骨科常见疾病X线解析之肱骨内上髁骨折
2021-03-03 我要说
肱骨内上髁骨折是肘部损伤中最常见的一种,约占肘关节骨折的10%,仅次于肱骨髁上骨折与肱骨外髁骨折,占肘部损伤的第三位。骨折多发生在少年和儿童。这个年龄组,肱骨内上髁系属骨骺,尚未与肱骨下端融合,故易于撕脱,通称肱骨内上髁骨骺撕脱骨折。
但由于该骨骺男性6~8岁才出现,女性4~6岁才出现,因此当该骨骺尚未显现的幼儿发生损伤时,应该引起临床工作者的重视。对此临床检查非常重要,我们特列出骨骺尚未显露出的病例。
一、骨骺显露前期
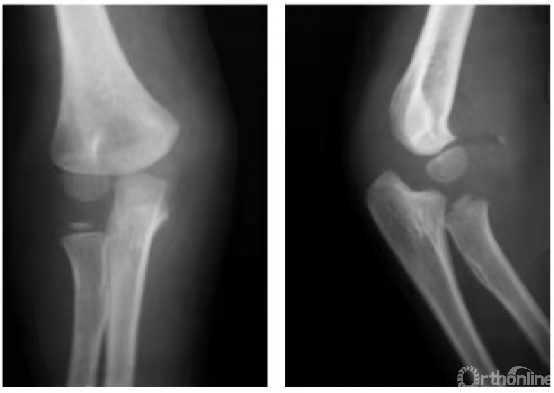
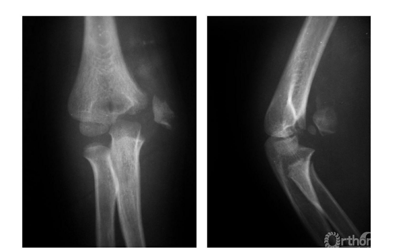
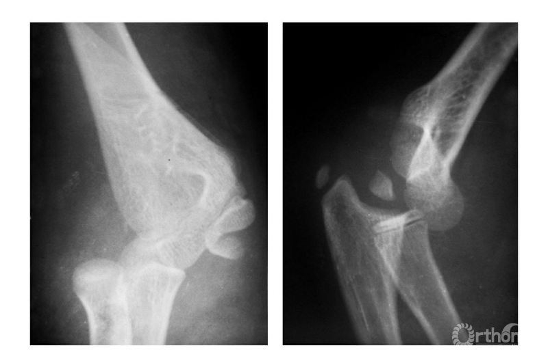
例:6岁男孩右肘伤后(图1),内上髁损伤后肿胀,局部可触到活动的骨块,但X线片未见异常(因该骨骺尚未骨化)。5年后拍片健侧(左侧)内上髁骨骺正常显现,右侧内上髁骨骺呈一三角形骨片并略下移(图2)。

图1

图2
二、骨骺显露期
肱骨内上髁骨折可根据损伤严重程度分为四型。Ⅰ型损伤:内上髁骨骺分离稍有变位。Ⅱ型损伤:撕脱的内上髁骨骺向下、向前旋转移位,可达关节水平。Ⅲ型损伤:撕脱的内上髁骨骺嵌夹在内侧关节间隙,实际上肘关节处于半脱位状态。Ⅳ型损伤:肘关节向后或向后外侧脱位,撕脱的内上髁骨骺嵌夹在关节内。
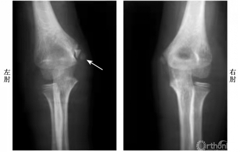
Ⅰ度损伤:
例:内上髁骨骺并带一皮质骨片略下移位(图3)

图3
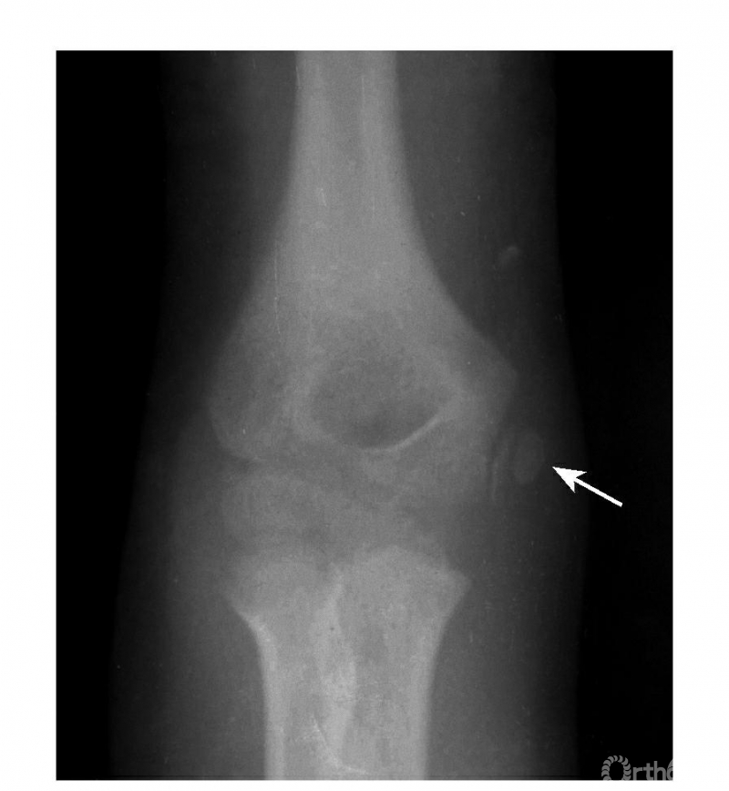
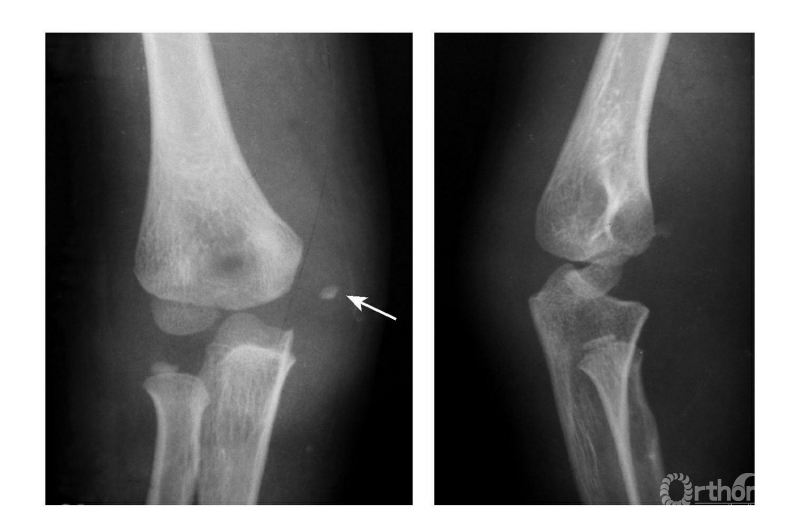
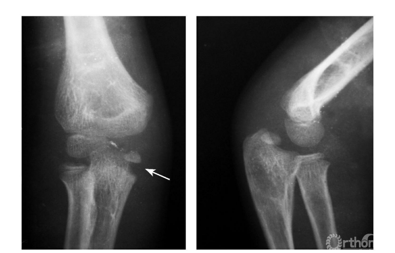
Ⅱ度损伤:
例1:内上髁骨骺分离并带一模糊的骨皮质,并向外侧旋转,而达关节水平(图4)。

图4
例2:内上髁骨骺并带内髁骨块向外翻转移位,达关节水平(图5)。

图5
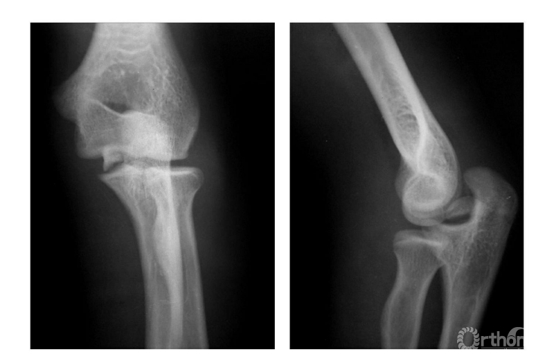
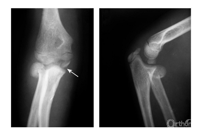
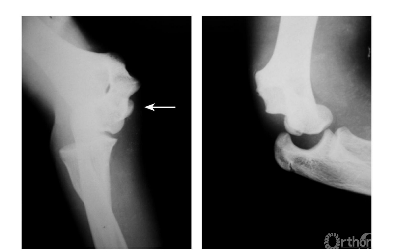
Ⅲ度损伤:
例1:内上髁骨骺撕脱并移至尺肱关节间(图6)。

图6
例2:内上髁撕脱骨折,骨块移至尺肱关节间(成人)(图7)。

图7
例3:肱骨内上髁Ⅲ度骨折并桡骨颈骨折(歪戴帽)(图8)。

图8
Ⅳ度损伤:
例1:肘关节外后脱位并肱骨内上髁撕脱骨折,骨块移向尺肱关节间(图9)。

图9
例2:肱骨内上髁Ⅳ度骨折并肘关节旋转性脱位(图10)。

图10
来源:《骨科疾病X线片百例解》
作者:闻善乐



京公网安备11010502051256号