长节段融合固定术后继发近端交界性后凸和失败的探讨
2022-03-18 作者:杜钰堃,西永明 我要说
作者:杜钰堃,西永明
医院:青岛大学附属医院
编者按:近年来,脊柱外科部分患者采取长节段融合固定后,由于长节段固定选择椎体不当或不适当术中操作技术,造成了近端交界性后凸(PJK)或近端交界性失败(PJF)的发生率增大,本文作者查阅了国内外相关文献,总结了PJK和PJF的相关危险因素、治疗等,特飨读者,以期对广大骨科同道临床工作有所裨益。
一、脊柱融合固定相关并发症


图1 脊柱融合固定相关并发症
a~f依次为:半脱位、ASD、UIV+1骨折、术后脱位、固定椎上方骨折、邻近节段问题半脱半
交界性问题(PJP)主要包括PJK、远端交界性后凸(DJK)、PJF、邻近节段退变(ASD)、 ADDING-ON。
二、PJK的定义和诊断标准
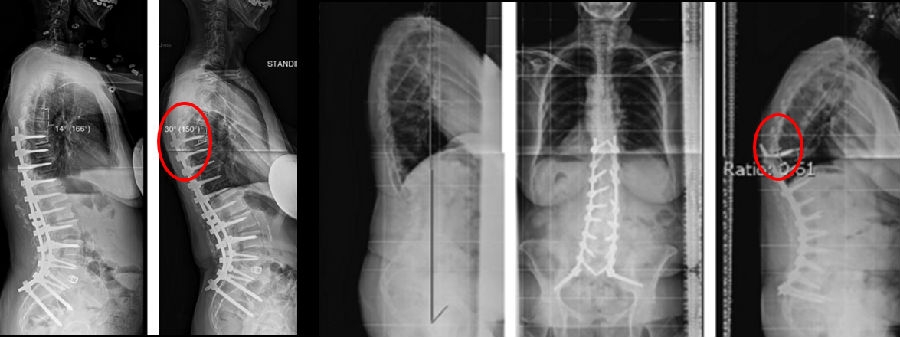
PJK定义为术后近端交界区矢状面Cobb角(PJA)即近端融合椎下终板与其近端第2个椎体的上终板之间的夹角>10°且较术前增加10°。

图2 近端交界角度(proximal junctional angle, PJA)
PJA:最上方固定椎(UIV)下终板和UIV上方2个椎体(UIV+2)上终板的Cobb角
三、PJK的分类( Yagi,2012)(图3)
该分类提供了临床医生描述类型和严重程度的方法,但对治疗无指导作用。
类型
1.韧带的损伤和破坏
2.骨性结构的破坏
3.内固定的失败
PJA角度分级
A:PJA10-14°
B: PJA15-19°
C: PJA>20°
滑脱
N:上终椎UIV上方无滑脱
S:有滑脱

图3 PJK的分类
四、近端交界性后凸严重指数评分(PJKSS)
Hart R&国际脊柱研究组提出:
1.从6个方面评估PJK/PJF的严重程度,计算严重程度的评分(图4)
2.PJKSS和翻修手术指证之间有密切关系,可了解疾病严重程度和提供治疗指导

图4 近端交界性后凸严重指数评分
五、近端交界性失败(PJF)的定义
1. (Yagi等,2012):PJK引起临床症状需要进行返修手术者为PJF
2. Hart和Hostin等:存在PJK,同时存在至少以下情况之一:UIV或UIV+1椎体骨折;后方骨韧带复合体的破坏;在UIV内固定的脱出
3. 其它术语:topping off 综合征;近端交界骨折;近端交界区急性塌陷
六、PJK和PJF的发生率
1. PJK的发生率为17%-61.7%
2. PJF的发生率为1.4-35%
3. Yagi报道1668例ASD患者手术治疗后PJK发生率22%,PJF为1.4%
4. Hart报道1218例患者术后,57例患者发生PJF,其PJF的发生率为4.67%
七、PJK/PJF相关危险因素
1.技术因素
后方韧带复合体的破坏(包括小关节骨性结构、关节囊破坏、融合交界区棘上韧带和肌肉损伤和过度剥离)
前后联合入路手术
内固定物的坚强程度(如全椎弓根钉固定,融合到骶骨或髂骨)
上固定椎的选择
矫形的程度
2.融合节段数量和水平
长节段固定
固定到骶骨的节段固定
上固定椎在交界区或存在交界性后凸
上固定椎融合到T10-12
上固定椎到T1-3
(1)长节段固定/固定到骶骨的节段固定

图5 脊柱远端融合节段越多,如包括L5-S1水平固定到骶骨或髂骨,发生交界性后凸的可能性越大
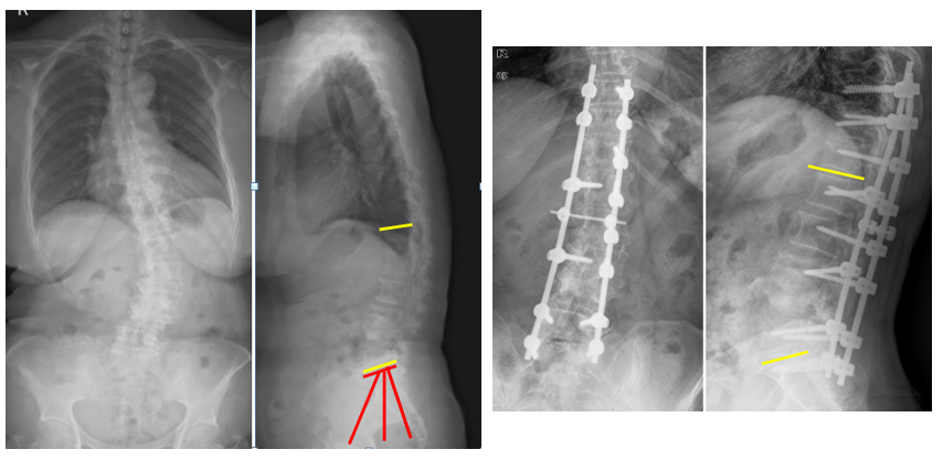
(2)上固定椎在交界区或存在交界性后凸

图6 长节段融合固定上固定椎(UIV)选择在胸10-12胸腰椎交界区是PJK的风险因素之一
(3)上固定椎位于T1-3

图7 术前-术后1个月-术后1个月外观
(4)固定棒选择




图8-11 相关文献表明,钴铬合金可提高固定强度及融合率,防止断棒,但也增加了PJK的发生率
(5)内固定方式选择
内固定融合区固定强度过大,如全椎弓根螺钉固定和多棒固定。
融合区内固定强度越坚固,PJK的发生风险越高。

图12 CBT+TT+多棒固定
CBT+TT+多棒固定
从融合节段向活动节段未行过渡性手术,导致局部应力分布不均,局部应力过于集中,也是交界性问题的危险因素之一。
长节段固定时,融合区和活动区应适当行过渡性手术,可降低PJK发生的风险。

图13 长节段全椎弓根螺钉固定,局部应力过于集中
(6)手术入路和方式
据文献报道,前后联合较单纯后路手术PJK风险增加3倍,为独立危险因素。

图14 前后联合入路手术和胸廓成形术
(7)固定棒近端区预弯时考虑因素

图15 近段棒的塑形和近段交界性角度之间的不匹配也是PJK的危险因素之一
因此,术中应顺应脊柱生理弯曲的弧度,尤其在胸腰交界区进行术中特殊弯棒,以避免人为增加交界区应力。
(8)脊柱矫形的程度
1) 矢状面失平衡(High SVA)过度矫正
术前-术后SVA矫正过大(大于5cm)的患者,PJK发生的风险增高
矫形术后矢状面失平衡可增加固定融合近端和远端交界区的应力,增加PJK风险

图16 矢状面失平衡过度矫正
SVA随着年龄增加,理想SVA矫正应综合考虑患者病情采用个性化矫形方案。
2)腰椎前凸(LL)过度矫正

图17 据文献报道,腰椎前凸(LL)过度矫正和SVA基线位置不当,均为增加PJK发生的风险因素
3.影像学参数可评估PJK的发生
PJK的危险因素
Ø 术前明显的矢状面失平衡(SVA>5cm)
Ø 胸椎后凸大(T5-12 TK>40°)
Ø 术前胸椎后凸(TK )和腰椎后凸差异越大
Ø 术前骶骨倾斜角(SS)小
Ø PI值大和骨盆后倾
Ø 术前近端交界角(PJA)大于5°

图18 固定近端交界性后凸角>5°
A:术前固定近端交界性后凸角>5°;B:上固定椎未跨过此区域;C:术后随访出现PJK
Ø 颈7铅垂线距离UIV太远

图19 颈7铅垂线距离UIV太远
Ø 上固定椎在上终椎的尾端

图20 Lenke 1型脊柱侧弯上固定椎(UIV)选择在上端椎(UEV)的尾端是导致PJK的危险因素
Ø 术后PI-LL不匹配,PI-LL大于10°

图21 术后PI-LL不匹配,大于10°
4.患者自身因素

图22 相关文献报道,年龄>55岁、高BMI、骨质疏松症或骨量减少、吸烟及其它合并症这些患者自身因素也是PJK/PJF相关危险因素
八、近端交界性后凸和失败(PJK和PJF)的临床意义
1.PJK更多的是影像学诊断,可能会引起临床症状
2.Kim等:PJK组疼痛发生率29.4%,非PJK组为1.9%
3.PJK的加重,可以造成结构性失败(PJF)
4.PJK多无症状,而PJF表现局部疼痛、神经压迫、步态改变和脊柱失平衡症状
5.PJK多保守治疗,而PJF多需要翻修手术
九、近端交界性后凸(PJK)的预防策略
预防策略涵盖:正确的选择UIV:如节段性后凸大于5°的节段应包括到融合范围内;远端尽量保留活动节段以降低近端应力;降低内固定的硬度和适当减少融合区内固定数量;尽量减少融合节段;适当的截骨以降低强力矫形时分布于内固定上的应力;对UIV周围韧带肌肉等软组织保护;适当的预弯棒技术;内固定的杂交使用:如粗细棒,椎板钩,弹性固定以及骨水泥强化等;避免过度矫正,尽量取得适合患者自身的脊柱平衡;抗骨松治疗和降低体重等。
1.选择合适的UIV
(1)固定近端交界性后凸角>5°的区域应包括在融合区内;
(2)胸椎后凸过大患者,融合水平应跨过胸椎后凸节段到上胸段;
(3)尽量跨过交界区,如胸腰段尽量不终止于T11和T12;
(4)颈7铅垂线距离UIV不要太远;
(5)矢状面上UIV上方椎间隙无后凸角度。

图23 选择合适的UIV
2.减少融合节段,尽量保留远端活动节段以降低近端应力


图24 左:长节段固定至髂骨;右:长节段固定
3.降低内固定硬度和减少融合区内固定数量
(1)降低内固定棒的硬度,用钛合金代替钴铬合金棒;
(2)全节段椎弓根螺钉固定改用间隔置钉固定;
(3)适当降低固定融合区内固定强度。

图25 降低内固定硬度和减少融合区内固定数量
4.UIV周围韧带肌肉等软组织保护
(1)避免融合交界区棘上韧带、棘间韧带损伤和肌肉过度剥离;
(2)避免内固定节段和上方的小关节囊破坏;
(3)保护融合节段小关节骨性结构完整性。

图26 UIV周围韧带肌肉等软组织保护
目的:保持脊柱后方张力带结构完整性
5.近端置钉和弯棒技术

图27 近端置钉和弯棒技术
(1)UIV和UIV-1置钉角度;
(2)UIV螺钉置入时保留2个螺钉螺纹在后方皮质外;
(3)近端棒预弯角度(PRCA)应与固定近端两螺钉的角度一致,以防止棒与上端螺钉之间存在向后的拔出应力。
6.UIV固定区的杂交固定技术
横突钩的应用
移行棒(粗细棒)
骨水泥强化(UIV和UIV+1)
肋骨固定
棘间固定或动力稳定(UIV和UIV+1)
半坚强固定
多平面螺钉
减轻固定区上方的应力,实现固定区到非固定区的“软着陆”。
(1)横突钩和移行棒


图28-29 据文献报道,对于UIV应用横突钩和移行棒可以一定程度避免PJK/PJF的发生
(2)骨水泥强化(UIV和UIV+1)

图30 相关文献报道,对UIV和/或上方邻近椎行骨水泥强化,可降低PJK的发生率; UIV和UIV+1强化有更显著效果


图31 左:骨水泥强化;右:尸体标本的生物力学分析
(3)肋骨固定
T10骨盆固定,出现交界性后凸
行翻修手术:T9/10SP截骨,延长到T4固定,预防性双侧肋骨固定(VEPTR)


图32-33 肋骨固定
(4)Topping-Off 技术
Topping-off技术又称为融合区+上位邻近节段动态稳定技术
即从融合节段向活动节段过度的手术,旨在融合节段和活动节段之间形成缓冲区,降低邻近节段应力集中


图34-35 据文献报道,可应用一种环形和夹层胶带的技术,以重新创建一个有机后张力带UIV和UIV+1之间将上下棘突绑扎后,增强交界区后方张力带结构强度
(5)半坚强固定
据文献报道,半坚强固定可使得近端建立从僵硬固定区到非融合区有一个平缓的过渡,避免在上固定椎区域有一个应力的集中,可以避免交界性后凸的发生。

图36 多棒固定向两棒固定的过渡

图37 半坚强固定
(6)多平面固定螺钉




图38-41 多平面固定螺钉相关
预防PJK/PJF的宗旨:减轻固定区上方的应力,实现固定区到非固定区的“软着陆”

图42 “硬着陆”
7.恢复与年龄等因素相匹配的脊柱骨盆列线

图43 Frank Schwab提出成人脊柱畸形(ASD)矢状面重建的目标是:SVA小于50mm,PT小于20°,PI-LL±9°
但未考虑年龄、性别、种族、体位、手术等因素的影响
(1)年龄因素

图44 ①据文献报道,随着年龄增长,脊柱骨盆参数正常值也会增加;②高龄患者因退变导致腰椎前凸丢失增多,PI-LL并不在±9°范围内
在成人脊柱畸形中制定手术策略时应考虑年龄因素。
(2)性别因素

图45 Yukawa等对626名无症状的成人,根据性别分组,发现男女在PI、PT、SVA等脊柱-骨盆参数矢状面参数方面有显著差异; PI在40-49岁和70-79岁两个年龄段,男女性之间存在统计学差异(P<0.01)
因此,PI-LL的理想值可能因性别不同而有差异。
(3)种族因素与生活习惯差异
Merrill等纳入1246名无明显脊柱畸形的患者。测量脊柱-骨盆矢状面参数,结果表明西班牙裔美国人的PI-LL比白人要小,而非洲美国人的PI-LL大于美国白人。脊柱-骨盆参数在不同种族间不同。
生活习惯与文化差异也会造成脊柱-骨盆矢状面形态不同。如亚洲人如厕是常取蹲位,而欧美人常取坐位;一些宗教信仰者常跪拜礼。这些都可能导致脊柱-骨盆矢状面参数差异。
(4)不同功能位置对腰椎前凸的要求
PI=LL±9°是基于站立位脊柱-骨盆形态得出的理想公式;
人们一天当中坐着的时间一般都长于站立位时间,因此坐位常常是功能位;
Hey等研究表明,从直立位、笔直坐位到到放松坐位,SVA会逐步增加,而LL会逐渐减少。


图46-47 Arima等发现站立位脊柱矢状面形态尚可的ASD患者可能再行走过程中逐渐出现躯干前倾,进而改变脊柱-骨盆的矢状面参数
因此,PI-LL的确定应结合站立位、坐位、行走等不同体位的情况综合评估。
(5)PI的个体差异对矫形的影响

图48 相关文献指出:
① PI=LL±9°是基于PI在正常值范围内的理想公式;
② PI值过大(>70°)或过小(<40°)可能不完全适合以上公式;
③PI>70°,腰椎前凸的矫正适度减小;
④PI<40°,腰椎前凸矫正可适当增加
矫形的宗旨

图49 矢状位各项参数
①矫形时应考虑年龄、性别、种族、体位、手术以及PI个体差异等因素的影响;
②术前制定与年龄等因素相匹配的脊柱骨盆参数,防止过度的矫正增加PJK或PJF的风险。
8.其它措施
(1)降低体重;
(2)骨质疏松的治疗:钙剂补充、活性维生素D、密盖息和促进骨形成药物,如特立帕肽等;
(3)改变不良生活习惯。
十、PJK和PJF的治疗
PJK无症状者,选择保守治疗,包括观察,支具以及抗骨松治疗等;
PJK存在症状者可行手术治疗。
PJF手术指征:1.内固定失败;2.难以缓解的局部疼痛;3.脊髓神经压迫症状;4.其它因素。
手术策略:1. 如脊柱柔韧性好,可单纯向上延长固定融合;
2.如融合节段上方僵硬,后凸严重,需要截骨。
(1) Smith-Peterson截骨:椎间盘有一定柔韧度,前方无融合;
(2) 三柱截骨(PSO或VCR):严重僵硬畸形,有来自前方的脊髓压迫;
(3)明显的前路缺损(大于50%),需前路支撑。
总之,预防是最好的治疗!
参考文献
[1]Glattes RC, Bridwell KH, Lenke LG, et al. Proximal junctionalkyphosis in adult spinal deformityfollowing long instrumented posterior spinal fusion: incidence, outcomes, andrisk factor anaylsis. Spine 2005;30:1643-9.
[2]Yagi M,King AB,Boachie-Adjei O. Incidence, risk factors, andnatural course of proximal junctional kyphosis: surgical outcomes review ofadult idiopathic scoliosis. Minimum 5 years of follow-up. Spine (Phila Pa1976). 2012 Aug 1;37(17):1479-89.
[3]Hart R&International Spine Study Group.Identification of decision criteria for revision surgery among patients withproximal junctional failure after surgical treatment of spinal deformity. Spine(Phila Pa 1976). 2013 Sep 1;38(19):E1223-7.
[4]Hart R,McCarthy I,O’Brien M,et al.Spine2013;38(19):E1223-E1227.Yagi M,King AB,Boachie-Adjei O .Spine (Phila Pa 1976)2012;37(17):1479-1489 Hostin R, McCarthy I, O’Brien M, et al. Spine2013;38(12):1008-1015.
[5]Hart R, McCarthy I, O’Brien M, et al. Spine2013;38(19):E1223-E1227. Yagi M, King AB, Boachie-Adjei O .Spine (Phila Pa 1976)2012;37(17):1479-1489 SmithMW, Annis P, Lawrence BD, DaubsMD, Brodke DS. Spine J. 2015;15(10):2142–8.
[6]Liu FY, Wang T, Yang SD, Wang H, Yang DL, Ding WY. Incidence andrisk factors for proximal junctional kyphosis: a meta-analysis. Eur Spine J.2016 Aug;25(8):2376-83.
[7]Kim HJ, Iyer S. Proximal Junctional Kyphosis. J Am Acad OrthopSurg. 2016 May;24(5):318-26.
[8]Park WM, Choi DK, Kim K, Kim YJ, Kim YH. Biomechanical effects offusion levels on the risk of proximal junctional failure and kyphosis in lumbarspinal fusion surgery. Clin Biomech (Bristol, Avon). 2015 Dec;30(10):1162-9.
[9]Yan C, Li Y, Yu Z. Prevalence and Consequences of the ProximalJunctional Kyphosis After Spinal Deformity Surgery: A Meta-Analysis. Medicine(Baltimore). 2016 May;95(20):e3471.
[10]Kim HJ, Chuntarapas T. Patients with proximal junctionalkyphosis requiring revision surgery have higher postoperative lumbar lordosisand larger sagittal balance corrections. Spine (Phila Pa 1976). 2014 Apr20;39(9):E576-80.
[11]Yagi M, Rahm M. Characterization and surgical outcomes ofproximal junctional failure in surgically treated patients with adult spinaldeformity. Spine (Phila Pa 1976). 2014 May 1;39(10):E607-14.
[12]Kim HJ, Bridwell KH, Lenke LG, Park MS, Song KS, PiyaskulkaewC, Chuntarapas T.Patients With Proximal Junctional Kyphosis Requiring RevisionSurgery Have HigherPostoperative Lumbar Lordosis and Larger Sagittal BalanceCorrections. Spine 2014;39(9):E576-E580.
[13]LonnerBS, Ren Y, Newton PO, Shah SA, Samdani AF, Shufflebarger HL, Asghar J,Sponseller P, Betz RR, Yaszay B. Risk Factors of Proximal Junctional Kyphosisin Adolescent Idiopathic Scoliosis-The Pelvis and Other Considerations. SpineDeform. 2017 May;5(3):181-188.
[14]Keith H. Bridwell, MD* Lawrence G. Lenke, MD*, ProximalJunctional Kyphosis in Primary Adult Deformity Surgery: Evaluation of 20Degrees as a Critical Angle NEUROSURGERY.
[15]Cammarata M, Aubin CE, Wang X, MacThiong JM. Biomechanical riskfactors for proximal junctional kyphosis: a de-tailed numerical analysis ofsurgical instrumentation variables. Spine. 2014;39(8):E500–7.
[16]Cammarata M, Aubin CÉ, Wang X, Mac-Thiong JM. Biomechanical riskfactors for proximal junctional kyphosis: a detailed numerical analysis ofsurgical instrumentation variables. Spine (Phila Pa 1976). 2014 Apr15;39(8):E500-7.
[17]Kebaish KM, Martin CT, O'Brien JR, LaMotta IE, Voros GD,Belkoff SM. Use of vertebroplasty to prevent proximal junctional fractures inadult deformity surgery: a biomechanical cadaveric study. Spine J. 2013Dec;13(12):1897-903.
[18]Hart RA, McCarthy I, Ames CP, Shaffrey CI, Hamilton DK, HostinR. Proximal junctional kyphosis and proximal junctional failure. Neurosurg ClinN Am. 2013;24(2):213–8.
[19]Nguyen NL, Kong CY, Hart RA. Proximal junctional kyphosis andfailure-diagnosis, prevention, and treatment. Curr Rev Musculoskelet Med. 2016Sep;9(3):299-308.
[20]Berven SH. Clinical Incidence of PJK/ASD in AdultDeformity Surgery: A Comparison of Rigid Fixation and Semirigid Fixation-Rigid.Spine (Phila Pa 1976). 2016 Apr;41 Suppl 7:S35-6.
[21]Schwab F, Lafage V, Patel A, Farcy JP. Sagittal planeconsiderations and the pelvis in the adult patient. Spine. 2009;34(17):1828–33.
[22]Lafage R, et al. Defining spino-pelvic alignment threshold.Spine2016:41(1):62-68.
[23]Yukawa Y, et al. Normative data for parameters of sagittalspinal alignment in healthy subjects:an analysis of gender specific defferencesand changes with aging i n626 asymptomatic individuals. Eur Spine J. 2016.
[24]Hey Hew, et al. How the spine deffers in standing and insitting important considerations for correction of spinal deformity. Spine J2017:17(6):799-806.
[25]Arima H, et al. Discrepancy between standing posture andsagittal balance during waling in adult spinal deformity patients. Spine2017:42(1):E25-30.
[26]Lafage R, Schwab F, Challier V, Henry JK, Gum J, Smith J, et al.Defining spino-pelvic alignment thresholds: should operative goals in adultspinal deformity surgery account for age? Spine. 2016;41(1):62–8.
作者简介

杜钰堃
青岛大学附属医院博士在读
师从山东省“泰山学者特聘专家”西永明教授
已在国内外期刊发表论文9篇,其中以第一或共同一作发表SCI论文3篇,授权国内外专利6项,软件著作权3项。
曾获荣誉:
青岛大学国家奖学金和一等学业奖学金
青岛大学“优秀学生”称号
第十三届山东省大学生医养健康创新创新大赛一等奖
2021CRME国际康复医学与工程大会“优秀青年康复论坛二等奖”
主要研究方向:骨科医用水凝胶支架、3D打印人工骨和脊柱外科人工智能辅助诊断系统的开发等。

西永明
教授、主任医师、博士及博士后导师。青岛大学附属医院骨科医院副院长,山东省创伤骨科研究所副所长,青岛大学医学大数据中心主任,脊柱外科病区主任。获山东省“泰山学者特聘专家”,“青岛市拔尖人才”等荣誉称号。目前兼任中华医学会骨科学分会创新与转化学组委员、中国医师协会骨科医师分会第五届委员会脊柱外科学组委员、中国医师协会骨科医师分会第五届委员会脊柱畸形学组委员、中国康复学会脊柱脊髓损伤分会脊髓损伤和康复学组委员、中国研究型医院学会脊柱专业委员会脊柱肿瘤学组委员、中国肢残协会肢残康复专业委员会脊柱康复学组常务委员等学术职务。
先后承担4项国家级或省部级科研项目;在国内外知名期刊以第一或者通讯作者发表论文50余篇,授权国内外专利10余项;以第一完成人获得包括山东省科技进步二等奖在内的3项省部级奖励。
基础研究方向:目前致力于椎间盘退变的基因修复研究、3D打印可降解药物缓释人工骨、水凝胶支架的研究及人工智能辅助诊断系统在脊柱外科中的应用等方面的研究工作。
临床研究方向:擅长颈椎伤病、脊柱畸形和脊柱肿瘤以及颈胸腰椎退变性疾病的微创治疗,并形成了以脊柱外科为专业方向,以颈椎外科、脊柱畸形和脊柱肿瘤为专业特色的诊疗体系。



京公网安备11010502051256号