干货|儿童前叉韧带胫骨止点撕脱骨折生长板上镜下缝线桥技术
2022-08-10 文章来源:四川省骨科医院膝关节运动损伤科 作者:胡勇 我要说
有移位翻转或合并粉碎性及剥皮样的儿童前叉韧带胫骨止点撕脱性骨折,镜下解剖复位及坚强内固定使术后尽早开始的肌肉力量及关节活动度训练,以及早期下地负重行走等主动康复成为可能,避免了术后关节粘连和严重的肌肉萎缩。手术难点在于内固定方式的选择和操作中生长板的保护。与镜下空心松质骨螺钉及垫片内固定方式不同,骨科高强线缝合内固定更能为上述类型的撕脱骨折,尤其是粉碎性和剥皮样骨折之早期主动康复提供更可靠的复位及坚强内固定[1][2]。
技术简介
从2016年4月~2020年12月,共计25名4~11岁患儿接受了镜下手术,平均年龄9.2岁。在全部患儿中,有10名病程超过两周,属陈旧性骨折。作者采用了肩袖的镜下缝合桥技术,通过术中透视,所有的操作均在生长板上完成:在骨床后壁胫骨内、外侧髁间嵴连线中点植入一枚内排锚钉,用成角90°半月板全内缝合器将0号PDS线环在前叉韧带后内、后外两侧穿过撕脱骨块,将锚钉自带两种颜色的双骨科高强缝线分别从前叉韧带两侧过线穿过线环,并牵拉穿过撕脱骨块到达骨折表面。再将双色缝线混合引入胫骨骨床提前钻好的两个骨隧道中,双向交叉压迫于撕脱骨块上,调整骨位及缝线位置并拉紧缝线后,完成镜下复位。拉出胫骨隧道后的缝线使用一枚外排钉固定于生长板上。术毕,镜下缝线桥复位及内固定如图1所示,术前及术后MRI如图2和图3所示。术后2~3天,在疼痛缓解的前提下,开始主动康复训练。

图1 缝线桥复位及内固定术后镜下所见

图2 a:术前MRI;b:术后MRI
患者体位及麻醉
患儿平卧于手术台,使用手术床旁挡板,固定伤肢于屈髋45°、屈膝90°位。使用全麻联合伤肢区域性阻滞麻醉,术中控制性降压,不使用止血带。
常规镜检及处理腔内联合损伤
经前下外及前下内入口完成镜下检视,同期处理合并损伤。在本组病例中,常见的合并损伤主要是内、外侧半月板体部或(和)后角撕裂。对半月板后角常见的红-红或红-白区纵裂,可以通过镜下全内技术缝合挽救,如图3、4、5、6、7所示。

图3 术前MRI显示外侧半月板后角撕裂

图4 镜下证实撕裂为红—白区纵裂

图5 镜下全内缝合撕裂半月板

图6 缝合后镜下所见

图7 术后MRI所见
四、儿童前叉韧带胫骨止点撕脱骨折生长板上镜下缝线桥技术
术前在显示前叉韧带全长的MRI矢状位上,按照预置内、外排锚钉之直径、长度和击入方向,规划生长板上内固定物所占空间尺度,如图8所示。内排钉选择直径3.0mm,长度10.8mm可吸收锚钉,内置双色半可吸收2号骨科高强缝线(Gryphon BR);外排钉选择直径4.75mm,长度17.8mm可吸收锚钉(Healix Advance BR Knotless)。

图8 术前MRI上规划胫骨生长板上内、外排锚钉置入之空间尺度
五、镜下清创显露撕脱骨块和骨床
经前下外和前下内入口交替插入关节镜和刨刀,清理、显露撕脱骨块,并将骨块掀起,以显露并新鲜化骨床,如图9所示。对陈旧性撕脱骨折畸形愈合者,还需辨认撕脱骨块之旋转及移位情况,镜下使用小骨刀游离并掀起骨块,使用磨钻新鲜化撕脱骨块和骨床。

图9 清创后镜下显露撕脱骨块及骨床
六、镜下钻入内、外排锚钉定位导针并透视确认
前外侧入口为观察口,于掀起的骨块下,经前下内入口插入直径1.5mm克氏针套管于骨床后壁内、外侧髁间嵴连线中点,方向为前上内斜向后下外,套管和生长板的夹角与术前MRI规划之内排锚钉走向一致,套管指向腓骨小头尖部。经套管钻入直径1.5mm克氏针11mm(与内排锚钉长度一致)。沿内侧胫骨平台髌韧带内缘做3~4cm皮肤纵形切口,止于腓骨小头尖端平面,显露至骨膜。镜下使用一枚静脉留置针经皮肤切口穿过膝横韧带下方,与胫骨平台走行一致。使用直径1.5mm克氏针套管于切口内髌韧带内侧缘旁开10mm,选取静脉留置针与腓骨小头尖端中点,平行静脉留置针方向钻入直径1.5mm克氏针18mm(与外排锚钉长度一致)。拔出定位的静脉留置针,术中透视如图10所示,确认克氏针走行方向、深度和对应锚钉的直径尺寸均在生长板之上,与术前MRI图8规划一致。留置上述两枚克氏针备用。

图10 术中透视内、外排锚钉导针与生长板之空间关系
七、镜下置入内排锚钉于骨床后壁
前下外入口为观察口,经前下内入口插入直径3.0mm双线Gryphon BR锚钉,与内排锚钉导针方向一致,拔出导针后,保持方向不变,于导针入口处击入(详见镜下锚钉击入视频),到达锚钉激光标志线后,如图11所示,拔出导管。植入的双色骨科高强线锚钉如图12所示。屈膝90°位,缝线经髌骨内侧横径最宽处入口拉出备用。
视频:镜下锚钉击入视频

图11 击入锚钉深度以激光标志线对齐为准

图12 镜下显示击入后之锚钉双线
八、镜下于生长板上分别制作骨床之前内及前外骨隧道
关节镜经髌韧带正中入口插入,于前下外入口插入探针掀起骨块显露骨床。经前下内入口将前叉韧带胫骨定位器头部放入关节内,定位于骨床内近外侧半月板前角区域,定位器胫骨套管放置于皮肤切口内,距离外排锚钉定位克氏针同一平面向外约8mm左右,靠近髌韧带内缘,钻入直径2mm克氏针,保留克氏针备用,此为前外骨隧道,镜下所见如图13;定位器头部放置于骨床内近内侧半月板前角区域,胫骨套管放置于皮肤切口内,距离外排锚钉定位克氏针同一平面向内约8mm左右,钻入直径2mm克氏针,保留克氏针备用,此为前内骨隧道,镜下所见如图14;前内、前外胫骨隧道均在生长板之上。

图13 镜下显示前外骨隧道定位导针

图14 镜下显示前内骨隧道定位导针
退出克氏针,使用预植0号PDS线的静脉留置针经胫骨克氏针入口将线环送到隧道口,使用环钳将线环从前下内或前下外入口拉出备用,如图15所示。

图15 镜下所见穿出前内及前外骨隧道的PDS线环,被拉出关节镜入口备用
九、镜下过线将锚钉双色线分别穿过前叉韧带两侧骨块而到达撕脱骨块表面
经髌韧带正中入口插入关节镜,经前下外入口插入成角90°半月板全内缝合器,将0号PDS线环经前叉韧带后内、后外侧缘分别穿过骨块,如图16所示;于前下内入口使用环钳在掀起的骨块下抓持线环并拉入视野,如图17所示;将同色的骨科高强线分别拉入经前叉韧带后外及后内穿过骨块而到达骨床区的PDS线环里,如图18所示;牵拉PDS线环,通过过线技术,分别将两色的骨科高强缝线经前叉韧带后外及后内缘,拉到撕脱骨块表面。

图16 成角90°半月板全内缝合器分别在前叉韧带后内、外侧穿过骨块,将PDS线环送入骨床

图17 经前下内入口的环钳在掀起的骨块下,抓持线环拉入视野

图18 将同色的双股骨科高强线分别引入穿过前叉后内及后外缘的PDS线环
镜下经前内及前外骨隧道PDS线环,分别拉入两色骨科高强缝线各一根,牵拉线环,使其混合引入同一骨隧道
将拉出入口备用的前内及前外骨隧道PDS线环分别引入关节内,使用环钳穿过线环,引入两色骨科高强线各一根,从胫骨隧道拉出线环,将两色缝线各一根混合引入前内及前外骨隧道,如图19所示。调整撕脱骨块骨位及交叉压迫于骨面的缝线位置和牵拉张力后,镜下所见如图1所示。

图19 镜下显示双色骨科高强线各一根,经前内及前外胫骨隧道预植的PDS线环混合拉入胫骨隧道
使用外排锚钉固定隧道拉出的骨科高强缝线于生长板上
将术中透视确认的外排锚钉定位克氏针拔出,在其入口处按照克氏针方向拧入锚钉丝攻,将外排锚钉两侧胫骨隧道引出的骨科高强缝线拉入锚钉收紧,拧入锚钉完成固定。
术毕,过伸、过屈膝关节数次,镜下检视骨折对位和前叉韧带张力,透视确认撕脱骨块复位及内固定情况,以及麻醉下Lachman及轴移试验等松弛度检测,以确认术后尽快开始的康复训练时间和强度。
术后主动康复训练
儿童前叉韧带胫骨止点撕脱骨折经镜下缝合桥技术复位及内固定后,必须行全膝活动范围之被动屈、伸,再通过镜检和术中透视证实骨折解剖复位及内固定可靠后,术后方能执行主动积极的康复计划。
康复计划包括:术后患儿麻醉消失后鼓励仰卧位及坐位直腿抬高;术后2~3天,在疼痛缓解前提下,开始床边悬吊屈膝及佩戴伸膝支具扶双拐下地平地行走。出院后定期复查核磁共振以监控骨折愈合情况。术后6~8或8~12周,在通过走、蹲、跑、跳等基础动作模式体能考核后,可以在运动康复师和体能教练指导下,逐步恢复无对抗之跑跳运动。
典型病例
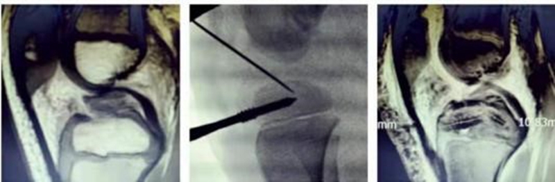
4岁男孩,游戏中跑步跌倒,扭伤左膝,迅速肿胀、疼痛。急诊DR和MRI显示前交叉韧带胫骨止点撕脱骨折,Meyers and Mckeever之III型。经镜下缝合桥技术,骨折解剖复位,固定可靠。术前MRI和术中透视,以及术后MRI如图20所示。术后3天,床旁悬吊屈膝可达90°,在伸膝支具保护下,护双拐下地平地行走,如图21所示。出院后接受运动康复及基础动作模式体能训练,并配合术后MRI复查及门诊随访。术前、术后及术后2月MRI如图22所示。

图20 术前MRI、术中透视及术后MRI

图21 术后3天床旁悬吊屈膝90°,扶双拐佩戴伸膝支具下地平地行走

图22 a:术前MRI;b:术后MRI;c:术后2月MRI
术后两月,患儿门诊复查情况如图23所示。

图23 a:术后2月直腿抬高;b:仰卧位屈膝双侧一致;c:完成全蹲

图24 a:术后3月MRI;b:术后6月MRI;c:术后1年MRI
技术核心
1、按照欧几里德平面几何公理:不共线的三点确定一个平面。骨床内的内排锚钉及前内、前外胫骨骨隧道构成了骨床与移位或/和翻转的撕脱骨折块对合复位之三个固定点,如图25所示,这是实现关节内骨折解剖复位之力学基础。

图25 骨床内制作的三个固定点
2、从内排锚钉发出的两色骨科高强线,通过过线技术从前叉韧带后内及后外两侧穿过骨块而到达骨折表面,再通过过线技术而混合进入两个胫骨隧道,从而在骨折表面形成更大覆盖面积的交叉压迫区;拉出于生长板上的胫骨隧道缝线再经外排锚钉固定,从而完成了对前叉韧带胫骨止点撕脱骨折之缝线闭合固定力学系统。内、外排锚钉定位均需术中透视确定于生长板之上。如图26所示。

图26 内、外排锚钉及穿过胫骨隧道之骨科高强缝线形成了撕脱骨折之闭合固定力学系统
参考文献:
[1]Bong MR, Romero A, Kubiak E, et al. Suture versus screw fixation of displaced tibial eminence fractures: a biomechanical comparison.Arthroscopy. 2005;21(10):1172–1176.
[2]Eggers AK, Becker C, Weimann A, et al. Biomechanical evaluation of different fixation methods for tibial eminence fractures. Am J Sports Med. 2007;35(3):404–410.
作者简介
胡勇,男,副主任医师,副教授、研究生导师,四川省骨科医院膝关节运动损伤科主任。
学术兼职:中华医学会运动医疗分会委员及,四川省医学会运动医疗专委会副主任委员,四川省医学会骨科学分会运动医学及关节镜学组副组长,四川省医师协会骨科医师分会常务委员,成都医学会运动医学专委会副主任委员,四川省中西医结合学会骨科微创专业委员会副主任委员。



京公网安备11010502051256号