活动平台单髁置换衬垫脱位原因及治疗

2023-05-04   文章来源:中华骨与关节外科杂志   作者:骨科在线 我要说

膝单髁置换术(UKA)是治疗单间室膝关节疾病的有效手术方式,也是膝骨关节炎阶梯治疗“金字塔”中的重要组成部分。与全膝关节置换术相比,UKA具有截骨量小、出血少、术后恢复快、本体感觉保留、住院时间短等优点。早期UKA术后并发症较多,随着假体设计及手术器械的改进、手术技术的进步,UKA术后并发症发生率逐年降低,目前UKA术后早期假体生存率接近全膝关节置换术。

有研究表明,UKA术后假体5年生存率可达92.8%,10年生存率为88.6%,15年生存率可达84.1%。一项多中心研究表明牛津单髁假体10年生存率可达到90%,认为牛津单髁UKA具有优良的中期假体生存率。UKA术后常见并发症包括假体松动、假体周围感染、衬垫磨损及衬垫脱位等。与固定平台UKA相比,活动平台UKA降低了假体磨损发生率,然而假体活动度的增加也增大了术后衬垫脱位的风险。随着假体设计、手术器械的改进及手术技术的进步,UKA术后活动衬垫脱位率逐年降低。

有文献报道,亚洲患者UKA术后衬垫脱位率显著高于西方患者。一项分析表明,亚洲患者UKA术后总的衬垫脱位率为2.37%,其中韩国患者UKA术后衬垫脱位率高达4.50%,其他国家UKA术后衬垫脱位率为0.74%,大部分脱位发生在术后5年之内,作者认为韩国患者UKA术后衬垫脱位率高可能与患者术后盘腿及过度弯曲有关。

研究表明,患者体重与术后衬垫脱位关系不大,手术侧肢体外伤及屈曲膝关节的生活方式、术中失误等因素与术后衬垫脱位密切相关。而患者体重、主刀医师的手术量等因素与术后衬垫脱位关系不大。

衬垫脱位的常见原因包括内侧副韧带及内侧关节囊松弛、骨赘、骨水泥与衬垫撞击、假体位置安装不良衬垫旋转、衬垫磨损、屈伸不平衡、手术技术问题等。脱位的发生通常是多因素共同作用的结果。

内侧副韧带损伤

内侧副韧带对维持UKA术后关节稳定及预防衬垫脱位十分重要,术中应该注意保护。在胫骨截骨时容易损伤内侧副韧带深层及部分关节囊,失去韧带的限制,在屈曲膝关节时衬垫容易向内侧脱出。相比全膝关节置换术,内侧UKA手术范围狭窄,内侧副韧带在截骨时容易损伤。研究表明,术后衬垫脱位可能由慢性内侧副韧带松弛所致,由于术中未发现的部分内侧副韧带损伤,并伴有由内翻到外翻的过度矫正导致渐进性的内侧副韧带松弛。同时内侧副韧带缺失后将明显增加聚乙烯衬垫的压力和磨损,并与术后不良结果相关。故进行内侧UKA时应注意保护内侧副韧带,当损伤内侧副韧带后预后不良。

物理撞击

活动平台UKA术后衬垫脱位的另一个重要因素为假体与骨或骨水泥的撞击。研究得出,假体位置的正确安装是避免衬垫与假体撞击、降低术后脱位率的关键因素。安装胫骨假体时应避免过度悬出,当悬出超过2mm可能会增加假体与内侧副韧带的撞击,引起膝内侧痛及增加内侧副韧带损伤的风险。因此在安装假体时应该注意清除阻挡假体的骨赘、骨水泥、半月残角。

假体位置安装不良

胫骨假体安装太偏内或过度外旋,在膝关节屈曲过程中活动衬垫容易碰撞到胫骨假体外侧而增加脱位的风险。有研究得出类似的结论:活动衬垫安装与胫骨平台内侧壁之间的距离增加会增加衬垫向前方脱位的风险。在胫骨假体后倾角方面,国内团队观察到胫骨假体后倾角在推荐范围内对衬垫脱位无明显影响。另有研究表明,随着胫骨后倾角的增大,接触压由胫骨近端前侧向胫骨近端后侧转移,衬垫脱位风险增加。

衬垫磨损

活动平台UKA降低了衬垫磨损的发生率,由于衬垫磨损导致的脱位常发生于UKA术后晚期。

屈伸不平衡

活动平台UKA手术过程中应保证伸直间隙与屈曲间隙相平衡,这是实现假体长期生存和术后良好功能的重要前提。屈伸不平衡是UKA术后衬垫脱位的重要原因之一,有研究表明较紧的屈曲间隙会使垫片移位或者磨损,较松的屈伸间隙会导致垫片旋转,最后导致衬垫脱位发生。关节间隙压力过大可能导致假体松动移位、衬垫脱位及外侧间室骨关节炎的进展。

手术技术问题

主要手术技术问题包括:截骨量不够或截骨过多、牙刷锯损伤胫骨后方皮质、内侧副韧带损伤、屈伸间隙不平衡、假体位置安装不良、衬垫撞击股骨髁后方骨赘或残留骨水泥等。因此,术者应做到精确截骨和软组织松解,在水平截骨时注意保护内侧副韧带,做好屈伸间隙平衡,避免过度清除胫骨平台骨赘,假体安装避免过度悬出及内移,避免假体撞击。

脱位方向

有研究表明前方及后方脱位较内外侧脱位更多,由于外侧有胫骨阻挡,内侧有内侧副韧带的保护,衬垫容易向前方或者后方脱位。由于牛津活动衬垫前缘距离衬垫最低点5mm,后方比垫片最凹处高3mm,因此活动衬垫更容易向前方脱位。

UKA术后衬垫脱位的治疗方法包括麻醉下手法复位、更换新的衬垫、更换为固定衬垫、采用全膝关节置换术进行翻修等。更换衬垫或采用全膝关节置换术进行翻修很难取舍,要根据患者具体情况进行选择。

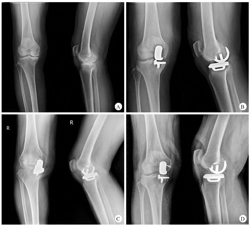
典型病例:图1 患者,女,64岁,右膝内侧间室骨关节炎,行活动平台UKA

A.术前右膝正、侧位X线片显示膝关节内侧间隙变窄;B.术后1周右膝正、侧位片X线片显示假体位置良好;C.术后6个月下蹲站立后出现右膝关节疼痛,右膝正、侧位X线片提示衬垫向前方脱出;D.更换新的原厚度衬垫+内侧副韧带锚钉固定术后1个月,右膝正、侧位X线片显示衬垫位置良好,假体对位恢复正常

典型病例:图2 患者,女,60岁,左膝单间室骨关节炎,行活动平台UKA

A.术前左膝正、侧位X线片显示内侧间隙变窄;B.术前左膝MRI提示左膝关节退行性病变,内侧软骨磨损;C.术后1周左膝正、侧位X线片显示假体位置良好;D.术后12个月后因外伤摔倒后出现左膝关节疼痛,左膝正、侧位X线片可见衬垫向后外方脱位;E.术后12个月左膝矢状位及冠状位数字化体层融合成像提示衬垫向后外方脱位;F.全膝关节置换翻修术后2周左膝正、侧位X线片显示假体位置良好

活动平台UKA可取得令人满意的临床效果,术后衬垫脱位率较低,脱位原因主要与术中内侧副韧带损伤、假体位置安装不良、衬垫撞击、衬垫磨损等有关。治疗方法包括麻醉下手法复位、更换新的衬垫、更换为固定衬垫、采用全膝关节置换术进行翻修等,应针对引起衬垫脱位的具体原因进行治疗。此外,术后患者宣教也是影响假体长期生存的因素之一。

本文引自齐新宇,黎嘉澔,李宜金,等. 内侧活动平台膝单髁置换术后衬垫脱位原因分析及治疗措施[J].中华骨与关节外科杂志,2023,16(3):219-225

分享到: