骨科常见疾病X线解析之肱骨髁间骨折
2021-02-25 我要说
肱骨髁间骨折为肘部的严重损失病之一,其骨折线至少由两部分组成,以及通过髁间的碎折。
该病好发于青壮年,骨折常呈粉碎性,闭合复位困难,开放复位缺乏有效的内固定,出现肘关节功能障碍、骨不连或畸形愈合者并不少见。临床上无论采用闭合手法复位,还是手术开放复位,其最终效果都不十分满意,因而该骨折的分型及影像学表现对于后续的诊疗至关重要。
本病传统将其分为四型:
Ⅰ型:即无移位骨折;
Ⅱ型:为骨折块轻度移位;
Ⅲ型:骨折时内、外髁均有旋转移位;
Ⅳ型:骨折时关节面严重破坏。
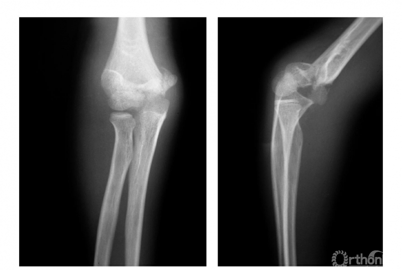
例1:肱骨髁间碎折,骨折远端后移并外髁与滑车关节面间少有分离(Ⅱ型)(图1)。

图1
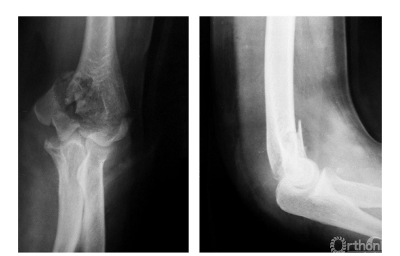
例2:肱骨髁间骨折并尺偏,内外髁骨块严重分离并旋转(Ⅲ型)(图2)。

图2
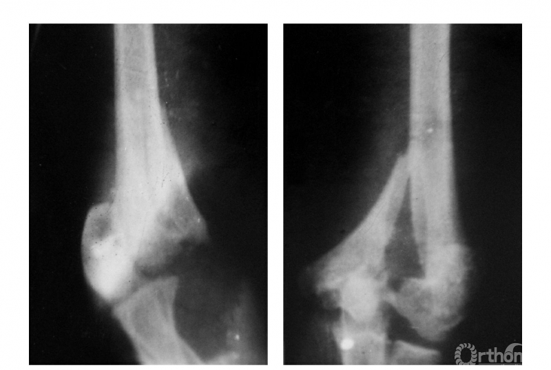
例3:肱骨髁间碎折仅有轻度尺偏(Ⅳ型)(图3)。

图3
例4:肱骨髁间劈裂性骨折后,内髁骨块向内前移位,外髁骨块向内后移位但两骨块旋转不明显(Ⅱ型)(图4)。

图4
来源:《骨科疾病X线片百例解》
作者:闻善乐



京公网安备11010502051256号