困难度,利用Carbone等[3]3D软件标记出残留的Cam,提高了髋镜翻修手术髋关节成形的精度。

图1:球形模拟标记股骨Cam

图2:3D软件在髋镜翻修手术前标记残留的Cam

2、髋关节镜手术远期疗效值得信赖

FAI是髋关节镜手术最常见的手术指征。随着髋关节镜手术的开展,越来越多的文献表明髋关节镜手术治疗FAI能取得较为优良的中远期疗效。Lee[4]等综合了12篇文献进行系统回顾。该组文献共纳入1344髋,随访时间长达10年~20年。在10篇报告了随访时功能评分的文献中有8篇文献报道了显著的功能改善,另外2篇文献也报道了较为明显的功能改善程度。共有5篇文献MCID获得率超过80%或者PASS获得率超过75%。行二次髋镜翻修手术率为4.5%-24%。全髋关节置换的比率差异较大,达0%-44.1%,高龄、软骨损伤是导致髋关节置换的主要原因。在无明显骨关节炎且髋镜术中行盂唇修复的患者,髋镜术后20年依然可获得90%的髋关节生存率,说明手术指征可能会显著影响髋镜手术中远期疗效。

运动员是FAI的高发人群,FAI会明显影响运动员的运动功能和职业发展。Domb教授[5]随访了2008年至2010年期间行髋关节镜手术治疗的177位运动员(189髋)最少10年的随访研究结果显示,患者的mHHS、NAHS、 HOS-SSS、iHOT-12、VAS疼痛评分等评分均仍然显著高于术前(P值均<0.001),患者手术满意度高达86%。该组运动员患者在初次髋关节镜手术后行二次髋镜翻修手术比例为10.6%,全髋关节置换的比例为14.3%,重返运动的比例为71.5%。其中盂唇进行修补的患者和单纯盂唇修整的患者对比(46例vs46例),盂唇修补患者重返运动和形髋关节置换的比例无明显差别,但是盂唇修补可推迟患者行髋关节置换的时间(术后93.8月vs52.8月)。

髋关节镜手术一直对于避免FAI患者发生骨关节炎(OA)的疗效一直存有较大的争议。Husen等[6]也对多大957例FAIS患者(1114髋)进行中长期随访研究,其中132髋行髋关节镜手术治疗,982髋行保守治疗。平均随访时间为12.5±4.7年(范围5.0-23.4年),随访结果显示,髋镜手术组患者OA进展比率显著低于保守治疗的患者(26.5%vs35.2%,P<0.01),全髋关节置换的比例也低于保守治疗的患者(6.8%vs10.5%),但差异无统计学意义(P= 0.19)。高龄、Cam畸形、较高的OA Tonnis分级依然被证明是髋镜手术失败、OA进展的重要危险因素。

我们需要注意是,当前文献报道的长期随访的结果是早期髋关节镜手术的患者,目前,无论是手术适应证选择还是手术技术均已有较大改进。例如,Lamba等[7]基于最小13年的长期随访结果显示,髋关节镜手术时行单纯的盂唇清理修整患者在髋镜术后行全髋关节置换的比例要高于行盂唇修补的患者。在髋镜手术操作完成后行关节囊修复也能提高髋关节镜手术后中远期疗效[8]。因此,可以预计将来的关于髋关节镜手术处理FAI的长期随访结果可能比目前文献报道的结果更加优秀。

3、髋关节镜手术的术前、术后评估

3.1 新的体格检查方法

屈髋内收内旋试验(flexion-adduction-internal rotation,FADIR),又名前方撞击试验,是诊断髋关节盂唇损伤最常用的查体方法。Adib F等[9]近期在AJSM上报告了2个新的查体方法,分别是Arlington试验和twist试验。Arlington试验首先让患者平卧,将患侧下肢从中立位被动转换成屈髋外展外旋位,最后再转换成屈髋内收内旋位,如在整个过程中诱发髋痛症状则表示该试验阳性。twist试验是让患者患肢单侧负重,微屈膝关节,让患肢像雨刮器一样来回摆动,如此时诱发髋关节疼痛,则表示该实验阳性。Adib F等通过对比研究发现,Arlington试验敏感性显著高于FADIR试验,而twist试验的特异性也显著高于FADIR试验。因此,在FADIR试验的基础上,采用Arlington试验和twist试验对髋痛患者进行查体可以更准确的判断髋部疼痛和盂唇损伤的情况。

图3:Arlington试验和twist试验[9]

3.2 关注髋关节关节间隙大小

既往的研究已经证明,髋关节骨关节炎会影响髋关节镜手术效果,当髋关节间隙小于2mm时,髋关节镜手术效果往往较差。Ruzbarsky等[10]对699例FAIS患者(782髋)行髋关节镜手术并随访4.2±2.1年。他将该组患者分为3组,分别是狭窄组(关节间隙<2mm)、交界组(关节间隙2-3mm)、正常组(关节间隙>3mm)。结果显示,狭窄组患者发生中、重度软骨损伤(Outerbridge 3/4级)的比例明显高于交界组和正常组(78%vs50%vs50%),关节间隙狭窄患者在髋臼前外侧部分的软骨缺损范围更大。3组患者术后随访时的关节功能评分均显著优于术前。但是狭窄组患者发生关节置换的比例会明显高于交界组和正常组患者(15.7%vs3.0%vs2.1%)。线性回归分析证明,关节间隙狭窄是髋镜手术后行全髋关节置换的危险因素,关节间隙每狭窄1mm,术后行髋关节置换的风险增加2.5倍。

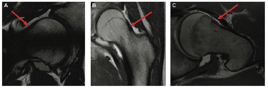
3.3青少年患者软组织型Cam

FAI患者股骨侧Cam的评估以往主要借助髋关节X线片和三维CT进行评估,然而,Youngman TR等[11]近期在AJSM上发表,青少年患者股骨的头颈交界区可能存在由软骨、纤维组织等构成的非骨性的凸轮畸形,而这种类型的非骨性的凸轮在X线片和三维CT等放射学影像上不会显示。因此,对于青少年患者,我们更应该仔细判读患者的MR影像,评估头颈交界区是否有软组织型的凸轮畸形。

图4:青少年患者MR显示头颈交界区软组织型凸轮畸形[11]

4、髋关节镜手术处理交界性髋关节发育不良(BDDH)

4.1 BDDH患者可获得有优良的中远期疗效

髋关节镜手术中需要切开关节囊,而关节囊是维持髋关节稳定的重要结构,因此,髋关节镜手术处理BDDH患者盂唇损伤的手术指征和治疗效果一直存在很大的争议。在2023年,有多篇文献报告了髋关节镜手术处理BDDH盂唇损伤的中远期随访研究。美国特种外科医院Selley RS教授随访了2009年至2012年在该中心行髋关节镜手术的BDDH患者33例(38髋),并与相同时期髋关节正常的FAI手术患者做对比研究,手术时BDDH患者平均LCE角和Tönnis角分别是22.42°±2.02°和 6.27°±3.23°,而对照组为31.71°±3.52°和2.42°±3.02°。两组患者在最少术后9年的随访时mHHS、HOS-ADL、HOS-SSS、iHOT-33功能评分均显著优于术前(P<0.001)。手术前,BDDH患者组髋关节功能评分在术前和随访时和对照组均无统计学差异。

4.2 影响BDDH患者髋镜术后疗效的不利因素

Marland教授等[12]随访研究发现,女性患者BDDH患者,如果前倾角大于20°,则在髋镜术后2~4年随访时的IHOT-12评分及 iHOT-12改善值均显著劣于股骨前倾角正常的BDDH患者。而对于LCE角大于25°的髋关节镜手术患者,股骨前倾角大于20°时其与股骨前倾角小于20°的患者术后髋关节功能评分并无显著差异。

北医三院王健全教授团队[13]通过回顾性随访研究发现,部分BDDH患者即便在髋关节镜术中行关节囊修复,但术后依然会发生关节囊不愈合或部分愈合的风险。关节囊不愈合/部分愈合的BDDH患者在术后2年随访中,发现其HOS-ADL、HOS-SSS、iHOT-12等关节功能评分均显著低于对照组(P<0.01),且HOS-ADL的MCID及PASS达到率也均小于对照组(P<0.05)。这些研究表明,无论是术前已经存在的骨性不稳定(股骨前倾角过大),还是术后获得的髋关节不稳定(髋关节囊愈合不良),均会对BDDH患者行髋关节镜术后功能恢复造成不利影响。

5、盂唇重建技术在初次髋关节镜手术中的应用

5.1 单纯盂唇清理的中远期疗效不佳

髋关节盂唇除了具有增加关节稳定性、营养髋关节软骨外,最关键的是其能维持髋关节密封性继而分散髋关节软骨的应力,减少关节软骨磨损。对于FAI并发的盂唇损伤,盂唇修复是最佳的选择,但是髋关节镜手术时经常会面对盂唇退变严重、过小、钙化等情况导致盂唇不可修复。单纯的盂唇清理操作简单、手术时间段,是面对不可修复盂唇时的常用手段。然而,Lamba A[7]等研究发现最少13年的髋镜手术随访研究,57例/59髋共16髋行全髋关节置换,随访时总的临床失败率达50%,可见单纯盂唇清理术中远期疗效不够理想。

5.2 盂唇重建在初次髋镜手术中应用

髋关节盂唇重建技术在美国已有10余年发展历史,主要是对于盂唇退变严重、盂唇钙化、盂唇缺如等情况下行盂唇重建术以恢复髋关节密封性,多在髋关节镜翻修手术时应用。去年,White教授[14]在《Arthroscopy》发表了初次髋关节镜手术髋臼成形结合盂唇重建处理严重钳夹型FAI患者(LCE角>45°),术后2年随访结果显示,平均LCE角由术前49°减少到36°,Tönnis由术前的-6°增加到0°,mHHS评分平均增加34.45分(P≤0.001),下肢功能评分(LEFSS)平均增加27.35分(P≤0.001),术后均未发生严重并发症,只有1例行在髋镜术后行全髋关节置换(2%)。

6、展望

髋关节镜手术技术和理念在近年来得到快速发展,然而,髋关节镜治疗FAI时特别是Cam的处理依然缺少统一的标准及依据。因此,基于术中导航技术进一步提高Cam成形的质量,提高治疗效果,避免Cam残留导致手术效果不佳甚至需要二次髋镜翻修手术,是未来值得开发研究及应用的重要内容。

作者简介

陈疾忤,主任医师,博士生导师,上海交通大学医学院附属第一人民医院运动医学科主任

学术任职:上海市医学会运动医学专科分会候任主任委员,中华医学会运动医疗分会委员,中国研究型医院学会运动医学专业委员会副主任委员,ISAKOS(国际关节镜-膝关节外科-骨科运动医学学会)肩关节委员会及髋关节委员会委员,中国医学救援协会运动医学分会常务理事,中国医疗保健国际交流促进会骨科学分会肩肘学组委员,中国医师协会骨科医师分会运动医学学组副组长,中华医学继续教育学会肩肘外科分会常委等。

张善星,浙江中医药大学、美国拉什大学(Rush University)联合培养医学博士毕业。

学术任职:中国康复医学会修复重建专委会保髋委员会委员、浙江省医师协会运动医学分会青年委员。

从事交叉韧带损伤、股骨头坏死、骨关节炎、血友病性关节病等关节疾病的基础科研工作多年。主持国家自然科学基金1项、浙江省自然科学基金1项,参与国家自然科学基金3项,共发表SCI论文23篇,其中以第一通讯作者发表SCI论文8篇。

参考文献:

1. Clinical and Radiographic Criteria Define "Acceptable" Surgical Correction of Hip Femoroacetabular Impingement Syndrome as Well as Postoperative Complications: An International Modified Delphi Study. Arthroscopy 2023, 39(5):1198-1210.

2. Cong S, Liu S, Xie Y, Luo Z, Chen J: Evaluation of Cam Deformity on 3-Dimensional Computed Tomography With the Best-Fit Sphere Technique and the Alpha Angle Marking Method. Am J Sports Med 2021, 49(4):1023-1030.

3. Carbone AD, Prabhavalkar ON, Perez-Padilla PA, Curley AJ, Nerys-Figueroa J, Domb BG: Utility of 3D Planning Software in Understanding Residual Proximal Femoral Deformity for Planning of Revision Hip Arthroscopy. Am J Sports Med 2023, 51(13):3434-3438.

4. Lee MS, Nam-Woo Kim D, Moran J, Gillinov SM, Mahatme RJ, Monahan PF, Islam W, McLaughlin WM, Grimm NL, Jimenez AE: Patients Undergoing Primary Hip Arthroscopy Report Favorable Outcomes at Minimum 10 Year Follow-Up: A Systematic Review. Arthroscopy 2023, 39(2):459-475.

5. Domb BG, Annin S, Monahan PF, Lee MS, Jimenez AE, Maldonado DR: Ten-Year Survivorship, Outcomes, and Sports Participation in Athletes After Primary Hip Arthroscopy for Femoroacetabular Impingement Syndrome. Am J Sports Med 2023, 51(9):2383-2395.

6. Husen M, Leland DP, Melugin HP, Poudel K, Hevesi M, Levy BA, Krych AJ: Progression of Osteoarthritis at Long-term Follow-up in Patients Treated for Symptomatic Femoroacetabular Impingement With Hip Arthroscopy Compared With Nonsurgically Treated Patients. Am J Sports Med 2023, 51(11):2986-2995.

7. Lamba A, Boos AM, Okoroha KR, Stuart MJ, Levy BA, Krych AJ, Hevesi M: Isolated Arthroscopic Debridement of Acetabular Labral Tears: High Rates of Failure and Conversion to Total Hip Arthroplasty at 13-Year Minimum Follow-up. Am J Sports Med 2024, 52(1):18-23.

8. Carbone AD, Prabhavalkar O, Chishti Z, Curley AJ, Parsa A, Domb BG: Hip Capsular Repair Results in Improved Patient-Reported Outcomes and Survivorship: A Systematic Review of the Literature. Arthroscopy 2023, 39(2):488-497.

9. Adib F, Hartline J, Donovan JS, Kalachi K, Dehghan P, Ochiai D: Two Novel Clinical Tests for the Diagnosis of Hip Labral Tears. Am J Sports Med 2023, 51(4):1007-1014.

10. Ruzbarsky JJ, Comfort SM, Lee S, Pierpoint LA, Philippon MJ: The Relationship Between the Joint Space and Outcomes After Hip Arthroscopic Surgery for Femoroacetabular Impingement: Reevaluating the 2-mm Rule. Am J Sports Med 2023, 51(6):1538-1547.

11. Youngman TR, Johnson BL, Morris WZ, Montanez B, Serbin PA, Wagner KJ, 3rd, Wilson PL, Alizai H, Ellis HB, Jr.: Soft Tissue Cam Impingement in Adolescents: MRI Reveals Impingement Lesions Underappreciated on Radiographs. Am J Sports Med 2023, 51(14):3749-3755.

12. Marland JD, Horton BS, Smythe JJ, West HS, Wylie JD: Combined Borderline Acetabular Dysplasia and Increased Femoral Anteversion Is Associated With Worse Outcomes in Female Patients Undergoing Hip Arthroscopy for Femoroacetabular Impingement. Arthroscopy 2023, 39(4):971-977.

13. Yang F, Zhang X, Xu Y, Huang H, Wang J: Patients With Unhealed or Partially Healed Anterior Capsules After Hip Arthroscopy for Borderline Developmental Dysplasia of the Hips Have Inferior Patient-Reported Outcome Measures. Arthroscopy 2023, 39(6):1454-1461.

14. White BJ, Spears H, McKaughan Q, Constantinides SM: Treatment of Severe Pincer-Type Femoroacetabular Impingement With Arthroscopic Significant Acetabular Rim Correction and Circumferential Labral Reconstruction Improves Patient-Reported Outcome Measures. Arthroscopy 2023, 39(1):41-50.

分享到: