肩胛盂的骨性解剖结构

2022-08-01   文章来源:骨科临床与研究杂志   作者:黄东宁,黄强,蒋协远 我要说

肩关节的活动主要由盂肱关节完成,为典型的球窝关节(杵臼关节) ,由肱骨头和肩胛盂构成。既往对肩关节的研究的重点集中在肩袖、关节囊韧带以及盂唇等结构,对肩关节的功能、稳定具有重要意义。随着中国社会老龄化的发展,肩胛盂骨性结构改变所带来的问题日趋严重,包括关节盂的缺损、退变。因此,了解肩胛盂的正常解剖结构,有助于对肩关节复杂损伤、疾病的治疗。肩胛盂的解剖结构包括肩胛盂关节面以及肩胛盂体部。肩胛盂体部(glenoid vault)是指肩胛骨包括肩胛盂表面及向内至肩胛冈外缘、喙突基底内缘的部分(图1)。这一区域骨量少,位置深,结构复杂。虽然传统尸体解剖研究可用于测量肩胛骨表面解剖学参数,但难以精确描述和测量,尤其是肩胛盂体部。随着电子计算机技术的不断发展和三维重建技术的进步,对肩胛盂骨性解剖结构的测量有了新的方法。研究肩胛盂骨性解剖学结构,可为肩胛盂内固定物和肩关节假体设计提供指导依据。


图1 肩胛盂体部形态(深色部分)示意图。包括肩胛盂表面及向内至肩胛冈外缘、喙突基底内缘的部分

一、肩胛盂前后径和上下径

肩胛骨位于胸廓上方两侧偏后,紧贴胸后壁,与其构成类似关节的结构,称之为肩胛胸壁关节。肩关节活动时,肩胛骨沿胸壁活动,配合盂肱关节,完成肩关节上举,是肩关节的重要组成,并通过盂肱关节和肩锁关节将上肢连接于躯干上。肩胛盂作为盂肱关节的组成部分,深度较浅,形态不规则,近似梨形;下半部分较上半部分大,比例约为1∶0.8±0.1。众多研究测量了肩胛盂表面解剖学参数,其中肩胛盂上下径为肩胛盂最高点至最低的距离(图2);其均值男女分别为33.6~37.5mm和29.4~33.8mm。肩胛盂前后径为位于与肩胛盂上下轴垂直平面的肩胛盂前后的最大距离;其均值分别为24.9~28.6mm和21.3~23.7mm。肩胛盂上下径、前后径存在显著的性别差异,男性肩胛盂较女性大10%左右。肩胛盂形态在性别上也有不同,男性肩胛盂下部较圆,而女性为椭圆。Andrea等依据肩胛盂前缘切迹的形态将肩胛盂的形状分为4型(图3):0型(无切迹)、Ⅰ型(弧线型)、Ⅱ型(切迹型)、Ⅲ型(圆齿型)。男女均以Ⅰ型(弧线型)所占比例最高。肩胛盂前缘切迹在女性中出现的比例为80.4%;而男性中这一比例为57.6%。36.7%的女性切迹出现在顶部;而男性只有28.9%,两者差异有统计学意义。


图2 肩胛盂上下径、前后径示意图


图3 肩胛盂分型示意图

A:0 型(无切迹) B:型(弧线型)C:Ⅱ型(切迹型)D:Ⅲ型(圆齿型)

肩胛盂近似梨形,下半部分较上半部分大。在反式肩关节置换术中,肩胛盂侧假体安装在肩胛盂下部,因而肩胛盂下半部分的大小决定了假体的大小。韩国Ji等测量了本国肩胛盂下部的解剖学参数,其中肩胛盂下部半径男女分别为(17.1±2.1)mm和(15.4±1.6)mm,性别之间差异有统计学意义(图4)。


图4 肩胛盂下半部分半径(R)示意图

对比左右侧肩胛骨解剖学参数发现,正常个体肩胛盂前后径、上下径等解剖学参数,差异无统计学意义;并且肩胛骨形态左右侧对称,一侧完好的肩胛盂可作为对侧骨缺损重建的模板。虽肩胛骨左右差异无统计学意义,肩胛盂上下径、前后径等参数右侧较左侧稍大。国人以右利手为主,提示优势肢体侧解剖学参数更大。日本学者测量本国肩胛盂的解剖学参数和西方人种相应参数进行比较,发现相关参数较西方人群小;特别是日本女性,行肩关节假体设计、肩关节手术需考虑人种差异。现行肩关节假体以白种人解剖学参数作为标准设计、制造,肩胛盂侧假体过大易导致螺钉置入困难,术后易出现假体松动等并发症。

以国人肩胛骨尸体标本作为研究对象,测量结果显示肩胛盂上下径、前后径分别为36~38.14mm和25.38~27.97mm,但未区分性别。汪华清等获取90名健康志愿者双侧肩关节CT数据,应用CT三维重建、容积再现技术及多平面重组测量肩胛盂骨性解剖结构的相关参数。结果显示,肩胛盂前后径为(25.1±3.2)mm;肩胛盂上下径为(34.5±2.9)mm,和国外参数不尽相同。因此,需行大范围、多中心的深入研究,客观反映国人肩胛盂的总体解剖学特点,指导适用于国人的肩关节假体和内固定物的设计,为肩部手术提供解剖理论基础。

二、肩胛盂倾斜角

除肩胛盂上下径、前后径,肩胛盂在冠状面上内外侧的倾斜(inclination)和水平面上前后方向上的倾斜(version),也是描述肩胛盂结构的重要参数。肩胛盂假体植入前应仔细评估肩胛盂在冠状面和水平面上的倾斜,用于指导假体植入时需修正的角度。

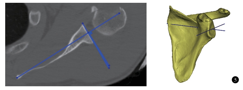
测量肩胛盂前后方向上的倾斜有多种方法。传统二维测量方法是获取患者的二维CT数据,做肩胛骨最内侧的点至肩胛盂中心的连线(friedman线),同时做肩胛盂前缘和后缘的连线(中关节线);中关节线和Friedman线垂线之间的夹角即为肩胛盂前后方向的倾斜角度(图5)。根据成角的方向,又分为前倾(anteversion)和后倾(retroversion)。这种测量方法被认为是测量肩胛盂前后方向的倾斜的金标准。但它没有设立坐标系,不是三维立体测量;肩胛骨的方向、冠状位或矢状位的旋转会影响测量的精度。最新文献建议应使用三维CT测量肩胛盂前后方向的倾斜。Kwon等以肩胛体最低点、肩胛盂中心和肩胛骨最内侧三点建立坐标系,并参考Friedman法测量肩胛盂前后倾(图5),发现三维CT能更精确评估测量肩胛盂前后方向的倾斜,具有更佳的可靠性。国外文献报道,正常人群三维CT测量肩胛盂前后方向的倾斜均值﹣4.5~2°;男女对比并未发现性别差异。汪华清等选取肩胛盂前后缘中点至肩胛骨内侧缘中点的连线作为参考线,测量了国人肩胛盂在前后方向上的倾斜,所得结果为(﹣0.03±4.66)°;其中男性为(1.20±4.87)°,趋于前倾;女性为(﹣1.84±3. 71)°,趋于后倾。与西方研究结果不同,男女性之间比较差异有统计学意义。


图5 二维及三维CT测量肩胛盂前后方向的倾斜角度示意图。肩胛盂中心至肩胛骨内侧连线的垂线与肩胛盂前后缘之间的夹角;图中三维CT测量关节盂前倾角为0°

一般认为,肩胛盂关节面有5~7°的向上倾斜;但由于肩胛骨的位置和解剖的不规则,很难准确描述测量标准。在肩胛骨骨折中,有人用盂极角(glenopolar angle,GPA)来描述肩胛盂倾斜的变化;但其为间接测量,应用也局限。有人用肩胛盂最高点至最低点的连线,与冈上窝底的夹角来评估肩胛盂向上的倾斜,也被称为β角,代表了肩胛盂整体在冠状面的倾斜程度,在肩胛骨正位X线和三维CT测量中具有极佳的准确性和可重复性。更进一步,肩胛盂最高点至最低点的连线与冈上窝底垂线的夹角被称为全肩关节成形角(total shoulder arthroplasty angle,TSA角),与β角互为余角,同样用于评估肩胛盂向上的倾斜(图6)。根据其倾斜的方向,又分为向上倾斜和向下倾斜,代表肩胛盂的倾斜程度,在肩关节成形术前规划中较为重要。肩胛骨前后位X线、二维CT和三维CT均被用于测量肩胛盂在冠状面上的倾斜,但以三维CT测量所得数据最为精确。肩关节退变患者TSA角的测量均值为7.68~12°;正常人群TSA角为2~5.3°。在反肩关节成型术中,基座一般放置在肩胛盂下部,因而Boileau等提出了反肩关节成型角(reverse shoulder arthroplasty angle,RSA角)(图6) ,即肩胛盂下部连线与冈上窝底垂线之间的夹角,能更加精确评估肩胛盂下部形态。他们测量肩关节退变患者RSA角的测量为20°,较TSA角大8°。骨性关节炎、肩胛盂磨损行肩关节成型术前需行三维CT重建用于测量肩胛盂磨损导致的肩胛盂倾斜的改变,精准评估肩胛盂情况。


图6 肩胛骨正位X线用于测量肩胛盂向上倾斜的示意图。

全肩关节成形角为肩胛盂最高点至最低点的连线与冈上窝底垂线的夹角;反肩关节成型角为肩胛盂下部连线与冈上窝底垂线之间的夹角

三、肩胛盂体部

除肩胛盂关节面外,肩胛盂体部解剖结构也至至关重要。肩胛盂体部为肩胛骨包括肩胛盂表面及向内至肩胛冈外缘、喙突基底内缘的部分。这一区域骨量少,位置深在,形态不规则,结构复杂。了解这部分解剖结构非常必要。

传统尸体解剖研究可用于测量肩胛骨表面解剖学参数,但难以精确描述、测量肩胛盂体部。随着电子计算机技术的不断发展和三维重建技术的进步,对肩胛盂体部结构的研究有了新的方法。Kwon等通过肩胛骨尸体骨及CT研究,证实CT三维重建能准确、定量的测量肩胛骨解剖学结构,认为CT重建能准确的反应肩胛骨的真实形态,对肩胛骨标本的直接测量所得结果与其相对应的三维CT测量结果具有很强的相关性。

Codsi等将61个肩胛骨样本进行CT扫描并进行三维重建,依据肩胛盂上下径将其分为6组,获取不同分组肩胛盂体部前后壁骨内边界,描绘出不同分组肩胛盂体部三维形态;依据肩胛盂上下径将不同分组的肩胛盂体部三维结构缩放为常规大小对三维形态进行比较,发现在所研究正常人群中,肩胛盂体部内部三维结构一致。肩胛盂体部内部形态的统一性,可指导关节假体设计、重建,帮助理解肩关节发育不良及关节退变性疾病的发生,但Codsi等对肩胛盂穹隆的三维结构并没有定量研究,临床应用有一定的局限性。Bicknell等对72个肩胛骨标本行CT扫描,测量了肩胛盂中心前后径、上下径,认为肩胛盂穹隆内部结构相对一致,冠状面为矩形、水平面为三角形的假体更符合肩胛盂体部的解剖学形态。肩胛盂体部男性解剖学参数较女性大,存在显著的性别差异,但肩胛盂体部内部形态男女未见差异。除此之外,Bicknell等还测量了肩胛盂中心的上下径、前后径等解剖学参数; 但是肩胛盂体部解剖结构复杂,单以中心测量很难反映其总体解剖学形态。Keisuke等应用三维重建技术重建肩胛盂体部的三维解剖,进行定量分析,测量了以肩胛盂中心22×12mm范围内间隔2mm的肩胛盂体部深度和肩胛盂中心上下4mm肩胛盂体部的前后径,使局部复杂的结构可视化、定量化,并对反肩置换假体设计提供参考(图7)。


图7 肩胛盂体部深度、前后径的测量示意图。应用CT数据对肩胛骨进行三维重建(移除了肩胛盂体部前上部分),以肩胛盂上下极、前后缘的连线建立坐标系,测量肩胛盂体部深度和肩胛盂体部前后部宽度。图中线段AF、BH为肩胛盂中心和其上2mm肩胛盂体部深度;线段BC为肩胛盂体部前部宽度;线段AE、BD为肩胛盂体部后部宽度。线段AE、BD之间的距离为2mm,可对肩胛盂体部形态进行定量化分析

国人肩胛盂骨性解剖结构的研究结果与西方人存在区别。目前人工肩关节假体设计以西方人解剖结构为基础。在反式肩关节置换术中,肩胛盂侧假体基座过大会导致螺钉置入困难,中心柱过大可能会穿透肩胛盂体部骨皮质,增加肩胛骨骨折风险。应用CT扫描和3D重建技术,可视化研究国人肩胛盂骨性解剖结构,进行参数测量和分析,可协助设计符合国人解剖结构的肩胛盂内固定物、肩关节假体,对指导术前规划,增加假体骨性支撑,降低术后假体松动等均具有重要意义。

参考文献:略

分享到: