儿童创伤的陷阱
2018-12-19 文章来源:香港大学深圳医院骨科 作者:杜启竣 我要说
在骨科创伤中,儿童创伤是相对特殊的一部分,不能等同于缩小版的成人,由于儿童生长发育过程中的一些特点,很容易发生漏诊和误诊,导致灾难性的后果。因此如何识别儿童创伤中的陷阱,规避这些风险,就显得尤为重要,本文将告诉你如何火眼金睛的识别它们。
一、儿童生长的特点
1.儿童外伤很常见,根据经济因素、家庭收入、教育程度、家庭结构、住宿类型的不同,可能有不同的表现形式。
2.在上肢骨折中,最常见的是肱骨髁上骨折和肱骨外髁骨折。而下肢骨折中,最常见的是胫骨、股骨以及足踝部的骨折。
3.儿童不能等同于缩小版的成人。

儿童骨化中心出现的时间
由于解剖学上的差异,儿童存在生长发育过程的骨化中心,对骨折线的判断会有一定影响,有时候诊断会比较困难,可能需要在查体及x片的基础上,进一步完善核磁共振、关节造影等检查。


短缩和成角畸形
而骨骺受伤后可因生长停滞导致短缩和成角畸形,对肢体的外观和功能产生严重的影响。

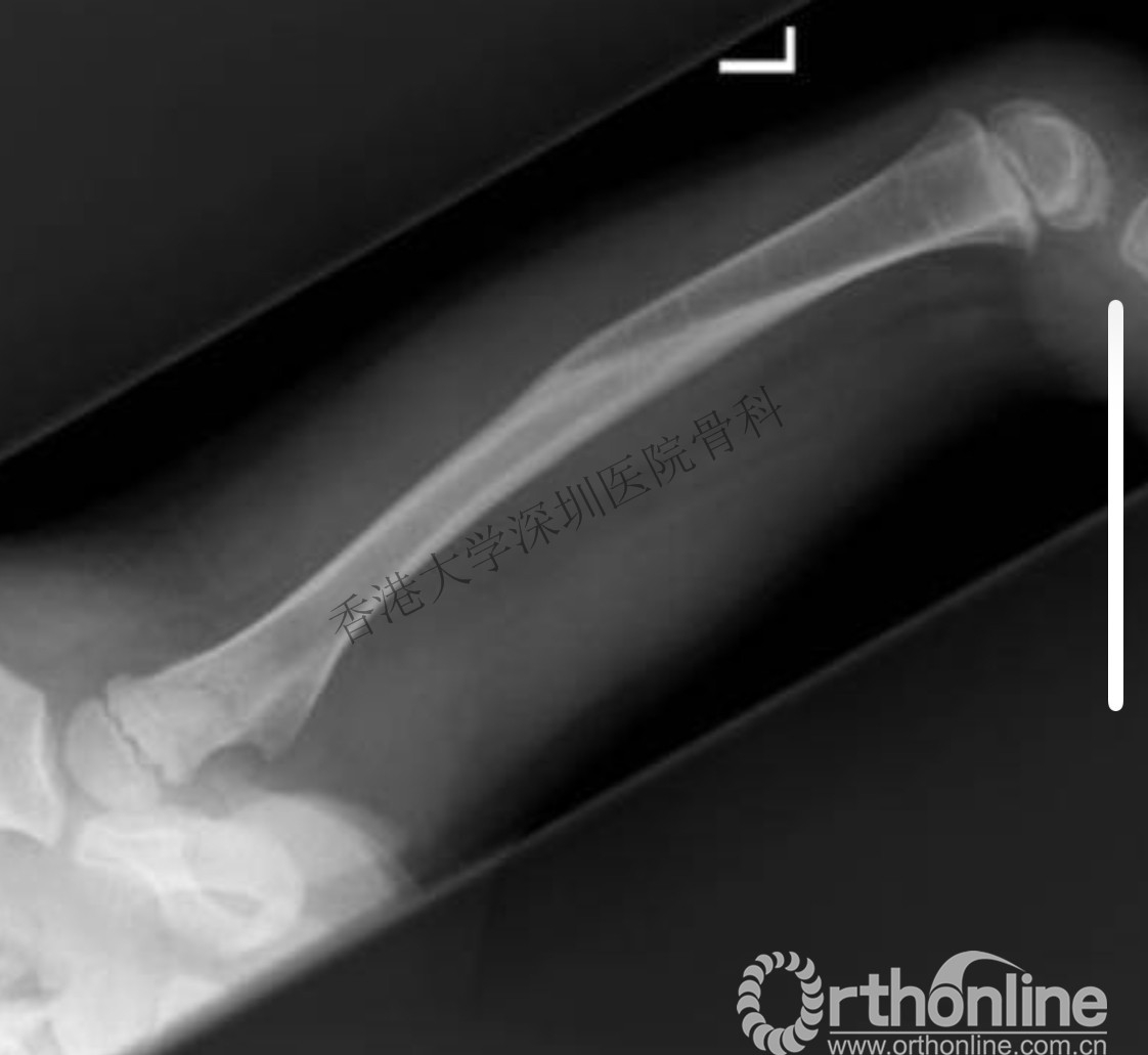
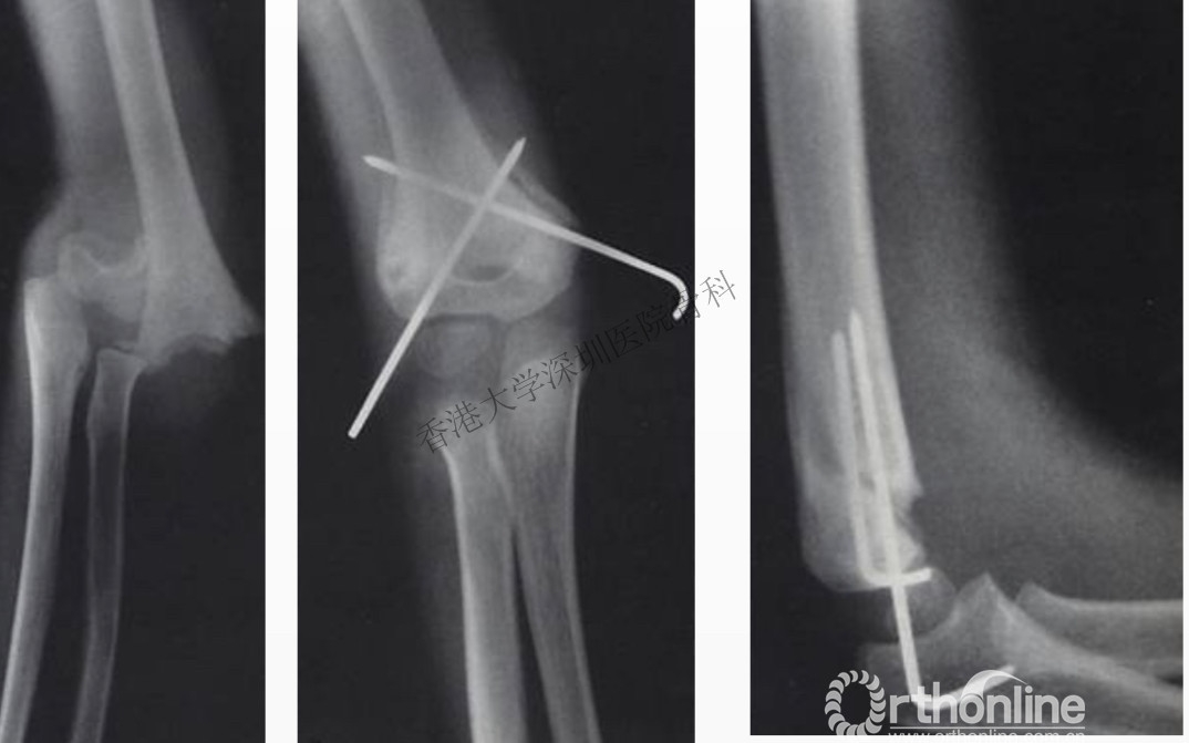
女,4岁,跌伤致右肘疼痛,X片示右肱骨外髁骨折。因肱骨外髁处软骨较多,骨折极易漏诊。

术中X片
因此,认识到在x片中,很多儿童的骨骺部分是软骨,并不能充分显像,选择合适的辅助检查,在治疗过程中需要考虑儿童的成长,做出正确的诊断,就显得尤为重要。

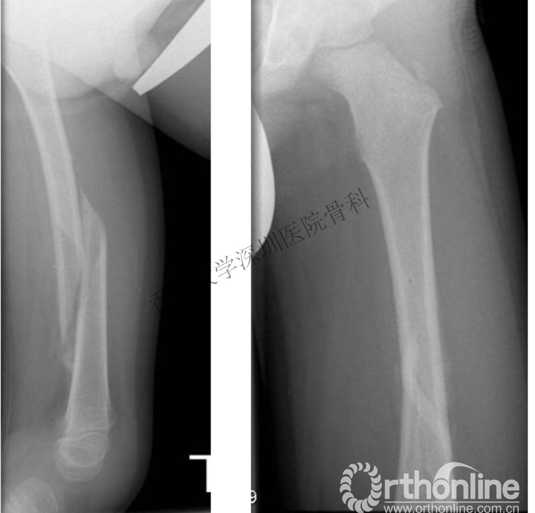
2岁儿童骨折,受伤时和1年后对比,塑型良好(受伤时)


2岁儿童骨折,受伤时和1年后对比,塑型良好(受伤1年后)
同时,我们也应该注意避免过度治疗,因为儿童骨骼具有良好的塑形能力,有时候并不需要解剖复位,很多对于成人无法接受的骨折移位,也可以得到良好的愈合和重塑。
二、常见的儿童骨折-肱骨髁上骨折

肱骨髁上骨折
1.肱骨髁上骨折是最常见的儿童上肢骨折,常见于6-7岁的儿童,由于解剖结构上肱骨远端的冠状窝较为薄弱,因此骨折最常发生于此处。
可伴有血管神经损伤等早期并发症,如处理不当可导致前臂骨筋膜室综合症、Volkman挛缩等远期并发症,造成终生残疾。


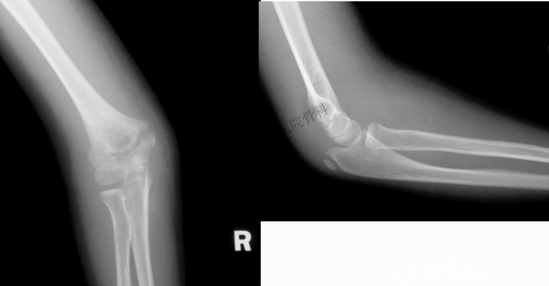
有些隐匿性骨折,仅能从侧位片发现肱骨远端软组织肿胀影,也称八字征。
查体可见肘部肿胀,畸形、压痛和活动受限,x片可见肱骨远端骨折线,有些隐匿性骨折,仅能从侧位片发现肱骨远端软组织肿胀影,也称八字征。有时可同时存在尺桡骨的合并损伤,需加以警惕。
2.Gartland将伸直型的肱骨髁上骨折分为3型

肱骨髁上骨折分型
I型:无移位;
II型:轻度移位,仅一侧皮质断裂,通常后侧皮质保持完整,骨折断端有成交畸形;
III型:前后侧皮质均断裂,骨折断端完全移位。
I型骨折可行保守治疗,石膏固定6周左右。

肱骨髁上骨折,经皮克氏针固定
手法复位后不稳定的II型及III型骨折需行经皮克氏针固定。外髁两枚克氏针或内外侧各一枚克氏针交叉克氏针固定均可,两针在骨折线平面相距越远则固定越稳固,应避免在骨折线平面交叉。
3.需要警惕的的是
(1)有时由于患儿哭闹,不能配合查体,神经功能检查有时可能无法顺利进行,而后期由于神经失用,可能出现存在肌力、感觉异常等并发症。
(2)有时由于复位欠佳,存在旋转畸形,虽然可以通过肩部补偿旋转来代偿,但断端愈合重塑通常不是最理想的。

肘内翻
(3)肘内翻也是最常见的并发症之一,但其主要问题是外观的不美观,很少存在功能缺陷。

爪型手

石膏固定屈曲角度过大
(4)肱骨髁上骨折常合并骨筋膜室综合症,导致Volkmann缺血性肌挛缩,患者出现运动和感觉功能丧失、爪型手,有时可能与石膏固定屈曲角度过大有关。
三、成骨不全和虐待伤
1. 成骨不全症(OI),也叫“脆骨病”,一种全身性结缔组织疾病,由于基因突变导致的胶原蛋白不足或结构异常。
临床上常表现为轻微暴力下的全身多处多次骨折和畸形,很多有家族史。其病变不仅限于骨骼,还常常累及其他结缔组织如眼、耳、皮肤、牙齿等。


6岁成骨不全患儿,1岁开始反复骨折,容易被误诊为虐待伤。

双下肢截骨矫形内固定术后,畸形得到良好纠正。
2. 虐待伤常发生在婴儿(1岁以内),而大约90%小于6个月,近一半的股骨干骨折发生在会走路之前,大都是非意外伤。
虐待伤无特异的骨折类型,需考虑患者的年龄,损伤的类型、所述的损伤机制以及有关的心理社会因素等。
当遇到拐角部骨折,尤其是股骨远端骨折和多发性肋骨骨折、颅骨骨折或具有不同愈合阶段的多发骨折时要高度怀疑非意外伤。
有时,成骨不全可能会被误诊为虐待伤,让父母担心把孩子送到医院会引起误解,从而延误诊治,导致反复骨折,陷入恶性循环。因此,正确的诊断和适当的治疗显得尤为重要。
四、忠告
最后,再次强调那句话:儿童不是同于缩小版的成人。只有熟悉儿童生长发育的特点,了解常见的儿童创伤类型,选择恰当的治疗方法,才能合理规避这些陷阱,造福广大患儿。



京公网安备11010502051256号