髌股关节常见疾病影像学表现(一)

2022-08-11   文章来源:髌股关节炎与髌骨不稳   作者:骨科在线 我要说

X线检查是诊断髌股关节疾病的重要影像学方法,不仅方法简单,费用低廉,而且在显示股骨-胫骨关节间隙和髌股关节骨的畸形方面优于CT和MRI。髌股关节X线检查通常包括膝关节正位、侧位及轴位像,今天为大家介绍X线正位像表现。

John认为,要想在站立位保持膝关节的完全伸直状态,股四头肌就必然会收缩,然后牵拉髌骨向外移位。所以站立位的前后位X线片并不能真正为我们提供多少诊断髌骨位置异常的有用信息。因此,我们在拍摄膝关节正位像时通常嘱患者取仰卧位,双足靠拢,足尖向上,使股四头肌完全放松,摄前后位X线片。观察指标为:

1.髌骨位置

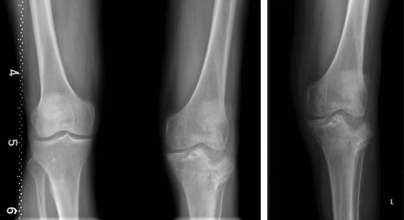
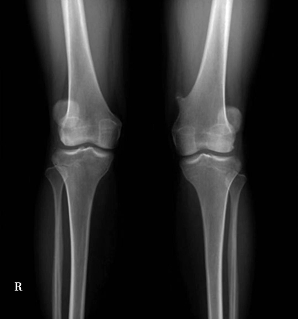
正常髌骨中心点应位于下肢轴线上或稍内侧(图1)。对于髌骨不稳定,膝关节正位像可见髌骨偏离正常的位置,向外侧移位(图2、图3)。


图1 正常膝关节正位X线平片显示了髌骨的正常位置


图2 膝关节正位X线成像显示了双侧髌骨偏离正常的解剖位置,明显向外侧移位


图3 膝关节正位X线成像显示了右膝髌骨偏离正常的解剖位置,明显向外侧移位

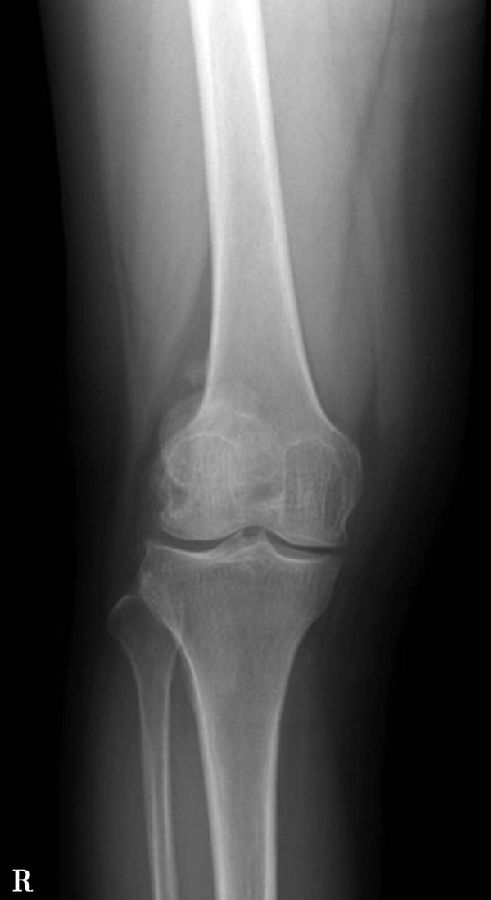
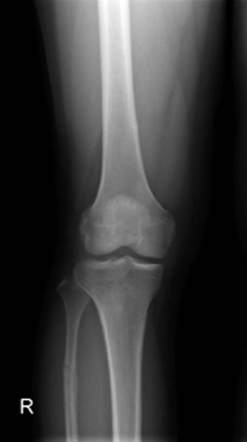
2.髌骨高度

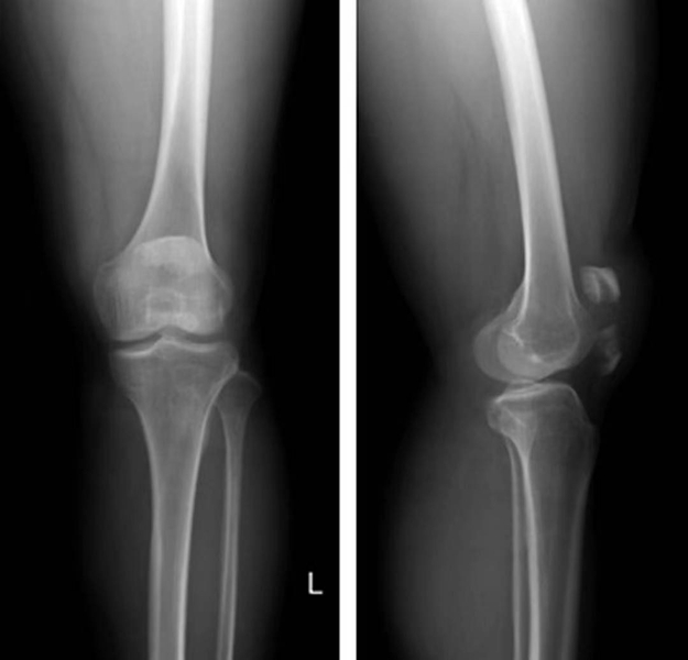
正常髌骨下极位于两侧股骨髁最低点连线之上,其下极在该连线近侧(图4)。髌骨高度大于其正常范围的最大值称为高位髌骨(图6),髌骨高度小于其正常范围的最小值称为低位髌骨(图5)。


图4 正常髌骨下极位于两侧股骨髁最低点连线之上,其下极在该连线近侧


图5 低位髌骨的正位X线片,髌骨下极位于两侧股骨髁最低点连线之下


图6 高位髌骨的正位X线片,髌骨下极过高地位于两侧股骨髁最低点连线之上

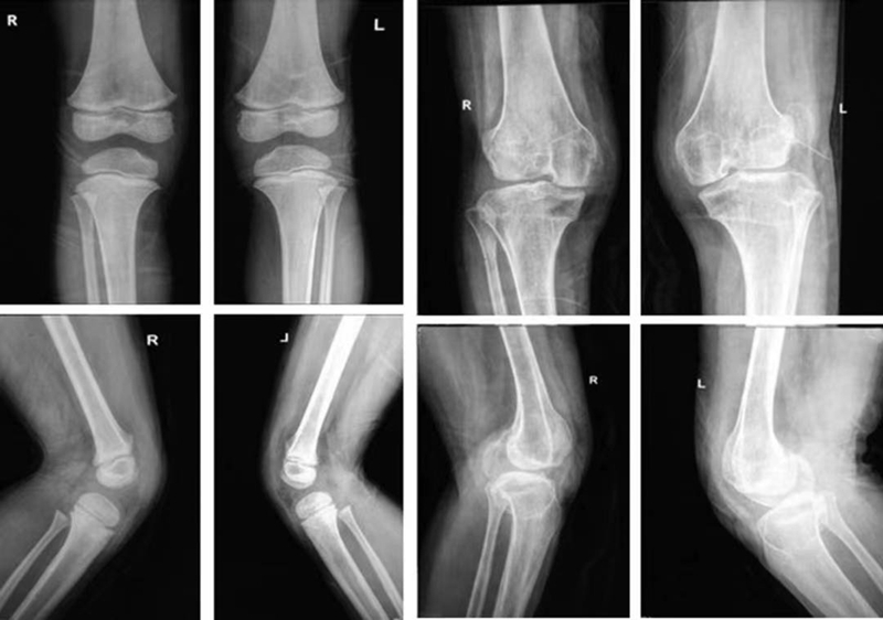
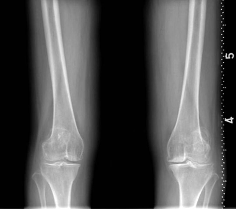
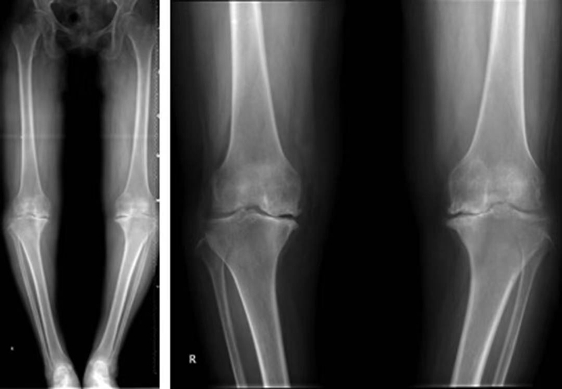
可以发现髌骨(图7~图9)和股骨-胫骨髁(图10)的发育不良、畸形及股-胫间隙变窄等异常(图11、图12)。


图7 髌骨粉碎性骨折


图8 髌骨骨折


图9 髌骨发育不良—小髌骨


图10 左膝对应可,右膝胫骨近端骨质断裂,断端错位,内外侧平台塌陷,骨折线模糊


图11 双侧膝关节内翻,诸组成骨边缘可见骨赘形成。关节间隙不等宽,内侧较外侧窄。关节面可见骨质硬化及小囊变,关节囊肿胀


图12 双膝外翻,关节间隙不等宽,外侧较内侧窄。关节面可见骨质硬化

对某些特殊情况,例如半月板切除术后、前交叉韧带重建术后或创伤后,可屈膝30°或45°拍摄(Rosenberg位像),检查股骨-胫骨关节间隙变窄的情况。

分享到: