常见上肢发育异常疾病及临床分类
2022-03-14 文章来源:骨科在线 作者:骨科在线 我要说
人类骨骼系统发育存在正常差异,如果差异超出正常范围而影响功能,视为畸形。先天性畸形在出生前或出生时业已存在。本文主要介绍常见的上肢先天性畸形。
一、先天性桡骨缺陷
先天性桡骨缺如合并手、腕骨发育畸形的X线表现具有特征性,普通X线检查即可做出相应诊断及分型。
Bayne分型将先天性桡骨缺如分为4型:
I型,桡骨远端发育不全;
Ⅱ型,桡骨远端及近端均发育不全;
Ⅲ型,桡骨局部缺如;
Ⅳ型,桡骨完全缺如。
Heikel分型亦将其分成4型:
I型(桡骨远端短缩),桡骨远端骺板存在但发育延迟,近侧骺板发育正常,桡骨仅轻微短缩,尺骨不弯;
Ⅱ型(桡骨发育不全),远端及近侧骺板均存在但发育延迟,导致桡骨中度短缩,尺骨变粗呈弓形;
Ⅲ型(桡骨部分缺损),近端、中间或远端桡骨缺如,远侧1/3缺如最常见,腕桡偏,尺骨变粗呈弓形;
Ⅳ型(桡骨完全缺损),尺骨远端向桡侧形成假关节,尺骨短缩呈弓形。
二、先天性尺骨发育不良
最常用的分类法为Bayne法及Manske法。前者针对前臂及腕的畸形,后者则针对手的畸形。从功能恢复的角度看,Manske分类法在临床上更适用,因为手术矫正手部畸形比矫正前臂畸形能获得更多的功能恢复。尺骨和尺侧2~3个手指完全缺如极为罕见,尺骨部分缺损者较多。患肢桡骨短缩弯曲,可与肱骨融合。前臂和手的外观不良,但功能尚好。
三、先天性桡尺近端骨性连接
依据X线片的表现有几种分类法,其中Tachdjian将其分为三型:
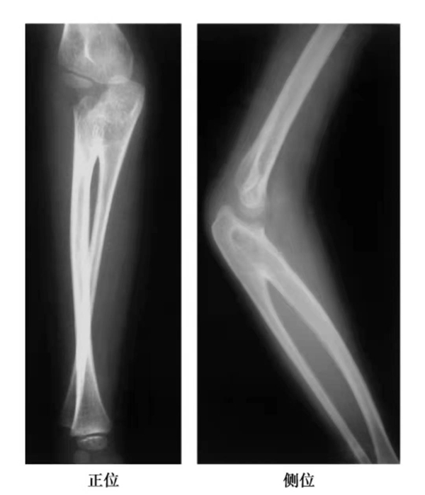
Ⅰ型:真正的桡尺骨连接,或无头型。表现为桡骨头缺如,有桡尺骨间骨性融合(图5-5)。

图1 近侧尺桡关节融合X线片
Ⅱ型:桡骨头脱位性。畸形的桡骨头向后脱位,桡骨近端又与尺骨融合。
Ⅲ型:未见骨性连接,而是形成一个厚的骨间韧带将桡尺骨连接起来。该型最少见。
四、多指
多指(polydaetycly)是手部最常见的畸形之一。
此畸形可简单分为三类:①异常的软组织块,其中无骨、关节或肌腱,与正常骨无连接;②一个重复的手指,包括骨、关节、肌腱等,近端指骨分叉或与一个掌骨头或分叉的掌骨形成关节;③完全额外的手指,包括一个完全的掌骨,畸形借外观即可诊断。
桡侧(拇指)多指占手部畸形的5%~10%。Wassel将其分成7种类型,McKusick&Temtamy也有类似的分型(图2)。其中4型最常见。1~6型通常为单侧,男孩最常见。7型可遗传,常为双侧,且可合并其他畸形。

图2 拇指赘生指Wassel和McKusick & Temtamy两种分类方法



京公网安备11010502051256号