中青年股骨颈骨折内固定的再认识

2022-08-15    我要说

作者:万奇 孙国扬 陈明

医院:南昌大学第一附属医院

我们先看两个病例的治疗经过:

病例一

患者张某,女,55岁。

主诉:右髋部疼痛、功能受限3月余。

现病史:3月余前因外伤致右股骨颈骨折,于当地医院行闭合复位螺钉内固定术,术后3个月右髋部活动时疼痛明显,右髋关节活动受限。

查体:右髋部稍肿胀,腹股沟压痛(+),右髋关节内收、外展、内外旋及屈伸活动均受限,右髋关节活动时疼痛明显。

既往史:帕金森病史10余年,规律服药,症状控制可;余无特殊。

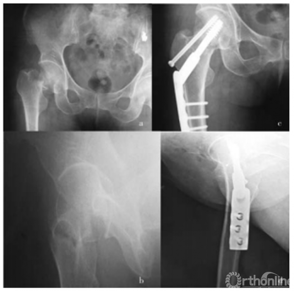
影像学资料

诊断:1、股骨颈骨折(Garden III);2、帕金森病

初次治疗:闭合复位空心螺钉内固定

术后影像资料(2022.3.2)

术后2个月(2022.5.27)

手术讨论:

1. 内固定失败原因?

骨折类型、患者因素、复位质量、手术技术…

2. 进一步处理?

THA?保髋?

3. 保髋

翻修?内固定方式?

植骨?自体骨or异体骨?

手术过程:

(1)取出原空心螺钉;

(2)DAA入路;

(3)关节囊内沿原骨折线截骨外展;

(4)将侧位后仰的股骨头恢复前倾;

(5)克氏针临时固定,术中透视位置可,颈干角恢复;

(6)髂骨自体取骨,楔形骨块植于股骨颈内侧支撑;

(7)空心螺钉+钢板内固定。

影像学资料

术后3个月回医院随访(8月初):

(1)局部压痛及纵轴叩击痛消失;

(2)复查X线内固定物位置良好,骨折线已经模糊。

病例二

患者黄某,男性,19岁。

主诉:右髋部疼痛、功能受限10月余。

现病史:10月余前因外伤致右髋部骨折,于外省某医院行切开复位钢板内固定术,术后近1年因右侧髋关节疼痛不敢下地行走,患侧髋关节活动受限。

查体:右髋部可见一陈旧性手术瘢痕,局部皮肤无红肿、窦道形成,右髋关节内收、外展、内外旋活动受限,右髋关节活动时疼痛明显。

既往史:无特殊。

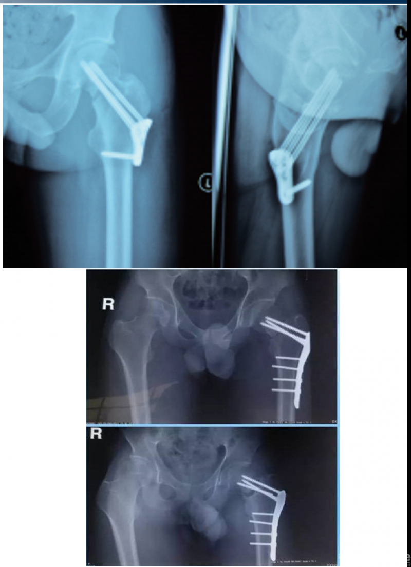
影像学资料

诊断:股骨颈基底部骨折(Garden III)并转子间骨折

初次治疗:切开复位锁定钢板内固定

术后影像资料(2021.9.21)

骨折术后骨不连(2022.3)

骨折术后骨不连(2022.7.3)

手术讨论:

1. 骨折不愈合原因?

骨折类型、患者因素、复位质量、手术技术…

2. 进一步处理?

保髋?

3. 保髋

翻修?内固定方式?植骨?自体骨or异体骨

手术过程:

(1)髂骨自体取骨,取适量松质骨;

(2)取出锁定钢板上的第4颗螺钉;

(3)DAA入路,切开关节囊;

(4)彻底刮除骨折断端纤维瘢痕组织;

(5)植入自体松质骨+BMP-2改善局部生物学环境;

(6)植入1/3管形板支撑,改善骨折愈合的生物力学环境。

影像学资料

股骨颈骨折的再认识

传统手术治疗

1. 三枚空心螺钉内固定

多用于新鲜青壮年股骨颈骨折;三角形平行螺钉抗拔出及抗剪切能力较弱;“正/倒三角”空心螺钉对于剪切型股骨颈骨折均存在较高失败率。

原因:螺钉的角度稳定性较差,不能对抗此型骨折负重时所产生的强大剪切力(图中f为螺钉所受剪切力,e为负重的应力)。

2. DHS内固定

主要适用于内固定失效、骨折再移位、骨折不愈合、神经血管损伤。

3. 锁定钢板内固定

该固定方式具有角度稳定性和整体稳定性的力学优势,一旦发生断端吸收,很难愈合;易穿钉和内固定物断裂。

4. 三枚空心螺钉+小钢板内固定

该固定方式不具微创性,可能破坏血供,易发生神经损伤,骨折不愈合。

5. PFNA内固定

髓内固定多用于股骨转子间骨折;特殊类型股骨颈骨折,如剪切型,合并同侧股骨干骨折,可酌情选用;根据具体病例,选用PFNA或者intertan。

新型手术治疗

改良手术治疗

病例分析

(滑动查看)

小结

1. 内固定治疗关键要解剖复位或近似解剖复位;

2. 尽量利用各种方法及工具闭合复位;

3. 三枚钉有失败风险;F钉难度大,不宜推广;

4. 四枚钉布钉格局(横钉或菱形理念)更符合生物力学要求;具有对抗剪切力、张力及内翻趋势;

5. 若需切开复位,可尝试DAA入路,更微创;

6. 内侧支撑板在翻修患者中可以改善局部生物力学效应,以应对原内固定的过大微动(超过骨折愈合应力的微动)。

分享到: