田华:3D打印干骺端假体修补胫骨近端巨大骨缺损
2021-06-02 作者:北京大学第三医院 田华 我要说
来源:北京大学第三医院 田华
在膝关节置换翻修术中,胫骨近端巨大骨缺损的重建一直是关节外科医师面临的一大难题。因其缺损骨质范围大且形态各异,传统的非个性化的假体不能很好地匹配骨缺损的形态,难以实现解剖的精确重建以及生物力学的复原,术中需对剩余骨质进行进一步的截骨和修整,手术操作复杂,术后假体生存率仍较低,易出现疼痛等并发症,临床满意度也较低。
随着3D打印技术的发展,胫骨近端巨大骨缺损的重建有了新的解决途径。特别是在2019年7月,国家食品药品监督管理局会同国家卫生健康委员会发布了《定制式医疗器械监督管理规定(试行)》。这项里程碑式的法规充分肯定了3D打印个性化定制假体的临床价值。
北京大学第三医院已于2020年完成了个性化定制干骺端假体的备案。本研究旨在回顾性分析该院使用3D打印个性化定制干骺端假体修补胫骨近端巨大骨缺损的病例资料,描述这一技术的临床和影像学结果。
材料与方法:
回顾性收集2016年12月至2018年9月期间于北京大学第三医院,存在胫骨近端AORI分型中IIb或III型巨大骨缺损且使用3D打印个性化定制干骺端假体进行骨缺损重建的患者的资料,统计分析其一般资料、术前临床及影像学资料、术中情况、术后临床及影像学资料。
结果:
在研究期间,共有7例存在胫骨近端巨大骨缺损的膝关节置换翻修患者纳入了研究,均接受了3D打印个性化定制干骺端假体对骨缺损进行了重建。
其中5例患者诊断为无菌性松动,2例患者为假体周围骨折。患者平均年龄为68岁,平均BMI为28.1kg/m2。平均手术时间108min,术后3天时平均的失血总量为1216ml。术后进行了平均25个月的随访,随访期内未发生假体松动、假体周围感染、假体断裂、假体周围骨折等并发症。膝关节活动度由术前平均66°升高至平均93°。HKA由术前的平均193.2°恢复至为180.9°。HSS评分由术前的平均49分升高至78分,WOMAC评分由平均59分降低至26分。
结论:
3D打印个性化定制干骺端假体是修补胫骨近端AORI分型中IIb型或III型巨大骨缺损的一种优效方法,在随访期内无假体松动、假体周围感染、假体断裂、假体周围骨折等并发症等,临床效果和影像学结果良好,有望逐步临床推广。
3D打印个性化定制干骺端假体是修复胫骨近端AORI分型中IIb型或III型巨大骨缺损的一种优效方法,在随访期内无假体松动、假体周围感染、假体断裂、假体周围骨折等并发症等,临床效果和影像学结果良好。3D打印个性化定制干骺端假体不仅有力于初始稳定性和骨长入,个性化的形态也能有效减少对软组织的干扰,专用配套工具明显缩短了手术时间,从而进一步提高了术后疗效,有望逐步临床推广使用。
临床应用展示:

图1.个性化定制干骺端假体及其试模

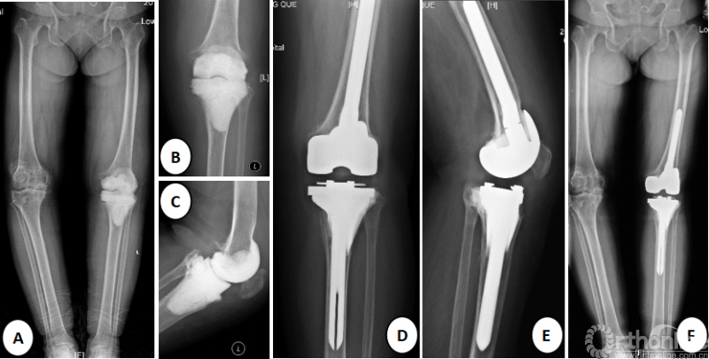
图2.某患者X线片;A、B、C为术前X线片,患者因假体周围感染,已行假体取出及spacer置入术;D、E、F为术后36月随访时X线片,未见假体周围骨折、假体周围感染、假体松动等迹象,术侧下肢力线良好
作者简介:

田华
医学博士,主任医师,博士研究生导师,北京大学第三医院骨科部副主任,关节外科主任。
中华医学会骨科学分会关节外科学组委员;中国医师协会骨科医师分会委员;中国医药教育协会骨科专业委员会关节外科分会副主任委员;北京医学会骨科学分会关节外科学组副组长;中国老年学和老年医学学会老年骨科分会关节学组副组长;中国非公医疗机构协会骨科专业委员会常务委员;吴阶平医学基金会创新骨科学部常务委员;北京大学“新时代”教学改革肌骨系统PI。
医学博士,主任医师,博士研究生导师,北京大学第三医院骨科部副主任,关节外科主任,北京大学医学部“新时代”教学改革肌骨系统PI。
中华医学会骨科学分会关节外科学组委员;北京医学会骨科学分会常务委员,关节外科学组副组长;中国医药教育协会骨科专业委员会关节外科分会副主任委员;中国老年学和老年医学学会老年骨科分会关节学组副组长;中国非公医疗机构协会骨科专业委员会常务委员;吴阶平医学基金会创新骨科学部常务委员。



京公网安备11010502051256号