图说肩肘|肩胛骨体部骨折:从手术入路选择到缝线辅助固定技术
2021-05-08 文章来源:中华肩肘外科电子杂志 作者:张晓萌;陈建海;张殿英;付中国 我要说
肩胛骨骨折在临床上并不常见,占肩部骨折的3%-5%,致伤原因通常为车祸、高处坠落等高能量损伤,常合并肩部其他骨折或肋骨骨折。本期《图说肩肘》将通过图文并茂的形式向读者解说肩胛骨骨折的入路及缝线辅助固定。
一、肩胛骨骨折的入路
(一)近端骨折的背侧小切口
这一入路适用于仅累及肩胛盂、肩胛颈的IdebergⅠ-Ⅲ型骨折,术中通过分离冈下肌与小圆肌显露骨折区域。这是一种安全、可靠的手术入路,切口短、创伤小,软组织剥离范围小,暴露直接,节约手术时间,可以使骨折获得满意的复位以及牢靠的固定(图1)。

图1 肩胛骨骨折背侧小切口
(二)沿肩胛骨外缘切口
有医生用沿肩胛骨外缘切口,一旦需扩大切口再用切口上缘沿肩胛冈向内侧扩展切口,可解决绝大多数肩胛颈及体部骨折。其缺点是术中易损伤肩胛上神经、血管,容易造成更多的肌肉损伤(图2-3)。

图2 肩胛骨外缘切口

图3 经肩胛骨外缘切口后显露肩胛骨骨折
(三)Judet入路
Judet入路可显露肩胛骨后方的大部分结构,应用范围较广。
患者取俯卧位或侧俯卧位,肩关节外展90°,切口起自肩峰后缘,沿肩胛冈走行至肩胛骨内缘,成弧形转至肩胛下角。切口呈“L”型,切开皮肤、皮下组织、浅筋膜、深筋膜至肌肉层,向外侧牵拉开皮瓣后暴露肌肉层,触及肩胛冈,其上方的肌肉为斜方肌,其下方的肌肉为三角肌(图4)。

图4 Judet入路
肩胛冈下lcm处切断三角肌后部纤维并向外侧翻转,经冈下肌和小圆肌间隙钝性分离进入或沿内侧缘及肩胛冈切开冈下肌后即可显露肩胛冈下方骨部,直达肩胛骨外侧缘及颈部、体部、肩峰基底部及盂缘后方骨折处(图5)。

图5 经Judet入路显露肩胛骨
这种大的切口显露充分,可有效保护重要的神经血管。因此,对于累及肩胛骨体部骨折,Judet入路是一个很好的选择。
二、肩胛骨骨折的缝线辅助固定技术
肩胛骨体部骨折大多不需手术治疗,但如骨折移位严重,碎骨片刺破关节囊,影响肩关节活动,或三维CT显示骨折片于横断面或冠状面旋转角度较大,将来肩胛骨在胸壁上活动易造成疼痛,亦可选择手术治疗。
临床上此类骨折病例在肩胛骨骨折中较常见。肩胛骨周边骨质结构近柱形结构,骨质强度明显高于骨体中部,因此发生骨折,易形成纵行骨折。而肩胛骨中间区骨板薄弱,目前临床常用的锁定螺钉最短的为10mm,因此钢板螺钉在治疗这类骨折时无法发挥其最大作用(图6)。

图6 肩胛骨骨折板钉固定
目前,针对此类无法用螺钉固定的肩胛体部骨折,国内许多骨科医师已经做出了另一种选择:缝线固定(图7)。相比板钉固定,缝线捆扎固定也有很大优势,且不可被忽略。

图7 肩胛骨骨折缝线辅助固定
(一)病例1
病例1(图8)所示骨折累及肩胛骨体部,单纯使用板钉固定能否更为可靠、便捷?是否还有其他选择?

图8 累及肩胛骨体部的粉碎性骨折
为解决螺钉在肩胛骨体部把持力弱的劣势,在复位骨块后预先在骨折线两侧钻孔,采用两组缝线缝合后以Nice结固定肩胛骨体部(图9)。

图9 术前设计缝线联合Nice结固定肩胛骨体部的手术方案
术后X线片可见,肩胛骨体部复位良好,因此,配合术后良好的患肢制动,缝线辅助固定技术同样可以稳定维持术中复位(图10)。

图10 采用缝线辅助固定后X线示骨折复位满意,内固定位置良好
(二)病例2
病例2为1例累及肩胛盂、肩胛颈和肩胛骨体部的复杂肩胛骨骨折(图11-12)。
术前设计采用跨骨折区域钢板螺钉固定(图13)。术中可见纵向骨折区域骨质薄弱,骨折粉碎严重,钢板放置位置有限,操作极其困难(图14)。术中采用多块接骨板跨骨折区域固定,术后X线片及三维CT重建显示复位满意(图15)。针对此病例,如果采用缝线辅助固定技术,可使手术操作过程简化,达到同样的固定效果(图16)。

图11 CT三维重建及轴位重建示肩胛骨骨折累及肩胛盂、肩胛颈和肩胛骨体部 图A:CT三维重建;图B:CT轴位重建

图12 CT冠状位重建及手绘示意图重现骨折累及肩胛盂、肩胛颈及肩胛骨体部 图A:CT冠状位重建;图B:手绘示意图

图13 术前手术设计针对累及肩胛盂、肩胛颈和肩胛骨体部的骨折采用板钉固定示意图 图A:伤后术前手绘示意图;图B:伤后手术固定手绘示意图

图14 术中示肩胛骨板钉固定

图15 术后X线片及CT三维重建示骨折复位满意,内固定位置良好 图A:术后X线片;图B:术后CT三维重建

图16 假定手术方案设计示意图
(三)病例3
病例3为66岁老年女性患者,主因高处坠落伤导致左锁骨、左肩胛骨、左胸第5-6肋骨骨折。患者锁骨骨折和肩胛骨下缘骨折干扰冈下肌和肩胛下肌肌力,使肩关节稳定性受影响(图17)。
针对本例患者肩胛骨体部骨折,在术中采用术前设计好的缝线辅助固定技术(图18)。术后CT三维重建显示骨块复位满意,固定良好(图19)。

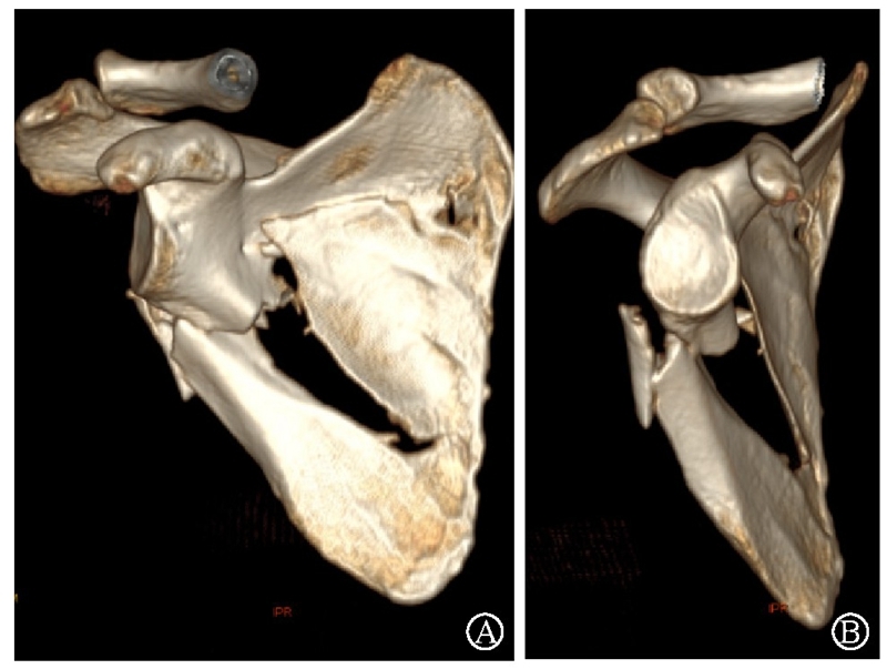
图17 术前X线片及CT三维重建示肩胛骨骨折累及肩胛颈及肩胛骨体部 图A-B:术前肩关节正位及出口位X线片;图C-E:术前CT三维重建

图18 术前手术设计采用缝线辅助固定示意图

图19 术后CT三维重建示骨折复位满意
(四)病例4
病例4为53岁男性患者,因高处坠落导致右肩胛骨骨折,合并右侧第3、5、7、8肋骨骨折(图20-21)。

图20 术前X线片示肩胛颈及肩胛骨体部骨折

图21 术前CT三维重建示肩胛颈及肩胛骨体部骨折 图A:肩胛骨前面观;图B:肩胛骨侧面观
术中采用钢板固定肩胛颈内下方骨折块,肩胛骨体部骨折固定采用缝线辅助固定技术,骨折端以Nice结固定。术后CT三维重建显示骨折复位满意,固定良好(图22)。

图22 术后CT三维重建示肩胛骨骨折复位满意,内固定位置良好 图A:肩胛骨后面观;图B:肩胛骨侧面观
(五)病例5
病例5(图23)为患者因车祸导致肩胛骨及肱骨近端骨折,肩胛骨体部骨折块移位显著。

图23 CT三维重建示肱骨近端骨折,肩胛颈及肩胛骨体部骨折
本例患者在术中对肩胛骨体部骨折块采用缝线辅助固定技术,将高强度缝线穿过骨折线两侧预钻孔后,以Nice结进行固定。肱骨近端及肩胛颈内下方骨折采用接骨板固定(图24)。

图24 术中采用骨折端钻孔、缝线缝合、Nice结固定 图A:预置两组缝线,复位骨折;图B:一组缝线打结;图C:另一组缝线打结;图D:剪断线尾后见骨折端固定良好
术后X线显示接骨板位置良好,实现肩胛骨骨折解剖复位(图25)。

图25 X线示肱骨近端及肩胛骨内固定位置良好,骨折复位满意
目前,肩胛骨体部骨折缺乏统一的分型标准,针对这类骨折,选择合适的手术入路和固定技术是治疗的关键。采用高强度缝线缝合、Nice结固定可有效稳定骨折断端,减少康复过程中的疼痛,缩短肩关节制动时间,实现早期活动,获得更好的肩关节功能。
参考文献:
1.付中国,张堃.Judet入路治疗肩胛骨骨折[J/CD].中华肩肘外科电子杂志,2014,2(1):63-68.
2.Judet R.Surgical treaement of scapular fractures[J].Acta Orthop Belg,1964,30(3):673-678.
3.Bartonícek J,Tucek M,Lunácek L.Judet posterior aproach to the scapula[J].Acta Chir Orthop Traumatol Cech,2008,75(6):429-435.



京公网安备11010502051256号