收藏|髌骨软化症的诊断及治疗策略
2022-03-03 文章来源:骨科在线 作者:骨科在线 我要说
概述
髌骨软化症(chondromalacia Patellae,CMP)又称髌骨软骨炎、髌骨软骨软化症,是一种以膝关节疼痛为主要临床症状的多病因造成的疾病。Budiger 于 1906 年描述了外伤引起关节软骨软化和纤维化;1917年Aleman提出“髌骨软骨软化”病名后一直沿用至今。其主要病理变化是软骨的退行性改变,包括软骨肿胀、碎裂、脱落,最后股骨髁的对应部位也发生同样病变,发展为髌骨关节骨性关节炎。

病因
虽然大量学者研究CMP并提出相关分析结论,如创伤、髌股不稳定、髌骨骨内压增高、 自身免疫因素以及软骨营养障碍等众多学说,但目前尚无一种学说能解释所有CMP的症状及发病机制。(1)创伤学说 ,髌骨软骨创伤是CMP发生的重要原因,正常髌骨软骨中有胶原纤维构成“网状拱形结构”及“薄壳结构”,当软骨受到作用力后这两项结构可以进行有效的力传递及分散,减少作用力对软骨的损伤,当软骨面因各种原因受损、破坏,其完整性亦破坏,从而失去了相应的作用,不能发挥正常功能;(2)髌骨不稳定学说,低位髌骨、髌骨内侧支持带松弛、髌骨外侧支持带挛缩等导致髌股关节不稳,使髌股关节面软骨压力异常导致软骨损害。有学者发现下肢力线的异常也是导致髌骨生物力学异常的重要原因;(3)髌股压力学说;(4)自身免疫学说;(5)软骨营养障碍,软骨通过在关节活动过程中受压变形并且弹性恢复的过程与关节腔中的滑液进行物质交换,以此来获得营养。滑膜炎可使软骨基质溶解,从而软骨弹性下降,不能进行有效的形变,无法获得营养而发生退变;(6)软骨溶解学说,关节滑膜受伤后渗透压改变,血浆中的酶进入滑液增多、活性增强,进而溶解软骨。
症状
发病缓慢,主要症状为膝关节髌骨后疼痛,轻重不一,一般平地走路症状不显,在下蹲起立、上下楼,或走远路后疼痛加重。后期继发滑膜炎时可有关节积液,病程长者有股四头肌萎缩。
分级
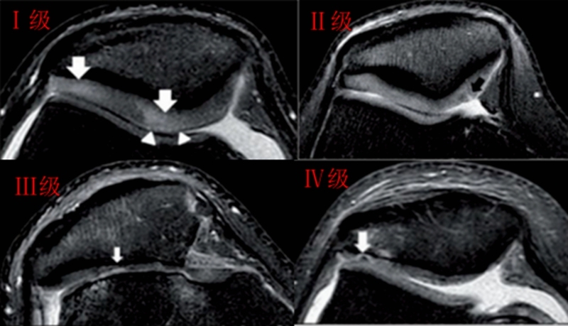
关节镜下可将髌骨软化分为5级
0级:正常关节软骨
Ⅰ级:关节软骨失去珍珠样外观而变得较暗淡,局部软化,肿胀区或纤毛化区的直径<0.5cm。
Ⅱ级:关节软骨软化区内出现毛刷状或纤毛化改变,深达1-2mm,直径≤1.3cm。
Ⅲ级:软骨的毛刷状或纤毛化改变达关节软骨厚度一半以上,直径>1.3cm,关节软骨表面类似蟹肉样改变,表面有多发软骨碎片附着其下的软骨。
Ⅳ级:关节软骨全层受侵,软骨下骨暴露,表现为进展期髌股关节炎。
Ⅰ~Ⅱ级为早期,主要保守治疗,Ⅲ~Ⅳ级为进展期,需要手术及关节镜治疗。

关节镜下髌骨软化症0级表现

髌骨软化症Ⅰ级

髌骨软化症Ⅱ级

髌骨软化症Ⅲ级

髌骨软化症Ⅳ级
临床检查
查体发现髌骨缘压痛明显,可伴髌骨滑动疼及髌骨摩擦音。髌骨挤压试验时髌骨后有剧痛,表明髌骨关节软骨损伤,有诊断意义。通常抗阻力试验阳性,单腿下蹲试验阳性。
常见影像学检查包括X线、CT和MRI检查。X线早期无异常,直到晚期阶段,如出现广泛的软骨丧失、关节间隙丧失及相关的软骨下骨硬化和囊性变化,X线可诊断。MRI是非侵入性诊断方法,有望在肉眼可见的形态学软骨损失之前检测软骨病变以及软骨内部紊乱的独特功能。

正常X线 a.膝关节正位 b.膝关节侧位 c.髌骨轴位

正常MR a.矢状位T1W1 b.横断位T2W1

髌骨软骨软化平片及CT表现:膝关节侧位片示关节间隙变窄, 关节缘皮质线有中断。CT示髌股关节略有错位,关节间隙变窄,软骨下骨质密度增高

髌骨软骨软化分级表现
治疗
CMP的临床治疗方法可分为两类: 非手术治疗与手术治疗。其中手术治疗仅针对经保守治疗无效、症状反复或较重者,临床大部分患者处于疾病早期,经保守治疗可取得满意疗效,因此非手术疗法应作为首选。
非手术治疗
(1)下肢肌肉链训练,包括靠墙静蹲、抗阻伸膝、髌骨按摩及股四头肌牵伸治疗。可有效增强肌力,改善膝关节失稳、髌股关节对位不良,改善血液循环。
(2)物理疗法是利用人体对物理刺激所作出的反应来达到治疗目的,以恢复机体运动功能,改善及增强生活能力,提高生活质量,因此物理疗法在临床上被广泛应用于 CMP 的治疗。包括电刺激疗法、光疗法等。
(3)氨基葡萄糖治疗,氨糖是一种天然的氨基单糖,是糖胺聚糖和透明质酸重要的结构成分,可作为内源性关节软骨营养物质的替代物。
手术治疗
髌骨软化症手术治疗的目的是纠正解剖异常,经数月较为严格的保守治疗、髌骨依旧疼痛的;有先天或后天畸形的,可考虑手术治疗。如果发生了Ⅲ~Ⅳ级软骨损害,缺损永远不可能由真正的关节软骨所填充,此时仅仅对存在着慢性超负荷的软骨损伤区域进行刨削并不能阻止关节面退变的进程。
手术治疗主要包括:(1)胫骨结节手术,包括胫骨结节截骨术、胫骨结节抬高术及胫骨结节前移术等手术方式。其目的是通过胫骨结节的截骨及移位,使患者髌股关节的力线恢复正常,从而使关节在活动过程中受力均匀,不至于使髌股关节软骨进一步损伤;(2)关节镜下治疗:包括剃须术、灌洗术、刮洗联合侧松术、清创术、研磨性关节成形术及骨膜关节成形术等。存在髌骨半脱位可以进行外侧支持带松解术,可缓解疼痛的并改善膝关节活动度、股四头肌运动耐受,对于有髌骨完全脱位的病人,应行内侧髌股韧带重建而不是外侧支持带松解;(3)假体置换术;(4)髌骨切除术。



京公网安备11010502051256号