Klippel-Feil综合征影像学分型指导对手术治疗的研究进展

2022-11-29    我要说

作者:丁林垚,周非非

医院:北京大学第三医院骨科

Klippel-Feil综合征(Klippel-Feil syndrome,KFS),也被称为先天性颈椎融合综合征或先天性短颈综合征,其典型特征是先天性的两个及以上颈椎节段异常融合或分隔不全。其典型临床“三联征”包括短颈、颈后发际线低、以及颈部活动受限,但仅不足50%的KFS患者同时表现出上述“三联征”,多数患者表现为无症状直到拍摄颈椎影像学检查时才发现患有KFS。

Klippel-Feil综合征的手术指征是基于临床症状的。当KFS患者出现持续的神经根病或脊髓病表现、需要畸形矫正、或存在明确的脊柱不稳时,可考虑手术治疗。文章目的为揭示Klippel-Feil综合征影像学分型的发生发展及其与临床症状之间的联系,以及影像学分型在手术治疗中的指导应用。

1. Klippel-Feil综合征的影像学分型

Klippel-Feil综合征影像学分型包括Feil分型和Samartzis分型。

Feil分型:I型为颈椎和上胸椎多节段融合;II型为仅有两个或三个节段的融合;III型为颈椎融合伴有下胸椎或腰椎节段融合。

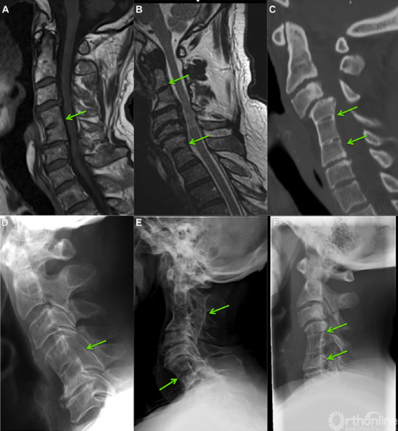
Samartzis分型(图1):I型仅涉及一个先天融合的颈椎节段;II型包含多个不连续的先天融合节段;III型包含多个连续的先天融合节段。

图1.Samartzis分型影像学表现:A和D,I型-单个先天融合的颈椎节段;B和E,II型-多个不连续的先天融合节段;C和F,III型-多个连续的先天融合节段。

2.手术治疗及指征

KFS的手术治疗方式主要可分为前路和后路,前路手术包括椎间盘切除椎体间植骨融合术和椎体次全切椎体间植骨融合术。后路手术包括通过不同技术实现的减压和固定融合。在某些严重畸形的情况下,也可选择采用前后联合入路手术。

颈椎不稳状态是手术治疗的指征。在涉及到颈椎的不稳状态如出现枕骨大孔狭窄、基底节凹陷或任何进行性颈椎不稳等放射学证据,都应当考虑行紧急的融合手术。通常会采用跨越了受累节段并延伸到枕骨后部的颈椎融合手术。

畸形矫正也是KFS手术治疗的重要组成部分,其中先天性脊柱侧弯的畸形矫正占据关键位置,大多数脊柱侧弯采用后路治疗,有时合并椎骨切除术。当出现了持续的脊髓型颈椎病的症状时,手术治疗也是必要的。KFS患者手术治疗的部位与特定的融合节段或伴随畸形相关。

长期的随访研究发现6%到43%患者进行了手术治疗,早期发现和适当治疗的KFS患者预后较好。融合节段的非相邻节段的手术治疗对于出现退行性改变症状的患者来说也是极为重要的。

3.影像学分型在手术治疗方面的应用

影像学分型可以初步对KFS患者影像学结果进行分类,能更好描述KFS患者影像学特征并研究影像学特征与临床特征和畸形之间的相关性。KFS患者多数为无症状型,大多在影像学检查时偶然发现,因此影像学检查对KFS患者的筛选起着重要作用。

对KFS患者影像学特征分型可更好进行描述,而Samartzis则进一步地将分型与KFS症状和伴随畸形相联系。近些年研究的进展拓宽了Samartzis分型所能够描述的临床特征和畸形的范围。

Samartzis分型与临床症状和畸形密切相关,能为是否需要手术治疗及所采取的方式提供依据。Samartzis研究发现Samartzis II型或III型患者因为脊髓型或神经根型颈椎病进行了手术。KFS导致的脊髓型颈椎病与手术密切相关,而Samartzis II型或III型与脊髓型颈椎病症状密切相关,同时有研究指出Samartzis分型与临床症状和伴随畸形有相关性,而KFS患者手术指征为持续的神经根病或脊髓病表现、需要畸形矫正、或存在明确的脊柱不稳,Samartzis分型II型和III型与手术指征有着密切关系。上述证据提示我们Samartzis分型与是否手术以及手术方式存在一定的关联,但并无相应文章研究Samartzis分型与手术治疗之间的关系。

我们在仔细考量关于KFS分型、临床特征及手术治疗的相应研究时,可以发现它们共同存在的问题在于:

(1)研究所涉及的样本量较少,有许多研究仅为病例报道;

(2)所收集数据并不完备,如患者分型,患者临床特征和患者手术特征及手术方式等因素并未在同一项研究中收集完全。

这使得Samartzis分型是基于一个较少样本量所得出的影像学分型,参考的人群当中合并畸形或不稳的KFS患者不多,对于可见的影像学有证据的KFS伴有的畸形或不稳状态没有纳入其中;而且由于样本量少且病例多为散发,数据收集困难等因素,无法通过数据直接将Samartzis分型与是否手术及手术方式相互联系。

Hachem以手术部位作为分型依据,总结了不同部位手术相对应的临床症状、畸形和影像学表现,但是这种基于手术部位的手术表型分型未能很好地指导KFS手术治疗。

由于KFS自身存在病理解剖和相关畸形复杂多样的特征,完全涵盖所有畸形和临床特征较为困难。而且虽然Samartzis分型与临床特征有相关性,临床特征与手术治疗有相关性,但其中混杂因素过多,分型与手术治疗之间也不是直接相联系的,这也导致了相应研究较少且研究较为困难。

4.总结

KFS患者多在影像学检查中偶然发现,且多数表现为无症状型,因此KFS发病率往往被低估,而影像学检查能很好地筛选出KFS患者,所以对KFS患者进行影像学分型方面研究是必要的,而且KFS的真实发病率也有待进一步的研究明确。

Samartzis分型与临床症状有一定的相关性,但由于目前KFS研究存在研究样本量较少以及临床症状和伴随畸形等信息收集不完全等问题,Samartzis分型与不同的KFS临床症状之间的关系仍有待于进一步的细化和分类研究。Samartzis分型与是否需要手术及采取的手术方式无直接联系,而且由于KFS自身存在病理解剖和相关畸形等复杂多样的特征,关于Samartzis分型与手术治疗相关性研究的证据较为缺乏,但是进一步补充完善Samartzis分型,研究其对手术治疗的指导应用和临床意义,能更好辅助临床医师初步判断KFS相应的治疗方式并且对高危的影像学分型进行相应的干预措施。

作者简介

丁林垚

2016年考入北京大学(临床医学八年制)。现北京大学第三医院骨科医学博士研究生在读,研究方向脊柱外科。在脊柱外科及手术研究方向上多次于SCI期刊及核心期刊中发表文章。

周非非

北京大学第三医院骨科副主任,骨科第一党支部书记,教授,主任医师,博士研究生导师,颈椎专业组组长。

北京市青年教学名师。中国康复医学会颈椎病专业委员会常务委员、青年委员会主任委员;中国康复医学会脊柱脊髓专业委员会青年委员会副主任委员;北京医学会骨科学分会青年委员会脊柱学组副组长;中华医学会骨科学分会创新与转化学组委员;中国研究型医院学会颈椎疾病健康管理与加速康复专业委员会常委兼秘书长;国际AOSpine讲师,颈椎研究协会(CSRS)北美会员(Corresponding member)、亚太分会会员(CSRS-AP Active member);《骨科》杂志编委,《中国微创外科杂志》编委,Frontiers in Surgery编委,Asian Spine Journal编委;《中国脊柱脊髓杂志》、BMC Musculoskeletal Disorders、Scientific Reports审稿专家;国家自然科学基金评阅专家。

专业方向为颈椎退行性疾患、畸形等方面的基础及临床研究。主持国家自然科学基金面上项目2项、国家重点研发计划子课题1项、首都卫生发展科研专项1项、AOSpine亚太多中心临床研究项目1项(总PI)。近5年发表SCI学术论文19篇(通讯及第一作者13篇),中文核心期刊论著22篇(通讯及第一作者16篇),主译论著2部,参编参译专著11部,获得国家发明专利1项、实用新型专利9项。2014-2016年作为访问学者在美国Emory University Spine Center,哈佛大学麻省总医院进修学习。

分享到: