病例解析|儿童髌骨套状撕脱骨折还会漏诊吗?

2022-04-07   文章来源:唐山市第二医院   作者:周宏艳 我要说

病史回顾

患儿,男,10岁,主因右膝部摔伤后石膏固定3周入院。

现病史:患儿于3周前下台阶时踩空而不慎摔伤右膝,当即感右膝肿胀、疼痛、不敢活动。于当地县医院就诊,行右膝拍片后诊为“右膝软组织损伤”,建议石膏固定3周。患儿于伤后3周门诊复查,再次拍片后诊为“右髌骨骨折”,建议手术治疗,家属为进一步诊治来我院门诊,门诊以“右髌骨套状撕脱骨折”收入院。

辅助检查


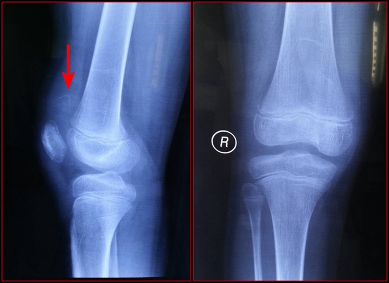
图1 受伤当时X线片


图2 受伤3周X线片


图3 受伤后3周MRI

考虑此患儿伤后已3周,组织全科讨论,确定诊断为:髌骨上极陈旧性套状撕脱骨折。充分与家属沟通远期预后。

讨论

1.伤后3周,髌骨撕脱的帽可能受股四头肌腱的牵拉难以复位。

2.如果术中不能复位可否一期做髌骨上级骨突的切除?

3.如做骨突切除股四头肌腱是否需要一期止点重建?

文献回顾

1.髌骨套状撕脱骨折是儿童特有的骨折类型。

2.此类损伤极易漏诊或是误诊认为损伤轻,从而影响伸膝装置的连续性,而显著影响膝关节的功能。

3.髌骨套状撕脱骨折以下极多见,上极撕脱极罕见。

发生机制

在膝屈曲或半屈曲时,股四头肌剧烈抗阻力收缩应力作用于髌骨支点,演变成剪应力,致使髌骨软骨骨移行区分离剥脱,形成儿童特有的髌骨袖套状撕脱骨折。


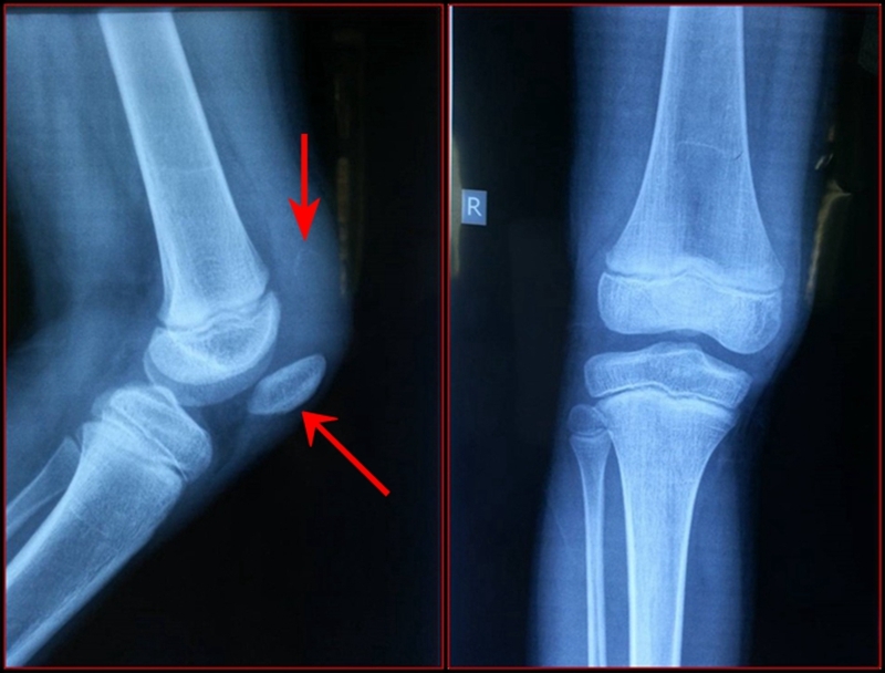
图4

影像学表现

1.髌骨上、下极的斑片、点状薄层骨组织影像或半环、新月形骨块阴影,同时还应注意髌骨有否高位、低位及髌韧带、股四头肌腱软组织影是否松弛。

2.X线片无骨性组织显影时,应予以MRI扫描。


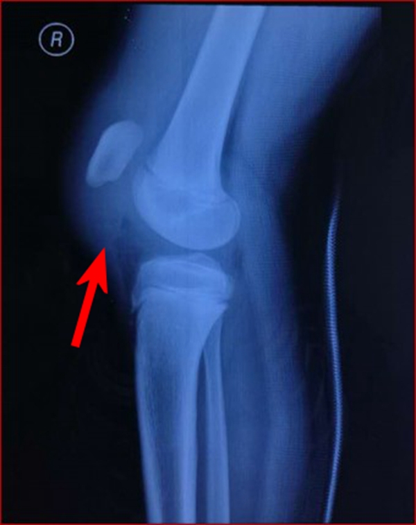
图5

治疗

1.小儿袖套状髌骨骨折属关节内骨折, 骨折端分离一般2-3cm以上。

2.任何形式的保守治疗均不能使骨折端解剖对位, 不能恢复关节面的光滑及伸膝装置的完整性。

3.严重影响膝关节功能, 影响骨折愈合, 特别是伸膝功能丧失,一旦确定诊断, 要尽早进行手术。

手术方式

1.陈旧性骨折治疗困难, 如不能正确复位只能切除上极或下极骨折块多余的骨质, 修整髌骨主体使之对位, 以关节面对位光滑为准。

2.另外可以将股四头肌腱或髌韧带止点重建。

手术方案

手术关键点在于恢复伸膝装置的连续性,争取解剖复位,并修复髌旁支持带。如果术中因股四头肌腱挛缩出现复位困难,则一期行股四头肌腱延长术。

手术采取腰麻,在止血带下进行。行膝前正中切口,电刀止血。




图6 术中所见


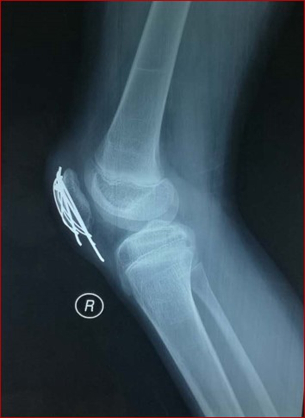
图7 术中X线


图8 术后石膏固定X线

术后康复训练及随访

1.术后长腿石膏固定4周;

2.4周去石膏后开始股四头肌等长收缩训练,同时行关节功能练习;

3.术后8周骨折线模糊,抗阻力主动伸膝恢复后,开始负重功能练习;

4.术后3个月骨折愈合,膝关节功能屈伸活动0-120°;

5.术后8个月膝关节功能正常,取出内固定。

随访X线片


图9 术后8周


图10 术后3个月


图11 术后8个月


图12 术后1年

经验教训

1.详细询问病史及受伤机制

对于有外伤史的患者,应详细进行体格检查;对于膝关节有肿胀压痛,不能完全伸膝,尤其是抗阻伸膝障碍的患者进行常规X线片检查;当症状体征与X线表现明显不符时,应进一步做膝关节MRI检查。

2.规范进行复诊

一般嘱咐患者按照伤后1天、3天、7天、14天、4周要求进行复诊。切忌复诊时间间隔过长。

3.加强学科间会诊制度

髌骨套状撕脱骨折为儿童特有损伤,成人骨科医生容易忽略该类损伤。因此对于不能明确的损伤而又高度怀疑的患儿可加强与儿骨医生的沟通,明确诊断。

作者简介


周宏艳,女,主任医师,硕士研究生导师,唐山市第二医院小儿骨科副主任;唐山市优秀年轻人才既河北省“三三人才工程”第三层次人选。

目前任河北省中西医结合学会骨科微创专业委员会骨关节病学组委员,中西医结合学会骨科微创专业委员会骨创伤与孟氏疗法学组委员。河北省科技专家库专家,唐山市医学会第四届医疗事故技术鉴定专家库专家。

擅长儿童创伤、畸形矫正及儿童骨病的诊治。先后在中华小儿外科杂志、中国矫形外科杂志、中国现代医学、中国骨与关节损伤杂志等核心期刊发表论文25篇。作为第一主研人完成市科技局科研项目一项,并参与完成市厅级科研项目5项,获河北省科技进步一等奖3项,市科技局科技二等奖1项,市科技局科技三等奖1项。

分享到: