陈仲强教授:呵护脊柱健康,拥抱美丽人生

2020-05-20   文章来源:骨科在线    我要说

中国现代医学虽然起步艰难,但是经过前辈们近百年来孜孜不倦的默默耕耘,特别是改革开放40年来学界精英的积极进取,有些学科已与国际同行齐肩并跑,有些领域已处于领跑位置,中国脊柱外科亦如此。

功崇惟志,业广惟勤。从1959年杨克勤教授在北京大学第三医院实施国内第一台腰椎手术起,中国脊柱外科同仁就一直在奋勇直追,如今已在脊柱退行性疾病、脊柱畸形矫正、脊柱肿瘤和脊柱微创等领域取得了卓越成就,并涌现出一批胸怀医学强国之梦的国际知名专家,他们使国人的脊柱健康水平大为提高。


陈仲强教授接受骨科在线专访

我国脊柱外科目前处于什么发展状态?前辈的骄人成就如何发扬光大?中国脊柱外科的整体发展水平怎样获得进一步提升?同道们该如何为中国脊柱外科的发展助力?小字辈们应当怎样迎接未来的挑战?

在第七届华夏脊柱外科论坛召开之际,骨科在线就此采访了华夏脊柱外科论坛主席,北医三院前任院长、北大国际医院院长陈仲强教授。

临床:老年患者的诸多挑战

作为先后在数十家重要学术组织和学术期刊担任要职的中国知名脊柱外科专家,陈仲强教授的成功离不开北医三院骨科这片“沃土”的滋养和他本人持之以恒的钻研。

众所周知,北医三院骨科是全国实力最强的骨科中心之一,尤其在脊柱外科领域赫赫有名,自上世纪50年代末就开展了脊柱外科的诊疗。为了更好地推动临床诊疗,三院骨科从1991年起陆续划分了腰椎、脊柱、颈椎和颅椎4个脊柱外科亚专业组。


2005年,北医三院骨科腰椎组专家合影(后排自右至左:李危石、齐强、郭昭庆、曾岩)

在陈仲强教授担任腰椎专业组组长的27年间,他带领团队以腰椎退变性疾患、胸椎管狭窄症的诊疗研究为工作重点,同时开展了各型复杂胸腰椎畸形的外科治疗,在这些领域的临床研究及新技术的推广应用方面做了大量工作,临床成效显著。

目前,北医三院骨科每年完成约7000台脊柱相关的手术,其中腰椎手术有近3000台,占脊柱相关手术总数的44%;胸椎管狭窄症相关手术200余台,大约占3%。

这些临床数据也是随着人口平均寿命延长而出现的老年退变性脊柱疾病多发的一个印证。而以往相对少见的胸椎管狭窄症,近年来也呈现逐渐增加的趋势,其现存诸多诊疗难点仍有待同道和后人逐一破解。

随着老年患者所占的比例越来越高,多节段退变与广泛椎管狭窄、躯干失平衡、骨质疏松及全身多脏器合并症成为脊柱外科医生不得不面对的诸多挑战。因此,实现责任病变的精准定位诊断,并在此基础上进行精准的微创治疗是腰椎病患者的迫切需求,也是医生努力的方向。


陈仲强教授在准备手术

我国胸椎管狭窄症外科相对颈腰椎外科发展较为滞后。自上世纪80年代开始,北医三院骨科就持续关注并开展了一系列研究,研究涵盖从基础到临床、从优化诊断流程到创新治疗策略和关键手术技术、从自然病程的观察到预后影响因素的分析、再到手术工具的改进等方面,并在2014年联合全国范围内的专家同道,主持制定了全球第一版《胸椎管狭窄症临床诊疗指南》。

如今,他们建立的“胸椎管后壁切除术”已经被公认为治疗胸椎黄韧带骨化症的标准术式,并在全国范围内得到了广泛应用;治疗胸椎间盘突出症的后路经关节突环形减压术和治疗多节段胸椎后纵韧带骨化症的后路选择性限局性环形减压联合去后凸关键技术,成功地解决了胸脊髓腹侧的复杂严重压迫性病变,有效提高了治疗效果,同时显著降低了手术风险。客观地说,在胸椎管狭窄症外科的发展进步和相关技术的广泛推广应用方面,北医三院作出了重要贡献。

在胸腰椎畸形方面,北医三院于上世纪末在国内较早开展了经椎间隙的PSO、椎体前缘撑开后缘闭合矫形技术(COWO)治疗各种脊柱后凸畸形。本世纪初,他们应用脊椎节段切除(VCR)双轴旋转矫形技术治疗严重复合性脊柱畸形取得很好的矫正效果。

2005年底,陈仲强教授在瑞士AOSpine年会上展示了这些成功的治疗经验,得到业界的广泛认可和高度评价。其后,他在国内外多次学术交流大会上的报告也给同行留下了深刻的印象,得到了国内外同道的一致肯定。

与此同时,北医三院应用各种截骨技术,治疗了大批结核性、先天性、创伤性后凸以及强直性脊柱炎所致各种僵硬性脊柱后凸或侧后凸畸形患者,并取得满意疗效。


陈仲强教授在第二届全国胸椎管狭窄症专题研讨会致辞


陈仲强教授在第三届全国胸椎管狭窄症专题研讨会致辞

在带领团队进步的同时,陈仲强教授也在为推动行业的发展而付诸行动。多年来,北医三院腰椎外科专业组通过进修医师的培养、广泛的学术交流及持续举办相关培训班,对我国腰椎外科的临床研究、新技术的推广应用和人才的建设产生了重要影响。

现状:国际一流与发展不均衡并存

陈仲强教授熟知我国脊柱外科的发展历程和现状,也对未来的发展趋势有清晰的认识。

他指出,改革开放40年以来,经过几代人的不懈努力,中国脊柱外科取得了飞速发展,脊柱疾患的外科治疗已由初期只是大城市的少数医院、少数医生掌握的高难技术,发展到全国范围内包括区县级及以上的医院都能广泛开展的临床技能。

如今,我国脊柱外科专业医生团队蓬勃发展,不断壮大;各种先进的诊疗技术得到广泛应用;部分中心城市的一些专科临床诊疗技术,特别是对多种复杂疑难脊柱疾患的治疗水平,已经达到国际一流的水准,其诊断方法、治疗策略、手术技术、手术工具以及内植物的研发与应用等方面跻身国际先进水平。

但从总体上看,全国范围内的发展水平不很均衡,地区差异、医院差异突出;以循证医学为基础的临床研究不够扎实;新型材料的研发与应用、诊疗理念和现代技术的原始创新需要进一步加强;另外,部分医生更多关注手术技术,而对疾病的自然病程及转归、以及患肢的生理心理社会属性重视不够。

为了改善目前的状况,未来需要通过更广泛、更规范的专科医师培训,以及更深入、更有效的学术交流缩小地区差异,使全国各地的患者都能够得到同质化、高水平的医疗照护。

同时,应加强掌握理、工、医跨学科理论与技能的复合型人才的培养或者跨学科的合作,尽快完善相应机制,调动医生、科研技术人员及企业的积极性,真正实现产、学、研一体化发展,加快科研转化和技术创新,促进我国脊柱外科学及相关产业的发展,为全人类脊柱外科的发展贡献中国力量。

改变:实用学术交流助益临床诊疗

为了推动骨科学及脊柱外科的不断进步,前辈们一直在不懈努力。

1987年成立的中国医疗保健国际交流促进会(简称中国医促会),是由国家卫健委主管的国家一级学会,它强调国际交流,侧重于从疾病的防治、康复与保健方面推动学术交流。

2011年,中国医促会时任副会长侯树勋教授召集了曾炳芳、裴福兴、吴闻文、陈仲强、王满宜教授等一批经验丰富的国内骨科资深专家,商议在医促会框架下组织开展骨科部分学科学术交流活动的事宜。

2014年,中国医促会骨科分会成立,下设脊柱学组、关节学组、基础学组、足踝学组等十余个学组,逐步完善了组织结构。并决定开启“中国医促会华夏骨科论坛”,同时下设华夏脊柱外科论坛、华夏创伤外科论坛、华夏关节外科论坛等分论坛,在全国开展医促会的品牌学术活动。

考虑到国内各种学术组织都在开展规模不等的学术活动,医促会骨科分会将华夏脊柱外科论坛定位为:集中聚焦某一领域的某一热点问题,深入讨论,力求通过每次会议为与会者提供相对完整的知识,以了解这个领域完整的进展、存在的问题和解决方案。

这个会议规模虽然不是很大,范围不是很广,但是焦点集中、讨论系统、问题深入,可以使每一位参会者通过获得某个领域相对完整的知识,能对开展临床工作起到实际的帮助。


侯树勋教授在首届华夏脊柱外科学术论坛致辞


陈仲强教授在首届华夏脊柱外科学术论坛致辞

在此宗旨指导下,2014年,由陈仲强教授担任学组组长的脊柱外科学组在贵阳召开了第一届华夏脊柱外科学术论坛。随后不断丰富组织形式和会议内容,陆续在上海、北京、郑州、太原和长春召开了第二至六届华夏脊柱论坛学术会议。据悉,第七届华夏脊柱论坛得到北医三院骨科的全力支持,将于2020年8月15、16、22、23日在线上召开。

本次会议借助北医三院骨科脊柱亚专科的雄厚技术力量和资源优势,在内容、形式上温故创新,将精选出一些临床典型或疑难病例进行分析,通过病例介绍、文献解析、多方讨论、投票分析、专家点评等多种方式互动。由于学术议题扎实落地,此次论坛将对医生的临床工作裨益很大。

未来:掌握新技术迎接新挑战

近年来,脊柱外科领域的微创技术发展迅速,特别是腰椎疾病几乎到了“无微不至”的地步,微创脊柱外科的相关理论、技术、工具都取得长足进步,年轻医生对此学习热情高涨,这是一件非常好的事情。

这得益于人们对疾病认识的不断深入、精准诊断技术水平的提高、精准外科理念的提出、精准诊断相关技术的发展,以及内镜设备的不断改进、导航设备的成熟和普及,综合了各种先进技术的手术机器人的应用等。

微创外科的发展将会有力加速科技成果的医学转化,推动疾病的研究及精确诊断,派生新的治疗理念,实现以较小的创伤获得满意疗效的目的。就其发展过程看,微创脊柱外科技术是在开放式脊柱外科手术的基础上发展来的。

微创首先是一种理念,这种理念同样要贯穿脊柱外科开放手术的全程,微创手术和开放手术两者的关系是共存互补,也就是说各有其适应证。未来微创脊柱外科随着科学技术的进步将会发挥越来越显著的作用,但是由于疾病的复杂性,开放手术仍然是脊柱外科的基础。

此外,椎间盘内治疗,如促纤维环修复再生的基因、干细胞等生物或药物研究,各种方式的椎间盘成型术等物理治疗也是目前广泛研究探索的热点。

当今的年轻人面临诸多大好机遇,同时也面临较大的竞争压力。为了更好地迎接挑战,陈仲强教授建议年轻的脊柱外科医生应在以下几方面做好准备:

首先,密切跟踪并积极学习掌握脊柱外科新技术、新工具。近年来,超声骨刀、3D打印、术中导航、手术机器人、脊柱内镜等新技术、新工具丛出不穷,止步不前就会落伍,年轻的脊柱外科医生要积极地去掌握并在实践中进行改进和创新。

其次,充实自己的知识储备。除了学好本专业范围的知识和技术,还要开拓视野,关注计算机辅助设计、大数据、人工智能等领域的相关知识和发展状况。

再次,重视跨学科合作,积极寻找跨界合作的机会。当今世界的科技发展日新月异,材料、通讯、影像、导航、人工智能、大数据等诸多领域都在快速发展,而这些科技的发展都有潜在的与脊柱外科学相结合的机遇。

因此,多学科交叉合作将是一种非常有价值的发展模式,年轻人要密切关注并努力主动创造这种机会。美好的未来一定属于年轻人。

陈仲强教授病例分享

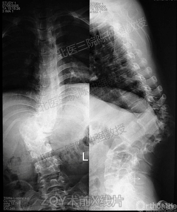
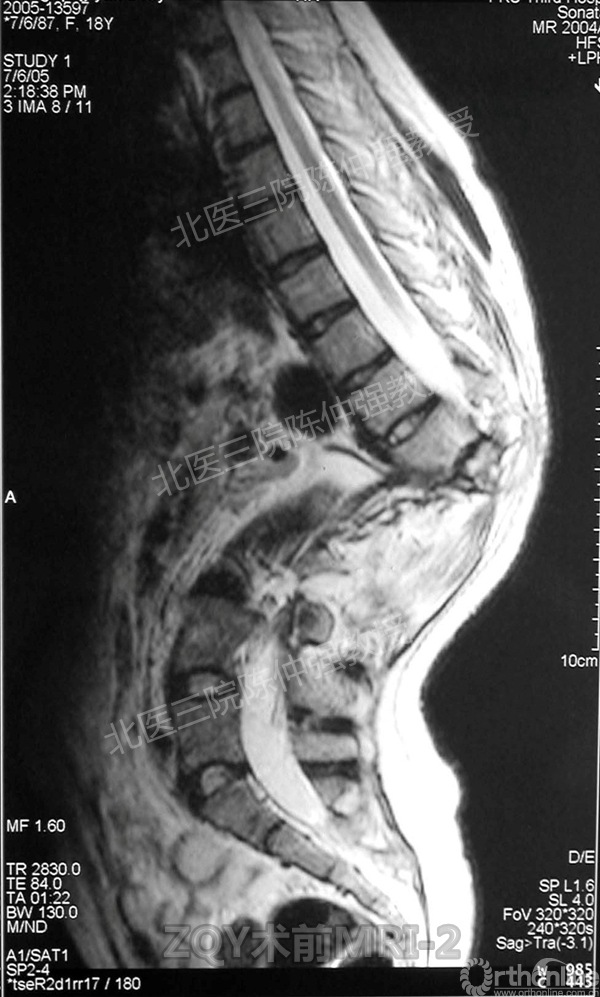
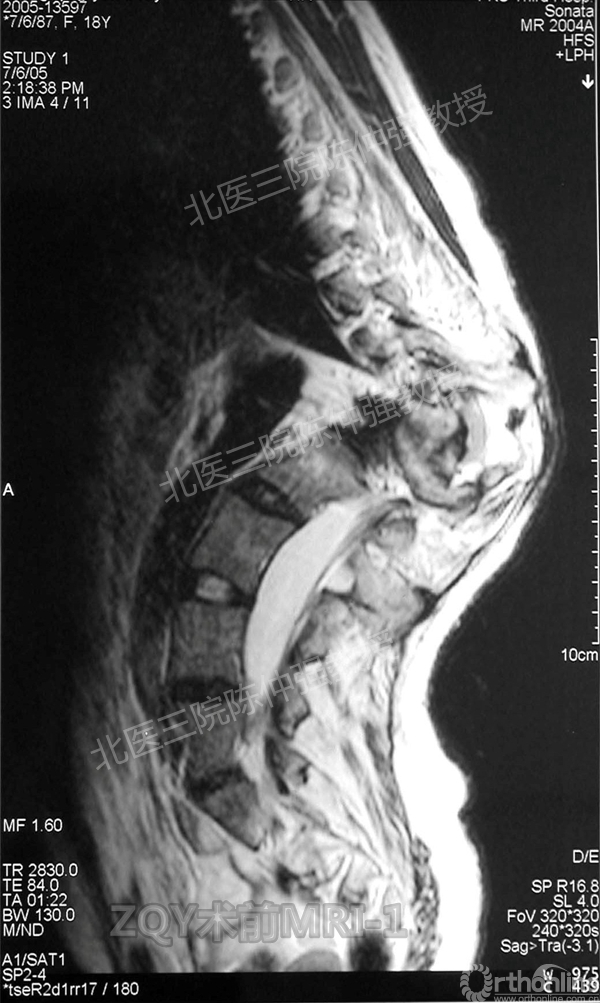
2005年,陈仲强教授在AOSpine年会上分享了一例胸腰椎陈旧结核性侧后凸畸形病例。资料如下:


ZQY术前


ZQY术后


ZQY术后半年


ZQY术后1


ZQY术后2年


ZQY术后5


ZQY术后12

患者女性17岁,胸腰椎陈旧结核性侧后凸畸形,局部呈“麻花状”扭转,无神经功能受损表现。2005年,陈仲强教授带领团队实施后路+侧前方联合入路脊柱节段切除、双轴旋转矫形术。术后患者外观显著改善,神经功能正常。术后随访证实患者截骨矫形节段骨性融合良好,矫形效果持续良好。

专家简介


陈仲强

陈仲强,教授、博士生导师、主任医师,兼任北京大学国际医院院长。北京大学第三医院前任院长、骨科前任副主任。

担任中华医学会骨科学分会副主任委员、脊柱学组副组长;北京医学会骨科学分会主任委员;中国医疗保健国际交流促进会骨科疾病防治专业委员会副主任委员、脊柱外科学组组长;中国医师协会骨科医师分会胸腰椎学组主任委员;中华外科杂志第十三届编辑委员会副总编辑;中国医院协会专家委员会副主任委员;华裔骨科学会主任委员;海峡两岸医药卫生交流协会副会长、海峡两岸医药卫生交流协会首届骨科专家委员会主任委员;中国残疾人康复协会脊髓损伤专业委员会副主任委员;国际AO脊柱协会全球理事会理事。

《中国微创外科杂志》主编;《中华外科杂志》《中华骨科杂志》《脊柱外科杂志》《实用骨科杂志》副主编;享受国务院颁发的政府特殊津贴;全国第十届、十一届、十二届、第十三届政协委员;中国致公党中央委员。

2012年“胸腰椎严重后凸畸形的外科治疗及相关技术研究” 荣获首都十大疾病科技攻关(2010-2012年)创新型科技成果奖;2012年“胸椎管狭窄症关键诊疗技术的建立与应用”荣获北京市科学技术进步二等奖;2013年“胸腰段椎间盘突出症的病因学研究与新手术方式”荣获首都十大疾病科技攻关创新型科技成果奖;2014年“胸腰椎后凸畸形的外科治疗”荣获北京市科技进步三等奖。

分享到: