儿童孟氏骨折分型及治疗
2022-05-18 文章来源:骨科在线 作者:骨科在线 我要说
定义
1814 年,Monteggia首次报道了两例尺骨近端1/3骨折合并桡骨头向前侧脱位的病例,并将此类损伤命名为孟氏骨折,而后其定义扩大为尺骨不同节段的骨折合并桡骨头各个方向脱位的联合损伤。孟氏骨折若能急性期得到正确诊断,及时复位肱桡关节和尺骨骨折,绝大多数可取得令人满意的治疗效果。若发生误诊和漏诊,待其发展为陈旧性孟氏骨折,将严重影响肘关节的稳定、屈曲,还将影响前臂旋转功能和整个患肢功能,导致一系列并发症。
分型
目前临床上主要采用Bado分型方法,即根据尺骨骨折和桡骨小头脱位的方向,分为Ⅰ、Ⅱ、Ⅲ、Ⅳ四型。
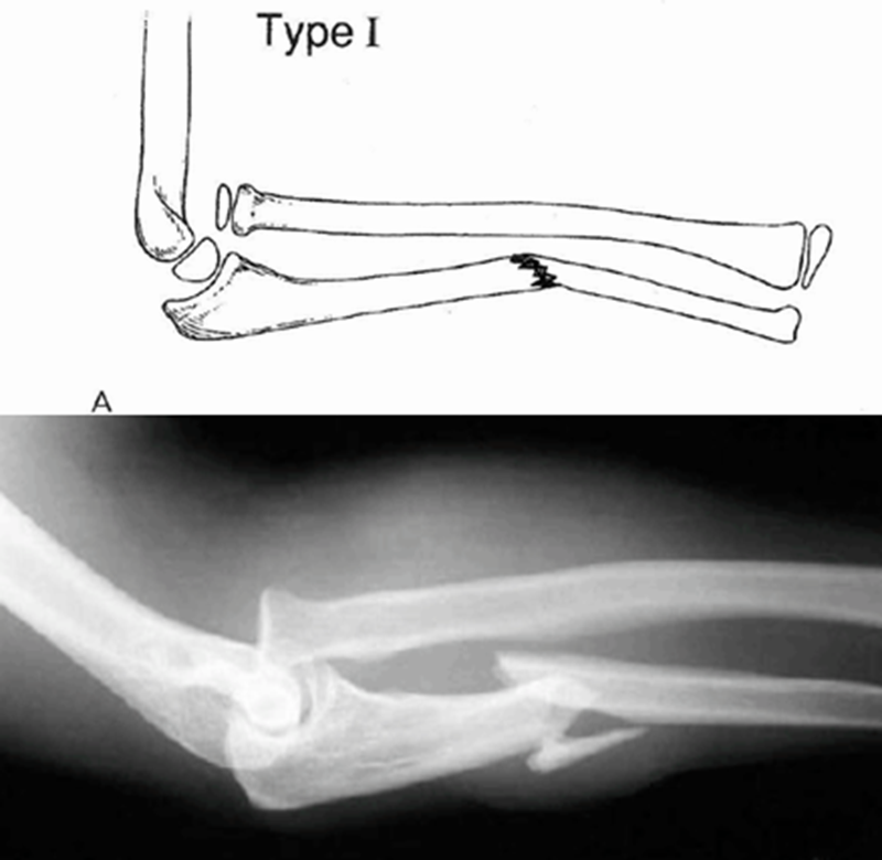
Ⅰ型(伸直型):桡骨头向前脱位(前脱位),尺骨骨折断端向前方成角,为儿童常见的骨折类型,约占 55%~75%。1985年LETTS等根据尺骨骨折的特征将Ⅰ型孟氏骨折进一步分为3型:A型为尺骨弓形变,B型为尺骨青枝骨折,C型为尺骨完全骨折。

受伤机制:肘关节于过伸位损伤,桡骨小头因肱二头肌强力收缩而发生前脱位,身体重量移于尺骨造成骨折。
Ⅱ型(屈曲形):桡骨头后脱位或后外侧脱位,尺骨干骨折端向后成角,约占10%~15%。

受伤机制:沿前臂长轴向近端传导的应力,在屈曲肘关节时,引起尺骨后侧皮质断裂,在尺骨干骨折端向后成角。
Ⅲ型(内收型):桡骨头后外侧或是前外侧脱位,尺骨近端骨折且可累及干骺端,仅在儿童中发病,又称为儿童型,约占7%~20%。

受伤机制:在肘关节内翻应力的作用下,先造成尺骨近端的青枝骨折,使桡骨头向外侧或前外侧脱出。
Ⅳ型(特殊型):桡骨上1/3骨折,桡骨头向前方脱位,合并的尺骨与桡骨骨折水平面相同,约占5%。

诊断
多以局部肿胀、疼痛为主;移位明显者前臂背侧可见尺骨成角畸形。伴有前臂旋转功能和肘关节活动功能障碍。
新鲜孟氏骨折的X线片评估内容必须包括标准尺桡骨正侧位片,摄片范围包括腕关节和肘关节。正常情况下,无论肘关节屈伸角度如何,经过桡骨颈和桡骨头中心的线应该通过肱骨小头的中心。

术前三维CT有助于评估肱桡关节、尺桡 关节和尺骨近端三维立体畸形情况。
MRI有助于评 估环状韧带的损伤情况并针对先天性桡骨头脱位与创伤性桡骨头脱位进行鉴别。
治疗
对于小儿新鲜闭合性孟氏骨折,应及时采取手法复位,治疗原则以先整复桡骨头脱位,再整复骨折。对于难以维持尺骨骨折端对位以及桡骨头不能手法复位者需要手术治疗,手术包括尺骨截骨矫形、钢板或髓内钉内固定、骨头复位后行环状韧带重建等。新鲜孟氏骨折尺骨对位良好后桡骨头自然复位,大多数不需要探查环状韧带;对于多数陈旧孟氏骨折,通常会选择切开探查;而年龄较大(>12岁)、病程时间长(>2年)的患儿建议采用尺骨截骨矫形治疗。



京公网安备11010502051256号