颈椎后纵韧带骨化症 ——隐蔽的杀手
2018-05-25 作者:首都医科大学附属北京朝阳医院骨科 陶鲁铭 海涌 我要说
骨科在线版权所有,如需转载请注明来自本网站.
编者按
颈椎后纵韧带骨化症(Ossification of the Posterior Longitudinal Ligament,OPLL)是指因颈椎的后纵韧带发生骨化,从而压迫脊髓和神经根,产生肢体的感觉和运动障碍以及内脏植物神经功能紊乱的一种疾病。
OPLL亚洲人发病率较高。虽然它是一种良性病理改变,但若不加以重视,可能会造成严重的后果。骨化的后纵韧带可使颈椎管明显狭窄,轻微的创伤即可导致颈脊髓损伤,从而引起四肢瘫痪。
今天,我们就通过一例因外伤导致OPLL的病例,来了解该病的发展史、影像学特征及诊疗思路。
海涌
骨科在线编委会脊柱专业主编
首都医科大学附属北京朝阳医院
病例回顾:
中老年男性,主因骑车摔倒后瘫痪1天。神经系统查体提示:四肢感觉及运动功能丧失,肌张力降低;躯干乳头水平以下感觉缺失,锁骨至乳头水平区域感觉减退。以下是患者入院影像学检查:

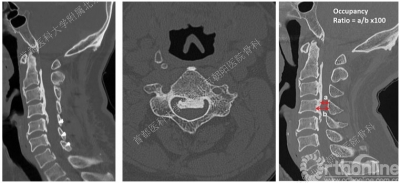
术前CT可见C3-4椎体后缘骨皮质密度条块影,向椎管内隆起,椎管侵占率为57.6%。

术前MRI:C3-4椎体后缘低信号团块影,边界清晰,对应节段脊髓受压
颈椎后纵韧带骨化症是指因颈椎的后纵韧带发生骨化,从而压迫脊髓和神经根,产生肢体的感觉和运动障碍以及内脏植物神经功能紊乱的一种疾病。骨化的后纵韧带可使颈椎管明显狭窄,轻微的创伤即可导致颈脊髓损伤,从而引起四肢瘫痪。
OPLL好发于颈椎,有研究统计,在OPLL的人群中,有临床症状的患者占20%-50%,而在有症状的OPLL患者中,患有脊髓病的占29%-40%。
颈椎OPLL在西方国家发病率较低,较为少见。多见于黄种人,其中以日本发病率最高,因此也被称作“日本病”。

疾病发展史

颈椎后纵韧带骨化症作为一种疾病被人们认识已有180年的历史,目前认为OPLL最早的报道是由Key于1838年报道。1969年,日本学者Tsukimoto首次报道了OPLL的尸检病例。之后于1975年日本成立OPLL研究学会,对OPLL进一步系统研究。至今,OPLL的研究依然在进行,人们对OPLL的认识也不断深入。
OPLL影像学特征
根据患者颈椎侧位片,可将OPLL分为以下四种类型:
A.连续型、B.混合型、C.节段型、D.局灶型

CT是诊断后纵韧带骨化的金标准,通过CT矢状位重建有助于辨别骨化块的大小和形状以及椎管狭窄的程度。

有研究表明,当骨化占有率(a/b x 100%)达到30%-60%时很可能发展为颈脊髓病。
MRI用于评估颈脊髓损伤的严重程度以及观察颈脊髓内的病变。
硬膜骨化
硬膜骨化(Dural ossification, DO)是后纵韧带骨化的一种特殊类型,它是由于骨化形成过程扩展到临近硬膜而导致临近硬膜骨化。DO的发生率约占OPLL的10%。根据DO的影像学形态特点,可以进一步将其分为以下三类:
孤立型:

双层型:

团块型:

术前了解DO的形态是很重要的,可以有效避免术中不必要的硬膜损伤。
临床表现
颈椎后纵韧带骨化的临床表现与颈椎病的临床表现相似。由于骨化的后纵韧带对颈脊髓直接压迫以及压迫血管导致脊髓供血不足,四肢及躯干的疼痛麻木以及后期出现的运动障碍为OPLL的主要临床表现。
OPLL的程度与临床症状存在一定关系:
一般地,OPLL椎管侵占率>40%,易发生颈髓病;
当椎管绝对值<10mm,多存在症状体征;
当椎管绝对值<8mm,多出现脊髓严重损害。
颈脊髓损伤(SCI)
患有OPLL及疾病后期出现的颈椎管狭窄的患者,在经历一次很小的创伤后,很可能造成急性颈脊髓损伤。

OPLL造成急性颈脊髓损伤的主要原因大部分是由于坠落伤(78%),而在受伤之前,仅有25%的患者知道自己既往存在OPLL。
不同类型的OPLL对脊髓损伤的部位不同,一般连续型OPLL,多导致颈椎僵硬,损伤多发于OPLL尾侧水平。而节段型OPLL损伤多发生在颈椎间盘水平。


Eijiro等人对OPLL造成急性颈脊髓损伤的危险因素进行分析后认为高龄、OPLL影像学分型为节段型或者混合型以及OPLL伴发OALL(前纵韧带骨化)为主要危险因素。
治疗:
OPLL的治疗可分为保守治疗和手术治疗。对于JOA评分大于14分且无明显髓性症状的患者,可行保守治疗,包括卧床休息、颈部治具制动。
需要注意的是,重度脊髓病的患者不可能通过非手术治疗的方法得到充分治疗;急性创伤会使脊髓压迫已达到临界状态的患者出现完全性四肢瘫。
Yong Gu等人的研究表明,对于轻度创伤后不完全瘫痪的OPLL患者,后路椎板成形术与保守治疗相比,前者的手术预后,减少围术期并发症,后期脊髓压迫有更好的效果。

OPLL手术治疗指征:
进行性加重的脊髓病和脊髓神经根病;
非手术治疗效果不佳;
创伤后急性颈脊髓损伤。
手术方式选择:
包括前路减压融合术、后路减压术以及前后路联合减压术。
·前路减压融合术:节段型,小于2个椎体;局限型;合并椎间盘突出
·后路减压术:OPLL>3个椎体;连续型或者混合型;合并发育性颈椎管狭窄
·前后路联合减压术:椎管狭窄合并较大的OPLL;广泛OPLL伴有节段不稳或较大颈椎间盘突出;有后路减压指征,存在后凸畸形,脊髓后移受限,有前路矫形可能。
在手术入路选择问题上,一直以来是OPLL手术治疗的热点话题。
在早期,Motoki等人根据椎管占有率和骨化后纵韧带形态选择手术入路,提出对于椎管占有率<60%及低平形态的骨化后纵韧带首选后路椎板切除术,而对于椎管占有率>60%及高隆形态、隆起成锐角的骨化后纵韧带首选前路手术。Takahito等人也提出,对于椎管占有率>60%的OPLL患者,尽管前路手术创伤较大,但术后症状改善和恢复率明显高于后路手术。
Takayuki等人提出可以通过K线(K-line)来选择颈椎OPLL手术方式。“K”代表后凸(Kyphosis),K线是指在颈椎X线侧位片上,通过C2和C7椎管中点的一条直线。根据骨化后纵韧带于K线的关系将其分为两类:K线(+)骨化后纵韧带未超过K线;K线(-)骨化后纵韧带超过K线。

K线定义
Takayuki等人发现,对于K-line(+)组,后路手术的疗效明显优于K-line(-)组。因此提出,通过K线决定手术入路是很简单且易于操作的。
前路手术VS后路手术
1.前路手术相比于后路手术能获得较高的JOA评分以及恢复率;
2.并发症的发生率前路手术明显多于后路;
3.尽管前路手术的手术并发症高于后路手术,但通过先进的外科技术降低并发症发生,前路手术因其能对脊髓能够直接减压而被推崇;
4.后路手术创伤小,但术后容易造成OPLL进展。

Dong-Ho等人回顾性分析了34例OPLL患者的临床资料,发现骨化的后纵韧带累及椎间盘但未跨越椎间盘或者跨越椎间盘但未与椎间盘融合以及节段活动度>5°是后路手术后OPLL进展的危险因素。
颈椎前路椎体骨化物复合体前移融合术(ACAF)
近年来,ACAF成为一种全新的治疗颈椎OPLL的手术方法,该术式通过将椎体骨化物复合体整体前移达到扩大椎管、减压脊髓的目的。孙璟川等人对13例行ACAF手术患者的临床资料进行研究,肯定了ACAF的短期疗效。

手术示意图

病例:59岁男性,多节段OPLL,行C3~C6ACAF手术治疗,患者术后神经系统症状明显缓解,JOA评分从7分提高到15分,改善率80%.
ACAF结合了传统颈椎前路手术直接减压和颈椎后路手术操作安全的特点,有效扩大了颈椎椎管矢状径及椎管横截面积,降低了椎管狭窄率,彻底减压脊髓,短期随访疗效良好,可作为治疗颈椎OPLL的选择方案.
作者简介
陶鲁铭

首都医科大学在读硕士研究生
师从脊柱外科专家海涌教授
海涌

主任医师 教授
博士及硕士研究生导师
享受国务院政府津贴专家
首都医科大学骨外科学系主任
首都医科大学附属北京朝阳医院骨科主任
从事骨科脊柱外科近30余年,擅长各种脊柱疾患的诊治,主刀成功完成手术6000余例。
主持承担国家及省部级科研情况10余项,基金800余万元,获得多项省部级科研奖励,第一/责任作者发表各类专业学术文章150余篇(SCI文章40余篇),主编/译学术专著8部,获得国家发明及实用新型专利7项。
中华医学会骨科分会委员、脊柱学组和创新转化学组委员;中华预防医学会骨科委员会常委;中国康复医学会脊柱脊髓专业委员会副主委、腰椎研究学组主任委员、脊柱畸形研究学组副组长;中国医师协会骨科分会委员;中国医疗保健国际交流促进会骨科分会常委、脊柱学组副组长;中国老年学会脊柱关节分会常委;北京医学会骨科分会副主任委员、北京医师协会骨科分会理事、北京康复医学会副会长;国际腰椎研究学会ISSLS常委亚洲首席代表、国际脊柱侧凸研究学会SRS理事、北美脊柱外科学会NASS理事、AOSpine亚太区理事;中国骨与关节杂志副主编、中华医学杂志、中华外科杂志、中华骨科杂志、中国脊柱脊髓杂志编委、SCI杂志Orthopedic Surgery、The Spine Journal编委等。



京公网安备11010502051256号