临床应用|髌骨下极撕脱骨折“鬼脸固定法”

2022-06-09   文章来源:山西医科大学第二医院   作者:梁炳生 我要说

髌骨下极撕脱骨折多为间接暴力损伤,损伤暴力较大,髌骨下极的关节外骨折块较小且粉碎,复位和固定非常困难,笔者提出“双套固定法”解决方案,供大家讨论。

一、入院检查

1.DR正、侧、轴、左右斜位;

2.CT,MR;明确骨折类型,排除半月板、前后交叉韧带、侧副韧带、髌韧带和股四头肌扩张部损伤情况;

二、分类

髌骨骨折占全身骨折1%,损伤原因为直接或间接暴力。临床常分为:横行骨折、纵行骨折、粉碎性骨折与撕脱骨折

三、手术治疗

1.切口

横弧切口(暴露充分,便于修复内、外侧扩张部);

直切口(粉碎骨折需要向近远侧做广泛显露时或预计关节置换);

内弧切口(皮肤条件差);

2.双套固定法

第一步“双锚钉双滑轮技术”固定:

a.在彻底清理骨折端后,在近端骨折块的两下角,斜向中线往上45度角打入两枚3.5m锚钉(注意锚钉位置尽量要靠近两侧皮质,尾部应埋入骨质)。


髌骨近端打入2枚3.5mm锚钉

b.分别取两枚锚钉的同色缝线一端(绿线),用缝针或者硬膜外导针将两根缝线分别从两侧穿过髌韧带下方在髌韧带中间同一点穿出(7点)。

c.取红线重复一遍第二步操作(5点)。

d.穿髌韧带的两根同色缝线(分别来自于两个锚钉)相互打结。


蓝色线在7点,红色线在5点分别打结,每个结打6个,以保证不会滑开

e.同时拉两根同色缝线的另外一头,两个颜色缝线交替收紧,以两个锚钉尾孔为滑轮,髌韧带内缝线(线)将髌骨下极骨折块和软组织复位至原处。此手术技术可以保证在髌骨-髌韧带交界处有8根线贯穿。


通过第一轮2-4操作后,髌骨-韧带交界处有4根线贯穿

双锚钉双滑轮技术原理


双滑轮技术生物力学示意图

f.继续重复b-d操作,完成第二轮髌骨-髌韧带缝合,蓝红线分别在第一轮出针点7点与5点的旁边5mm处,即:6点处与4点处穿出打结。


通过第1、2轮b-d操作后,髌骨-髌韧带交界处有8根线贯穿即:7、6、5、4点分别有2根线打结,一共有8根线贯穿缝合。

第二步钢丝张立带固定:

胫骨结节处横行置入一枚空心钛钉,18号不锈钢丝(直径1.2mm)穿过空心钛钉,然后向近侧U形或8字形绕过髌骨及股四头肌腱扩张部,在引导器引导下紧贴髌骨上缘穿股四头肌腱,注意要在髌骨内外板之间穿过,伸直膝关节,在髌骨内上角打结。


U形或8字钢丝固定示意图

第三步:0号Vicryi可吸收线修复髌骨两侧的髌支持带,2-0 Vicryis缝合髌前腱膜及髌韧带断端。

四、典型病例

吕某,男,32岁,左髌骨下极撕脱骨折7天,2020年4月16行“双套固定法”手术。




术前资料


术中


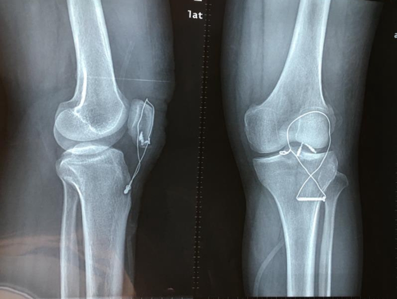
术后影像学


术后24小时膝关节伸0°-屈70°

由于“双套固定法”固定确切牢固,手术后24小时开始较大范围的关节屈伸锻炼,为膝关节功能恢复奠定了良好的生物力学基础。

术后11个月随访:采用“鬼脸固定法”手术后11个月,膝关节屈伸功能恢复正常。


鬼脸固定法

髌骨下极撕脱骨折修复手术是一个难题,其难点在于腱骨愈合固定的不确定性和早期不能早期功能锻炼,从而严重影响手术后膝关节屈伸功能。双套固定法固定示意图犹如“万圣节鬼脸”,而谓之“鬼脸固定法”。

作者简介


梁炳生,山西医科大学第二医院骨科主任医师,教授,博士生导师,享受国务院政府特殊津贴专家,山西省医学学科带头人导师。

社会任职:山西省医师协会手外科医师分会会长,中国医师协会手外科医师分会常委,山西省医师协会骨科医师分会副会长,山西省医学会手外科专业委员会名誉主委;国家自然科学基金委员会评审专家,国家教育部学位中心评审专家;《中华手外科杂志》《中国实用手外科杂志》《中国修复重建外科杂志》编委,《实用骨科杂志》常务编委。

科研成果:在国内专业杂志发表相关论文100余篇,SCI论文6篇。主编专著3部,获得科研专利4项。主持或合作国家自然基金课题4项,国家自然科学基金项目及省部级重点项目10项。

分享到: