收藏|人工髋关节置换术后并发症及其影像学表现
2022-02-28 文章来源:《髋关节影像学诊断(第2版)》 作者:骨科在线 我要说
尽管人工关节置换术已取得巨大成功,大多数患者在术后可以获得无痛、功能良好、稳定的假体。但是仍会有些患者会出现假体松动、感染、不稳定等并发症。影像学评估尤为重要,可以提供丰富的信息,包括肢体位置、力线、假体类型等,帮助医生明确诊断。
一、无菌性松动
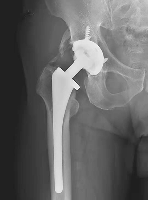
大多数松动发生在假体柄和骨水泥之间间隙,偶然发生在髋臼帽与骨水泥之间。无菌性松动的诊断,应包括临床松动和X线松动。临床松动诊断主要根据大腿和髋部疼痛等症状。X线松动主要有以下征象:①假体周围透亮带超过2mm,且有持续增宽趋势。②假体移位下沉或旋转等超过4mm(图2,图3);③关节造影同时行牵引见造影剂向假体与骨界面渗入,仅据其中一项即可诊断。

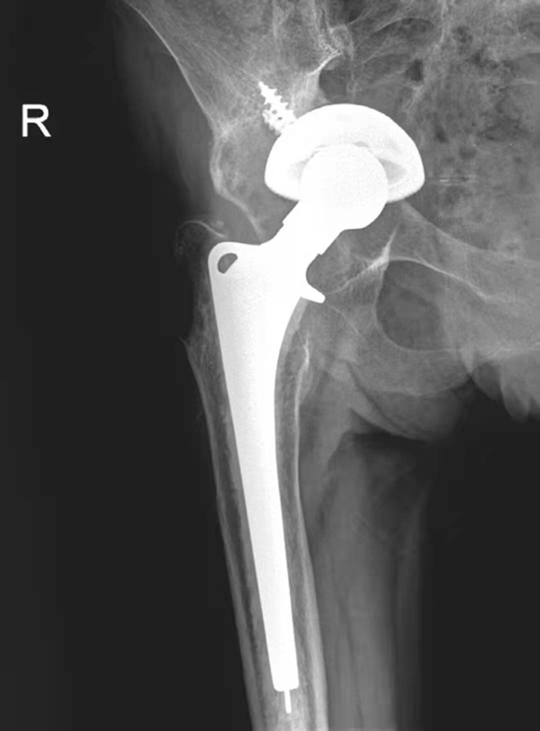
图1 人工髋关节置换术后正常X线表现
二、感染
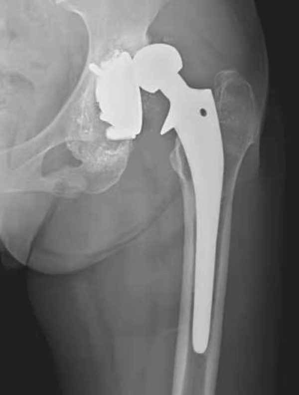
人工髋关节置换术后感染是常见而又极其严重的并发症,感染经久不愈及扩大将导致死骨形成及假体松动。X线检查主要有以下几方面表现:①假体周围出现透亮带,透亮带轮廓不规则,宽窄不等,呈花边样,部分伴硬化边缘;②假体出现松动移位;③股骨柄髓腔内、外侧骨质破坏伴死骨及骨膜新生骨形成(图4);④行造影时有腔道与关节相通。以上征象有时难以和无菌松动区别,结合临床上出现局部红肿热痛,可考虑深部感染的存在。

图2 无菌性松动
平片,示右侧股骨上段骨质疏松,人工股骨柄周围明显骨质吸收,透亮带明显增宽,髋臼杯位置未见改变

图3 无菌性松动
平片,示右侧髋臼杯周围骨质吸收,髋臼杯松动并向上内侧移位

图4 右侧人工髋关节置换术后感染并松动
女性,89岁。发现右大腿中段后侧流脓2个月余。平片,示右股骨上段骨密度增高,内侧骨膜增生,假体周围骨质吸收,髋臼杯内陷,人工股骨柄部内移
三、脱位
多发生在术后2~4周,发生率为0.3%~5.4%,通常为假头的前倾角过大以及关节屈曲性痉挛的原因造成。X线片是诊断脱位最佳办法,表现为人工髋关节正常位置关系失常,人工股骨头向外上方移位,位于髋臼假体外(图5)。

图5 左侧人工髋全脱位
平片,示左侧人工股骨头与髋臼关系失常,人工股骨头脱出髋臼向外上方移位
四、异位骨化
全髋关节置换术后,大约有39%以上的患者可发生邻近软组织骨化,术后2~4周的X线片上常能表现出来,而骨化灶成熟要1年以上时间。X线片上表现股骨假体颈部的周围可见斑片状或条片状骨化阴影,大小范围不一(图6~图8)。
根据X线片所见,Brooker等将其分为5级。
0级:X线片上未见异位骨化灶形成;
Ⅰ级:髋关节周围软组织内可见多个孤立骨岛;
Ⅱ级:骨盆和(或)股骨近端有骨刺生长,骨刺之间的距离﹥1cm;
Ⅲ级:骨刺之间的距离﹤1cm;
Ⅳ级:骨赘相互融合导致骨桥形成,髋关节骨性强直。

图6 右侧人工髋关节置换术后异位骨化
平片,右侧人工髋关节外方可见条片状骨化影

图7 右侧人工髋关节置换术后异位骨化
平片,右侧人工髋关节外上方可见条片状骨化影

图8 右侧人工髋关节置换术后异位骨化
平片,示右侧人工髋关节内下方见条片状骨化影
五、假体位置不良
人工髋关节置换术的长期疗效取决于手术中假体的正确置入,假体置入位置异常会影响髋关节功能,增加假体与骨界面间应力,导致假体松动。全髋关节假体置入时髋臼假体应俯倾40°~45°,前倾10°~25°;股骨假体中立位置入,前倾10°~15°。最常见的假体位置不良表现为:髋臼假体未置于真髋臼内,俯倾角过大;股骨假体内翻位或外翻位置入,前倾角过大或过小。
六、假体移位
假体移位时,在X线片上可显示髋臼假体方向有改变,轻度移位表现为骨水泥与骨界面或骨水泥与髋臼假体界面之间的间隙增宽(图9)。显著移位则髋臼假体松脱并明显向上移位;股骨假体移位可发生在骨水泥与骨界面或金属假体与骨水泥界面之间,也可沉入股骨髓腔中或移向内翻位(即股骨假体末端贴近股骨外侧皮质,正常情况下,应呈轻度外翻位即股骨假体末端贴近内侧皮质)。

图9 人工髋关节假体移位伴脱位
X线片,示左侧髋臼杯松动,逆时针转位,俯倾角显著增大,人工股骨头向外上方移位,与髋臼失去正常对应关系
七、假体的变形和断裂
变形和断裂大多数出现于假体柄,大多数并且发生在术后数年或较长时期的载荷之后,但也有早期发生者。假体的失败通常是机械性和技术上的问题造成。如为早期发生失败,不排除是由于假体的材料加工存在问题。不锈钢材料所制假体柄,常先出现变形后再断裂,其他一些硬度较高的合金假体柄往往是疲劳断裂而无变形阶段。按失败发生率的高低,部位顺序是:柄的中1/3、近1/3和远侧1/3。引起失败的较公认原因是柄的近侧1/3缺乏骨水泥和骨组织的支托,使假体柄长期遭受悬臂力的作用,最终出现疲劳断裂(图10、图11)。一般情况下,假体柄完全断裂时,会立即出现剧烈疼痛,负重时加重。当变形和不完全断裂时,或完全断裂,但近1/3仍有骨组织和骨水泥很好地支托时,患者可以完全无症状,或为轻微不适感。X线检查对此合并症的诊断非常重要,完全或不完全断裂很容易诊断,而变形只有依靠定期随访的X线片相互比较才能发现。

图10 假体柄断裂
平片,示左侧假体柄上段断裂错位,同时近端假体周围骨质吸收

图11 假体柄断裂
平片,示左侧假体柄下段断裂并松动
八、假体磨损
常见的有超高分子聚乙烯的磨损,因其透X线,一般是测量相同体位下的假体之间的距离,通过动态观察做出判断;较少见的金属假体磨损,一般的X线片即可显示,通常表现为人工股骨柄周围可见假体磨损碎屑(图12、图13),同时柄部周围骨质吸收溶解,有时需要特殊的体位方能观察到。

图12 假体磨损
X线片,示左侧人工股骨柄近端外侧可见假体磨损碎屑(黑箭),同时柄部周围骨质吸收溶解

图13 假体磨损
X线片,示右侧人工股骨柄近端外侧可见假体磨损碎屑(黑箭)
九、术后股骨干骨折
术后股骨干骨折可能发生在术后数月或数年,可有多种不同的原因引起。骨折最多发生于假体柄尖部附近或其近端(图14、图15)。
Johannson将这类骨折分为三型:Ⅰ型骨折发生在假体尖端近侧,不向远端延伸;Ⅱ型骨折从股骨干的近端向远端延伸超出假体柄尖端;Ⅲ型骨折完全位于假体柄尖端的远侧。

图14 人工关节置换术后股骨干骨折
平片,示左侧假体柄尖部附近股骨干骨折并错位

图15 人工关节置换术后股骨干骨折
a. X线片;b. CT冠状位重建,示左侧假体柄远端附近股骨干骨折



京公网安备11010502051256号