Sauvé-Kapandji手术的前世今生

2022-11-06    我要说

作者:查晔军 孙伟桐

医院:北京积水潭医院

文献来源:

1. Sebastin SJ, Larson BP, Chung KC. History and evolution of the Sauvé-Kapandji procedure. J Hand Surg Am. 2012 Sep;37(9):1895-902. doi: 10.1016/j.jhsa.2012.05.009;

2. Slater RR Jr. The Sauvé-Kapandji procedure. J Hand Surg Am. 2008 Nov;33(9):1632-8. doi: 10.1016/j.jhsa.2008.08.011.)

下尺桡关节融合结合尺骨远端假关节成形术被称为Sauvé-Kapandji手术,其主要适应证包括下尺桡关节炎(类风湿关节炎、骨性关节炎等)、下尺桡关节不匹配(尺桡骨远端骨折畸形愈合、马德隆畸形等)等。

该手术的命名起源自1936年Sauvé医生和Kapandji医生以法语发表在《Journal de Chirurgie》杂志上名为《Nouvelle technique de traitement chirurgical des luxations récidivantes isolées de l’extrémité inferieure du cubitus》的一篇文献,被Vergoz等(1937,1952)和Baciu等(1965,1976)引用后被人熟知。然而,该术式在早期英文文献中却被称为Lauenstein手术。因此,Sauvé-Kapandji手术的起源和发展仍存在争议。笔者拟通过经典文献简述该术式的前世今生。

-------------------------------------------------------------------------

Sauvé-Kapandji手术由以下三个外科概念逐步发展而来:尺骨远端切除术(Darrach手术)、尺骨远端骨干部分切除术和下尺桡关节融合结合尺骨远端假关节成形术。

一、尺骨远端切除术

最早关于尺骨远端切除术的文献可见于Bernard和Huette 1851年以法语发表的专著《Illustrated Manual of Operative Surgery and Surgical Anatomy》,该书以大量手绘图片详细地展示了尺骨远端的切除过程。

1855年,法国医生Malgaigne也在他关于骨折脱位治疗的专著中提到了该术式,用来治疗开放性下尺桡关节脱位。

美国医生George在1876年发表的关于美国南北战争外科学史的书籍中总结了19例尺骨远端切除术的疗效。

美国医生Moore(1880)和德国医生Tillmanns(1891)也曾以该方法治疗过类似外伤性疾病。

除急性创伤类适应证外,Von Lesser医生于1886年以骨膜下切除尺骨头的方式治疗一例桡骨远端骨折畸形愈合患者,以提高其前臂旋转活动范围。

van Lennep (1897)、Angus(1908)、Darrach (1912)、Douglas(1914)、Bazy和Galtier (1935)等也发表了以尺骨远端切除方式处理类似适应证的文献。

Peterson医生于1943年采用该术式治疗下尺桡关节类风湿关节炎。

Darrach医生在切除尺骨头时保留尺骨茎突以维持韧带稳定性。该方法被Hucherson等(1941)和Dingman等(1952)引用后,Darrach手术成为了尺骨远端切除术的惯用名称。尺骨远端切除术虽然可以获得不错的前臂旋转活动范围,但该方法可导致患者握力减弱、腕骨尺侧移位和尺骨残端不稳定,影响患者上肢功能。

Bazy和Galtier改良了尺骨远端切除术,他们切除尺骨头后在桡骨远端尺侧掀起长方形骨瓣,保留皮质合页并将骨瓣与剩余尺骨骨膜缝合,以此提供尺侧腕骨支撑。Sauvé医生和Kapandji医生正是在读过Bazy和Galtier报告的方法后产生了灵感,发明了Sauvé-Kapandji手术。

Bazy-Galtier方法

二、尺骨远端骨干部分切除术

法国影像学家、解剖学家Destot于1908年最早认识到尺骨存在假关节可以提高桡骨远端骨折畸形愈合后前臂旋转活动范围,但他并没有提出在尺骨人为创造出假关节的方法,这种切除部分尺骨远端骨干人为创造假关节的方法被Le Fort和Cololian(1918)、Wheeler(1918)和Baldwin(1921)提出并应用。

Baldwin医生倾向于采用该方法治疗桡骨远端骨折畸形愈合导致的前臂旋转受限,因为该方法可以避免尺骨远端切除术后腕关节变细的美观问题,还可以保留尺骨头背侧尺侧腕伸肌沟,为该肌腱滑动提供滑道。

然而,这些医生治疗的患者均在术前就因桡骨远端骨折出现了下尺桡关节融合,他们只是在尺骨远端创造了假关节,并没有实施下尺桡关节融合术。

三、下尺桡关节融合术合并尺骨远端假关节成形术

德国普外科医生Carl Lauenstein教授曾于1887年发表简要报告描述过融合下尺桡关节并于近端切除部分尺骨的方法治疗下尺桡关节疾病。因此,该术式在早期英文文献中被称为Lauenstein手术。

Lauenstein教授生前发表的绝大部分文献集中在普外科领域,并非腕关节或下尺桡关节疾病专家。由于他对该术式的描述过于简略,而Sauvé医生和Kapandji医生对该术式的研究更加深入,因此Sauvé-Kapandji手术逐渐成为了该术式的代称。

Berry医生于1931年在新西兰采用下尺桡关节融合术合并尺骨远端假关节成形术治疗了一例下尺桡关节疼痛患者。该患者为一名患有桡骨远端骨折合并尺骨茎突骨折的20岁木匠,其桡骨远端骨折经保守治疗后愈合,遗留尺骨茎突骨折不愈合伴下尺桡关节疼痛,影响患者工作。Berry医生采用背侧入路显露下尺桡关节,去除关节软骨,融合下尺桡关节,并在近端切除2.5cm尺骨骨干制造假关节。患者术后恢复好,顺利重返工作岗位。Berry医生还建议采用该术式治疗马德隆畸形患者。至今仍有大量学者认为Berry医生才是最早报道Sauvé-Kapandji手术的学者。

James Allan Berry(1890–1962)

Arthur Steindler医生在他出版的书籍《The Traumatic Deformities and Disabilities of the Upper Extremity》中报告了两例下尺桡关节融合结合尺骨远端假关节成形术以治疗桡骨远端骨折畸形愈合伴下尺桡关节不稳定,两例手术分别于1932年和1941年完成,他将该术式称为Lauenstein手术。

Arthur Steindler(1878–1959)

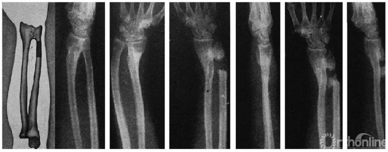
文献中Sauvé-Kapandji手术最早图片之一:最左侧为Steindler医生关于该术式的绘图描述,左至右分别是患者术前、术后和随访时的腕关节正侧位X线片

Sauvé医生和Kapandji医生最早提出的Sauvé-Kapandji手术由下尺桡关节融合术和尺骨远端假关节成形术构成,他们在去除尺骨远端骨干的同时也切除周围的骨膜和骨间膜,并用附近的肌肉或筋膜覆盖截骨端间隙以免术后骨化影响旋转活动,切除的骨段可被用做植骨材料。

随着该术式称为治疗下尺桡关节的经典手术,大量改良术式也不断涌出,改良集中在以下四个方面:

1.远端骨段的稳定方式,如采用两枚螺钉固定以增加旋转稳定性、将骨段旋转90°后固定、四边体稳定构型等;

2.近端骨段的稳定方式,如旋前方肌固定、尺侧伸腕肌腱悬吊、尺侧腕伸肌腱鞘固定等;

3.截骨位置、截骨长度;

4.简化版,如不去除下尺桡软骨、不植骨、不做截骨端间隔等。

Sauvé教授生于法国,1919年加入Paris医院,1930年至1947年任Ambroise-Pare医院外科主任。Sauvé教授也并非专业骨科医生或手外科医生,其主要工作集中在疝术后肠出血、肠系膜梗死、外科抗生素使用和术前准备等领域,胰腺实验性切除是其引以为豪的工作,这为Whipple手术的出现打下坚实基础。

Louis de Gonzague Sauvé(1881–1960)

Kapandji教授出生于希腊,在巴黎完成医学教育和外科学培训。作为Sauvé教授的助手,他的主要工作也集中在胃肠外科领域,在胆管系统的病理生理方面著作颇丰,提出了独创的胆囊穿刺方法。他的儿子Adalbert Kapandji是著名手外科专家,曾提出双螺钉融合、降低截骨长度的改良方法,为Sauvé-Kapandji手术的发展做出自己的贡献。

Mehmed Kapandji(1902–1975)

如今,Sauvé-Kapandji手术经过不断发展演变,已经成为了治疗下尺桡关节疾病的经典术式,是骨科医生处理复杂下尺桡关节疾病的有力武器。

分享到: