干货|股骨胫骨双截骨在临床实践中的应用

2024-01-11   文章来源:北京积水潭医院矫形骨科保膝治疗与研究中心   作者:柳剑,黄野 我要说

干货|股骨胫骨双截骨在临床实践中的应用

来源:北京积水潭医院矫形骨科保膝治疗与研究中心

作者:柳剑,黄野


股骨胫骨双截骨是治疗患者股骨侧及胫骨侧均存在畸形的有效手段。在股骨侧一般选用内侧或外侧闭合楔形截骨术,而在胫骨侧则可能选择内侧闭合、内侧开放或者外侧闭合楔形截骨。

为什么要股骨胫骨双截骨

患者在整体力线上既可以表现为膝内翻,也可以表现为膝外翻。有研究表明,内翻膝股骨畸形占59%,内翻膝胫骨侧畸形占31%,内翻膝股骨+胫骨畸形占10%;外翻膝股骨畸形占22%,外翻膝胫骨畸形占45%,外翻膝股骨+胫骨畸形占33%

不同畸形部位

截骨矫形的整体目标是达到目标力线,并实现关节线无倾斜。有股骨畸形而单纯进行胫骨高位截骨术,会造成关节线倾斜。当出现不同方向的关节线倾斜,就会影响膝关节出现剪切力,导致患者出现不适症状。


目前临床普遍共识为剪切力倾斜不超过4°,但根据笔者临床经验表明,同样倾斜4°的情况下,内倾耐受度会更低。实施股骨胫骨双截骨可以恢复下肢力线,并保持关节线处于生理状态无倾斜,可以取得良好的效果。

股骨胫骨双截骨的适应证

股骨胫骨双截骨的适应证为股骨胫骨均存在畸形;下肢力线有或无偏移;如果行单侧截骨,关节线倾斜大于4°。

股骨胫骨双截骨的术前设计

股骨胫骨双截骨采用Miniacci法进行术前设计五步走:①判断是内翻还是外翻;②判断畸形在股骨、胫骨还是关节内;③确定目标力线;④确定截骨合页位置和截骨线方向;⑤Miniaci法确定截骨角度。

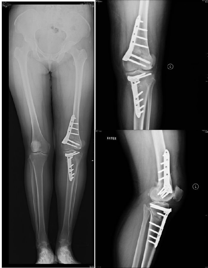
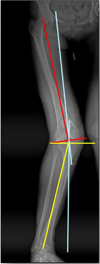
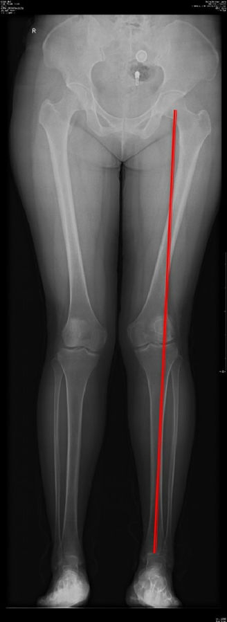
以两例病例展示术前设计的五步。患者一,女性,42岁,左膝疼痛2年,加重1年。

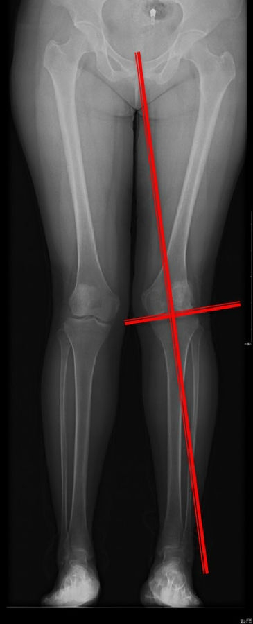
步骤一:判断内外翻畸形

画下肢机械轴,股骨头中心链接踝关节中心判断患者为内翻畸形还是外翻畸形。此患者为外翻畸形。

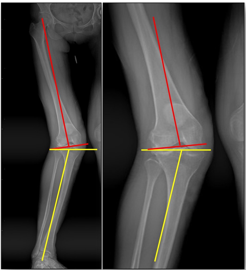
步骤二:判断畸形部位

量股骨远端外侧角和胫骨近端内侧角,判断畸形在股骨、胫骨还是关节内。此患者股骨侧有畸形,LDFA=76°,MPTA=81°,无关节内畸形。

步骤三:设定目标力线

以关节线为基准参考线,设定目标力线与关节线垂直。

步骤四:确定合页位置和截骨线方向

此患者计划股骨内侧闭合楔,胫骨内侧开放楔。

步骤五:Miniaci法测量角度

以股骨侧合页为旋转中心,以股骨头中心到合页的距离为半径,进行旋转,直到该线段与目标力线相重合,此时重合角度即为股骨需要闭合的角度,同时胫骨侧也能计算出开放的角度。此患者需要股骨闭合14°,胫骨开放8°。

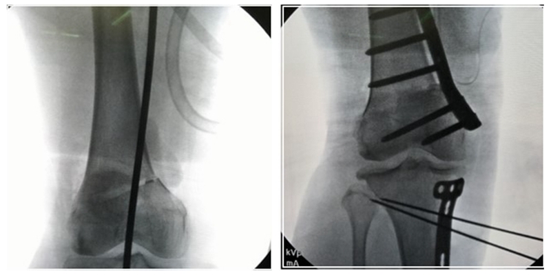
术后影像

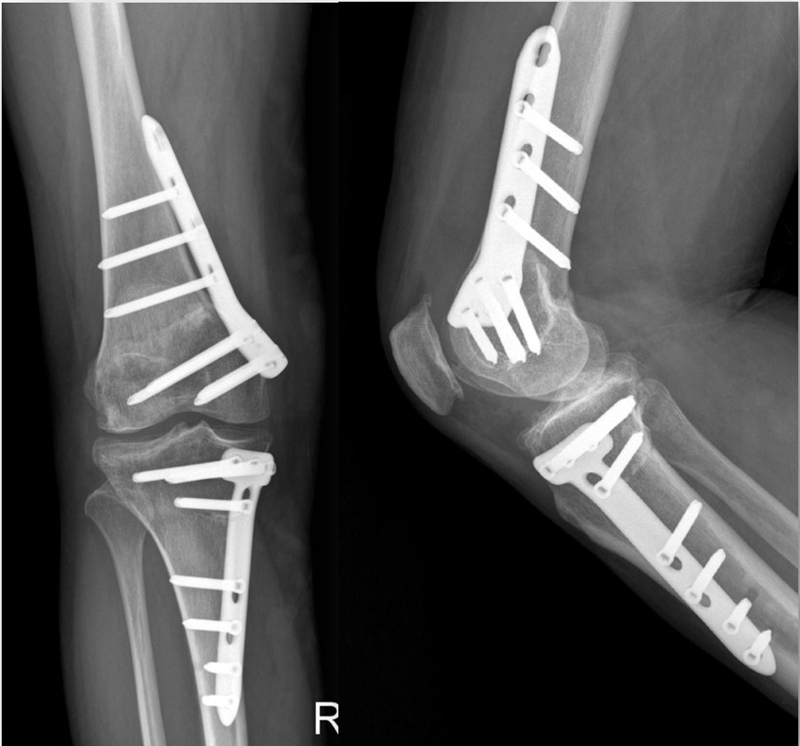
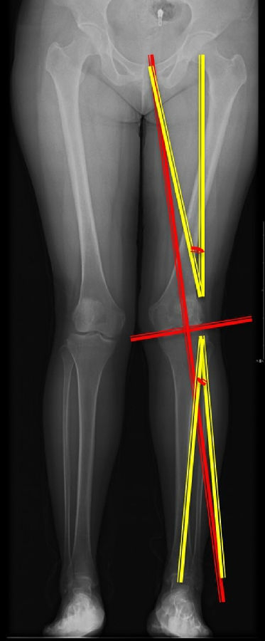
患者二,女性,膝外翻,膝外侧疼痛。通过做畸形分析后发现,该患者同时存在股骨侧畸形、胫骨侧畸形和关节内畸形(LDFA=82°,MPTA=104°,JLCA=6°)。

对于这类病人如何进行术前设计的关键点就在于目标力线应如何设计。要在骨性截骨的时候纠正骨性畸形,关节内畸形要通过关节内的方法解决。因为JLCA不平行,所以要同时画股骨侧关节线和胫骨侧关节线,并垂直于股骨侧关节线做出股骨侧目标力线,垂直于胫骨侧关节线做出胫骨侧目标力线。

根据各自目标力线,分别计算股骨内侧闭合和胫骨内侧闭合角度。

此患者股骨内侧闭合6°,经股内侧闭合13°。

术后影像

股骨胫骨双截骨的手术策略

1、手术方式

股骨畸形矫正:采用内侧闭合截骨或外侧闭合截骨。

胫骨畸形矫正:尽量采用内侧开放截骨术,部分特殊情况可以采用内侧闭合或外侧闭合楔形截骨术。


标准AO截骨课程

2、手术的顺序

对于手术顺序,提倡先做股骨。当股骨闭合,胫骨开放时,推荐优先做股骨,有利于准确调整下肢力线;当股骨闭合,胫骨闭合,同样推荐先做股骨,不容易发生相应的并发症。但是当出现术前全长片不标准,术前计划不准确时,建议先胫骨,胫骨较容易看关节线。

3、手术的关键

第一侧截骨要把关节线放平;第二侧截骨要达到整体目标力线。

如果术前存在扭转畸形的老年患者(残留扭转,纠正内翻),此时的治疗目标为纠正冠状位力线,这时就要忽略扭转畸形,术中判断要以足踝为标准,不要以髌骨为标准。

术前计划时当胫骨开放较大的情况下,股骨就要截够,为胫骨侧留一些余地。


经典病例

总结

双截骨术:恢复下肢力线,关节线平行地面;

适应证:股骨侧畸形+胫骨侧畸形;

术前设计:以关节线为参考,设定目标力线;

手术策略:第一侧放平关节线,第二侧达到目标力线。


精彩回放,点击视频观看

作者简介

柳剑,北京积水潭医院保膝治疗与研究中心副主任医师

学术任职:中国老年保健协会骨关节保护与健康分会常务委员兼秘书,中国研究型医院协会关节外科专业委员会膝关节保护与矫形学组委员兼秘书,中国老年学和老年医学学会老年骨科分会保膝学组第一届委员会秘书委员,中国中医药研究促进会骨伤科分会保膝专委会常务委员。

黄野,北京积水潭医院保膝治疗与研究中心主任,主任医师

学术任职:现任AO技术委员会(AOTC) 委员,AO国际保关节专家组(PJPGEC)常委,中国老年保健学会骨关节保护与健康分会会长,北京围手术期医学研究会保膝分会主任委员,中国老年学和老年医学学会老年骨科分会保膝学组组长,中国研究型医院学会关节外科专业委员会膝关节保护与矫形学组组长。同时在其他多个国内外学会任委员,多个杂志社任编辑。

分享到: