儿童骨折——现实与挑战
2018-09-05 文章来源:北京积水潭医院 作者:郭源 我要说
类似的题目和内容,郭教授已经多次在多地与同行们进行过交流,但是一个奇怪的现象是他在门诊和病房内看到的“不可理喻”病例似乎越来越多!问题更是集中在儿童骨折的治疗上!小儿骨科医生不仅仅是治疗畸形,更要会治疗骨折!
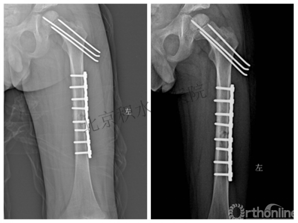
病例分享一
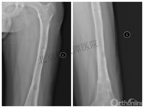
男孩 、5岁,初次骨折于2007年7月。



术后2年→再骨折→再次手术


钢板固定后一年


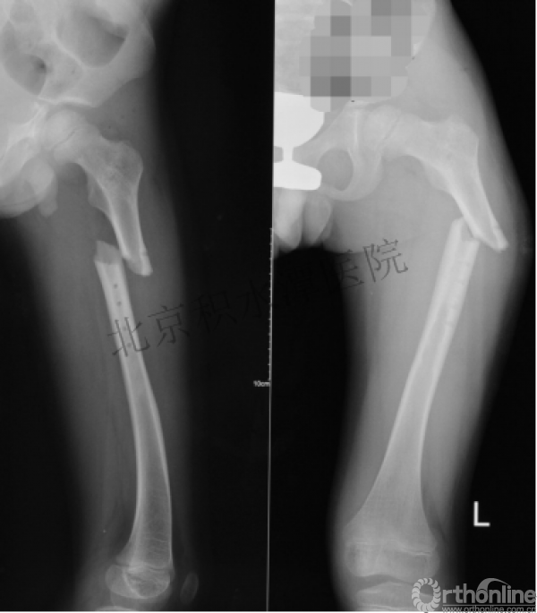
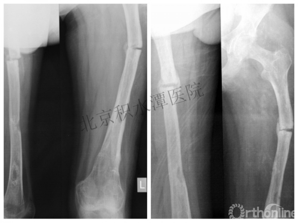
取板后再骨折→TEN



TEN取出后2个月

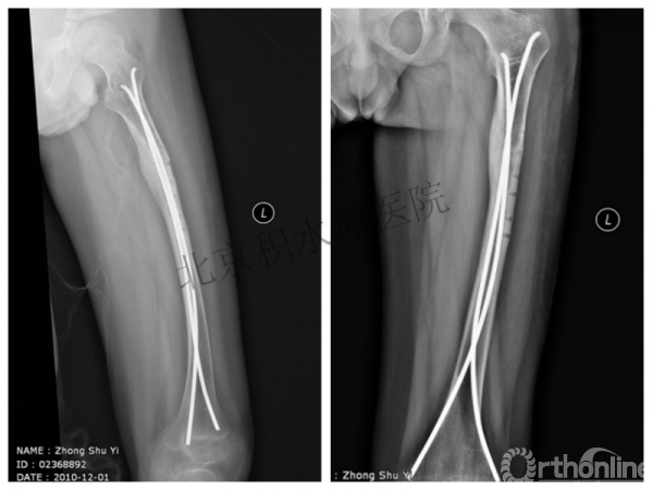
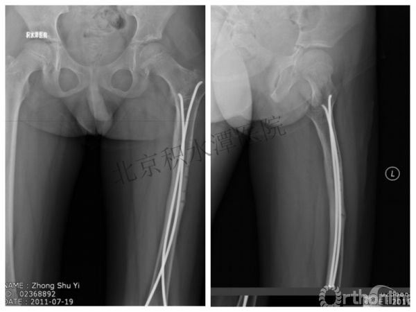
闭合复位再固定加尾帽


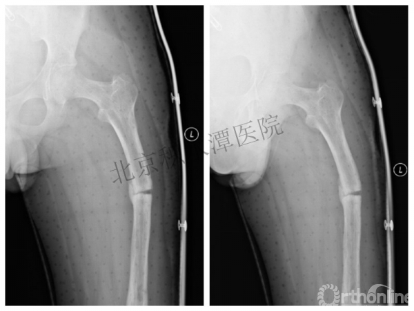
又过了4年!时间来到2015年






一年以后顺利愈合,实则危机四伏

数月后再骨折!牵引!

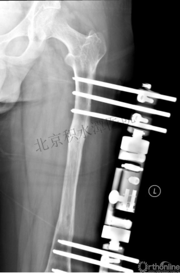
髋人字支具


外固定架术后一年


整整11年!是否治疗终结?


病人的付出?医生当反思!
一、思考
1.使用了医生可以使用的所有固定方式
2.似乎哪一次的处理都没有违背原则
3.问题出在哪儿?
4.骨折治疗—手术不是万能的!

The 1st orthopedic department was established in 1921 in Peking Union Hospital which was founded by Rockefeller Foundation
与中国共产党的生日是同年!中国第一个骨科专业科室的成立至今已经将近百年!医生均为外国人。那时候国人还不知道什么是西医骨科。

In 1937, the Chinese Medical Association established Orthopedics Group in Shanghai, which was the prototype of Chinese Orthopedic Association.
二、谁?治疗骨折 ?
1.时间!
2.某些骨折无须治疗!
3.医生的作用仅仅是为骨折愈合创造良好的条件!
将近一百年过去了,有些基本的问题医生还是需要回答!第一个问题,谁治疗?医生吗?不是!Time! 西医骨科进入中国不过百年,老祖宗们都是如何面对骨折的呢?这是一个很有兴趣的问题吧?
三、为什么要治疗骨折?
1.消除不能接受、影响肢体功能的畸形
2.获得可以接受的骨折位置并有效维持
3.复位和维持的操作不应造成新的损伤!
(对于儿童骨折的治疗尤为重要!)
为什么要治疗骨折?畸形包括:短缩、成角、旋转!临床实践中恰恰是第三条出现了问题!
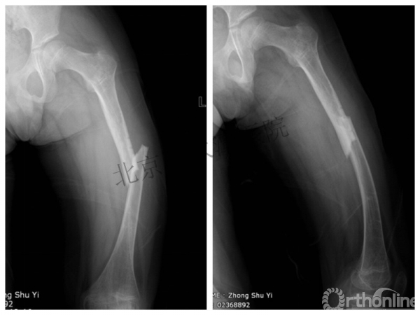
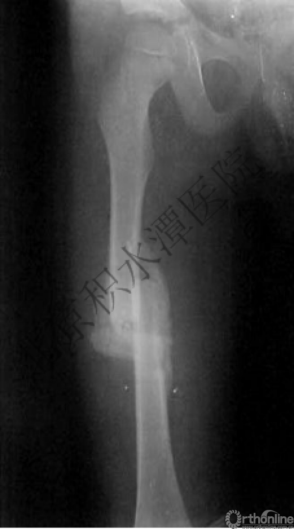
病例分享二
2岁、股骨干骨折,切开+内固定


简单牵引即可!为什么要如此大动干戈?
现实中又是怎样的呢?不知道这属于知识缺乏范畴还是道德品质问题?
匪夷所思!



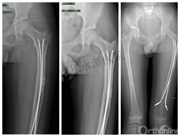
新生儿股骨干骨折
为什么要手术治疗?
医源性损伤—不愈合!
不具备对儿童骨骼特点的基本了解,不了解儿童骨折的特点,想当然地治疗!
髁上骨折

跨骺板固定

伤后4年

一、善意提醒
1.骨折治疗≠手术!
2.不要轻易地挥舞手术刀!
从他进入积水潭小儿骨科的第一天,上级医师们就不厌其烦地、反复地告诫他们这句话!
二、特别提示 !
1.不要以成人骨折的思维方式来治疗儿童
2.骨骺的存在!
3.杀敌一百,自损三千!
病例分享三
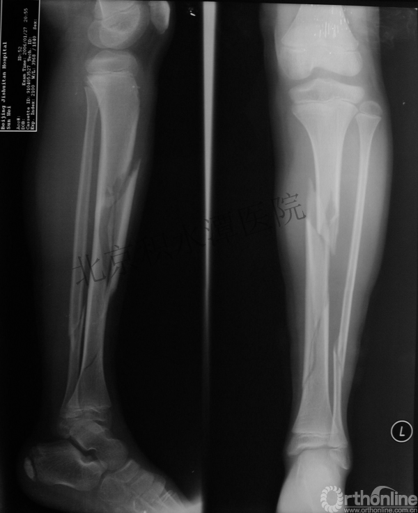
男孩、9岁,滑雪受伤,胫腓骨螺旋形骨折(粉碎性)

这个病例郭教授在积水潭医院骨科高研班时多次讲到,也在互动交流中惊人地看到,了解到现实之令人难以想象!
手法整复,石膏制动!

整复后7天


儿童具备强大的愈合潜力,同样也有极强的塑形能力
某种情况下,The best treatment is no treatment! 最佳治疗反而是不治疗!因为很多骨折依靠儿童强大的塑形能力和特点完全可以得到满意的结果!
病例分享四
女孩、8岁,桡骨远端骨折

原始损伤

伤后1个月

伤后14个月
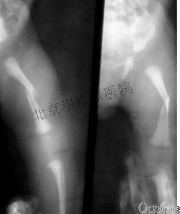
病例分享五
女孩、6岁,股骨干骨折

原始损伤

牵引后4周

伤后18月
没有任何外观和功能障碍!相信每位小儿骨科医生都会有很多类似的病例!除非您不承认或者没有认识到塑形!
儿童骨折的基本特点—塑形!
1.充分利用此特点
2.不要人为地破坏
3.不要好心办坏事
不战而屈人之兵!善之善者也
很多骨折并不需要治疗!只需要简单固定!
病例分享六
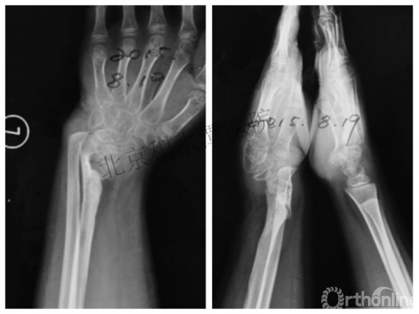
7岁、男孩,桡骨远端骨折

原始损伤片

手法整复后 - 45分钟!

伤后4天复查

伤后30天!
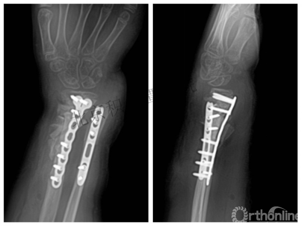
医生的处理方法!——医生终于没有坚持自己的原则!

伤后40天—切开复位内固定!

伤后18个月
如何面对?


心情之压抑无以言表!


手术历时近 5小时!心情之压抑无以言表!因为当时的经治医生是他们的进修生!感觉是他们的失职甚至渎职!

唯一可以肯定—预后不佳!郭教授是党员!是无神论者!但是很诡异的事情:手术中发生—C形臂看不清!拍片条件总是调节不好!手术器械换了三套!内固定钢板总不合适!

术后15月,虽然家长满意了,但是他们医生不满意!

儿童骨折治疗提示
1.医生的治疗不应当带来新的损伤
2.客观地审视你热衷的治疗方法的合理性
3.一定要具备否定自己的勇气
4.不断地学习!更新知识!
5.学术要精,良心更要正!
需要强调的问题
1.获得满意的骨折复位并维持此位置
2.复位和维持复位的操作不造成新的损伤
3.满意的X光片并不等于优良的治疗结果
4.保持骺的生长并有满意的功能和外观是期待的治疗目的!
几句心里话
1.勤动手
2.多思考
3.吃点线(X—ray)
4.少想钱!
以一个从事小儿骨科工作35年的医生的切身体会说几句吧!1.手法整复、闭合复位是骨科医生的看家本领!不要荒废!把复杂的问题变简单—天才!相反,把简单的问题搞复杂—蠢材!2.多想想自己的做法是否正确?多看看文献和书!3.作为医生,吃点儿放射线没亏吃!




京公网安备11010502051256号