一文掌握|正常髋关节X线解剖示意图
2022-03-17 文章来源:骨科在线 作者:骨科在线 我要说
髋关节是人体较大且负荷最重的关节,不仅发病概率高,而且病种复杂多样。熟练掌握影像诊断技术有助于提高诊断能力和水平,为临床诊断和指导治疗提供客观依据,同时还能进一步加深对髋关节疾病的认知。
X线片由于检查方法简便快捷,费用低廉,因此是各种髋关节疾病首选和基本的检查方法,尤其对髋关节创伤、内分泌代谢骨病、先天发育畸形及部分骨肿瘤的定性等均有独特优势。对髋关节疾病无论是诊断和鉴别诊断均发挥重要作用。
髋关节前后位

图1 髋关节正位片(生长期,9岁)
1.髂骨;2.髋关节间隙;3.Y形软骨;4.股骨头骨骺;5.骨骺板;6.临时钙化带;7.泪滴;8.大转子骨骺;9.股骨颈

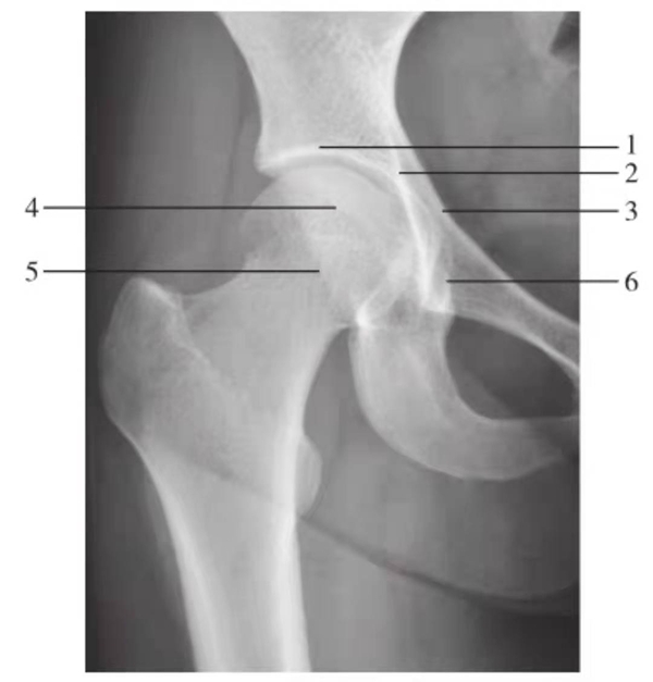
图2 髋关节正位片(成人期)
1.髋臼线;2.髂坐线;3.髂耻线;4.前唇线;5.后唇线;6.泪滴
髋关节和股骨颈侧位

图3 髋关节和股骨颈侧位
1.髋臼;2.股骨头;3.股骨颈;4.大转子;5.小转子
髋关节蛙位片

图4 髋关节蛙位片
1.髂前上棘;2.骶髂关节;3.髂骨翼;4.髂前下棘;5.髂骨体;6.髋臼;7.关节间隙;8.股骨头;9.耻骨上支;10.坐骨支;11.耻骨联合;12.耻骨下支
髋关节后前斜位

图5 髋关节后前斜位(谢氏位)
1.髂骨;2.关节间隙;3.股骨头;4.股骨颈;5.大转子
骨盆前后位

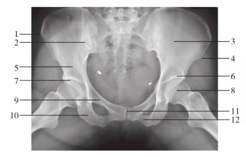
图6 骨盆正位
1.髂骨翼;2.骶髂关节;3.髂前下棘;4.髂骨体;5.髋臼顶;6.股骨头凹;7.股骨头;8.股骨颈;9.耻骨上支;10.大转子;11.坐骨支;12.耻骨联合;13.耻骨下支;14.小转子
骨盆入口位

图7 骨盆入口位
1.骶骨;2.骶髂关节;3.髂骨翼;4.尾骨;5.坐骨棘;6.股骨头;7.耻骨上支;8.坐骨支;9.耻骨联合
骨盆出口位

图8 骨盆出口位
1.髂骨翼;2.骶髂关节;3.骶骨;4.耻骨上支;5.耻骨联合;6.股骨颈;7.坐骨支;8.尾骨;9.耻骨下支
闭孔斜位

图9 右侧闭孔斜位
1.前柱;2.髋臼后唇
髂骨斜位

图10 右侧髂骨斜位
1.后柱;2.髋臼前唇



京公网安备11010502051256号