骨科常见疾病X线解析之肩关节骨折与脱位
2020-11-06 我要说
肩关节(亦称盂肱关节)因受局部的解剖结构及生理的功能的特殊性,因而它所发生的脱位比较常见,约占全身脱位的50%,且多合并肱骨上段各种骨折,故文献分类也很复杂,其中前脱位最多见,并发症亦多。其次尚有肩关节后脱位及肩关节上脱位,但二者均较罕见。
一、肩关节前脱位
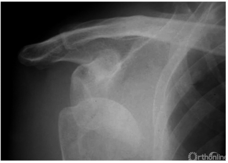
例1:肩关节盂下脱位(如下图)。

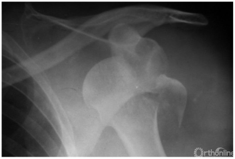
例2:希-萨(Hill-Sachs)二氏损伤。肱骨头后外侧劈裂骨折形成楔形缺损,骨折块下移并肩关节喙突下脱位(如下图)。

例3:肩关节喙突内下方脱位并大结节及肩峰端骨折(如下图)。

例4:肩关节盂下脱位并解剖颈骨折:致肱骨头仍滞留在盂下,而远折端回至关节盂部,形成假关节(如下图)。

例5:肩关节喙突下脱位并外科颈劈裂骨折及同侧锁骨中断骨折(如下图)。

例6:肩关节盂下脱位并外科颈骨折:其肱骨头仍滞留在盂下(如下图)。

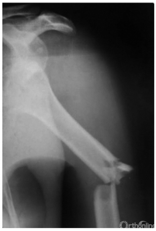
例7:肩关节盂下脱位并肱骨干骨折(本病常由于肱骨干骨折的干扰而最易漏诊肩关节的脱位)(如下图)。

二、肩关节外脱位
例1:肩关节外脱位并肱骨外科颈骨折,肱骨头上下倒置,远折端回缩至关节盂处致形成假关节(如下图)。

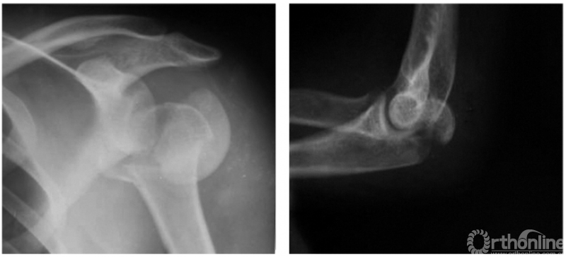
例2:肩关节向外旋转性脱位并肱骨解剖颈碎折及同侧尺骨鹰嘴骨折(如下图)。

例3:肩关节喙突下脱位并肱骨解剖颈劈裂骨折,其骨块明显外移(如下图)。

三、肩关节旋转性半脱位
例1:肩关节向前外旋转性半脱位并肱骨外科颈骨折(如下图)。

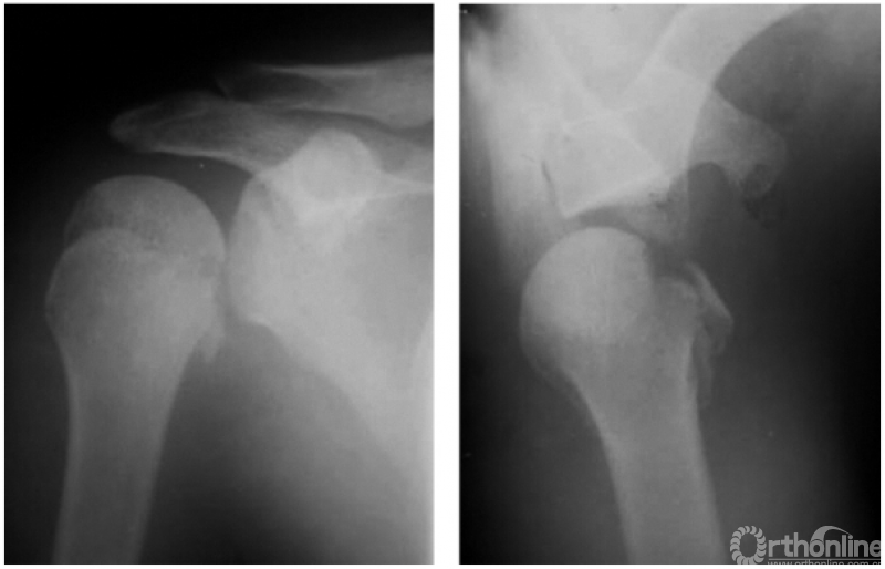
例2:肩关节轻度向后旋转脱位并解剖颈骨折、大结节分离及锁骨骨折(如下图)。

四、肩关节后脱位
肩关节后脱位是所有大关节脱位中最易误诊的一种损伤,其误诊率可高达60%,因此该病有“诊断的陷阱”之称,有学者指出肱骨头关节面与盂前缘距离大于6mm时应高度怀疑有后脱位的可能。
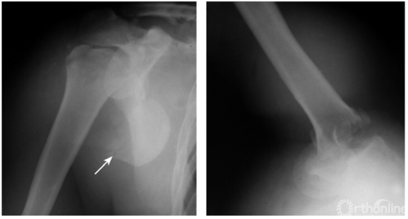
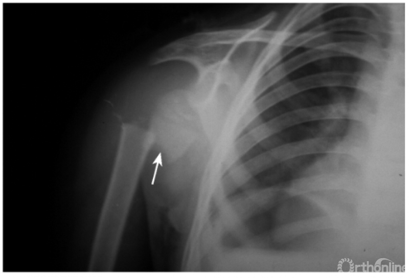
此外,由于脱位后上臂外旋受限,因此即使在最大外旋位拍片时仍不能显示出肱骨颈及大结节的轮廓。例:肱骨头离开关节盂而向后外上方(肩峰之下)移位且内旋,致肱骨头与肱骨干在一直线上,招致肩肱曲线不流畅,肱骨头关节面与盂前缘距离大于6mm并小结节骨折(如下图)。

五、肩关节上脱位
本病少见,发生于肩关节略外展位,伤力作用于肱骨下端而向上撞击所致。
例1:该例肱骨干除具有内旋体征外且肱骨头已远离关节盂,而上移至肩峰下缘,导致肩峰基底及大结节骨折(如下图)。

例2:肩关节内上方脱位并关节盂上半部及喙突尖部撞击骨折(如下图)。

来源:《骨科疾病X线片百例解》
作者:闻善乐



京公网安备11010502051256号