病例详解|一文掌握颈椎UBE单侧入路双侧减压

2022-06-21    我要说

来源:杭州市中医院

作者:张伟

颈椎内镜下单侧入路双侧减压(ULBD)中,减压的难点还是在于识别棘突与椎板的移行部位及对侧结构的显露。

临床上,0°镜子绝对是颈椎UBE的最好用的镜子,但是30°的镜子对侧中线结构的显露及对侧结构的显露具有更广角的视野。在进行同侧减压之前,中线结构的显露是关键。

本文将以一例脊髓型颈椎病的UBE减压患者为例,详细介绍此类手术的操作要点。

病例详情

患者男性,68岁,主因四肢麻木、无力、走路不稳5年,加重20天入院。患者诉20年前有过颈椎外伤史。

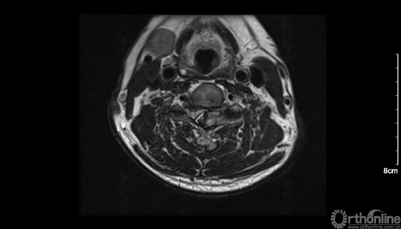
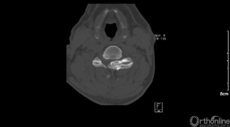
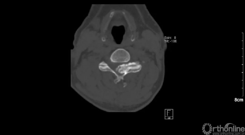
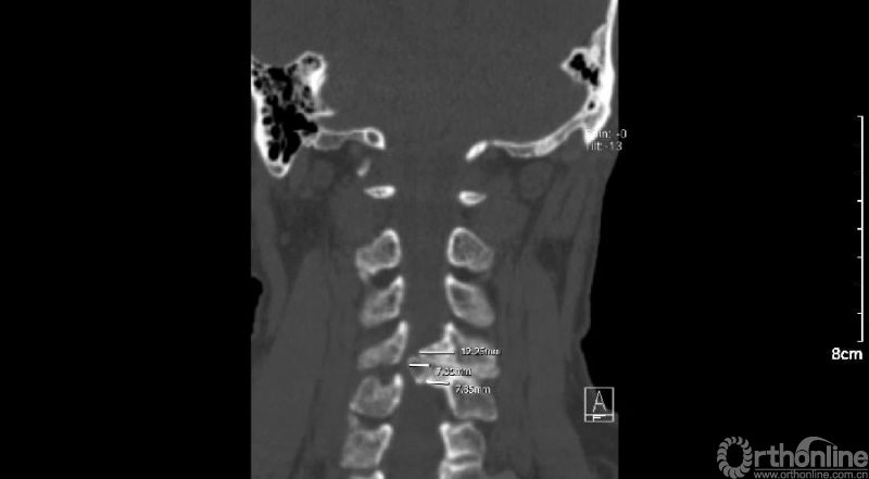
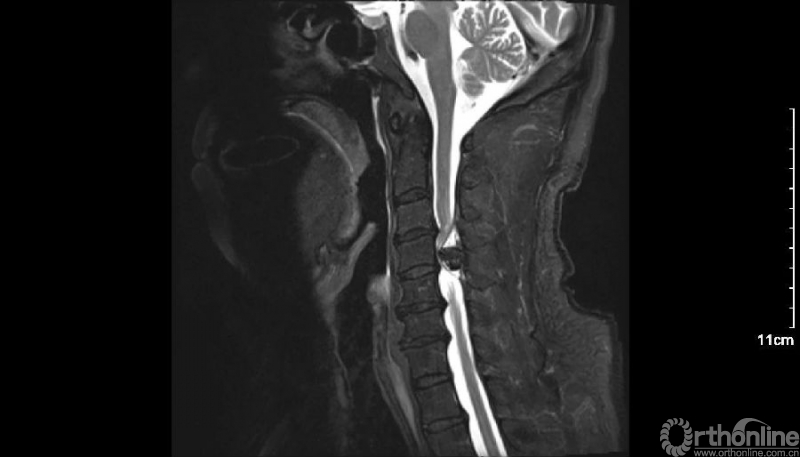
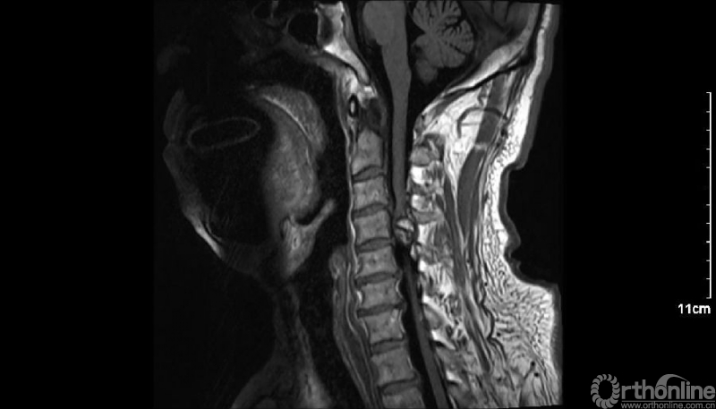
入院查体患者四肢肌张力高,双侧hoffman阳性。CT及MRI检查提示C4/5左侧关节突内缘有一巨大骨块(15mm*16mm),相应节段椎管严重狭窄。椎管内骨块的前端还有一游离骨块。

影像学资料

手术治疗

因患者骨块位于左侧,故而本病例选择右侧入路(即对侧颈椎ULBD)。

选择对侧入路的原因:

1.术前评估骨赘侧的椎板间隙几乎完全消失,镜下识别解剖标志困难;

2.在完全看不到骨赘底面的神经结构的情况下磨除骨块风险较大,且神经结构无退路;

3.对侧先椎板切除减压给神经结构一缓冲空间更加安全,并且整个骨块的内侧及上缘、下缘清晰可见。

手术步骤:

1.骨赘位于左侧,选择右侧入路做C4/5椎板切除减压;

2.显露骨赘的内侧面及上下缘;

3.从游离骨块的背侧开始,用磨钻将骨块打薄,然后将骨块的底面与脊髓表面仔细分离,将游离骨块摘除;

4.进一步加深移除骨赘的残余部分,直到显露出对侧的神经根及关节突关节的内壁;

5.控制出血,放引流。

手术视频:

(视频)

术中操作要点

1. 术中如何确定中线?

2. 术中骨赘的界限?

3. 如何确定对侧结构?

4. 如何确定减压范围?

5. 减压完成后的止血非常重要,高效的止血方法有哪些?

(1)大头等离子刀头止血

(2)小头等离子刀头止血

(3)骨蜡

(4)明胶海绵

分享到: