痛风石致腕管综合征的手术治疗

2023-04-04   文章来源:骨科   作者:李舒琳,邓小兵,徐雷 我要说

痛风是由尿酸单钠结晶沉积于关节、骨骼和软组织引发的疾病,可能导致急性关节炎和慢性关节病。痛风石是被肉芽肿性炎症围绕的尿酸单钠结晶沉积物,是痛风的特征性损害,最常见于富含蛋白聚糖的关节、关节周围和皮下区域,包括关节、骨、软骨、肌腱和皮肤。近年来随着我国经济快速发展以及人们生活饮食习惯的改变,痛风的患病率呈上升趋势。痛风石沉积在腕部可导致肌腱神经病变,增加腕管内组织体积,进而压迫正中神经,引起腕管综合征,严重影响手部功能。


据报道统计痛风性腕管综合征的发病率为6.35%,目前国内对痛风石引起腕管综合征的相关文献报道甚少。本研究收集复旦大学附属华山医院手外科2017年10月至2019年12月收治的痛风石致腕管综合征病人16例(17侧)进行回顾性分析,总结该疾病的临床特点,探讨其手术治疗效果。

资料与方法

一、纳入标准及排除标准

纳入标准:①腕管综合征合并痛风病史者;②肌电图检测腕部正中神经远端运动潜伏期(distal motor latency,DML)≥4.5ms;③腕部未经侵袭性操作者;④已在复旦大学附属华山医院手外科行传统开放手术治疗。

排除标准:①腕部外伤病史者;②吸烟者;③合并腕部腱鞘囊肿或者其他占位者;④合并糖尿病者;⑤具有神经、精神疾患而无法配合试验进程者。

二、一般资料

共纳入16例,男15例,女1例;平均年龄为59.2岁(42~68岁)。左侧5例,右侧10例,双侧1例,共17侧。所有病人术前均有痛风病史,病程为(7.68±5.48)年(1.5~12.0年),近期均无痛风急性期发作病史,腕管综合征病程为(5.22±2.24)个月(2.5~9.0个月)。病人均表现为桡侧三个半手指麻木疼痛、指端感觉障碍,大鱼际肌正常13侧,萎缩4侧。参照顾玉东腕管综合征临床分型:中度13侧,重度4侧。所有病人腕部正中神经Tinel征均为阳性,均伴有不同程度的手指屈伸功能受限,11侧可触及腕掌侧皮下肿块,其中9侧伴有手指及腕关节屈曲活动受限。

三、手术方法

臂丛神经阻滞麻醉下,患肢上臂绑气性止血带。采用腕部“S”形手术切口,根据痛风累及部位适当向远近端延长切口。术中纵向切开腕横韧带,显露正中神经及屈指肌腱,见肌腱神经周围散在大小不一、白色粉末状沉积物,部分侵及正中神经外膜、肌腱、腕横韧带及腕关节掌侧韧带,其中7侧可见正中神经局部压痕,近端神经肿胀(图1)。清除肌腱和神经周围白色粉末状沉积物,松解正中神经周围粘连,痛风石侵犯外膜及外膜增厚者行正中神经外膜松解术清除结石病灶(图2),其中9侧痛风石广泛包裹屈肌腱,边界不清,部分腱纤维结构被侵蚀。大量生理盐水反复冲洗后闭合伤口。

切除物均送病理检查。术后早期进行各指主被动屈伸功能锻炼。

图1 术中见右指浅屈肌腱被痛风石侵蚀包裹形成梭形膨大,正中神经局部受压(白色箭头所示),近端神经肿胀

图2 完整剥离切除的痛风石

结果

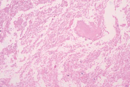
随访时间为(27.6±7.8)个月(16~39个月),本组患侧伤口均一期愈合,术后病理结果可见镜下为嗜伊红无定形物,伴有组织细胞反应,形态符合痛风结晶(图3)。

末次随访所有病人均未出现腕部痛风石复发。所有患侧术后均未出现切口感染、血肿形成等不良反应。患指屈伸功能明显改善,1例病人因肌腱粘连致环指轻度活动受限。按照中华医学会手外科学会上肢部分功能评定试用标准评定:优15侧,良2侧。患侧术前腕部正中神经DML为(6.90±1.57)ms(4.8~12.1ms),术后6个月为(4.35±0.73)ms(3.5~5.8ms),差异有统计学意义(P<0.01)。

图3 福尔马林固定后痛风结晶溶解,镜下可见不定形物质

讨论

痛风是遗传和环境因素共同作用的多基因遗传病。痛风石是慢性痛风的标志,其形成可导致骨质的破坏、关节的畸形、关节功能障碍,严重者导致骨折及痛风石破溃感染,严重影响病人的生活质量。痛风石多见于四肢远端的小关节背侧,也可出现在腕关节、肘关节、踝关节和足跟部,甚至在脊柱、眼睑、乳腺等组织也偶有发现。特殊部位的痛风石沉积常造成周围神经机械性压迫,例如腕部痛风石沉积可导致腕管综合征,虽然降尿酸盐药物治疗可缓慢缩小痛风石的体积,但合并神经压迫病人的病情紧急,常需迅速手术减压以防止发生永久性神经功能损害。

腕管是由上方的腕横韧带(屈肌支持带)和下方的腕骨构成的解剖管道,其内有正中神经及9根前臂屈肌腱穿过。任何引起腕管内压力增高的因素均可引起正中神经受压、缺血,从而造成正中神经功能障碍,常表现为正中神经支配区的疼痛性感觉异常,累及第1~3指以及第4指桡侧半,夜间加重,常由近端放射至前臂,少数情况下放射至肘部以上,甚至肩部。痛风石引起的腕管综合征已被认识,但在临床中不常见。痛风石可以沉积在各种结构中,包括屈肌腱、腱鞘、腕横韧带甚至正中神经。

导致腕管综合征的原因,我们将其归纳为以下三类:①痛风石沉积于腕横韧带下方以及腕骨上方,甚至桡骨远端,导致腕管容积减小;②痛风石沉积在屈肌腱及滑膜上,造成肌腱慢性炎症,肌腱增粗,形成痛风结节,腕管内容物体积增大,进而造成腕管内正中神经受压,引起腕管综合征;③痛风石沉积于神经外膜内,直接造成神经内压迫和神经变性,但该情况较为罕见。由于尿酸单钠结晶沉积引起的复杂慢性炎症型组织反应对肌腱的侵袭性要明显强于神经,屈肌腱可出现纤维变性、坏死,继而胶原纤维样变性、增生,造成屈肌腱粘连、固定,严重者可导致肌腱自发性断裂。因此痛风石所致的腕管综合征除表现为手部正中神经压迫症状外,常同时伴有手指屈伸功能受限。本组中所有病例均伴有不同程度的手指屈伸功能受限,部分病人首诊以肌腱功能障碍而就医。

超声检查可显示团块与肌腱、神经的相关性,且具有方便、简单、无创性等优点,可常规用于诊断腕部痛风结石。对于痛风石致腕管综合征病人需同时行神经电生理检测,通过DML改变情况客观评估正中神经卡压的严重程度,评估正中神经功能。结合查体、超声检查及神经电生理检测结果,从功能、形态学方面全面评估病情,明确病因并指导手术治疗方案。

虽然降尿酸盐药物治疗可以控制痛风发作,缓解病情,但无法完全消除已沉积的痛风石,且痛风性肌腱炎可引起肌腱断裂,痛风性关节炎可引起腕骨坏死、腕骨间韧带松弛断裂、腕关节不稳等,故痛风引起的腕管综合征应早期进行手术治疗。术前应常规行降尿酸盐治疗,待血尿酸浓度控制于正常或者接近正常水平后再进行手术治疗;若神经卡压情况紧急,应迅速手术减压并同时行降尿酸盐治疗,以防止永久性神经损害。术中应完整切开腕横韧带,切除腕管内结石病灶及滑膜等增生物,对于病变累及指浅屈肌腱无法保留肌腱的连续性者可直接切除,患指功能可由指深屈肌腱代偿;若病变累及指深屈肌腱,应该尽可能保留指深肌腱的连续性,并联合术后的药物控制治疗,反之则可以考虑病变肌腱切除后行肌腱移植、肌腱编织到正常指深屈肌腱或者行肌腱转位功能重建修复。术中需大量生理盐水反复冲洗,以降低术后可能出现的痛风石破坏溶解而导致的急性痛风发作。我们主张用5%碳酸氢钠冲洗创面,可改善病人关节内的酸碱环境,更好地清除无法清理的痛风结晶,提高临床疗效。

综上所述,腕管综合征是手外科的常见疾病之一,对合并痛风病史且局部皮下可触及痛风结节者,应考虑痛风石所致腕管综合征可能。术前采用腕部超声检查判断是否有痛风石沉积以及痛风石沉积范围、大小,有利于手术切口的选择。痛风石所致腕管综合征病人需在内科治疗的基础上结合手术治疗,方能获得满意的临床治疗效果,有利于提高病人的生活质量。

引用格式:李舒琳,邓小兵,徐雷.痛风石致腕管综合征的手术治疗[J].骨科,2022,13(1):4⁃7.DOI:10.3969/j.issn.1674⁃8573.2022.01.002.

分享到: