桡骨远端骨折闭合复位固定技术

2022-06-09   文章来源:山西医科大学第二医院   作者:梁炳生 我要说

一、基本概念

1、桡骨远端骨折分型:Colles、Smish、Barton、反Barton。

(1)Colles骨折:又称伸直型桡骨远端骨折,多为腕关节处于背伸位、手掌着地、前臂旋前时受伤,占桡骨远端骨折的90.2%。

(2)Smith骨折:又称屈曲型桡骨远端骨折或反Colles骨折,常由于跌倒时腕关节屈曲、手背着地受伤引起,占桡骨远端骨折的7.8%,较少见。

(3)Barton骨折:又称桡骨远端关节面骨折伴腕关节脱位。

Barton-在腕背伸、前臂旋前位跌倒,手掌着地,暴力经腕骨传导使桡骨关节背侧发生骨折,腕关节也随之向背侧移位,约占桡骨远端骨折的2%。

反Barton-当腕关节屈曲、手背着地时受伤,可发生桡骨远端掌侧关节面骨折及腕骨向掌侧移位,此类骨折较少见。

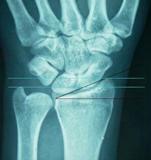
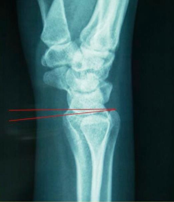
2、桡骨远端正常角度

掌倾10°至15°,尺偏20°至25°。


图1 尺偏角20°-25°,桡骨茎突比尺骨茎突高出约1.5cm


图2 掌倾角:10°-15°

3、X片检查:腕正、侧、斜位片,前臂肘正侧位片。

4、三柱理论:桡侧、中、尺侧柱。

桡侧柱:桡骨茎突桡骨舟骨窝。

中柱:桡骨月状窝乙状切迹。

尺侧柱:尺骨远端、三角纤维软骨盘和下尺桡关节。

5、AO分型

AO分类方法很适合桡骨远端骨折,它将骨折分为三种主要类型,每一型又根据骨折的严重性和复杂性分成不同的组合亚组

A型:关节外骨折。

A1,尺骨干骨折,桡骨为损伤(A1.1,尺骨茎突骨折;A1.2尺骨干简单骨折;A1.3,尺骨干骺端粉碎性骨折)。

A2,桡骨骨折,简单型,有嵌插(A2.1,桡骨无倾斜;A2.2,桡骨背侧倾斜,即Pouteau-Colles骨折;A2.3,桡骨掌侧倾斜,即Goyrand-Smith骨折)。

A3,桡骨骨折,粉碎型(A3.1,桡骨轴向短缩;A3.2桡骨有楔形骨片;A3.3,桡骨粉碎骨折)。


图3 A型骨折

B型:部分关节骨折。

B1,桡骨骨折,矢状面(B1.1,外侧简单型;B1.2,外侧粉碎型;B1.3,内侧型)。

B2,桡骨背侧缘骨折,即Barton骨折(B2.1,简单型;B2.2,合并外侧矢状骨折;B2.3,合并腕关节背侧脱位)。

B3,桡骨掌侧缘骨折,即反Barton骨折,或为Goyrand-smithll型骨折(B3.1,简单骨折,小骨片;B3.2,简单骨折,大骨片;B3.3,粉碎骨折)。


图4 B型骨折

C型:全关节骨折。

C1,桡骨骨折,关节面和干骺端都为简单型(C1.1,后内侧关节骨折;C1.2,关节面矢状骨折;C1.3,关节面冠状面骨折)。

C2,桡骨骨折,关节面简单型,干骺端粉碎型(C2.1,关节面矢状骨折;C2.2,关节面冠状骨折;C2.3,关节骨折延伸至桡骨干)。

C3,桡骨骨折,粉碎型(C3.1,干骺端简单型;C3.2,干骺端粉碎型;C3.3,关节骨折延伸到桡骨干)。


图5 C型骨折

二、闭合复位固定

1、最佳时间是伤后1-2天或肿胀消退后即伤后5-7天,一般伤后10天左右即失去手法复位固定的时机。

2、优点:

(1)骨折后骨折断端会分泌大量成骨因子,闭合复位固定,成骨因子保留,骨愈合增快。

(2)规避了手术与麻醉的风险。

3、弊端:

(1)手法复位后须石膏或支具外固定4-6周,不能早期功能锻炼,影响腕手功能恢复。

(2)手法复位无法做到精确解剖复位。

4、闭合复位的五大要素:

整复时间-早期

麻醉方法-保证无痛

复位技术-根据骨折类型决定复位手法

固定位置-根据骨折类型决定固定体位

固定期限-根据骨折稳定决定固定时间

5、复位方法:

对于无移位或轻度移位的闭合性骨折,或者有移位但可以复位且能保持稳定的骨折,建议采取保守治疗。

手法复位手法:

1%利多卡因5~10me骨折断端麻醉,肩外展屈肘90°前臂旋前,助手双手握住前臂近侧,术者面对患者,将双拇指置于骨折远段背侧,拔伸牵引5分钟(沿骨折方向),提按(掌背)捺正(侧方);术者拇指先纠正侧方移位,再纠正掌背移位;石膏固定4周。

6、不稳定类型骨折可经皮穿针固定+石膏固定:

适用于骨折断端背侧骨皮质碎裂不稳定型骨折,经石膏夹板固定后,仍发生再移位患者(可用CT摄片了解断端情况),经皮穿针固定力较夹板固定力更坚固。

经皮穿针固定技术:

需常规皮肤消毒后,由桡骨茎突处进针(注意避开桡骨茎突内侧皮下静脉),穿过骨折线直达桡骨近段骨折骨皮质,可轻度穿透骨皮质或在髓腔内弯曲,均可起到克氏针固定效果。另一枚克氏针可交叉固定,一般穿入2根即可。外用石膏托固定,针尾剪短,外用纱布覆盖,三角巾悬吊患肢,术后3~5周后,即可拔除固定针。

三、手法复位+微型外固定架

石膏固定不能控制粉碎性不稳定骨折复位后再移位以及晚期塌陷,可外固定架治疗,依靠“韧带修复"的生物力学原理使骨折复位,利用软组织在牵引状态下对骨折片的整复能力复位。同时可中和各种导致畸形的力,防止发生再移位。

关键:1是复位,2是固定。

1、先手法复位同前。

2、穿针技术:

复位后在前臂、腕(骨折远端)或掌骨处(第二掌骨)穿针。桡骨茎突近侧10至20cm称之“桡骨裸区”,在桡骨的背侧与掌侧面交界处穿针(在肱桡肌腱背侧穿针)切口3-5cm防止伤及神经肌腱。第二掌骨在其桡侧面穿针,穿过二掌骨及三掌骨桡侧骨皮质。

(1)掌骨螺钉置入

第一枚螺钉位于第2掌骨基底部,在示指伸肌腱和第1骨间背侧肌之间,做一皮肤切口,用手术钳轻轻分开软组织,套筒保护软组织,打入1枚3mm Schanz螺钉,螺钉的方向与手掌平面呈45°,也可以与掌平面平行。通过导向器选取第二枚螺钉的位置。在第2掌骨打入第2枚3mm的螺钉。

掌骨固定针的直径不要超过3mm,固定针位置位于近端1/3部,对于骨质疏松的患者,最近端的螺钉可以穿3层皮质(第2掌骨,第3掌骨半侧皮质)这样螺钉固定力臂长、固定扭矩大,增加固定针的稳定性。

(2)桡骨螺钉的置入

在桡骨外侧缘,肱桡肌和桡侧腕伸肌间,骨折线近端3cm以上,约腕关节近端10cm的位置作皮肤切口,用止血钳钝性分离皮下组织直至骨面。注意保护在此区域内走行的桡神经浅支。与掌骨螺钉在同一平面,套筒保护软组织导向器引导下置入2枚3 mm Schanz螺钉。

3、骨折的复位与固定:

手法牵引复位C形臂透视下检查骨折的复位情况。

跨腕关节的外固定,难以完全恢复掌倾角,可以结合Kapandji针辅助复位、固定。

对于桡骨茎突骨折的患者,可以结合桡骨茎突克氏针固定。

维持复位的情况下,连接外固定支架,将外固定架旋转中心同腕关节旋转中心置于同一轴线上。


图6 正侧位透视,检查桡骨长度、掌倾角和尺偏角是否恢复,调整固定角度直至骨折复位满意

4、桡骨远端骨折合并下尺桡关节(DRUJ)分离:

绝大部分桡骨远端复位后DRUJ可自行复位。若桡骨远端复位后DRUJ仍然分离,采取手法挤压复位,应用外支架的侧杆固定。


图7 桡骨远端骨折合并下尺关节(DRUJ)分离,加用侧杆固定


图8 或于中立位或轻度旋后位使用克氏针贯穿固定DRUJ

5、C臂透视检查如果骨折复位不满意可用2mm克针撬拨,或切开皮肤骨膜起子撬拨打压植骨。

四、固定后注意事项

术后患肢持续抬高,以利于消肿。

于术后第3-7天复查看石膏有无松动,2周时复查X线观察有无再移位;如果无移位可根据骨折己复位情况于2-3周后更换功能位石膏托。

手术后6周复查,X线片骨折愈合后可拆除石膏托进行腕关节功能锻炼。

石膏固定期间注意患肩肘关节的功能锻炼,防止肩手综合症的发生。

作者简介


梁炳生,山西医科大学第二医院骨科主任医师,教授,博士生导师,享受国务院政府特殊津贴专家,山西省医学学科带头人导师。

社会任职:山西省医师协会手外科医师分会会长,中国医师协会手外科医师分会常委,山西省医师协会骨科医师分会副会长,山西省医学会手外科专业委员会名誉主委;国家自然科学基金委员会评审专家,国家教育部学位中心评审专家;《中华手外科杂志》《中国实用手外科杂志》《中国修复重建外科杂志》编委,《实用骨科杂志》常务编委。

科研成果:在国内专业杂志发表相关论文100余篇,SCI论文6篇。主编专著3部,获得科研专利4项。主持或合作国家自然基金课题4项,国家自然科学基金项目及省部级重点项目10项。

分享到: