UBE/BESS下腰椎融合术的种类、溯源及对比(上)

2022-06-27    我要说

来源:北京大学首钢医院骨科 汪文龙 刘正

本文上篇聚焦双通道脊柱内镜技术下的各种融合方式,讨论了目前已发表的各种融合方式产生的历史、名称及技术演进,并将这些技术进行溯源探讨。笔者将在下篇中着重介绍双通道内镜下这些技术的对比、优劣势以及前景,欢迎广大同仁讨论。本人学识有限,请各位同仁不吝赐教。

一、双通道内镜技术进行融合的几个历史时间点

双通道技术内镜下进行脊柱融合术首次于2012年被美国Said G. Osman医生(图1)报道,Osman医生分别展示了15例胸椎和60例腰椎椎间融合患者的临床结果,总体满意。Osman医生的尝试无疑是伟大的,但遗憾的是他没有进行后续的报道和更多创新性的尝试。


图1 Osman医生照片(来源于网络)及术中照片(来源于文献)

时间来到2017年,韩国Dong Hwa Heo教授(图2)报道了69例双通道下腰椎椎间融合术的技术要点和初步临床结果。而此时UBE/BESS已广泛用于单摘、ULBD、孔区狭窄,甚至在颈椎上的应用也被首次报道。不难看出,双通道内镜下融合要晚于单纯减压数年之久。在这次报道中,Heo教授已经采用UBE这一特定的简称了。


图2 Dong Hwa Heo教授照片(来源于网络)及术中照片(来源于文献)

2020年8月,韩国Min Seok Kang和Hyun Jin Park教授(图3)的一篇论文横空出世,介绍了双通道内镜下一种全新的融合方式并将其命名为BE-Extraforaminal lumbar interbody fusion(BE-EFLIF),这篇文章详细介绍了该术式的技术细节,但具体开展了多少例作者并未公布。这篇文章意义重大,它第一次介绍了椎旁入路UBE/BESS下的融合手术,但这距椎旁入路进行孔区减压的初次报道也有两年多了。


图3 Min Seok Kang和Hyun Jin Park教授照片(来源于网络)及BE-EFLIF切口位置(来源于文献)

2021年2月,Dong Hwa Heo和Jin Hwa Eum教授再次融合了多种融合技术的优势并改良了手术切口,提出将OLIF的大Cage经Kambin三角植入并横置,他将其称为Modified far lateral transforaminal lumbar interbody fusion。这与上述的融合方式都不尽相同(具体下述)。据笔者了解到的信息,Jin Hwa Eum教授初期对此技术的可行性做了大量原创性的工作,所以Eum教授也是该项技术重要的创始人。

2022年2月,Jin Hwa Eum教授(图4)报道这种手术22例,并正式将其更名为Extreme transforaminal lumbar interbody fusion (eXLIF)


图4 Jin Hwa Eum教授照片(来源于网络)及文中入路图片(来源于文献)

以上就是已经发表的UBE/BESS下进行融合手术的几个历史时间点,上述人物只是其中的代表,还有很多学者对推动这项技术的发展付出了很多努力。Min Seok Kang和Dong Hwa Heo教授还在2022年联手写了一篇介绍这几种融合的综述,非常值得一读!

二、UBE/BESS下的腰椎融合术的名称与种类

在本节讨论之前,我们先借助图5把常见的各种LIF的名称统一一下。


图5 常见LIF的名称及手术入路的相对位置(图片为笔者制作,转发需注明出处)

1. PLIF (Posterior Lumbar Interbody Fusion)

20世纪初和30年代,前路进行腰椎融合治疗Pott病和腰椎滑脱被多位学者报道,但由于前路手术失败率高,神经血管并发症风险大而逐渐被淘汰。

为了打破这一现状,1952年夏威夷Cloward医生首先报道了PLIF在椎间盘突出复发中的应用,他通过后路开放全椎板和椎间盘切除后向双侧椎间隙植入自体髂骨块而实现了良好的腰椎融合(图6)。得益于内固定装置和显微镜技术的发展,现代PLIF手术仍在世界各地被广泛应用,是腰椎融合术公认的“金标准”之一。


图6 Cloward在其论文中展现的PLIF术式(图片来源于文献)

UBE/BESS下的虽没有文献报道应用PLIF术式,但仍有文献将其融合率与PLIF术式进行对比。未来PLIF手术的优势能否在UBE/BESS下被发挥出来?让我们拭目以待。

2. TLIF(Transforaminal Lumbar Interbody Fusion)

目前认为最早的TLIF术式由Harms在1982年以德文报道,翻阅其论文笔者发现他也是经正中开放切口,向外侧显露关节突关节(图7)。开展TLIF的初衷是方便进行对侧椎间隙的处理从而实现单个Cage进行双侧融合,减少一侧的肌肉暴露。因为当时PLIF主流还是双侧暴露并植入双Cage的形式(图8)。


图7 Harms在后续的论文中展示了TLIF的手术过程(图片来源于文献)


图8 PLIF和TLIF手术入路及cage位置的比较(来源于对文献中图片的制作)

随着时间的发展,微创的观念深入人心,术者不满意传统TLIF手术对正后方的肌肉的暴露。得益于显微镜、通道工具的发展,越来越多的人尝试将TLIF的切口外移、通道化,这样可以保护后方多裂肌,同时可以实现椎间孔减压、融合和椎弓根螺钉植入,并由此诞生了MIS-TLIF这一辉煌的术式。

目前报道的UBE/BESS主流融合术式即为(U)BE-TLIF,部分学者将其简称为ULIF,但这一名称国内很多学者认为其可能会引起歧义,也不能很好地表达双通道下融合的特性,所有将其称为BE-LIF或许更好。Dong Hwa Heo、Ju Eun Kim、Man Kyu Park等早期的报道以及我国多数手术演示的BE-LIF都是采用完全切除同侧关节突关节的这种方式(图9),而且作者们一致提出此术式类似MIS-TLIF,故将此融合方式归为TLIF。


图9 多位学者报道的BE-TLIF术中及术后伤口照片(来源于多个文献中的图片)

3. P-TLIF

在临床实践中,有时并非要将关节突关节完全切除,内侧部分关节突关节切除也能满足减压和植入Cage的要求。这种术式的优势是同侧的稳定性得以部分保留,同时避免对出口根的骚扰和椎间孔内瘢痕形成造成神经根粘连。这种融合操作范围介于PLIF和TLIF之间(如图10),有时称其为P-TLIF,由于其主体思想与TLIF一致,所以可以将其归类为TLIF。


图10 PLIF、TLIF和P-TLIF的融合范围示意图(图片来源于周跃教授授课)

P-TLIF在UBE/BESS文献中未被直接提出,但通过文献中对手术步骤的描述笔者发现在2020年以后的BE-TLIF的文献中,多数作者不再将关节突关节完全切除,而是切除上关节突的内侧部分来完成减压和融合,这包括Dong Hwa Heo、Seok Bong Jung和中国学者Qingcheng Gao等。

我中心进行BE-TLIF时也是根据减压和植入Cage的需要来切除同侧关节突关节,部分患者术后关节突关节部分保留,这种手术方式准确来说可称为BE-PTLIF(如图11)


图11 我中心进行的一例UBE-PTLIF术中照片及术后CT资料(☆为保留的上关节突,图片来源于我中心,转发需注明出处)

4. EFLIF(Extraforaminal Lumbar Interbody Fusion)

EFLIF常简称为ELIF,文献中最早报道这一名称的是2009年韩国Oon Ki Baek的一篇病案报道,但文中提到此术式来源于2002年美国Phillips和Cunningham的一项可行性研究,当时将这种融合方式称为“横突间腰椎椎间融合术”(intertransverse lumbar interbody fusion,ILIF)。阅读原文后笔者发现,ILIF是采用开放的手术方式经双侧Kambin三角植入两枚楔形骨块(如图12)。


图12 Phillips教授论文中展示的ILIF操作示意图(图片来源于文献)

之后这种ILIF未再有报道,直到2009年韩国Oon Ki Baek再次将这种手术方式应用于峡部裂滑脱中并更名为ELIF。作者认为其较PLIF或TLIF的优势是对关节突关节破坏小,直接减压受压出口根,无需暴露后方肌肉和椎管内结构。Baek将这个手术在小切口下完成,但仍需双侧植入两枚Cage(如图13)。


图13 Oon Ki Baek教授通过小切口完成ELIF(图片来源于文献)

之后韩国Jun Gue Lee也发表了两篇ELIF论文,均是应用于翻修手术中从而避免进入形成粘连的椎管。2016年法国Arthur Robert Kurzbuch也是应为同样的原因采用ELIF,但与前不同的是,他第一次通过单侧入路植入前后两枚C形Cage的方式进行融合,椎弓根螺钉进钉点也更加靠外(如图14),Kurzbuch随后以这种手术方式发表多篇论文。


图14 Arthur Robert Kurzbuch通过单侧ELIF植入前后两枚Cage(图片来源于文献)

2021年日本Motohide Shibayama和中国中医科学院望京医院Guang Hua Li联合发表了显微内镜下ELIF(MELIF)治疗单节段滑脱,而采用的是单侧单枚cage植入的方式。

单孔镜下/全脊柱内镜下也可以进行类似操作,也是经Kambin三角和椎间孔进入椎间隙(如图15),多数学者将其称为全脊柱内镜下TLIF(Endo-TLIF)。值得注意的是这种Endo-TLIF与前述的开放TLIF、MIS-TLIF和BE-TLIF均不同,而是类似本节的ELIF,这是需要区别开的。


图15 Endo-TLIF手术路径与ELIF类似(图片来源于文献)

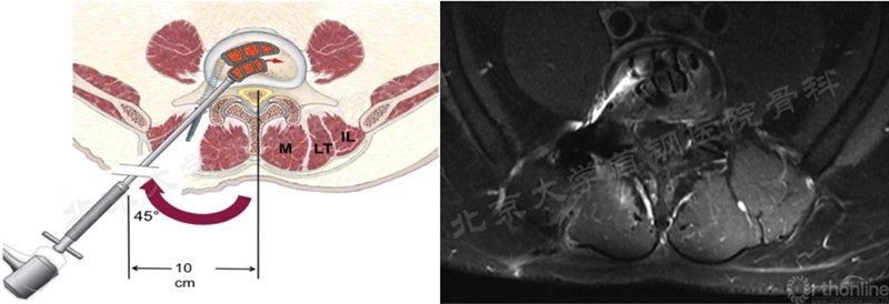
在双通道融合技术不断发展下,2020年8月韩国Min Seok Kang教授第一次报道了双通道下的ELIF并将其命名为BE-EFLIF。作者应用椎旁入路的方式,切口在椎弓根外缘2cm处。经过Kambin三角进行椎间隙处理和Cage斜插入,再经quarterback切口将cage横置(如图16),取得了十分满意的效果。这篇论文影响重大,开创了双通道下进行椎间融合新的手术模式。


图16 BE-ELIF手术入路及术中镜下视野、Cage横置过程(图片来源于文献)

5. Ex TLIF(Extreme transforaminal lumbar interbody fusion)

就在Min Seok Kang教授发表BE-EFLIF论文的半年之后,Dong Hwa Heo教授在这基础上进行两个改进,一是将通道切口重新确定在椎弓根外缘,二是关节突关节完全切除以便植入了更大的OLIF cage,Heo将这种手术方式命名为“改良远外侧内镜下椎间融合术”(Modified far lateral endoscopic transforaminal lumbar interbody fusion)。

一年后Jin Hwa Eum教授发表了该手术的系列病例并首次将这种术式命名为Ex TLIF,他在文中指出其最大的特征就是在BE-TLIF操作的基础上植入更大的Cage,植入Cage的路径是经过Kambin三角的,需要术中测量Kambin三角的底边长度,这一点与BE-TLIF是完全不同的(如图17)。


图17 Ex TLIF与Kambin三角底边长度及术后照片(照片来源于文献)

Ex TLIF这一名词是在双通道内镜手术下第一次被提出来的,是专属于双通道的一种融合技术。其沿用了BE-TLIF的部分手术技术,同时吸收BE-EFLIF中大cage斜插横置技术,具有十分广阔的应用价值和前景,是双通道下新融合方式的代表。

6. OLIF(Oblique Lumbar Interbody Fusion), LLIF(Lateral Lumbar Interbody Fusion), ALIF(Anterior Lumbar Interbody Fusion)

OLIF、LLIF和ALIF也是脊柱微创技术的重要分支。据笔者所知,目前已经有学者正在探索在内镜监视和辅助下完成这些手术并获得了一定的经验,相信不久我们就能看到这些成果被展示出来。

分享到: