罗卓荆教授手术视频精讲——胸腰椎系列
2020-04-25 文章来源:空军军医大学西京骨科医院 我要说

手术医师:罗卓荆教授团队
文字编辑:李沫副教授
视频摘要

为了让更多的青年骨科医师、同道能够学习规范的手术操作,掌握更多手术技巧,空军军医大学西京医院罗卓荆教授带领骨科医院成员共同录制了一系列骨科手术教学视频,分别为颈椎、胸腰椎专题。现将颈椎系列教学视频分享给同道。
①胸椎管狭窄的后壁切除减压手术;
②腰椎管狭窄症TLIF手术;
③腰椎管狭窄症保留后部韧带复合结构的减压手术;
④微创导航下单平面螺钉系统腰椎骨折复位内固定术。
胸椎管狭窄的后壁切除减压手术
患者:男,61岁
主诉:双下肢麻木、无力11年,加重1月。
既往史:2003年行“颈后路单开门手术”;2010年行“胃癌根治术”;2013年行“腰椎手术”。
查体:
轮椅推入病房,脊柱活动度检查不能配合。剑突以下感觉减退。双下肢肌力Ⅱ~Ⅲ级。
诊断:胸椎管狭窄症

术前X线正侧位片

术前MRI

术前CT


术中切除后的胸椎椎板
点击此处查看手术视频讲解
http://api.orthonline.com.cn/video/6093
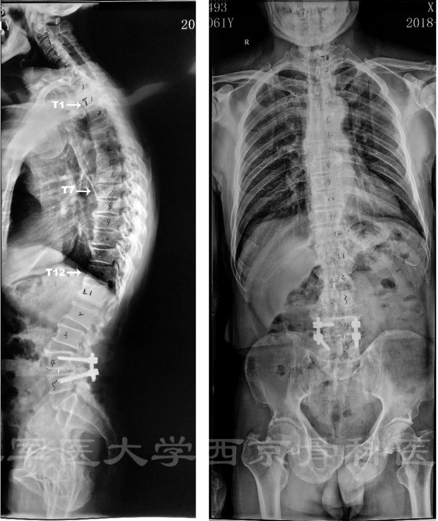
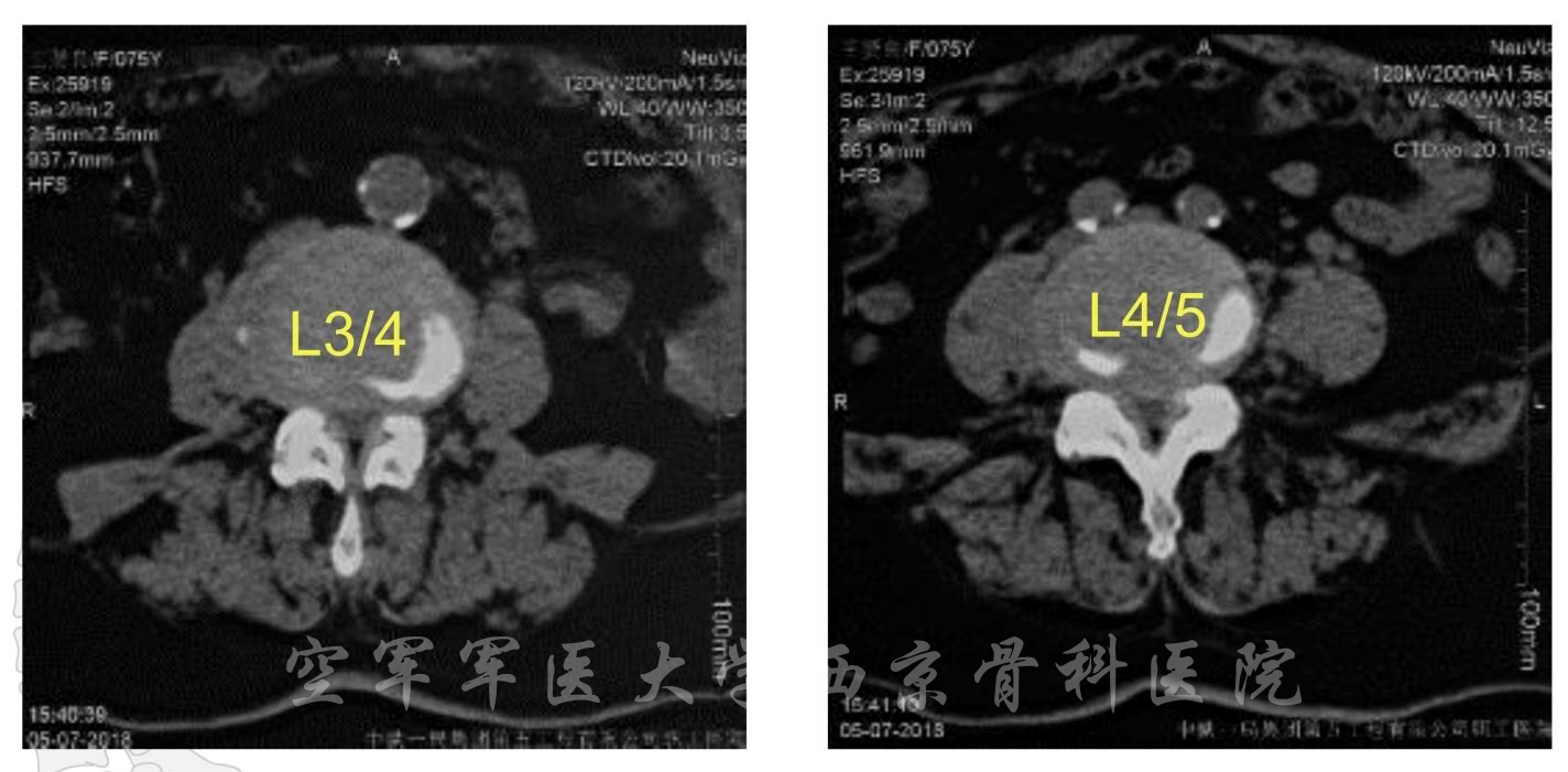
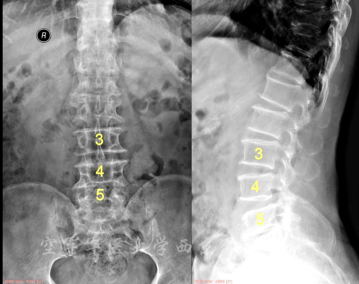
腰椎管狭窄症TLIF手术
患者:女,75岁
主诉:双下肢麻木伴间歇性跛行1年半,加重8月。
查体:
双足底,左足背、拇指背侧及右拇指背侧皮肤感觉减退。腘绳肌左/右=Ⅳ/Ⅳ级,胫前肌左/右=Ⅳ/Ⅳ级,足拇背伸肌左/右=Ⅲ/Ⅳ级,趾伸肌左/右=Ⅲ/Ⅳ级,腓骨长短肌左/右=Ⅳ/Ⅳ级,小腿三头肌左/右=Ⅳ/Ⅳ级,趾屈肌左/右=Ⅳ/Ⅳ级,胫后肌左/右=Ⅲ/Ⅳ级,右侧跟腱反射消失,病理征阴性。
诊断:腰椎管狭窄症(L3-5)

术前X线正侧位片

术前X线动力位片

术前MRI

术前CT

术中C臂透视
点击此处查看手术视频讲解
http://api.orthonline.com.cn/video/6095
腰椎管狭窄症保留后部韧带复合结构的减压手术
患者:男,74岁
主诉:腰背部疼痛3年,伴间歇性跛行半年。
查体:双侧直腿抬高试验-,双侧股神经牵拉试验-,双下肢皮肤感觉正常。双下肢肌肉无萎缩,肌力未见异常。双侧膝跳反射减弱,双侧跟腱反射消失。双侧病理征阴性。双侧髌阵挛、踝阵挛未引出
诊断:腰椎管狭窄症(L3-5)

术前X线正侧位片

术前MRI

术前CT

术中用骨刀打断棘突根部并将肌肉剥离致对侧
点击此处查看手术视频讲解
http://api.orthonline.com.cn/video/6099
微创导航下单平面螺钉系统腰椎骨折复位内固定术
患者:张某,女,56岁
主诉:高处坠落,腰背部疼痛7小时。
既往史:平车推入病房,强迫体位。腰1椎体棘突压痛+,叩击痛+,双下肢及肛周、会阴区皮肤感觉正常。双下肢肌力正常。双侧膝腱反射、跟腱反射正常。病理反射未引出。
诊断:腰1椎体压缩性骨折

术前X线正侧位片

术前CT

术前MRI



术后X线片正侧位及三维CT
点击此处查看手术视频讲解
http://api.orthonline.com.cn/video/5224

空军军医大学西京骨科医院团队




京公网安备11010502051256号