全髋关节置换中股骨近端畸形处理

2023-08-30   文章来源:中日友好医院骨科   作者:张启栋 我要说

全髋关节置换中股骨近端畸形处理

来源:中日友好医院骨科

作者:张启栋


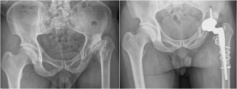
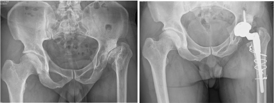
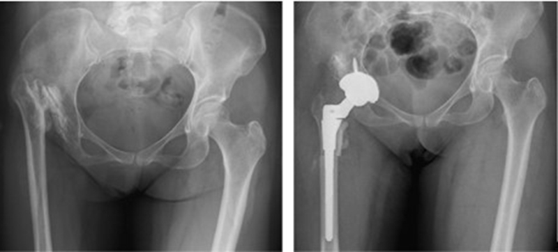
全髋关节置换术具有优异的疼痛缓解、稳定可靠的固定及良好的功能恢复和长期随访结果等优点,常用于治疗各种晚期髋关节疾病。在全髋关节置换中,畸形常发生在股骨侧,非常难处理,是髋关节置换中难题之一。

一、股骨近端畸形成因

导致股骨近端畸形的原因主要有原发型和继发型两大类。原发型多为发育异常所致(DDH)、代谢性骨病、强直性脊柱炎引起;继发型主要为手术所致,包括股骨近端截骨术、股骨近端骨折内固定术、全髋或半髋置换,其他因素如感染、创伤畸形愈合等。

目前临床上对于股骨近端畸形的处理,仍是关节外科的难题之一,在处理时常面临以下挑战:①费时、费力、费脑子;②手术复杂,时间长,并发症高;③特殊假体;④多种畸形同时矫正不易;⑤截骨重建困难、骨折愈合难;⑥股骨近端开口位置错误,股骨穿孔或骨折,假体柄非中心安置;⑦臀中肌张力不易调整;⑧并发症:撞击、关节不稳、反复脱位、远期松动等。


二、股骨近端畸形的分型---Berry分型

继发畸形多种多样,很少有病例与分型完全一致,但其核心要素是畸形位置和畸形类型。

畸形位置:大粗隆、股骨颈、干骺端、股骨干

畸形类型:成角畸形、旋转畸形、横行畸形、髓腔异常

冠状位:内翻、外翻

矢状位:前倾改变

轴位:旋转、长短

髓腔:变形、实变

影响畸形分型的其他要素中,软组织问题容易忽视,尤其是感染造成、畸形造成及手术造成的软组织问题。

Ⅰ、大粗隆畸形

(1)悬突型:大粗隆过度增生或移位,偏向内侧或前后方。

阻挡髓腔开口,内外旋时,大粗隆边缘与髋臼发生撞击;根据髓腔延长线开口,去除大粗隆多余骨质,去除大粗隆前后方骨赘,避免骨性撞击。

(2)高骑跨型:大粗隆位置高耸

大粗隆尖与髋臼边缘撞击,如果在肢体等长情况下,撞击仍无法避免,需要考虑大粗隆滑移截骨。

Ⅱ、股骨颈畸形---髋内外翻,offset异常

(1)颈干角偏小(<120°)——髋内翻

髋内翻,颈干角小,偏心距较大,选择high-Offset假体,以维持外展肌张力。

(2)颈干角过大(>140°) ——髋外翻

髋外翻多见于DDH,难度在于股骨距内侧皮质阻挡假体完全坐入髓腔,强行打击造成股骨距骨折。


Ⅲ、干骺端畸形

硬化骨、骨赘、骨质疏松、髓腔宽大

转子间骨折畸形愈合后常导致干骺端畸形,干骺端遗留大量硬化骨或髓腔成角,术中需在确认髓腔开口位置后,首选用小骨刀或高速磨钻去除硬化骨,打通髓腔。

干骺端畸形还可引起髓腔增宽,骨量减少,骨质疏松,不能为近端压配固定型的假体提供良好稳定。宜选用全微孔涂层远端固定假体。

Ⅳ、股骨干畸形

(1)前倾异常增大

先股骨侧操作,根据联合前倾角及各向稳定性决定髋臼前倾,以达最佳稳定。

(2)髓腔狭小

细长股骨柄与狭窄髓腔匹配。

(3)股骨成角畸形

程度轻,且远离假体安放位置:近端固定短柄假体或小号骨水泥型假体。

严重且靠近假体安放位置:必须行截骨矫正,以获得良好的对线。


三、手术策略及处理

手术的核心思想:恢复旋转中心、恢复下肢长度、恢复肌肉张力。

髋关节生物力学中,外展肌作用力尤为重要。故外展肌止点位置——大粗隆是术中需要调整的位置。

股骨假体扭力会在健侧肢体离地或着地(如上下楼梯)时达到最大,故生物型假体早期失败在股骨侧常见,而非髋臼侧。

1、术前设计

随着医学技术及智慧骨科的发展,术前设计逐步实现从二维到三维再到机器人辅助技术的演变,为股骨近端畸形的治疗提供了新思路。

①术前CT,测量前倾角。

②双下肢全长X线,准确测量肢体不等长的程度。单侧DDH高脱位,看似狭窄、缩短,但绝对长度可能较对侧长。

③特殊假体的准备:小号假体、细直柄假体、组配假体、短柄假体,截骨准备:cable。

④机器人、AI-HIP能使术前计划更精准。

视频1

2、假体选择

①保留畸形:表面髋置换、短柄假体。

②让骨骼适应假体:股骨截骨。

③让假体适应畸形:组配式假体

④hybrid、水泥柄。


3、术中处理

①良好手术显露与软组织松解:充分的软组织松解、彻底清除紧张的瘢痕及关节囊;手术陈旧疤痕、切口设计。

②内固定的取出:良好术野,齐全工具。

③近端的重建:纠正性截骨,短缩截骨。

纠正性截骨的要求是:

①在畸形最严重的部位纠正对线不良;

②最大限度保留骨质;

③截骨部位牢固固定;

④使用长柄假体跨越截骨端。

股骨截骨的不同方法:

股骨近端截骨重建——截骨方式:横形、斜形、阶梯式及双V形截骨

优点:不改变股骨近端的解剖,保持臀中肌附丽点完整,截骨后能矫正股骨的前倾角,是较为理想的股骨缩短方法。

缺点:①骨折——截骨两端捆钢丝;②截骨端不稳定,术后骨折不愈合——足够长的远端固定型非骨水泥型假体或组配型假体,假体长度足够,避免型号过小,必要时使用骨板加强固定;③失血多、时间长。


四、总结

全髋关节置换中,股骨近端畸形处理的核心思想是恢复生物力学。由于畸形多样性,手术规划时要依据不同的畸形情况,合理选择手术策略和内植物。术中操作要注意良好手术视野显露、有效的工具和正确的操作,合理应用粗隆下短缩截骨、大粗隆滑移截骨、ETO等技术。另外,还要做好心理准备,与患者及家属充分沟通好,失败率较常规髋高,康复时间较长,但术后满意度较高。

作者简介

张启栋,医学博士,副教授,北京协和医学院及北京大学医学部硕士生导师。美国哈佛大学医学院附属麻省总医院高级访问学者。

学术任职:中国骨科菁英会关节外科学组委员,中国研究型医院学会关节外科学组部分置换研究学组委员兼秘书,白求恩精神研究会矫形分会青年学组组长,北京医学会骨科学分会中西医结合学组委员,中华预防医学会中西医结合预防与保健分会委员,中国康复医学会骨与关节康复专业委员会青年工作委员会常务委员等。

科研成果:主持省部级课题5项,其中国家自然科学基金2项、首都卫生发展科研专项1项。以主要参与人参加省部级课题6项。第一作者或通讯作者发表论文50余篇,获专利6项。副主编《部分膝关节置换术(人民卫生出版社)》一部。参与编译《牛津膝单髁关节置换术》《The Adult Knee---Knee Arthroplasty,Second Edition》《小关节假体在膝关节置换术中应用》《部分膝关节置换术》等专著8部。

分享到: