查房时90%会被问的腰椎间盘突出症的相关问题,都帮你整理好了
2022-03-15 我要说
编者按:临床工作中,相信每位脊柱外科医生遇到腰椎间盘突出症的患者可谓数不胜数。查房时主任会问到的腰椎间盘突出症的相关问题,你都掌握了吗?让我们通过以下病历一起回顾相关知识点吧。
一、汇报病历
1.询问病史:患者男性,55岁,因“反复腰痛2年余,再发并右下肢痛2个月”入院。患者于2年前开始反复出现腰痛,经过“休息、口服镇痛药、推拿”治疗后症状缓解。2个月前帮邻居抬书桌时腰痛再次发作,并出现右下肢放射痛,咳嗽、弯腰、步行时加重。当地医院行卧床、牵引、口服非甾体消炎药等治疗,仅稍缓解。发病以来,一般情况尚可,大小便可。否认有手术史。
2.体格检查:T37.0℃,P75次/分,R20次/分,BP135/74mmHg。神志清楚,稍跛行,腰部活动受限,腰椎稍向右侧凸。腰4、5棘突旁偏右侧压痛阳性,右小腿前外侧,右足背内侧皮肤感觉稍减弱,鞍区感觉正常,右侧伸肌肌力较对侧稍弱。双侧跟腱反射对称存在。病理反射未引出。右腿直腿抬高试验(SLR试验),可抬高30°为阳性,加强试验阳性,左腿SLR试验阴性。
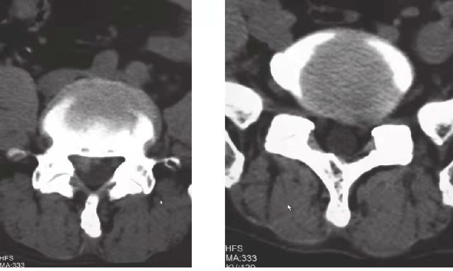
3.辅助检查:腰椎CT(图1)示L4/5椎间盘右后缘见软组织密度影,向椎管内隆起9.0mm,硬膜囊受压,填塞右侧侧隐窝。L5/S1椎间盘左后缘见软组织密度影,向椎管内隆起5.0mm,挤压硬膜囊,压迫左侧神经根。骨性椎管未见狭窄。

图1 患者腰椎CT
左图:L4/5椎间盘向右后出;右图:L5/S1椎间盘向左后突出
4.入院诊断:腰椎间盘突出症。
5.诊疗计划:完善术前准备,暂时予对症处理,必要时手术治疗。
二、主任医师提问
1.目前考虑诊断什么?该疾病的临床特点有哪些?
考虑诊断L4/5椎间盘突出症。临床特点如下:
(1)本例患者55岁,2年来反复腰痛,没有腿痛。2个月前再发腰痛,并伴有右下肢放射痛。咳嗽、弯腰、步行时加重。卧床休息稍缓解。当地医院行卧床、牵引、口服NSAIDs药物等治疗2个月,仅稍缓解。
(2)体格检查:稍跛行,腰部活动受限,腰椎稍向右侧凸。L4-5棘突旁偏右侧压痛阳性,右小腿前外侧,右足背内侧皮肤感觉稍减弱,鞍区感觉正常,右侧伸肌肌力较对侧稍弱。双侧跟腱反射对称存在。病理反射未引出。右腿直腿抬高试验(SLR试验),可抬高30°为阳性,加强试验阳性,左腿SLR试验阴性。
(3)腰椎CT示L4/5椎间盘右后缘见软组织密度影,向椎管内隆起9.0mm,硬膜囊受压,填塞右侧侧隐窝。L5/S1椎间盘左后缘见软组织密度影,向椎管内隆起5.0mm,挤压硬膜囊,压迫左侧神经根。骨性椎管未见狭窄。
结合患者的临床特点、CT检查,符合L4/5椎间盘突出症诊断。
2.还需要做哪些检查?为什么?如何分析?
(1)腰椎正侧位X线
需按一定的顺序来阅读X线片。
①观察软组织影:肿瘤引起的肿块阴影,化脓性脊柱炎或结核性脊柱炎伴有的脓肿,表现为髂腰肌不对称性扩大。而韧带骨化严重时,脊柱影像显示如同竹节样变化,提示强直性脊柱炎。
②可以观察到脊柱侧弯、腰前弓变平、椎间隙左右不等或前窄后宽及椎间隙变窄等情况:腰椎间盘突出症引发的是疼痛性侧弯。特发性侧弯的侧弯一般程度较明显,在本次发病前就已存在。
③椎体的楔形变提示骨质疏松、外伤引起的压缩骨折,也应该注意肿瘤导致病理性骨折的可能。椎体软骨终板不齐整,需考虑化脓性脊柱炎、结核性脊柱炎等感染性疾病。类风湿关节炎可造成后纵韧带附着部不平整。
④椎弓根像消失往往提示转移性肿瘤。骨髓瘤有时也可见到。而椎弓根间距增宽,要考虑椎管内肿瘤,特别是哑铃状肿瘤。
⑤辨别有无存在腰椎骶化、骶椎腰化等结构变异,还可以观察双侧髂嵴相对于L5、S1椎体的高度及各个椎间孔的形态,并能初步排除峡部裂、滑脱。
(2)站立位过屈过伸动力位片
目前临床研究不稳定的最重要的手段。而评估腰椎的稳定性对制订治疗方案至关重要。
①一个节段上下椎体相邻终板之间夹角的变化值,用来评估椎体的旋转不稳定。Soini等将伸屈侧位上的不稳定的定义为:L5~S1节段>20°,其上位节段>20°。
②椎体前后滑移不稳定的测量:上位椎体相对于下位椎体后滑移时,于上位椎体后缘划线,再经下位椎体后上缘做其平行线,两线间间距为滑移距离。当上位椎体相对于下位椎体前滑移时,于下位椎体后缘划线,再经上位椎体后下缘做其平行线,两线间间距为滑移距离。目前不稳定的标准仍存在争议,但大多数学者以滑移>3mm或4mm作为不稳定的标准。应该注意只有在标准的侧位下才能测量,因为椎体的旋转或球管的倾斜会直接影响结果。
(3)腰椎MRI
腰椎间盘突出症首选的影像学检查手段。MRI评价椎间盘有很高的敏感性。它是一种无创又同时具有良好的软组织对比分辨率并能多平面成像的检查。MRI能够提供椎间盘突出和神经根受压的精细图像。结合冠状面和矢状面的图像,可以明确椎间盘突出的形态、位置以及突出的椎间盘与硬膜囊、神经根的关系。
三、补充病历
患者2年来多次腰痛发作,其中一次是拖地板后发生,一次是抱小孩上楼后发生,一次是洗衣服后发生。这次则是帮邻居抬书桌时发病。分别为重复或持久的弯腰、用力而诱发。患者入院后卧床休息,NSAIDs联合肌松药治疗,疼痛稍有好转。已安排腰椎MRI检查、腰椎正侧位X线及动力位片。
四、主任医师提问
1.CT上见到突出是否就可以诊断腰椎间盘突出症?
CT片上见到软组织突入椎管,并不一定引起症状。诊断需要结合临床表现和影像学表现。临床上可以见到很多CT上有突出,却没有什么不适症状。相反,有的患者有明确的症状,却没有发现明显的压迫(化学性根性神经病)。因为症状的发生除了与局部压迫的程度有关,还与压迫的位置、压迫发生的速度、局部的炎症情况、椎管的大小等有关。本例CT上见L5/S1椎间盘突出,并未引起相关症状(S1神经根症状)。
2.为什么以L4/5和L5/S1椎间盘突出的发病率最高?
①脊柱和骨盆的关系犹如桅杆和船体的关系。在骨盆摇摆活动的过程中,脊柱与骨盆的连接部分所受到的应力最大,生物力学上处于不利位置。因此,较易、较早发生退变。
②另外由于腰椎间盘和神经根的解剖关系,导致L4/5和L5/S1椎间盘突出的发病率最高。
3.腰椎间盘和神经根的解剖关系如何?
L3及L4神经根自相应的椎体上1/3或中1/3水平出硬膜囊,紧贴椎弓根入椎间孔,在椎管内走行过程不与同序数椎间盘接触。L5神经根从L4/5椎间盘水平或其上缘出硬膜囊,向外下走行越过L5椎体后上部,包绕L5椎弓根进入L5/S1椎间孔。S1神经根发自L5/S1椎间盘上缘或L5椎体下1/3水平,向下外走行越过L5/S1椎间盘的外1/3,再绕S1椎弓根入椎间孔。因此,L4/5和L5/S1椎间盘后外侧突出分别较易压迫L5/S1神经根,而L4/5和L5/S1椎间盘后外侧突及外侧突出分别较易压迫L4、L5神经根。
4.L4、L5、S1神经根受压的临床表现有何不同?
L4、L5、S1神经根受压的临床表现(在肌力、感觉、反射)有所不同,如表1所示。
表1 L4、L5、S1神经根受压的临床表现

5.本患者一定是L4/5椎间盘突出引起的症状吗?
本病史中反复发生的有典型诱因的腰痛,本次患者出现右下肢痛、麻。咳嗽、弯腰、步行时加重。右小腿前外侧,右足背内侧皮肤感觉稍减弱,鞍区感觉正常,右侧伸肌肌力较对侧稍弱。右腿直腿抬高试验(SLR试验)阳性,加强试验阳性。结合CT表现,可以初步考虑为椎间盘突出,压迫L5神经根。但是否为L4/5突出,需要进一步明确。因为L5神经根通道上异常都有可能引起L5神经根的症状,如L5/S1及外侧突出、L5/S1椎间盘上脱出、L5峡部裂滑脱后在椎间孔处挤压L5神经根等,甚至L5神经根本身的肿瘤也会表现类似的症状。需要行MRI检查,以进一步分析神经各个部位的情况,再结合症状、体征进行综合分析。
6.根据临床手术所见形态,腰椎间盘突出症如何分型?
可分为以下4型。
(1)膨隆型;指纤维环呈肿块样隆起状态,多见于年轻人。
(2)突出型;指髓核的一部分移位到纤维环后侧的破裂部位,纤维环局部纤维断裂,而表层尚保持完整。
(3)脱出型;可再分成2型。①Ⅰ型:指纤维环后部全层破裂,部分髓核移位从破裂口脱出,顶起后纵韧带,但还未穿过后纵韧带。②Ⅱ型:指在Ⅱ型的基础上部分髓核穿透后纵韧带,甚至穿入硬膜囊内。
(4)游离型;当脱出型中的突出物与原母体脱离,移位至椎管内,就称为游离型。
7.从MRI上如何鉴别是突出型还是脱出型?
主要在T2加权像上鉴别椎间盘突出型与脱出型。正常椎间盘纤维环后侧与椎体边缘连接部呈三角形低密度黑影。突出型影像上仍能看到椎体后缘存在该三角形低密度影。而脱出型时髓核充填该区域,因含水多而呈高密度并超出椎体后缘。
8.如何鉴别Ⅰ型脱出与Ⅱ型脱出?
主要依赖T1加权像。在T1加权像上椎体和椎间盘后方存在一线型无信号区域,称为黑线。它是后纵韧带和椎间盘纤维环的后外层部分。黑线连续则为Ⅰ型,不连续为Ⅱ型。
9.腰椎动力位片异常表现就可以诊断腰椎不稳定吗?
腰椎动力位片测量达到设定的标准,只可诊断为影像学不稳定,并不能代表其就是临床意义上的不稳定。要做出临床不稳定的诊断,需要结合影像表现及临床表现。除了达到前述的滑移不稳定或旋转不稳定的标准,还必须有反复发作的腰痛,并且有下列3项中之一:①活动或轻微用力即可引发腰痛;②休息、腰围或支具外固定治疗症状可缓解;③腰椎内固定手术史。但总的来说,对腰椎节段不稳定的认识还未成熟,无法对临床不稳定做出精确诊断,因此,手术治疗应十分慎重。只是要认识到:如果一个腰椎间盘突出症患者,有反复发作的腰痛,可能存在不稳定,那么摘除髓核,解除压迫,可能仍无法解除腰痛。
10.腰椎间盘突出症非手术治疗的方法有哪些?
①卧床休息。可使疼痛症状明显缓解或逐渐消失。
②药物治疗。主要为NSAIDs、阿片类止痛药、糖皮质激素、抗抑郁药等。
③运动疗法。可在短期内缓解坐骨神经痛,但疼痛减轻幅度较小,长期随访患者在减轻疼痛或残疾方面没有明显获益。
④硬膜外注射:硬膜外类固醇激素注射(ESI)可用于腰椎间盘突出症的诊断和治疗。对根性症状明显的腰椎间盘突出症患者,ESI短期内可改善症状,但长期作用并不显著。
⑤腰椎牵引。治疗腰椎间盘突出症的传统手段。牵引治疗应在康复科专业医生的指导下进行,避免大重量、长时间牵引。
⑥手法治疗。可改善腰背部疼痛和功能状态。
⑦其他。如热敷、针灸、按摩、中药等。
11.腰椎间盘突出症有哪些手术适应证?
手术适应证包括:①腰椎间盘突出症病史超过 6~12周,经系统保守治疗无效;或保守治疗过程中症状加重或反复发作;②腰椎间盘突出症疼痛剧烈,或患者处于强迫体位,影响工作或生活;③腰椎间盘突出症出现单根神经麻痹或马尾神经麻痹,表现为肌肉瘫痪或出现直肠、膀胱症状。
12.腰椎间盘突出症手术方式有哪些?
可分为四类:开放性手术、微创手术、腰椎融合术、腰椎人工椎间盘置换术。
(1)开放性手术
后路腰椎突出椎间盘组织摘除术:应遵循椎板有限切除的原则, 尽量减少对脊柱稳定性的破坏。手术中短期疗效优良率 90%左右,长期随访(>10 年)的优良率为 60%~80%。
腹膜后入路椎间盘切除术:对椎间盘突出复发的患者腹膜后入路椎间盘切除术也是一种选择。
(2)微创手术
经皮穿刺介入手术:对椎间盘内压增高型的椎间盘突出有一定的疗效,不适用于游离或明显移位的椎间盘突出,需严格掌握手术适应证。
显微腰椎间盘切除术:安全、有效,可作为腰椎间盘突出症手术治疗的有效方式。
显微内窥镜腰椎间盘切除术:安全性和有效性与开放手术相当,在住院天数、出血量、早期恢复工作等方面优于开放手术,可作为开放手术的替代方案。
经皮内镜腰椎间盘切除术:治疗腰椎间盘突出症的安全、有效的微创术式,与开放手术、显微或显微内窥镜腰椎间盘切除术的效果相同,而经皮内镜腰椎间盘切除术更加微创化,创伤更小、恢复更快。
(3)腰椎融合术
不作为腰椎间盘突出症首选的手术方案,但以下情况可选择腰椎融合术:腰椎间盘突出症伴明显的慢性轴性腰背痛;巨大椎间盘突出、腰椎不稳;复发性腰椎间盘突出,尤其是合并畸形、腰椎不稳或慢性腰背痛的情况。
(4)腰椎人工椎间盘置换术
主要用于腰椎椎间盘源性腰痛,包括包容性腰椎间盘突出的患者。
13.影响腰椎间盘突出症手术疗效的因素有哪些?
常用的手术疗效评价指标包括VAS评分、ODI指数及SF-36等。吸烟、高龄、肥胖、糖尿病、抑郁症、术前肌力减退甚至完全性神经功能损伤、术前病程大于3~6个月、合并下肢骨关节病等是腰椎间盘突出症手术预后不良的影响因素。
五、总结
1.大多数腰椎间盘突出症的诊断较为容易。而腰腿痛的鉴别诊断却是耗时费力的。
具有以下5点时,往往诊断较为明确:①具有单侧或单侧为主的腰痛和下肢痛;②静态休息时仍有症状存在;③SLR试验阳性,加强试验阳性(老年患者非必须指征);④MRI等影像学检查存在椎间盘突出,但无椎管狭窄;⑤症状和影像显示一致。
鉴别诊断要按脊柱内、脊柱外逐个排除,重点在于排除椎管狭窄、腰椎滑脱、转移性肿瘤、髋关节病变等。
2.在治疗上首选非手术治疗,手术治疗要注意个体化,力求以更小的损伤,获得更好、更持久的疗效。
3.腰椎间盘突出是腰椎退变、老化的一个病理阶段。所以,对于该病的预后,医师和患者都必须明白,手术治疗的目的不是完全的治愈,而是解除症状、提高生活质量。
参考文献
[1]张怡元,林焱斌.骨科医师查房手册,化学工业出版社,2014.
[2]腰椎间盘突出症诊疗指南[J].中华骨科杂志,2020(08):477-487.



京公网安备11010502051256号