阐幽显微|显微镜辅助腰椎翻修手术病例分享
2020-06-29 作者:空军军医大学唐都医院骨科微创脊柱外科(脊柱显微治疗组) 闫晓东 我要说
前言:
腰椎手术失败综合征(FBSS)原因很多,常见原因主要有手术部位瘢痕形成、手术部位症状复发、融合失败或内固定物失败等,症状严重时,往往需要借助翻修手术进行治疗。在传统的脊柱手术中,医生通过裸眼进行粘连的剥离和神经松解,基本可以达到手术目的。然而,受裸眼视力和术野照明影响限制,在辨别神经-瘢痕界面、精细化止血等方面仍存不足,容易造成术中操作困难,并导致术中并发症。
文献显示,因硬膜周围瘢痕增生,传统裸眼条件下腰椎翻修术在分离瘢痕时易出现硬膜撕裂,发生率高达13.2%~33.1%;视野不清下分离粘连的神经根增加神经损伤风险,发生率为3.5%~6.8%(Smorgick Y, et al. J Neurosurg Spine, 2015, 22:483-486; Chen Z, et al. Clin Neurol Neurosurg, 2015, 130:101-104)。
显微镜应用于脊柱翻修手术,大大提高了术中视野的清晰程度,显著增加了对病变解剖细节的观察能力,极大降低了手术并发症的发生率。笔者通过3个显微镜辅助下腰椎翻修术的案例,分享一些自己的心得体会,供大家参考。
Case 1
患者50岁,女性,重体力劳动者。
主诉:腰椎术后右下肢疼痛麻木1月。
现病史:患者于6月前因“腰椎间盘突出症”于外院行后路开窗髓核摘除术。(多年支气管炎致剧烈咳嗽)术后2月咳嗽逐渐加重。1月前剧烈咳嗽后突发右下肢疼痛麻木。
专科情况:跛行;右侧直腿抬高试验阳性(40°),加强试验阳性。右小腿后侧、足外侧及足底麻木。余未见明显异常。VAS评分:右下肢8、腰4。
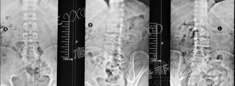
影像学检查:





诊断:腰椎间盘突出症术后复发
手术方案:显微镜辅助MI-TLIF腰椎翻修术
术中视频:http://api.orthonline.com.cn/attach/Case1.mp4(无手术并发症)
术后疗效:VAS评分右下肢1~2;腰2;右侧直腿抬高试验、加强试验阴性;行走自如、步态无异常。


Case 2
患者47岁,男性。
主诉:腰椎术后左下肢疼痛2月。
专科情况:跛行入病房;左侧直腿抬高试验阳性(60°)、加强试验阳性;左侧足背伸肌力、踇趾背伸肌力3级;左小腿外侧及足背皮肤感觉明显减退;余未见明显异常。VAS评分:左下肢7~8。
既往于半年前因“腰椎间盘突出症(L4-5)”于外院行腰椎侧路脊柱内镜下髓核摘除术(L4-5)。后因症状复发,分别在2周前、10天前于外院行两次腰椎后路脊柱内镜下髓核摘除术(L4-5)。
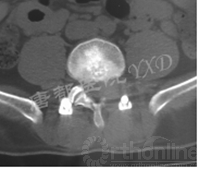
影像学检查:





诊断:腰椎间盘突出症术后复发
手术方案:显微镜辅助MI-TLIF腰椎翻修术
术中视频:http://api.orthonline.com.cn/attach/Case2.mp4(术中发现因前三次侧路及后路内镜手术的操作,术区大量瘢痕组织增生、与神经粘连严重;此外,摘除头侧游离髓核时连接有软骨终板脱落;在显微镜操作下,安全地将神经进行充分松解,压迫神经的游离髓核及软骨终板彻底清除。无手术并发症)
术后疗效:VAS评分左下肢1;左侧足背伸肌力、踇趾背伸肌力4级;左侧直腿抬高试验、加强试验阴性;行走自如、步态正常。


Case 3
患者60岁,女性。
主诉:腰椎术后左下肢疼痛9月、加重4月。
专科情况:轮椅推入病房;强迫体位;双侧直腿抬高试验、加强试验阴性;左小腿后、外侧及足背、足底皮肤感觉减退;余未见明显异常。VAS评分:左下肢7。
既往8年前因“腰4、5椎弓峡部裂并腰4椎体滑脱症”于外院行腰4~骶1椎板减压椎间植骨融合内固定术,后因椎弓根螺钉断裂于5年前行内固定取出术。
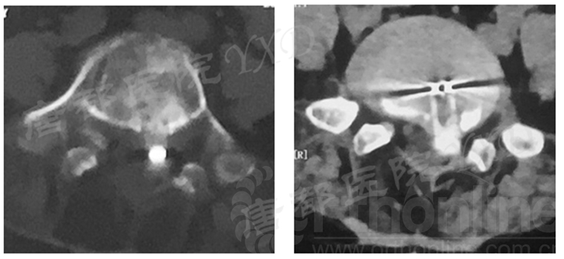
影像学检查:






诊断:腰椎椎间融合术后融合器后移
手术方案:显微镜辅助MI-TLIF腰椎翻修术
术中视频:http://api.orthonline.com.cn/attach/Case3.mp4(术中发现因前次手术全椎板及关节突切除,TLIF的第一步,即关节突关节的定位落脚点难以找到。显微镜下通过Kambin三角解剖位置,进行从外至内的解剖,寻找cage尾端;此外,因大量瘢痕渗血,难以进行充分止血;但在显微镜的照明和放大视野下,操作均可在不伤及神经的前提下进行。由于终板骨质吸收,椎间隙塌陷,导致术野内可同时看到出行根和走行根。而在显微镜下,能够通过调整景深和视线角度,精准充分处理椎间隙骨性终板。无手术并发症)
术后疗效:VAS左下肢1分、腰1分;左侧直腿抬高试验、加强试验阴性。

心得体会
显微镜辅助腰椎翻修融合术,主要有以下几方面技术优势:
1. 清晰显露解剖结构(神经-瘢痕界面):显微镜下操作,放大的解剖结构&良好的照明,即使遇到瘢痕组织,也可有效分辨并做松解,减压充分、减少硬膜及神经损伤。
2. 精准进行止血、预止血:术区因首次手术,有大量瘢痕增生,术中瘢痕出血多而广泛,显微镜下能清晰找到出血点进行精准止血,使得术野清晰,从而时减压操作精准。
3. 精巧、完善处理椎间隙:尤其对于首次融合失败的病例,椎间隙瘢痕增生坚固、范围较大,翻修术要格外重视椎间隙内瘢痕的去除和椎间植骨床的充分处理。通过调整显微镜景深、焦距和视线角度,能够清晰观察到椎间隙骨性终板的处理情况,既保证了骨性终板的充分暴露,又不至于导致骨性终板受到破坏,从而使翻修术植骨充分、高效融合。
作者简介

闫晓东,空军军医大学唐都医院骨科副主任医师、副教授,微创脊柱外科脊柱显微治疗组组长,医学博士、博士后。
英国伦敦大学Guy’s&St.Thomas’医院AOSpine fellow。中国康复医学会骨与关节康复专业委员会青年委员会常务委员,白求恩公益基金会微创脊柱专业委员会委员,陕西省医学会脊柱学分会青年委员。
临床方向为脊柱外科学,擅长脊柱微创、脊柱显微手术治疗技术。科研方向为脊柱脊髓及周围神经损伤、椎间盘退变。
以第一作者或通讯作者发表学术论文30余篇,其中SCI期刊论文10余篇。主持国家自然科学基金1项、中国博士后科学基金1项、陕西省科学基金2项。副主编专著3部。获陕西省科学技术一等奖1项,获评全军优秀硕士学位论文、第四军医大学“十佳精品课教员”,中国医师协会第一届全国骨科医师规范化病例大赛总决赛脊柱组“全国总冠军”。



京公网安备11010502051256号