Ilizarov技术矫正儿童骨骺损伤后踝内翻畸形
2019-05-29 作者:郑学建等 我要说
摘要
儿童踝骨骺损伤后容易遗留踝内翻畸形,导致疼痛、肢体不等长、创伤性关节炎发生。通过微创截骨,根据旋转成角中心(CORA)原则使用Ilizarov环形外固定矫正,能够获得满意的力线和肢体长度,同时能处理其邻近骨、关节和软组织的病变,治疗后踝的外形和功能都非常满意。使用Ilizarov技术矫正此类畸形,可控性好、创伤小、并发症少。
儿童并非成人的缩影,其骨骺损伤后易形成骨桥,造成肢体生长障碍。踝关节的Salter-HarrisⅢ、Ⅳ、Ⅴ 型骨骺骨折后,会导致胫骨远端生长不对称,往往发展为踝内翻畸形,出现行走障碍或关节退变。骨骺早闭未畸形前,可行骨桥切除、间置物填塞、骺板阻滞、骨膜切除、一期截骨矫形、骨骺移植等。如因严重的软组织损伤或隐匿骨折等情况,错过了治疗时机,发生内翻畸形,则只能行截骨术。其中以Ilizarov技术矫正最为可控,可精确地恢复角度和力线。
1.病因、病理和诊断
儿童期有踝关节外伤史,受伤到治疗间隔2~13年,致伤原因包括高处坠落伤、道路交通伤、轮辐伤、扭伤,其中可伴踝皮肤瘢痕、胫腓骨中段骨折、马蹄高弓畸形。
胫骨远端关节面内翻引起负重力线内移,踝关节受力不平衡,邻近的关节囊、韧带、皮肤软组织松弛或挛缩,关节间隙变窄,关节周围骨质增生、软骨磨损;患者及家长就诊时主诉畸形影响外观,行走出现障碍(图1)。踝关节X线片正位胫骨远端关节面内翻,侧位多伴有畸形。
其病理机制为: 内踝生长板损伤、生长停滞后,逐渐出现胫骨远端内翻成角,不同程度肢体短缩,腓骨远端内翻生长,距下关节在踝关节内翻的早期出现外翻性代偿,因距下关节的活动范围是内翻25°、外翻15°,超出代偿能力后即出现后足内翻。
为了保持跖行足,足弓抬高,前足旋后,足踝内侧软组织挛缩。由于踝关节对于内翻畸形的容忍明显强于外翻畸形,故踝内翻继发骨性关节炎的时间常可延迟至50岁以后。
在儿童下肢生长发育中,膝关节上下骨骺对肢体长度的影响要超过胫骨远端骨骺,故患者肢体长度差异一般不超过4cm。畸形的程度还与受伤时的年龄和骨折程度相关,年龄小,Salter-HarrisⅣ型及以上的损伤,畸形情况严重。

图1 踝内翻畸形前后观,注意原内踝处有瘢痕皮肤
2.手术原则
手术的目的是矫正胫骨远端关节面内翻及合并畸形,恢复踝关节的解剖关系,纠正下肢负重力线,恢复肢体长度,改善功能、外观和步态,推迟或避免骨性关节炎的发生。
3.术前准备
通过询问病史、体格检查判断畸形严重程度,通过分析下肢站立全长片,踝关节正侧位 X 线片制定截骨矫形计划,测量患肢的周径和长度,定制组装外固定架,向患者解释治疗计划及术后注意事项,及可能出现的并发症。
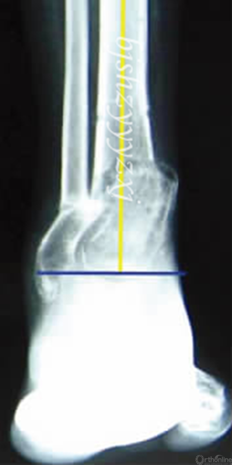
在全长片上画出下肢机械轴,可从整体判断力线,肢体长度,有无合并畸形。根据Paley提出的矫形分析原则,踝关节内翻导致下肢机械轴线内移,胫骨远端外侧角(LDTA)增大,胫骨近端和远端的解剖轴线相交于旋转成角中心(CORA),畸形顶点靠近关节面是此类畸形的特点,CORA的确定为截骨和安装外固定提供了重要参考。(见图2)

图2 在X线片上画出胫骨近端和远端的力线,相交于畸形的旋转成角中心(CORA)
制定胫骨重建手术计划的同时,还要考虑伴随的软组织松弛或挛缩,以及邻近关节的代偿。长时间、严重的踝关节内翻往往伴有固定的后足内翻畸形,有时单纯软组织手术不能奏效,需要增加距下关节固定或跟骨截骨手术。跟骨截骨术更适用于年轻患者,在矫正畸形的同时,保留了关节的活动和缓冲压力的功能,改善了术后的运动功能,避免了邻近关节的退变。
4.手术方法
采用全身麻醉或腰硬联合麻醉,仰卧位,消毒铺单,采用消毒的橡皮带驱血后扎于大腿止血,小腿外侧踝穴上作1cm切口,钝性分离软组织,不剥离骨膜,闭合截骨器在腓骨上钻一排孔,骨刀截断,关闭切口。
需要跟骨外移截骨的病例,在跟骨体外侧作斜切口,显露跟骨体中部,骨刀截断后将远端外移 0.5cm,2枚克氏针穿过截骨端固定。取胫骨远端内侧2cm纵切口,尽量避开瘢痕组织,分离软组织,保留骨膜,闭合截骨器钻一排孔,将组装并消毒好的伊氏架(图3)套于患肢,外架基本构型为小腿中段和远端各一组全环,跟骨一组半环。
踝关节两侧安装铰链关节,胫骨远端畸形水平安装4组铰链关节,通过连接杆连接固定,需要延长的病例近端加一组外固定全环,需要矫正高弓畸形的前足加一组半环。分别在胫骨近端和远端、跟骨和跖骨远端穿直径2.5mm的贯穿克氏针固定于环上,胫骨近端和远端需要交叉穿针(注意穿针平行关节面)。
待框架稳定后,骨刀横断胫骨,并将截骨端根据畸形特点旋转或移位,再于胫骨远端环近侧、中段环近侧和远侧加穿直径4.0mm的螺纹半针,在跟骨内外侧和第一跖骨基底(必要时)穿直径2.5和3.0mm螺纹半针加固,后方跟腱处及踝前(必要时)用带有弹簧的牵伸杆将足部和小腿框架相连。缝合切口,包扎。为避免内侧神经血管损伤,有时需行踝管松解;对伴随的马蹄畸形要增加跟腱延长手术和肌腱转位术。

图3 术中预装外固定构型
5.术后管理
术后1周内卧床进行下肢肌肉等长等张收缩练习,术后7d拍摄X线片,紧固外固定架各部件,下床活动(图4),扶拐行走,患肢负重(逐渐增加)锻炼,并开始调整外固定架。
首先延长胫骨下段,每日1mm,分6次完成,注意针孔护理。10d后复查 X 线片,观察牵开间隙,无肢体不等长的采取内侧延长、外侧短缩,逐渐矫正内翻畸形。
存在肢体不等长则内侧延长每日1mm,外侧延长每日0.5~0.6mm,延长同时逐渐矫正畸形。存在后足内翻和高弓畸形的,需要同时逐渐撑开踝关节及足弓内侧螺杆,同时拧紧踝前及跟腱处牵伸杆的弹簧装置,矫正合并畸形,矫形期间每隔7~10d复查X线,视情况调整矫形方案。骨折愈合,力线恢复后即可拆除外固定(图5)。

图4 矫正机型过程中外观

图5 术后矫正后的X线片,注意腓骨远段和胫骨远端一起矫正,踝的对位和力线恢复
6.并发症处理
带架时间平均4~6个月,针道反应可通过细心呵护,每日用生理盐水棉签擦拭针道保持清洁。有疼痛症状则减慢速度后多可缓解。少数出现骨痂愈合延迟,经延长外固定时间达到骨愈合。
7.手术时机
本组病例踝关节内翻畸形在儿童期已经出现,就诊时均已骨发育成熟,笔者认为矫形手术宜在发育结束骨骺闭合后尽早进行,既可避免因肢体继续生长造成的畸形复发,也可避免邻近关节和软组织长期代偿形成固定畸形。
8.踝上截骨技巧
踝上截骨术可三维矫正畸形,同期矫正胫距关节冠状面、矢状面成角和水平面旋转,特别适用于足踝部复合畸形的矫正。截骨选择在干骺端部位,截骨端稳定,血液循环丰富。位置浅表,解剖结构清晰,不易发生血管、神经损伤和骨筋膜室综合征等并发症。
截骨平面选择踝上4cm处,位于下胫腓联合韧带的上1/3区域,尸体研究证明,由于周围韧带结构完整,保证了截骨端的稳定,在同水平截断腓骨,在外翻矫形过程中,距骨向外侧推挤腓骨远端,避免了踝穴压力增高,使关节重新匹配。
截骨形式包括开放楔形、闭合楔形、杵臼等多种,采用横行截骨方式,一是方便矫正水平面旋转畸形;二是根据Paley的矫形原则,截骨平面位于CORA的近侧,需要将截骨远端内移才能保证矫形后远近端力线一致;三是横行截骨也利于同时进行骨痂延长。
由于采用远离截骨端的外固定架固定,可以尽量少地剥离与显露软组织,采用闭合截骨器钻孔,骨刀低能量截骨,保留骨膜完整,这些都为骨愈合提供了良好的生物学环境。
踝上截骨矫正胫骨远端内翻畸形时,内侧软组织张力明显增大,易使胫后神经受到牵扯,移位的骨突容易压迫踝管,造成急性踝管综合征。由于踝内侧皮肤突然拉伸,血运受到影响,切口愈合障碍,这在一次性矫形内固定手术中尤为常见。而通过外固定架的逐渐矫形,使软组织有时间适应张力的变化,可以避免这些并发症发生。
9.外固定构型的改进
传统的伊氏架全部采用环形结构,直径1.5~1.8mm的克氏针穿针固定,结构大而重,较多贯穿肌肉骨骼的钢针,组装复杂,患者常感觉不适。经过本土化设计改进后的伊氏架更符合国人的肢体形态和畸形特点,外固定环一体化铸型,直径可变以适应不同肢体部位。
克氏针直径2.0~2.5mm,将组合式外固定支架的配件与伊氏架结合,加入弹簧牵伸装置与螺纹半针固定技术,减少了外固定环及穿针的组数。在不减弱强度、不改变生物力学优势的同时,简化了安装步骤,减少了血管神经损伤的机会,体积和重量减小,增加了舒适性和调节的灵活性;术前预装消毒,提高了效率。
应用Ilizarov外固定架矫正畸形,具有创伤小、截骨端稳定、可同时矫正复杂畸形、术后负重早、矫形可控、力线恢复满意、骨愈合快等优点,对于伴有严重皮肤软组织缺损和肢体短缩的情况,此项技术具有独特优势。
作者介绍:

郑学建,北京泗河中医医院业务院长。民政部国家康复医院秦泗河矫形专家团队成员,师从秦泗河教授从事矫形外科工作二十余年,擅长治疗儿麻后遗症、脑性瘫痪、创伤后遗症、膝内外翻、复杂足踝畸形等多种原因引起的肢体畸形。
中国医师协会肢体延长与重建学组委员;中国残疾人康复协会肢残康复专业委员会青年委员、兼 Ilizarov技术学组常务委员;世界中医药学会骨关节疾病专业委员会常务理事;中国矫形外科杂志通讯编委。
曾赴俄罗斯库尔干伊里扎洛夫(Ilizarov)中心学习交流,应用伊里扎洛夫外固定技术治疗骨科疑难骨病方面积累了丰富的临床经验,多次在国内外重要学术会议做大会交流。
改良了适合国内患者的外固定器械构型,获得了多项国家专利。在国家核心期刊《中华创伤骨科杂志》、《中华骨科杂志》等发表论文20余篇,参编《小儿矫形外科》、《实用骨外固定学》、《外固定与足踝重建》、《肢体延长与重建》等专著。获得中国残疾预防及康复科学技术二等奖1项、北京市朝阳区科技进步一等奖3项,中国中医科学院科学技术二等奖1项。“首都特色临床应用研究 (下肢畸形矫正系列研究)”等多项科研项目为主要完成人员。



京公网安备11010502051256号