膝关节多发韧带损伤的MRI表现(一)——中心稳定结构的正常解剖和损伤

2023-02-03   文章来源:《膝关节多发韧带损伤的MRI表现(第2版)》   作者:李箭等 我要说

本节译者:李箭、陈旭旭、毛贝宁、毛云鹤


引言

对于那些肥胖、伴有疼痛、佩戴保护性支具或者伴有多发复杂损伤的患者而言,单纯临床评估是否有韧带损伤往往不准确,常常导致漏诊多发韧带损伤,从面有导致发生继发性骨关节炎以及交叉切带重建手术失败的可能。MRI有一些限制,比如说是一种人为检查,并存在观察者间的差异。在损伤的急性期或亚急性期进行MRI检查结果最准确。对于慢性陈旧性损伤来说,MRI的准确度较低。由于某些韧带既往有过损伤,瘢痕修复后影像学形态也常常不规则,但是临床检查可能无明显异常,对此应慎重地给出结论。因此,准确的临床检查结合高质量的影像学检查才能得出准确的诊断并给予正确的治疗。下面就膝关节中心结构正常和损伤异常的MRI表现进行阐述。

中心稳定结构:正常的解剖和损伤表现

必须从膝关节MRI上ACL的信号强度和形态来对ACL进行评估。从矢状位片上可以显示ACL自股骨止点到胫骨止点的完整形态。横断面上可以显示其股骨止点情况,一般与矢状位片结合来分析(图1)。在矢状位片上,正常的ACL形态应沿着Blumensaat线与髁间窝的顶平行。正常情况下,ACL在T1和T2序列像上均是低信号,但其内部通常有一些混杂条纹信号,不能认为ACL有损伤。根据ACL在胫骨上的相对位置,其有2条纤维,即前内侧束(anteromedial bundle,AMB)和后外侧束(posterolateral bundle,PLB)。然而,在MRI上这两束纤维并不总是完全分开的。从水平位和冠状位片上也有可能看到分开的两束纤维。

图1 a和b分别显示的是在T2图像中矢状位和轴位正常的ACL。

a显示绷紧,可见明显的ACL低信号(白色箭头)。在a中也显示正常的胫骨附着点(圆形标记)。b显示在水平面上正常的股骨附着点

ACL损伤大部分发生于韧带的任何部位,但是最常见的为中间实质部的损伤。韧带信号不显影、不连续或者走行方向异常均提示ACL损伤。图2显示了典型的ACL损伤。与典型的ACL损伤相比,股骨止点处的损伤常常不易察觉(图3),尤其是在矢状位上或者开放低场强的MR1上更易忽略。此时,应该从水平位和冠状位片上去观察分析。尽管ACL结节样和黏液样退变没有明显的膝关节不稳,也无MRI特征性的表现,但是有时仍容易与ACL损伤相混淆(图4)。此外,对于任何类型的韧带慢性损伤,采用MRI诊断时均需慎重,已经瘢痕化但却无功能的ACL也可能在MRI上呈现完整的形态,甚至ACL断裂部位形成的瘢痕搭在PCL上而非股骨止点处(图5)。

图2 a和b显示的为2个不同患者ACL损伤的表现。

a显示韧带呈波浪形,并且实质部中部不连续(圆形标记)。在b中直接可以看到ACL胫骨侧的残端(圆形标记)。标记了正常的PCL(白色箭头)

图3 a和b显示的为冠状位质子加权像和轴位T2像,并在关节镜下证明了为ACL股骨端撕裂。

在a中ACL股骨止点的信号增强,并且不能看到切带附着点(圆形区)。在b中ACL股骨附着点缺失(圆形区)。将图3b与图1b对比观察可显示正常的股骨止点

图4 a和b显示的为类似ACL损伤的表现。

a显示ACL完整,轻度松散黏液状降解(箭头)。a中ACL为增强的T2高信号,但是走行是正常的,没有不连续的病变,股骨附着点完整。b显示了完整的ACL和ACL腱鞘囊肿(箭头)

图5 显示了之前的ACL陈旧性损伤,随后瘢痕向下搭在PCL上(圆形区),并且在关节镜下证实

当出现经典的骨挫伤征象时应怀疑是否存在ACL损伤,尽管无法作出诊断。膝关节旋转损伤时最常见的骨挫伤为胫骨后外侧平台和股骨外侧髁的“对吻”骨挫伤征象,还经常伴有胫骨后内侧平台的对冲伤(图6)。ACL损伤时伴随的其他骨挫伤还包括过伸性损伤(图7)和“仪表盘”伤(图8),而且后者往往伴有多发韧带损伤。

正常PCL的形态完全不同于ACL。在所有的MRI序列上,PCL均呈现同样的低信号,而且在实质部均有一个折弯(图8)。与ACL不同,PCL损伤通常较轻微,完全的PCL断裂较少见。不管是完全断裂还是部分断裂,在矢状位片上PCL成像均较清楚。PCL部分断裂常常表现为韧带变粗,实质内可见高信号(图9)。此外,当MRI检查发现有ACL和PCL损伤时,应仔细检查后内侧复合体、后外侧复合体以及半月板是否有外伤。

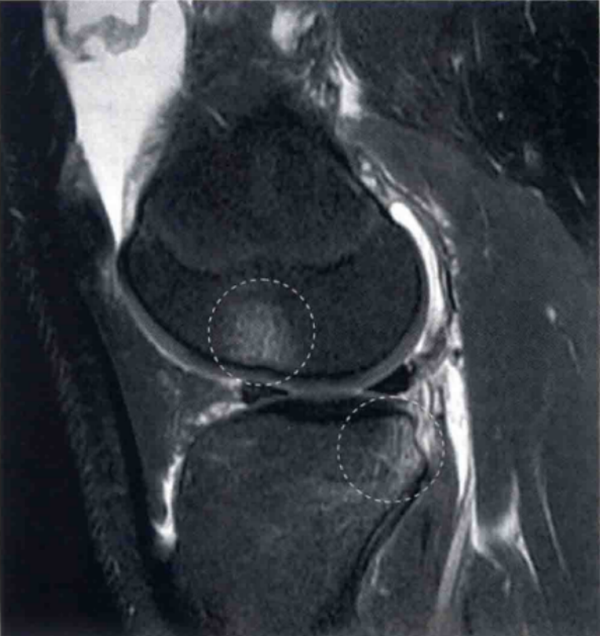
图6 显示了典型的轴移骨损伤,常见于急性ACL损伤。可见一处沟槽样凹陷性损伤,分别位于外侧股骨髁和后外侧胫骨平台(圆形区)

图7 显示了过伸性损伤,可见股骨髁前方和胫骨平台前方的水肿信号(圆形区)

图8 a和b显示在T2和质子加权像上为正常的PCL,可见正常的弧度和在两个序列中为均值低信号

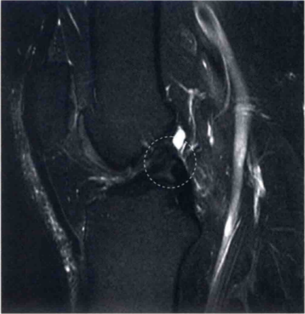
图9 a和b显示的为矢状位质子加权像和T2上PCL损伤的图像(箭头)。PCL变厚、水肿,但不是完全的断裂


分享到: