干货|从单髁的影像学评估看适应证

2023-08-10   文章来源:首都医科大学附属北京积水潭医院   作者:柳剑 我要说

干货|从单髁的影像学评估看适应证

作者:柳剑

来源:首都医科大学附属北京积水潭医院



前内侧骨关节炎(AMOA)是人类特有的关节炎,关节压力在前内侧集中,是人类直立行走的代价。AMOA是临床中最常见的膝骨关节炎,占85%以上,通常多由磨损引起,AMOA是单髁置换(UKA)适应证选择的基石。

从影像学来讲,膝关节的磨损具有阶段性,是从轻到重发展的过程。影像学结合病史、体格检查是判断单髁置换适应证最有效的方法。

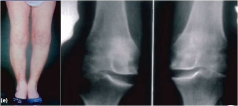
一、单髁置换的适应证——负重正位片

牛津单髁影像学判断的标准为通过负重正位片来判断内侧间室关节软骨的磨损程度。内侧间室关节间隙变窄,股骨内侧髁与内侧胫骨平台成“骨磨骨”状态,说明内侧间室软骨磨损丢失。如果没有在正位片观察到“骨磨骨”,则需要通过内翻应力位片或rosenberg位检查,找到骨磨骨的证据。如果以上均没有显示骨磨骨,需考虑关节镜检查,只有在达到“骨磨骨”的情况下才考虑行UKA。

AMOA查体与X线特点,站立位屈曲内翻

二、单髁置换的适应证——外翻应力片

屈曲20°外翻应力:看外侧软骨

外翻应力片可以辅助评价外侧间室关节软骨厚度是否正常,以及内侧副韧带功能是否完整。外侧全层软骨、外侧有骨赘的情况下都不是禁忌证,如外侧出现软骨磨损则为禁忌证。

外翻应力片还可以观察内侧间隙,如内侧副韧带出现挛缩,间隙狭窄,那么此时不适合单髁。

检查时注意X线的投照角度要平行于关节线方向,以保证准确。

可以矫正畸形,恢复关节间隙和MCL张力

AMOA的X线正位的表现

三、单髁置换的适应证——标准侧位片

标准侧位片,内外髁完全重叠,胫骨平台也一样,如果检查不标准,X线片结果会影响判断。

侧位片可以显示胫骨平台磨损部位,在判断前交叉韧带功能是否完好方面有重要意义。当磨损部位在前方或中前方,没有延伸到胫骨平台后缘时,说明前交叉韧带功能正常;当磨损部位延伸到胫骨平台后方,甚至引起后方半脱位状态时,说明前交叉韧带功能缺失或损害,此时不适合做单髁。

查体特点:屈曲位畸形消失

后方软骨完好,恢复关节间隙,恢复MCL张力

AMOA的侧位X线表现

ACL功能完好是单髁重要的适应证。当ACL失去功能,导致后方软骨磨损或者骨缺损,此时为整个内侧或全间室的骨关节炎,不是单髁的适应证了。

在牛津单髁标准教程里,表明前交叉韧带与后交叉韧带都应该保持功能正常,才是单髁的适应证。

四、单髁置换的适应证——髌骨轴位片

如果髌骨轴位片显示外侧髌股关节出现沟槽样改变或无半脱位出现且无法纠正,那么就不适合做单髁。

前膝关节疼痛、外侧疼痛(排除半月板撕裂)、影像学软骨钙质沉着症(X线上的软骨钙化)、患者因素(年龄、活动量、肥胖、骨质疏松)等情况都不是单髁的禁忌证。另外,如果半脱位可以纠正,那么就不是前交叉韧带损伤的标志,也可以做单髁。

五、关于力线与假体位置——是否要求全长片?

牛津单髁课程表明,单髁只纠正关节内畸形,恢复下肢得病前的力线,不纠正关节外畸形。

但实际术后需要通过全长片来判断是否能取得好的力线,判断有无过度矫正或矫正不足的情况出现。还需要通过全长片区分内翻畸形的来源在哪里,是否能矫正,对适应证的选择有一定帮助。如果术后下肢整体力线外翻3°,则说明外侧间室压力明显升高。

小结:对于下肢整体力线,首先保证术后力线不能外翻,术后力线内翻不能超过10°,而术前关节外畸形不能超过10°。

除了下肢整体力线,还要考虑假体位置。理想状态下,假体位置对位好,力线轻度内翻。

牛津单髁在假体评判中,提到股骨内外翻有10°容忍度,胫骨内外翻有5°,股骨屈伸在0-15°之间,胫骨后倾在 7-(﹣5)后倾之间。但评判标准中没有提到此种方式是基于全长片还是局部片。

文献中建议假体内外翻不大于4°,如果假体出现外翻,后倾大,会造成内侧皮质压力异常增高,增加内髁骨折风险。如果假体内翻超过5°,增加胫骨平台松动风险。


但有时候力线好,假体和外侧关节线会成角,那么对于此种情况,应如何判断假体位置内外翻定义?和外侧关节线比较,属于外翻假体;和下肢机械轴比较,属于中立位假体。

小结:判断股骨胫骨假体位置,是基于局部X线的判断,是考虑行走时关节线的方向为基准,此时内外翻不能超过5°,而不能从全长片来判断。

六、总结

从X线片判断单髁适应证要点:

1、内侧间室关节间隙消失——内侧骨磨骨;

2、屈曲20°外翻应力——外侧全层软骨;

3、屈曲20°外翻应力——MCL无挛缩;

4、标准侧位片胫骨磨损中前方——ACL功能正常;

5、髌骨切线位——无半脱位及外侧沟槽改变;

6、全长片——关节外畸形小于10°,假体位置判断要基于局部片。

作者简介

柳剑,博士,副主任医师。具有多年膝关节骨性关节炎阶梯治疗的经验,曾赴牛津大学学习单髁置换的相关理论。对于膝关节周围截骨术,单髁置换术有较为深刻的理解。
学术任职:中国老年保健协会骨关节保护与健康分会常务委员兼秘书,中国研究型医院协会关节外科专业委员会膝关节保护与矫形学组委员兼秘书,中国老年学和老年医学学会老年骨科分会保膝学组第一届委员会秘书委员,中国中医药研究促进会骨伤科分会保膝专委会常务委员。




分享到: