绝经后骨质疏松性骨折手术治疗进展

2022-07-05   作者:刘强 我要说

作者:刘强

医院:山西白求恩医院骨科

加原创

绝经后骨质疏松症是骨质疏松症的一种特殊类型,是由于女性绝经后卵巢内分泌功能失调衰退,雌激素水平降低,导致骨吸收与骨形成失衡,进而造成骨质疏松[1]目前,骨质疏松症已成为我国面临的重要公共健康问题。流行病学调查显示,我国骨质疏松症患者约7000万,骨量减少者已达2亿人[2]。骨质疏松症的严重后果即骨质疏松性骨折(或称脆性骨折),为低能量或非暴力骨折,是指到轻微创伤或日常活动中即发生的骨折。根据我国统计数据,2015年骨质疏松性骨折(腕部、椎体和髋部)约为269万例次,2035年约为483万例次,到2050年约达599万例次[3]

一、骨质疏松性骨折特点

随着骨质疏松的进展,骨组织的结构和生物力学性能也会随之发生改变。骨根据结构上的区别,分为皮质骨和松质骨,皮质骨由致密的平行板层单元组成,比松质骨有较高的强度,但弹性较弱;松质骨为网状结构,骨密度较低,组织板层结构亦较少。骨质疏松发生后,骨形成与骨吸收呈负平衡,皮质骨的骨孔增多,皮质厚度变薄,骨骼的强度和刚度显著降低[4]


骨质疏松性骨折的手术治疗是在治疗骨质疏松症的基础上,复位、固定骨折,恢复骨折部位的功能。骨质疏松性骨折的特点包括:(1)老年人多见,常合并多种其他基础疾病,全身状况较正常人差,麻醉及手术风险增高,术后并发症较多;(2)骨质量差,粉碎性骨折多见,常伴有骨缺损,复位难度增加,复位时更容易损伤临近骨和软组织;(3)常规内植物在骨质疏松性骨中的把持力下降,内植物易松动、脱出的概率显著增加;(4)骨重建失衡,骨折愈合时间延长,愈合质量下降,骨相关生长因子水平下降,骨微环境破坏;(5)卧床时间延长,导致骨质快速丢失,影响骨折愈合;(6)同一部位及其他部位发生再骨折的风险明显增大[5]


二、手术治疗进展

绝经后骨质疏松性骨折手术治疗方式的选择需结合患者个体情况伤前的功能状况、骨折类型、部位、软组织覆盖情况、合并症、既往服用药物和影响骨质疏松性骨折固定的生物力学因素。手术复位与固定方案应简便、安全、有效,能尽早恢复患者伤前得功能水平。同时,应尽可能做到微创,着重功能恢复和组织修复,不强求解剖复位。


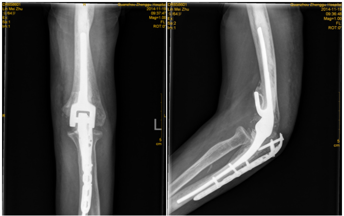
1.钢板固定


骨质疏松性骨折内固定失败常发生在内植物和骨交界处,而不是内植物自身如螺钉切和钢板移位等[6]传统钢板固定系统治疗骨质疏松性骨折时,内固定装置在组织内的把持力下降治疗效果不佳。皮质骨厚度每减少1mm,螺钉的把持力会降低50%1000N[7][8]锁定钢板传统钢板结构的主要区别在于内植物和骨折块之间应力传递的方式不同。传统钢板只有通过拧紧螺钉,增加钢板对骨的压力,从而使骨-钢板界面产生足够的摩擦力,才能维持传统钢板的稳定。但是,压力对螺钉周围骨质产生的预负荷作用会压迫骨膜,影响骨折端血液供应,增加螺钉脱出的风险。螺钉一旦开始松动,骨-钢板界面产生的摩擦力随之减少,导致钢板松动若钢板松动发生在骨折愈合前,骨折端将不能维持稳定,最终导致钢板断裂。骨质疏松性骨折本就易发生于骨干骺端,且骨质量差,传统螺钉很难维持牢固的固定,因此传统钢板用于骨质疏松性骨折的固定失败率较高。锁定钢板应力负荷的传递是通过锁定螺钉和钢板,由于锁定钢板系统的定性是依靠具有角度稳定的螺钉与钢板之间的界面维持,具有整体稳定性,除非周围的螺钉全部被拔出或发生断裂,单个螺钉很难会被拔出或断裂[9]因此选择多角度固定钢板,可增强稳定性与把持力。


但是,锁定钢板的应用仍有许多问题值得注意锁定钢板的刚度过高,导致在一定载荷下,骨折块间的微动过小,抑制骨痂形成,从而影响骨折的二期愈合,甚至骨不愈合[10]。此外,高度粉碎性骨折残的骨折块间隙或对侧皮质缺损均会增加骨折部位弯曲的风险,最终导致内固定失败。因此,在使用锁定钢板时,应尽可能减少骨折块之间的间隙[11]此外还应选用较长的锁定钢板,较少数量的螺钉和较宽的钢板跨度,以使应力分散[12]


锁定钢板在承受轴向载荷会发生微小弯曲,由此产生的骨折块间微动是不对称的,越靠近钢板侧的皮质,骨折块间微动越小,越不利于骨痂生成,最终导致骨痂形成不对称。为了克服锁定钢板的这些缺陷,近年来也出现许多新的技术,例如对侧皮质锁定技术近侧皮质开槽技术,其目的均是为了降低锁定钢板的刚度,减少因刚度过高导致的不愈合[13] [14] [15]对侧皮质锁定技术为了增加弹性和防止对侧皮质承受的应力过大,其使用的锁定螺钉直径较传统螺钉小,而可能会过早发生疲劳断裂[16]。而近侧皮质开槽技术不需要使用特制的锁定螺钉,但是近侧皮质需提前开槽。尽管这些新技术的效果已经得到了生物力学研究的证实,但是由于缺乏高级别的临床研究证据,目前其临床应用仍受到许多限制。


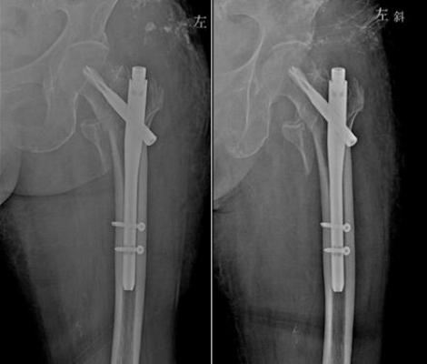
2. 髓内钉


髓内钉内固定可以使应力更均匀地分布于内植物与骨之间,其接近骨骼轴线,能更好地对抗弯曲应力[17]。髓内钉固定骨质疏松性骨折,可以使患者早期负重,同时还更好地保护骨折周围软组织。髓内钉内固定最薄弱的区域是置入交锁钉的干骺端[18]。这个区域的髓腔较宽,主钉与皮质不接触,因此结构的稳定性依赖于螺钉-主钉界面[19]。当选用髓内钉治疗骨质疏松性骨折时,应重点关注此区域,因为骨质量差会影响交锁螺钉的稳定。


随着髓内钉的不断更新迭代,设计和手术技术的双重提高,髓内钉治疗骨质疏松性骨折的适应症也逐渐扩大。例如:多平面交锁固定有助于提高骨折的稳定性,降低畸形愈合的风险[20];交锁螺钉替换为螺旋刀片,能增加应力负荷承载面积,将应力分散至更多的骨组织上,从而减少作用于髓内钉结构的应力[21];具有角度固定的交锁螺钉,可以通过减少交锁螺钉的摆动,实现更坚强的内固定[22]。轴向应力负荷的作用下,螺旋刀片的刚度比交锁螺钉增加41%,强度增加20%[23]。虽然,生物力学研究证实了以上新设计髓内钉的有效性,但是这些研究均为轴向应力负荷下的稳定性,还需进一步研究在扭转应力和人体正常生理负荷下的稳定性。



3.骨水泥强化技术

丙烯酸骨水泥在骨科手术中发挥着重要作用,其中聚甲基丙烯酸甲酯(PMMA)已从最初的眼科和牙科领域,扩展至骨科领域,并广泛地应用于假体内植物的固定、肿瘤和椎体骨折的治疗。骨质疏松性股骨近端骨折使用骨水泥强化的内固定系统可以减少约50%的失败率,主要适应症是不稳定型脆性骨折[24]。对骨科医生来说,骨量减少的肱骨近端骨折患者的治疗充满挑战。尽管内植物的设计不断改良螺钉或螺旋刀片在肱骨近端松质内的把持力仍然不足,而这也是内固定失败最主要的原因之一。骨水泥强化技术即将骨水泥注入肱骨头内,填补了内植物与肱骨头之间的空隙,从而增强内植物的把持力[25]。近年来,采用中空的螺钉结合角度稳定钢板系统,骨水泥可以通过中空的螺钉注入,达到骨水泥强化的效果[25]。骨质疏松性胫骨平台骨折与髋部骨折、肱骨近端骨折都不同,它是由于垂直应力直接作用于骨量减少的软骨下骨组织,造成关节面的凹陷和/或劈裂;其经典手术方式是通过植入自体或异体松质骨,支撑重建关节面[26]。但是,自体或异体松质骨在骨折愈合阶段,无法提供足够的力学支撑,造成关节面塌陷利用骨水泥强化技术可能改善上述情况。



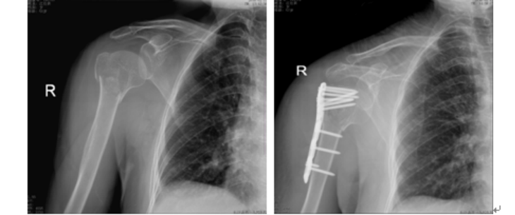
4.关节置换术

老年人关节内骨折合并骨质疏松症时,软骨下骨质量差,骨折块易嵌入关节面,解剖复位困难,骨折复位在下地负重或关节活动时难以维持,因此内固定治疗效果不佳。此时可酌情选择关节置换治疗,能够获得更好的预后。当骨折未累及关节面,但存在股骨头缺血性坏死风险时,例如股骨头下骨折或肱骨近端骨折,关节置换术的疗效于内固定[27][28][29]。随着反肩关节置换术的出现,越来越多的骨科医生选择关节置换术治疗复杂的肱骨近端骨折,获得了良好的治疗效果而肘关节置换术已成为复杂骨质疏松性肱骨远端骨折的常规治疗手段,临床研究也验证了其优良且可靠的治疗效果[28]。因此,当骨质疏松性骨折骨质量差,骨折碎片较小时,人工关节置换术应首先考虑。



5.骨缺损植骨

骨质疏松性骨折容易导致骨缺损,植骨可作为力学支撑,增强内固定把持力及力学稳定性。最佳的植骨材料是自体骨,但来源有限,骨缺损范围较大时无法获得足够数量的自体骨。随着生物医学工程技术的发展,以骨髓间充质干细胞为主的骨组织工程及新型复合骨移植材料是今后研究的重点。

三、总结

在绝经后骨质疏松性骨折的治疗过程中,骨科医生应当充分了解骨质疏松性骨折的生物力学特点,综合各种内植物的优点,同时应用骨折固定原则,使患者能够尽早负重、活动,恢复骨折部位的功能。全身抗骨质疏松治疗与手术治疗同等重要,充分掌握不同手术固定方式的优势和局限,以便在治疗骨质疏松性骨折时选取最优的手术方式。

参考文献




作者简介



刘强


医学博士,教授,主任医师,博士生导师,享受国务院特殊津贴,全国劳动模范。中国医师协会骨科医师分会副会长,中国医师协会骨质疏松专业委员会主任委员。山西省医学会副会长,山西省创伤学会主任委员。




分享到: