西南地区首例|重庆新桥医院张瑗主任团队完成首例人工智能辅助术前设计微创全髋关节置换手术
2019-10-14 文章来源:陆军军医大学新桥医院 我要说
前言
复杂全髋关节置换术,一直以来困扰着众多关节外科医生,除术中常常会面临许多难以处理的棘手问题外,术前规划难以面面俱到,没有对一些关键细节提前做出预案,同样会大大增加手术难度,降低手术效果,甚至因为术后脱位、下肢不等长等引发医疗纠纷。2019年9月24日,陆军军医大学附属新桥医院骨科关节中心张瑗主任团队,完成西南地区首例人工智能辅助复杂初次右侧全髋关节置换术。针对患者术前合并的发育异常和退变畸形,使用长木谷AI HIP系统进行术前精准规划,可由人工智能对复杂全髋关节置换患者情况进行综合分析,个体化选择人工关节假体类型进行精细比对分析,通盘考量畸形髋关节的旋转中心、偏心距、下肢长度以及假体方位,快速、精准、高效的为术者提供最佳手术方案。术中采用前沿的直接前方入路(DAA)微创全髋关节置换术,精确操作,为患者术后的加速康复奠定了坚实基础。
患者信息
患者为一名60岁男性,受到髋关节疼痛和跛行的困扰十余年,由于患者家庭背景特殊,手术期望值高,辗转川渝多家三甲医院就诊,均无法得到有效的治疗。患者家属了解到陆军军医大学附属新桥医院骨科关节中心具备数字化精准化智能化关节外科实施能力,遂慕名而来求诊。
来该院就诊后,张瑗教授全面细致了解了患者的病情进展,为患者进行了专科体格检查并综合患者X线检查结果,判断该患者为由原发性髋关节撞击征引起的继发性骨关节炎,病情已进展至终末期。与患者和家属针对手术目标、术后期望值等反复沟通,达成医患一致后,决定对患者进行手术治疗。
术前检查

患者术前骨盆前后位X线片


患者术前CT三维重建图像
术前特殊考量
对患者骨盆正位、特别是双侧髋关节局部特征进行观察,此例手术存在较多的骨性和软组织性陷阱。其一,患者为冠状面的双侧髋外翻畸形,双侧CCD角度高达148°,远远超出正常髋关节的生理范围。目前常规股骨假体最大的CCD角也仅有137°,个体化髋关节重建难度高。其二,右侧髋关节因骨性撞击导致股骨头粗大(左侧股骨头直径46mm,右侧股骨头直径54mm),由此导致髋关节周围关节囊360°膨胀性拉长,由此导致髋关节静态稳定结构松弛,术后脱位风险增加!其三,髋臼硬化、形变严重,术中髋臼解剖旋转中心处打磨容易出现偏差。其四,最棘手的是由于撞击导致外展肌过度延长,最终结果是右侧的髋臼偏心距和股骨偏心距均显著外移,由此带来髋关节动态稳定肌群的松弛和菲薄,术后脱位风险进一步增加!在如上困境中,选择常规假体进行手术,往往出现两个极端:要么下肢延长,要么关节脱位。常规术前计划系统,如等比例胶片法、或基于二维X线的计算机软件测量系统,均难以在两者间实现平衡。而基于人工智能深度学习技术与手术模拟算法、图像算法结合,依靠计算机辅助的方式来实现关节置换手术的三维术前规划--AI HIP系统,是解决上述问题的理想选择。
手术特殊性及难点
由AI HIP系统对患者的髋关节CT数据进行人工智能分割与关键点识别,术者可根据智能分割与测量结果综合判断患者情况。如图可见,该患者关节内可见明显畸形。

AI HIP系统对患者术前偏距与腿长差进行智能测量与评估
而后,由人工智能判断患者双侧腿长差及股骨偏心距大小,如图可见,由于长期受到的髋关节撞击征影响,该患者术前腿长差为2mm,右侧股骨偏心距为43mm,明显大于左侧股骨偏心距35mm。

AI HIP系统智能安放54mm直径的强生Pinnalce髋臼杯



最后,AI HIP系统根据患侧股骨颈干角、偏心距偏大的特殊情况,智能选择使用高偏高颈干角假体,对下肢等长和等偏心距重建做出了精准设计。根据系统预测结果,术中使用54mm Pinnalce髋臼杯、12号CORAIL高偏股骨柄、36mm 陶瓷股骨头、小转子上23mm截骨,实现髋关节的个体化、精准化重建。
由于手术常规备货中缺乏高偏心距股骨柄假体,张瑗教授在患者入院当天拿到AI HIP系统术前规划结果后,当机立断,要求强生公司于术前进行紧急备货,准备好12号CORAIL高偏股骨柄用于术中所需。强生公司迅速反应、快捷运输,于术前1小时将假体送达新桥医院手术室,确保手术的顺利进行。
术中实施情况
为了最大程度地保留对髋关节软组织结构的完整性和张力状态,张瑗教授采用个人擅长的直接前入路(DAA)进行手术,此入路最大程度降低髋关节术后脱位风险,另外保障了人工关节假体的精准位置。手术切皮至安装假体耗时42分钟,术中出血约100ml,术中应用假体大小与AI HIP系统术前规划完全一致,高偏心距假体保证了关节周围软组织的张力。术后复位良好,假体稳定性佳。由于切口仅为9cm,疼痛刺激轻微,加之无任何管道的妨碍,如尿管、引流管、输液管等,和患者在康复医生指导下当日下地进行活动,主观感受极佳。这些也进一步映证了新桥医院骨科关节中心MDT团队常态化推进ERAS方案的确切效果!

术中测量异常粗大、退变的股骨头

DAA术中植入Pinnacle生物型髋臼杯

DAA术中植入高偏型生物型股骨假体

DAA术中复位后髋关节外观

DAA术中阔筋膜张肌状态

患者术后X线片

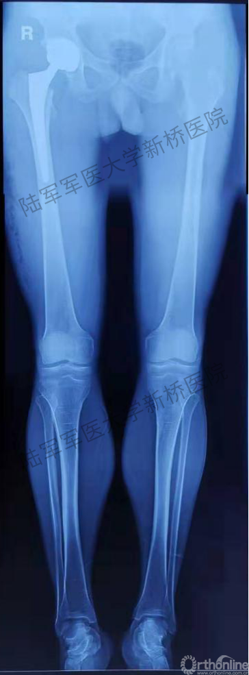
患者术后双下肢全长X片
主刀医生体会
术后张瑗教授表示:“AI HIP人工智能全髋关节置换规划系统的辅助对于这例复杂初次全髋关节置换术而言显得尤为关键,其给出的术前个性化假体方案,可提示完美适配该患者的特殊型号假体,使我们得以提前做出准备,避免了手术的盲目性,可重复性高,有效降低患者术后的并发症。我相信,凭借人工智能手术规划系统的精准助力、微创入路关节外科技术的高效保障,与术者的技艺相得益彰,将在未来髋部复杂手术如高脱位型DDH、髋关节翻修术、以及膝关节置换术中发挥出巨大的潜力。”
医院介绍
新桥医院是陆军军医大学第二附属医院,始建于1944年,前身是国民党军政部陆军医院,1950年改编为西南军区总医院,1955年转隶第七军医大学,为第二附属医院,对外称新桥医院。1975年改称第三军医大学第二附属医院,现址由贺龙、邓小平等老一辈革命家亲自选定。现已建设发展成为一所设备先进、学科齐全、技术力量雄厚,集医疗、教学、科研、预防、保健等于一体的大型综合性现代化教学医院,是国家首批“三级甲等医院”。医院设有临床和医技科室45个,展开床位2860张。其中含国家级重点学科10个,全军医学研究所和专病中心13个。有博士学位授权点学科26个、硕士学位授权点学科28个。医院特色技术为“大器官、多学科综合救治技术”。新桥医院骨科在国际知名脊柱微创专家周跃教授的精心培育下,已经发展成为国内一流的特色学科,连续5年获复旦学科声誉排名提名。


主刀医师介绍:

张瑗
陆军军医大学新桥医院骨科行政副主任,教学主任,关节中心主任。第三军医大学骨外科学博士,美国哈佛医学院博士后。军队优秀专业技术人才津贴获得者,重庆市学科技术带头人后备人选。美国骨科医师协会国际会员,中华医学会骨科学分会、中国医师协会骨科医师分会全国青年委员,全军骨科专委会青年关节学组副组长,重庆健康促进与健康教育学会关节专委会主任委员。
专攻成人运动系统损伤的修复重建。擅长微创化、精准化和个体化关节外科技术,特色为直接前方入路微创全髋关节置换DAA,留学回国后在西南地区率先开展并累计完成1000余例,数量位居全国前三。特别是原创性开展了成人重度髋关节发育不良的DAA,已完成高脱位手术20例,经官方检索,是目前全球范围内最大宗的病例。另致力于精准数字外科技术如计算机导航、术中CT在膝关节运动医学、畸形矫正和人工关节术中的应用。

北京长木谷医疗科技有限公司是一家专注于骨科人工智能解决方案的中关村高新技术企业,面向医院骨科提供人工智能全流程诊疗解决方案。公司拥有美国哈佛大学、斯坦福大学、清华大学、北京大学、北京理工大学等世界一流院校背景的研发团队,自主研发的AI HIP系统于2018年中国医学会骨科学分会COA大会上荣获“骨科创新与转化奖”。



京公网安备11010502051256号