实用经验|这才是踝关节骨折的最佳方案
2020-12-24 作者:关节内骨折治疗精要 我要说
在下肢骨折中,踝关节骨折最为常见。在过去的50年中,踝关节骨折的发病率日渐升高。近来,随着老年人群体发病率的增长,固定的牢固性问题变得更加复杂,新的固定技术有待研发。
分类
由于机制不同,踝关节骨折可能涉及内踝骨折、外踝骨折或后踝骨折。保守治疗不适用于有移位的双踝骨折,但适用于无移位的内踝和外踝骨折。如果是单纯性内踝骨折,在常规放射性检查中,应查看是否伴有腓骨高位骨折,以防遗漏。如果是单纯性外踝骨折,也应注意查看是否有迹象表明伴有内侧损伤,特别是三角韧带损伤。
踝关节骨折一般有两种分类方法。Davis-Weber分类法根据腓骨骨折线的位置,将踝关节骨折分为A、B、C三型:A型中的骨折线在下胫腓联合以下,B型中的骨折线经下胫腓联合,而C型中的骨折线在下胫腓联合之上。Lauge-Hansen分类法的根据则是足在受伤时的位置以及暴力下距骨旋转的方向(表1)。

表1 踝关节骨折Lauge-Hansen分型
在踝关节骨折中,旋后外旋型损伤是最为常见的骨折类型。下胫腓联合损伤通常与旋转所致损伤相关。
术前计划
为识别骨折线、关节半脱位以及可能的下胫腓联合损伤,须具备高质量的踝关节前后位片、踝穴位片和侧位片。在踝关节的前后位片中,内侧、外侧和上方的关节间隙应该等大。内侧的关节间隙实际应小于4mm,如果大于4mm,则表明外侧距骨半脱位。腓骨远端的内侧面应延伸至距骨的关节边缘。距骨小腿角间接测量了腓骨的长度,度数应为83±4度。正常情况下,下胫腓的关节间隙为4mm,如果大于6mm,则表明下胫腓联合断裂。在前后位片中,腓骨远端与胫骨远端会出现约6mm的重合影(高出关节线1cm)(图1)。

图1 正常踝关节前后位及踝穴位
非手术治疗
无移位的内踝和外踝骨折通常选择保守治疗,即在膝以下用夹板固定,并将腿抬高。1周过后,应摄取X线片,以检查、排除任何可能的移位。如果仍进行复位,继续用石膏固定6周,随后开始渐进性负重。如果后期发生移位,则须选择手术治疗。
手术治疗
适应证
闭合复位后,内踝或外踝发生大于2mm的移位;内侧关节间隙加大,合并腓骨骨折;胫距关节半脱位;关节内有游离骨块。
麻醉
该类手术可在局部麻醉的条件下较为轻松地完成,而局麻多通过脊椎麻醉实现。
体位
常采用仰卧位,并将一包沙袋置于同侧的臀区,这样有助于更好地观察踝关节的内侧面和外侧面,以便按要求切成开口。俯卧位极少用于后踝的固定。在大腿上部应用止血带。另外,要使用X线透视查看骨折复位是否良好、关节是否对合。
固定顺序
对于双踝骨折,通常建议先对外踝进行复位和固定,继而复位、固定内踝。外踝的复位有助于保持腓骨的长度,因而也有利于间接复位内侧骨折片。对于三踝骨折,通常先固定后踝,再固定外踝,最后固定内踝。
外踝固定技术
腓骨远端为皮下骨骼,因此应避免以腓骨远端为中心直接切开成口。一般在腓骨远端的后外侧表面切口(图2),这样就避免了伤口张开或裂开时接骨板暴露。如果因粉碎性骨折和Pilon骨折而要在踝关节前方开口,上述切口也可与该切口保持足够的距离。

图2 腓骨远端的后外侧表面切口
为避免神经瘤的形成,穿过腓骨远端的腓浅神经应得到保护。切开皮肤后,沿着切口线分开深筋膜(图3)。

图3 切开皮肤后,沿着切口线分开深筋膜
清理骨折末端软组织后,借助小复位钳将骨折片复位(图4)。解剖复位和腓骨长度的保持,尤为重要。除了腓骨的长度之外,也应检查旋转的方向。腓骨的短斜形骨折可用一枚拉力螺钉和一块中和接骨板加以固定(图5~8)。
长螺旋形骨折可用两枚拉力螺钉和一块中和接骨板加以固定。骨折线的两侧最少须四皮质固定。较小的1/3或半形管状接骨板通常用于固定腓骨。3.5mm的动力性加压接骨板也被用于体型较大的患者。近期,用于腓骨固定的特制接骨板也被研发出来。

图4 小复位钳将骨折片复位

图5 垂直骨折线钻孔

图6 依次拧骨折端远近端螺钉

图7 拧入拉力螺钉实现骨折端加压

图8 小腓骨接骨板置于腓骨外侧
当发生腓骨粉碎时,使用桥形接骨板,从而能绕过碎骨,皮质固定也可在骨折区域上下完成。在用螺钉固定前,应预先描出接骨板的轮廓。有时,如果在很低的位置发生横行骨折,可在踝部用4mm的张力性钢丝带加以固定。术中进行影像学检查,可以极为有效地避免远端的螺钉将关节刺穿(图9)。

图9 置入远端螺钉时应避免穿入关节内
内踝固定技术
将折起的毛巾置于踝关节下。用记号笔标出骨点和骨折线,以辅助切开成口(图10)。切口时,建议避开不健康的皮肤。

图10 用记号笔标出骨点和骨折线,以辅助切开成口
在内踝开直切口或略呈弧形的切口。根据皮肤的状况,内侧骨折片的大小,以及是否需要固定后踝,弧线可向前或向后延伸。弧形切口有助于固定内侧嵌入性骨折,也有助于治疗关节内有游离骨块的骨折。另外,因为可能引起伤口裂开,故应避免在内踝高骨开直切口。
为避免神经瘤形成,引发疼痛,须在皮下平面保护大隐静脉和神经。内踝上无确定的深筋膜。
内踝骨折中通常会伴有骨膜撕裂(图11)。这些骨折病例大多数均存在骨膜的介入,这便造成了愈合困难,可能导致骨不连。应将骨膜抬离骨折端,并清理折断表面的血块。将骨折片向远端回缩,以观察关节。在移除关节内所有的游离骨块后,用盐水清洗关节(图12)。

图11 骨膜撕裂及骨折间隙

图12 在移除关节内所有的游离骨块后,用盐水清洗关节
为使用复位钳,需在骨折线上方钻一个小孔(图13)。用持钩或较小的复位钳复位内踝(图14)。将一个尖端置于胫骨远端中的小孔,另一个尖端则放在骨折片尖部。要避免压碎骨折片,在治疗老年患者时尤其注意。为防止骨折片复位不良或发生旋转,应在骨折线的前缘和外侧面检查复位的情况。
如果复位难以实现,应排除三角韧带深部或胫骨后肌腱介入其中的可能。胫骨后肌腱可能向前挤压内踝骨折片,因此需要将之回缩,为准确复位内踝创造条件。

图13 为使用复位钳,需在骨折线上方钻一个小孔

图14 持钩或较小的复位钳复位内踝
在钳的前方和后方,放置两枚较小的克氏针,并使之与骨折线垂直(图15)。注意要保证克氏针不刺穿踝关节(图16)。为防止刺穿关节,可将角度调至与水平方向约成30°。在克氏针上方和对侧皮质附近,使用管状钻钻孔。后嵌入4mm部分有螺纹的空心松质骨螺钉。
在骨折片尖部固定螺钉时,三角韧带表层可能会部分劈裂。再将另一枚螺钉以相同方式嵌入(图17),无需涉及对侧皮质。在大多数病例中,40或45mm长度规格的螺钉可以起到很好的固定作用。这些螺钉应相互平行,并在内踝骨折片上方铺开,以便更好地控制旋转(图18)。

图15 2枚克氏针临时固定骨折

图16 透视下观察克氏针方位及骨折复位情况

图17 半螺纹松质骨空心钉最终固定骨折

图18 内踝固定完成
通过X线透视确认骨折复位和螺钉的固定(图19)。用可吸收缝线缝合较薄的皮下层后,再将皮肤缝合。

图19 通过X线透视确认骨折复位和螺钉的固定
如果内踝发生纵向骨折或内收型损伤,则可能须将螺钉水平固定,以垂直于骨折线的方向,并可防止发生内踝剪切型移位。有时,也可使用较小的防滑移接骨板来增强螺钉的牢固性。
当发生内侧压缩时,可能还需要进行骨移植。如果内侧骨折片非常小,则固定时可用一枚螺钉和一枚克氏针或用两枚遵循静态张力带原理的克氏针(图20和图21)。

图20 旋后内收型踝关节骨折,内踝可用支撑钢板固定,外踝可用长克氏针固定。

图21 内侧骨折片非常小,则固定时可用一枚螺钉和一枚克氏针或用两枚遵循静态张力带原理的克氏针
后踝固定技术
当后踝的骨折片涉及的关节面超过25%时,建议对该骨折片进行复位和固定。操作应在固定外踝前进行,因为腓骨的接骨板可能会阻碍视线,影响后踝骨折片的复位。
通过使用复位钳可完成经皮复位。将复位钳置于后外侧骨折片和前侧胫骨之上。在放置复位钳前,为避免腱和神经血管束的损伤,应进行充分剥离。在前侧胫骨开一个戳创的小切口后,将导丝从前向后穿过。固定时,通常自前向后放置4mm部分带螺纹的空心松质骨螺钉(图22)。

图22 自前向后置入螺钉固定后踝骨折
如果不能进行闭合复位,则经后外侧入路行切开复位。固定时,自后向前放置配有垫圈的4mm部分带螺纹的空心松质骨螺钉。如果骨折片在后内侧,则经后内侧入路进行复位,固定时螺钉从前向后放置。
下胫腓联合固定技术
在完成所有踝部骨折的固定之后,应评估下胫腓联合的稳定性。如果下胫腓联合关节上方或下胫腓联合水平发生腓骨骨折,应充分检查下胫腓联合的稳定性。在前后和中外两个平面上,应检查其完整性(图23)。另外,因为下胫腓联合发生损伤时腓骨可能向外旋转,故还应检查腓骨的旋转情况。

图23 用巾钳夹住腓骨向外侧牵拉以评估下胫腓联合的稳定性
如果下胫腓联合不稳,则须进行固定,固定时采用皮质骨螺钉。由于腓骨在解剖关系上位于胫骨的后外侧,因此应将螺钉从后向前以30°的角度嵌入。一般认为,三皮质骨螺钉固定足以保证下胫腓联合的稳定性。螺钉应至少高过关节线2cm(图24和图25)。

图24 下胫腓骨螺钉置入方法

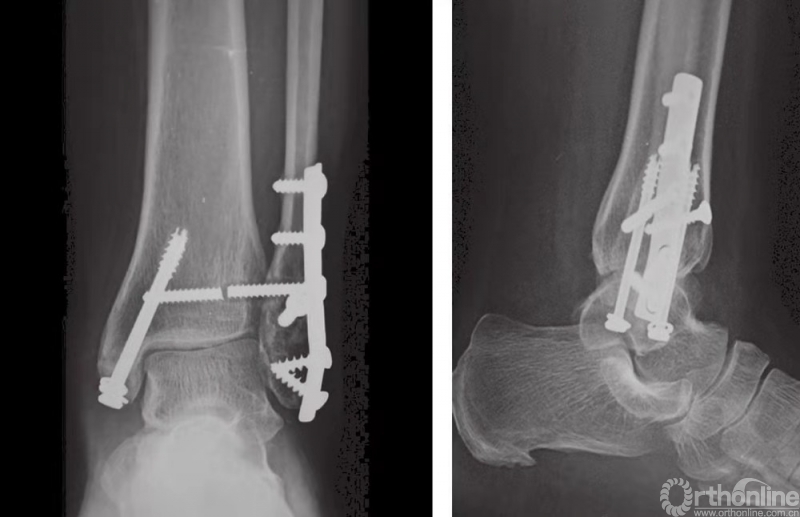
图25 通过钢板的皮质骨螺钉固定旋前外旋型下胫腓联合损伤
术后处理
手术后,膝以下用短板固定,并将足置于枕头上,以减少水肿。术后第二天,开始活动踝关节和脚趾。2周过后,拆除缝线。在完成6周的无负重行走后,再进行部分负重。
通常在10周之后取出下胫腓联合螺钉,随后患者开始完全负重。在开始负重前,一些外科医生更倾向于不取出下胫腓联合螺钉。但在这种情况下,须事先告知患者术后的负重可能会导致下胫腓联合螺钉破裂(图26)。

图26 术后16周下胫腓螺钉断裂,但患者无症状
并发症
伤口裂开
浅层感染和深部感染的发生率分别为8%~10%和2%~3%。老年患者、吸烟者、酗酒者和糖尿病患者更易于发生伤口裂开和与皮肤有关的并发症。
骨不连
当接受保守治疗时,由于三角韧带的拉伤和骨膜的介入,内踝骨折更易于发生骨不连。除非外踝骨折并发感染或软组织缺损,骨不连很少见于外踝骨折。
僵硬
大多数患者的活动幅度将受一些影响,背屈受到的影响比跖屈所受影响更大。为防止发生固定性挛缩,建议较早开始活动幅度的练习。另外,应避免马蹄足挛缩的发生。
继发性骨关节炎
大多数患者会患有继发性骨关节炎,但在实现解剖复位后,仅有一小部分患者会患上症状性骨关节炎。如果没有实现解剖复位,发生骨软骨损伤和关节半脱位,患者更易于患症状性骨关节炎,这也突显了手术时实现解剖复位和牢固固定的必要性。
预后
与保守治疗相比,手术介入的效果更佳。很多研究均证明了手术固定踝关节骨折的疗效,但目前还没有比较保守治疗和手术治疗的随机对照研究。
Belcher等一项涉及40名患者的研究显示,在踝关节骨折发生的8~24个月后,与正常人群相比,大多数患者存在功能明显受损的情况。该病例系列研究发现,患者的平均踝关节评分为72(对照组-100)。
在另一项涉及30名患者的研究中,Bhandari等发现,踝关节骨折的患者在接受手术治疗后,躯体功能和躯体角色评分(SF得分中的内容)比正常人群低很多。
Nilsson等一项涉及65岁以上老年患者的研究发现,大部分患者持续表现出症状,出现功能受限的情况;而且,较之男性老年患者,女性老年患者功能恢复得较少。Ponzer等也研究了Danis分类法下B型骨折的功能恢复,并发现大部分患者会发生不影响日常活动的功能障碍。
有关下胫腓联合固定的争论更多。已有研究证明了完成解剖复位后的下胫腓联合功能恢复得较好。另外,下胫腓联合在分别经过1年的三皮质固定和四皮质固定后,未发现功能上的差别,但三皮质固定的并发症较少,疗效较好也更快。
尽管大部分研究证明了手术固定踝关节骨折后会出现功能障碍,但研究并未与对照人群进行比较。为保证比保守治疗实现更好的功能恢复,对脱位的踝关节进行解剖复位和牢固的手术固定至关重要。
来源:《关节内骨折治疗精要》
译者:禹宝庆 张殿英 苏佳灿



京公网安备11010502051256号