UBE下联合IntraSPINE治疗巨大腰椎间盘突出症

2023-08-02    我要说

来源:首都医科大学附属北京友谊医院骨科中心脊柱外科

作者:费琦 孟海 范子寒

2023年5月11日,首都医科大学附属北京友谊医院骨科中心脊柱外科费琦主任团队成功完成了首例单侧双通道脊柱内镜(unilateral biportal endoscopy,UBE)下联合椎板间动态稳定装置(IntraSPINE)微创手术,成功治疗了一例巨大椎间盘突出症的年轻患者,在切除脱出椎间盘的同时解决了单侧双通道脊柱内镜(UBE)下巨大椎间盘切除术后可能出现病变节段失稳及椎间高度进一步丢失的难题,为进一步开展UBE微创手术治疗年轻巨大腰椎间盘突出症患者提供了一种技术参考。

IntraSPINE作为一种新型椎板间动态稳定系统的出现,为临床医生提供了一种新的参考。在保守治疗无效的情况下,对于小关节突综合征、腰间盘突出症、软性椎间孔狭窄、椎间盘切除术后防止椎间盘塌等方面,IntraSPINE均可以作为一种新的治疗选择,我院杨雍主任、费琦主任团队前期在国内较早开展开放小切口下IntraSPINE治疗上述腰椎疾病,初步结果表明可以有效缓解患者症状,手术创伤小,有可能减缓或逆转椎间盘的退行性变化。IntraSPINE植入后接近生理旋转中心,其恢复椎间孔高度和改善节段稳定性等优点值得我们进一步研究,但目前尚无应用于脊柱内镜下联合治疗的报道。

本次北京友谊医院骨科中心脊柱外科成功完成首例UBE镜下联合IntraSPINE治疗年轻巨大椎间盘突出患者,两种微创技术的成功联合开展填补了UBE技术的空白,对推动本院微创脊柱外科技术的全面发展具有重要意义。

病例介绍

患者男性,38岁,办公室职员,既往身体健康。自去年初开始,时常会感受到右侧坐骨神经痛,自右侧臀区向右下肢后外侧放射至右足背。近一个半月,症状进一步加重,剧烈的痛感让患者寸步难行,严重影响了日常生活与工作,经休息、药物等保守治疗无效。

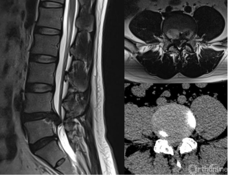
入院后查体:患者腰椎活动受限,右侧直腿抬高试验30度(+),加强试验(+),病理征(-),无肌力及感觉障碍,右下肢VAS评分8分。完善相关检查,结合术前影像学检查(图1)提示为,腰4-5巨大椎间盘脱出。

图1.患者术前影像学(CT+MRI)检查结果

结合患者的症状、体征及影像学结果,“腰4-5椎间盘突出症”诊断明确,在治疗上针对本例年轻患者,相对于传统手术,脊柱内镜手术切口更小、创伤更小,患者术后康复较快,可以更早地恢复正常活动。同时,年轻患者腰椎活动量较大,单纯切除巨大脱出椎间盘后,可能会导致椎间隙塌陷、椎间孔狭窄、术后椎间不稳、椎间盘突出复发等问题。

为了有效解决这些难题,我们首次尝试单侧双通道脊柱内镜(unilateral biportal endoscopy,UBE)下联合椎板间动态稳定装置-Intraspine(图2)进行全麻下微创手术治疗。

首先通过右侧2个1cm左右的横行小切口(图3A-B,建立观察通道和操作通道)利用UBE技术切除脱出的椎间盘:在内镜辅助下利用射频处理软组织建立操作空间,显露腰4-5右侧解剖结构;利用动力磨钻磨除右侧L4下关节突、L5上关节突内缘及部分L5椎板上缘,显露黄韧带止点,咬除部分黄韧带暴露硬膜及右侧L5神经根;使用神经拉钩保护L5神经根并将其拉向内侧,暴露、完整切除脱出椎间盘(图3C)。

再通过对侧(左侧棘突旁)3cm左右的纵向辅助小切口(图3A),暴露棘突及椎板间隙,保留棘上韧带,内镜监视下(图4)将IntraSPINE置入腰4-5椎板间,以期维持腰4-5椎间隙及椎间孔高度,减少残留椎间盘应力,并且部分保留腰4-5节段腰椎活动度,术中通过透视确认IntraSPINE位置稳定可靠,完成手术。手术过程约90分钟,出血50ml。

IntraSPINE装置(图2,图3D)内部为中空设计,材料为医用硅,外部包裹聚酯纤维材料。后段在器械的作用下可以被压缩植入,在移除器械后恢复原状,方便手术操作。手术时插入至椎板间隙起到撑开作用,可以一定程度,并且由于其具有一定弹性,手术节段的活动度可以得到保留。

患者术后次日佩戴腰围下地行走后自觉右下肢疼痛症状明显缓解(术后右下肢VAS评分1分),结合我院围手术期ERAS(术后快速康复)的各项管理措施,患者取得了满意的临床疗效。术后复查腰椎CT显示(图5)减压充分明确,IntraSPINE内植物位置稳定可靠,患者生活质量明显改善。

图2.结构及体内模拟图

图3. UBE联合镜下椎板间动态稳定装置术中情况

【A:术前切口设计;B:建立右侧UBE通道;C:镜下切除的脱出髓核组织;D:IntraSPINE装置(体外);E:镜下IntraSPINE装置(体内);F;术后伤口】

图4.费琦主任医师在术中于患者左侧置入IntraSPINE

图5. 术后复查CT:减压充分明确,IntraSPINE位置稳定可靠

随着医疗技术的进步发展,“微创精准、快速康复”已成为北京友谊医院脊柱外科的临床特色和未来发展的方向。北京友谊医院骨科中心脊柱外科在杨雍主任的领导下,费琦主任、李想主任、孟海主任、苏楠主任团队在北京市积极开展UBE(Unilateral Biportal Endoscopy Technique,单侧双通道脊柱内镜)技术,目前主要开展各种UBE腰椎减压及融合术治疗各种腰椎退变性疾病,如腰椎间盘突出症、腰椎管狭窄症、退变性腰椎滑脱症等。

作为一项新技术,友谊团队目前已完成近300例UBE微创手术,取得了良好的反响。椎板间动态稳定装置IntraSPINE联合UBE是友谊UBE团队的又一次创新尝试,为进一步开展UBE微创手术治疗年轻巨大腰椎间盘突出症患者提供了一种技术参考。

本次北京友谊医院脊柱外科UBE团队成功完成首例UBE镜下联合IntraSPINE治疗年轻巨大椎间盘突出患者,两种微创技术的成功联合开展填补了UBE技术的空白,对推动我院微创脊柱外科技术的全面发展具有重要意义。随着手术技术的改进和经验的积累,友谊医院骨科中心将为更多的受脊柱疾患困扰的患者提供更为安全、微创、快捷、有效的解决方案。

知识点介绍

一、UBE技术

UBE技术是一种单边双通道内镜下的脊柱微创手术技术,起源于阿根廷,发展于韩国,2019年年中引入国内,该技术较传统开放手术创伤更小、出血更少、感染率更低,不仅以精准、微创的治疗方式减少患者手术风险,同时有利于患者术后的早期康复。

对于需要手术治疗的腰椎间盘突出症患者,传统的手术方法需要做3-5cm左右的手术切口,且需要完整剥离椎旁肌方可显露手术部位。UBE 技术即单侧双通道内镜技术,是近年新出现的一种脊柱微创技术。

与传统开放性腰椎间盘切除术不同,该技术无需广泛剥离椎旁肌,对软组织的损伤很小。术中仅需做两个1cm左右的手术切口,一个切口为观察通道,插入观察用的内镜;另一个切口为器械操作通道,可插入传统脊柱外科手术器械进行操作。

目前UBE技术主要用于腰椎减压及融合术,同时也适用于各种颈椎、胸椎和腰椎的退变性疾病,如腰椎间盘突出症、腰椎管狭窄症、退变性腰椎滑脱症、颈椎病等。

二、椎板间动态稳定装置IntraSPINE

椎板间动态稳定装置IntraSPINE,是由意大利学者发明,近年引入我国,是一种微创秉承脊柱非融合理念的治疗腰椎退变疾病的手术治疗方式,主要适应证有:椎间盘退变引起的慢性下腰痛,尤其适用于关节突综合征造成的慢性下腰痛;软性椎间孔狭窄;腰椎失稳;椎间盘切除术后的年轻患者;后纵韧带纤维复合体造成的腰痛;与融合手术联合应用;腰椎小关节滑膜切除术后;腰椎棘突吻合。目前已经有临床研究报道的适应证包括:较大腰椎间盘突出(突出椎间盘挤压椎管1/3至2/3);软性椎间孔狭窄;关节突综合征造成的慢性下腰痛;椎间盘切除术后防止椎间盘塌陷。

IntraSPINE装置(图2)内部为中空设计,材料为医用硅,外部包裹聚酯纤维材料。后段在器械的作用下可以被压缩植入,在移除器械后恢复原状,方便手术操作。手术时插入至椎板间隙起到撑开作用,可以一定程度,并且由于其具有一定弹性,手术节段的活动度可以得到保留。手术过程并不复杂,保留棘上韧带,暴露棘间及椎板间隙,然后放入该装置。

通过相对微创简便的操作,置入内植物,恢复维持病变椎间孔高度,改善节段稳定性以及保留运动节段等优点。目前我科杨雍主任、费琦主任团队国内较早开展该类手术,手术经验丰富,效果良好,并且承办了多次国家级继续教育学习班,使更多患者可以从该项技术中收益。

作者简介

费琦

首都医科大学附属北京友谊医院骨科中心脊柱外科副主任,医学博士、主任医师、副教授、硕士生导师。

北京市市委组织部优秀人才,北京市卫生系统215高层次人才-“学科骨干”。中国康复医学会脊柱脊髓专业委员会青年委员,中国康复医学会脊柱脊髓专业委员会脊柱脊髓基础研究学组委员,SICOT中国部第二届脊柱专业委员会委员,SICOT第一届计算机与赋能技术委员会委员,中国研究型医院学会颈椎疾病健康管理与加速康复专业委员会委员,白求恩公益基金会骨科基层教育委员会委员,中国医药教育协会医疗器械管理专业委员会委员,中国老年学和老年医学学会骨质疏松分会青年委员,北京市医师协会骨科医师分会理事,北京医学会骨科学分会基础学组委员,首都医科大学骨科学系颈椎学组和微创学组委员,《中华医学杂志》通讯编委。

主持市/局级以上基金项目14项,培养硕士研究生16人,协助培养博士3人,以第一/通讯作者发表学术论文100余篇(SCI收录34篇),获得国家发明/实用新型/软件著作权专利授权16项,转化1项,参与编译多本骨科学术著作。

擅长:脊柱外科——单侧双通道脊柱内镜(UBE)、微创侧方融合(CLIF)、新型脊柱非融合技术(椎板间非融合Intraspine、经椎弓根动态非融合系统等)、3D打印导板辅助精准脊柱内固定等新技术,擅长各种成人颈腰椎退变性疾病的分级手术治疗。骨质疏松症——擅长骨质疏松性椎体压缩骨折的规范化诊治和精准微创手术,原发性骨质疏松症的早期筛查和治疗。积极开展数字化术前设计辅助PVP、个体化3D打印导向板辅助PVP等创新的精准微创手术技术。

孟海

首都医科大学附属北京友谊医院骨科中心脊柱外科,医学博士、副主任医师、讲师。

擅长:1、开展各种脊柱融合手术,对腰椎退变性疾病椎间固定融合手术并发症进行深入研究,参与制定后路腰椎椎间融合固定手术专家共识;2、擅长椎板间固定非融合Intraspine、经椎弓根动态非融合系统Waveflex、dynesys等各种脊柱非融合技术;3、单侧双通道脊柱内镜(UBE)治疗各种脊柱退变性疾病;4、擅长骨质疏松性椎体压缩骨折的规范化诊治和精准微创手术。


范子寒

首都医科大学附属北京友谊医院骨科中心脊柱外科,医学博士、副主任医师。

擅长:1、腰椎退变性疾病微创治疗;2、骨质疏松性椎体压缩骨折微创治疗。

分享到: